JavaScript is disabled in your browser. Please enable JavaScript to view this website.
AB203919

Anti-Nanog antibody [EPR19646]

Be the first to review this product! Submit a review

|

(12 Publications)

Rabbit Recombinant Monoclonal NANOG antibody. Suitable for IP, WB and reacts with Mouse, Human samples. Cited in 12 publications.

View Alternative Names

Homeobox protein NANOG, Homeobox transcription factor Nanog, hNanog, NANOG

3 Images
Immunoprecipitation - Anti-Nanog antibody [EPR19646] (AB203919)
  • IP

Supplier Data

Immunoprecipitation - Anti-Nanog antibody [EPR19646] (AB203919)

Nanog was immunoprecipitated from 0.35 mg of F9 (Mouse embryonic testicular cancer cell line) whole cell lysate with ab203919 at 1/40 dilution.

Western blot was performed from the immunoprecipitate using ab203919 at 1/500 dilution.

VeriBlot for IP Detection Reaction (HRP) (ab131366), was used for detection at 1/1000 dilution.

Lane 1 : F9 whole cell lysate 10μg (Input).

Lane 2 : ab203919 IP in F9 whole cell lysate.

Lane 3 : Rabbit IgG,monoclonal [EPR25A]- Isotype Control (ab172730) instead of ab203919 in F9 whole cell lysate.

Blocking and dilution buffer and concentration : 5% NFDM/TBST.

Exposure time : 30 seconds.

All lanes:

Immunoprecipitation - Anti-Nanog antibody [EPR19646] (ab203919)

Predicted band size: 34 kDa

false

Western blot - Anti-Nanog antibody [EPR19646] (AB203919)
  • WB

Supplier Data

Western blot - Anti-Nanog antibody [EPR19646] (AB203919)

Blocking/Dilution buffer : 5% NFDM/TBST.

Nanog is expressed in embryonic stem cells, but not in in many somatic organs, fibroblast, lymphoid cells, and hematopoietic cell lines.

Negative control : Jurkat (PMID : 12787505).

All lanes:

Western blot - Anti-Nanog antibody [EPR19646] (ab203919) at 1/1000 dilution

Lane 1:

NT2/D1 (Human malignant pluripotent embryonic carcinoma cell line) whole cell lysate at 20 µg

Lane 2:

NCCIT (Human pluripotent embryonic carcinoma cell line) whole cell lysate at 20 µg

Lane 3:

Jurkat (Human T cell leukemia cell line from peripheral blood) whole cell lysate at 20 µg

Secondary

All lanes:

Western blot - Goat Anti-Rabbit IgG H&L (HRP) (<a href='/en-us/products/secondary-antibodies/goat-rabbit-igg-h-l-hrp-ab97051'>ab97051</a>) at 1/100000 dilution

Predicted band size: 34 kDa

Observed band size: 42 kDa

false

Exposure time: 3min

Western blot - Anti-Nanog antibody [EPR19646] (AB203919)
  • WB

Supplier Data

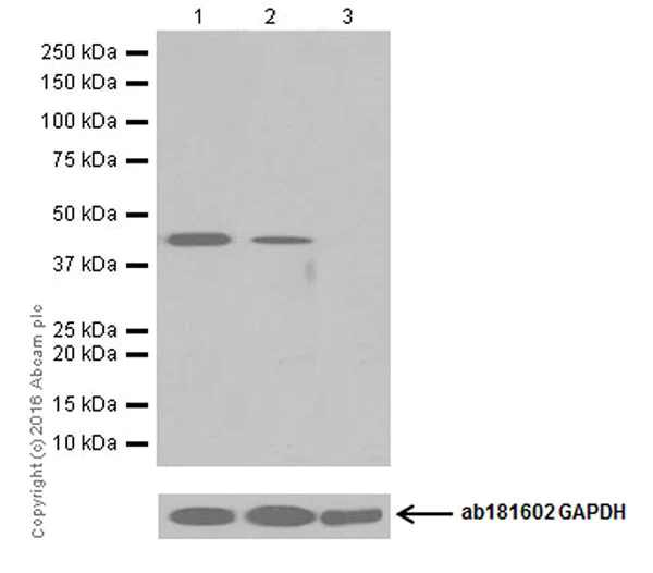
Western blot - Anti-Nanog antibody [EPR19646] (AB203919)

Blocking/Dilution buffer : 5% NFDM/TBST.

Nanog is expressed in embryonic stem cells, but not in in many somatic organs, fibroblast, lymphoid cells, and hematopoietic cell lines.

Negative control : NIH/3T3 (PMID : 12787505).

All lanes:

Western blot - Anti-Nanog antibody [EPR19646] (ab203919) at 1/1000 dilution

Lane 1:

F9 (Mouse embryonic testicular cancer cell line) whole cell lysate at 20 µg

Lane 2:

NIH/3T3 (Mouse embryonic fibroblast cell line) whole cell lysate at 20 µg

Secondary

All lanes:

Western blot - Goat Anti-Rabbit IgG H&L (HRP) (<a href='/en-us/products/secondary-antibodies/goat-rabbit-igg-h-l-hrp-ab97051'>ab97051</a>) at 1/100000 dilution

Predicted band size: 34 kDa

Observed band size: 42 kDa

false

Exposure time: 3min

  • Carrier free

    Anti-Nanog antibody [EPR19646] - BSA and Azide free

Key facts

Host species

Rabbit

Clonality

Monoclonal

Clone number

EPR19646

Isotype

IgG

Carrier free

No

Reacts with

Mouse, Human

Applications

IP, WB

applications

Immunogen

The exact immunogen used to generate this antibody is proprietary information.

Specificity

This antibody detects both phosphorylated and unphosphorylated Nangog.

Reactivity data

{ "title": "Reactivity Data", "filters": { "stats": ["", "Species", "Dilution Info", "Notes"], "tabs": { "all-applications": {"fullname" : "All Applications", "shortname": "All Applications"}, "IP" : {"fullname" : "Immunoprecipitation", "shortname":"IP"}, "WB" : {"fullname" : "Western blot", "shortname":"WB"} }, "product-promise": { "all": "all", "testedAndGuaranteed": "tested", "guaranteed": "expected", "predicted": "predicted", "notRecommended": "not-recommended" } }, "values": { "Human": { "IP-species-checked": "guaranteed", "IP-species-dilution-info": "", "IP-species-notes": "", "WB-species-checked": "testedAndGuaranteed", "WB-species-dilution-info": "1/1000", "WB-species-notes": "<p></p>" }, "Mouse": { "IP-species-checked": "testedAndGuaranteed", "IP-species-dilution-info": "1/40", "IP-species-notes": "<p></p>", "WB-species-checked": "testedAndGuaranteed", "WB-species-dilution-info": "1/1000", "WB-species-notes": "<p></p>" } } }

Product details

Patented technology
Our RabMAb® technology is a patented hybridoma-based technology for making rabbit monoclonal antibodies. For details on our patents, please refer to RabMAb® patents.

What are the advantages of a recombinant monoclonal antibody?
This product is a recombinant monoclonal antibody, which offers several advantages including:

  • - High batch-to-batch consistency and reproducibility
  • - Improved sensitivity and specificity
  • - Long-term security of supply
  • - Animal-free batch production

For more information, read more on recombinant antibodies.

Properties and storage information

Form
Liquid
Purification technique
Affinity purification Protein A
Storage buffer
pH: 7.2 - 7.4 Preservative: 0.01% Sodium azide Constituents: PBS, 40% Glycerol (glycerin, glycerine), 0.05% BSA
Shipped at conditions
Blue Ice
Appropriate short-term storage duration
1-2 weeks
Appropriate short-term storage conditions
+4°C
Appropriate long-term storage conditions
-20°C
Aliquoting information
Upon delivery aliquot
Storage information
Avoid freeze / thaw cycle

Supplementary information

This supplementary information is collated from multiple sources and compiled automatically.

Nanog also known as Nanog homeobox is a transcription factor playing an important role in maintaining the pluripotency of embryonic stem cells. The molecular weight of Nanog is approximately 35 kDa. It is found mainly in the inner cell mass of the blastocyst but it also expresses in embryonic stem cells and some adult stem cell populations. Nanog acts by binding to DNA in a sequence-specific manner to regulate gene expression essential for stem cell self-renewal and pluripotency.
Biological function summary

Nanog plays a central role in stem cell biology operating as part of a complex regulatory network. Nanog interacts with other important transcription factors like Oct4 and Sox2 forming a core pluripotency network. This network suppresses the differentiation of stem cells by regulating the expression of genes involved in cell fate decisions. By modulating the expression of different pathways Nanog ensures the maintenance of an undifferentiated state in stem cells.

Pathways

Nanog is deeply embedded in the Wnt/β-Catenin and TGF-β signaling pathways important for stem cell maintenance and differentiation. In the Wnt/β-Catenin pathway Nanog works alongside proteins like β-catenin to drive the expression of genes that promote self-renewal. Meanwhile in the TGF-β pathway Nanog acts with proteins such as Smad2/3 to balance pluripotency and differentiation signals. These pathways critically support the complex network that sustains stem cell identity and function.

Nanog's expression relates closely to its role in various cancers such as glioblastoma and colorectal cancer. Abnormally high levels of Nanog contribute to the tumorigenicity of cancer cells by maintaining their self-renewal and undifferentiated state similar to its role in stem cells. Nanog interacts with proteins like p53 known for its tumor suppressor functions often leading to challenges in cancer treatment. Understanding Nanog's influence in these pathways provides valuable insights into therapeutic targets for combating cancer stem cell resilience.

Product protocols

For this product, it's our understanding that no specific protocols are required. You can visit:

Target data

Transcription regulator involved in inner cell mass and embryonic stem (ES) cells proliferation and self-renewal. Imposes pluripotency on ES cells and prevents their differentiation towards extraembryonic endoderm and trophectoderm lineages. Blocks bone morphogenetic protein-induced mesoderm differentiation of ES cells by physically interacting with SMAD1 and interfering with the recruitment of coactivators to the active SMAD transcriptional complexes. Acts as a transcriptional activator or repressor. Binds optimally to the DNA consensus sequence 5'-TAAT[GT][GT]-3' or 5'-[CG][GA][CG]C[GC]ATTAN[GC]-3'. Binds to the POU5F1/OCT4 promoter (PubMed : 25825768). Able to autorepress its expression in differentiating (ES) cells : binds to its own promoter following interaction with ZNF281/ZFP281, leading to recruitment of the NuRD complex and subsequent repression of expression. When overexpressed, promotes cells to enter into S phase and proliferation.
See full target information NANOG

Publications (12)

Recent publications for all applications. Explore the full list and refine your search

Nature communications 16:4633 PubMed40389397

2025

Single-cell RNA-sequencing reveals early mitochondrial dysfunction unique to motor neurons shared across FUS- and TARDBP-ALS.

Applications

Unspecified application

Species

Unspecified reactive species

Christoph Schweingruber,Jik Nijssen,Jonas Mechtersheimer,Stefan Reber,Mélanie Lebœuf,Niamh L O'Brien,Irene Mei,Erin Hedges,Michaela Keuper,Julio Aguila Benitez,Vlad Radoi,Martin Jastroch,Marc-David Ruepp,Eva Hedlund

Journal of bone oncology 50:100655 PubMed39850453

2025

Using β-Elemene to reduce stemness and drug resistance in osteosarcoma: A focus on the AKT/FOXO1 signaling pathway and immune modulation.

Applications

Unspecified application

Species

Unspecified reactive species

Shaochun Zhang,Zhijie Xing,Jing Ke

International journal of biological sciences 21:382-399 PubMed39744423

2025

Folic Acid-Modified Milk Exosomes Delivering c-Kit siRNA Overcome EGFR-TKIs Resistance in Lung Cancer by Suppressing mTOR Signaling and Stemness.

Applications

Unspecified application

Species

Unspecified reactive species

Zihan Xu,Li Wang,Li Tu,Tao Liu,Yong Zhang,Yingying He,Guixiu Xiao,Ganlu Ouyang,Xuelei Ma,Feng Luo

The Journal of biological chemistry 300:107958 PubMed39510176

2024

STAG2 promotes naive-primed transition via activating Lin28a transcription in mouse embryonic stem cells.

Applications

Unspecified application

Species

Unspecified reactive species

Bo Chen,Mingkang Jia,Gan Zhao,Yumin Liu,Yihong Song,Mengjie Sun,Wangfei Chi,Xiangyang Wang,Qing Jiang,Guangwei Xin,Chuanmao Zhang

Acta histochemica 126:152190 PubMed39173233

2024

RGS1 targeted by miR-191-3p inhibited the stemness properties of esophageal cancer cells by suppressing CXCR4/PI3K/AKT signaling.

Applications

Unspecified application

Species

Unspecified reactive species

Jing Xun,Yuan Ma,Botao Wang,Xiaolin Jiang,Bin Liu,Ruifang Gao,Qiongli Zhai,Runfen Cheng,Xueliang Wu,Yu Wu,Qi Zhang

Drug development research 85:e22137 PubMed38349260

2024

CALCRL knockdown suppresses cancer stemness and chemoresistance in acute myeloid leukemia with FLT3-ITD and DNM3TA-R882 double mutations.

Applications

Unspecified application

Species

Unspecified reactive species

Shanhao Tang,Huiling Zhu,Lixia Sheng,Qitian Mu,Yi Wang,Kaihong Xu,Miao Zhou,Zhijuan Xu,An Wu,Guifang Ouyang

Aging 14:7126-7136 PubMed36098743

2022

Zbtb34 promotes embryonic stem cell proliferation by elongating telomere length.

Applications

Unspecified application

Species

Unspecified reactive species

Zheng Liu,Xinran Wei,Yue Gao,Xiaodie Gao,Xia Li,Yujuan Zhong,Xiujuan Wang,Chong Liu,Tianle Shi,Jiabin Lv,Tao Liu

Disease markers 2022:7926483 PubMed35860691

2022

miR-26a-5p Suppresses Wnt/-Catenin Signaling Pathway by Inhibiting DNMT3A-Mediated SFRP1 Methylation and Inhibits Cancer Stem Cell-Like Properties of NSCLC.

Applications

Unspecified application

Species

Unspecified reactive species

Jie Yu,Zhe Ge,Shunqiong Chen,Shaoying Li,Xin Zhang,Jie Hu,Wei Guo,Yan Wang

Advanced science (Weinheim, Baden-Wurttemberg, Germany) 9:e2104823 PubMed35652200

2022

A Temporal PROTAC Cocktail-Mediated Sequential Degradation of AURKA Abrogates Acute Myeloid Leukemia Stem Cells.

Applications

Unspecified application

Species

Unspecified reactive species

Fang Liu,Xuan Wang,Jianli Duan,Zhijie Hou,Zhouming Wu,Lingling Liu,Hanqi Lei,Dan Huang,Yifei Ren,Yue Wang,Xinyan Li,Junxiao Zhuo,Zijian Zhang,Bin He,Min Yan,Huiming Yuan,Lihua Zhang,Jinsong Yan,Shijun Wen,Zifeng Wang,Quentin Liu

Cell cycle (Georgetown, Tex.) 21:851-873 PubMed35156543

2022

LncRNA LINC01315 silencing modulates cancer stem cell properties and epithelial-to-mesenchymal transition in colorectal cancer via miR-484/DLK1 axis.

Applications

Unspecified application

Species

Unspecified reactive species

Youran Li,Wei Wang,Minna Wu,Ping Zhu,Zailong Zhou,Yuxia Gong,Yunfei Gu
View all publications

Product promise

We are committed to supporting your work with high-quality reagents, and we're here for you every step of the way. In the unlikely event that one of our products does not perform as expected, you're protected by our Product Promise.
For full details, please see our Terms & Conditions

Please note: All products are 'FOR RESEARCH USE ONLY. NOT FOR USE IN DIAGNOSTIC OR THERAPEUTIC PROCEDURES'.

For licensing inquiries, please contact partnerships@abcam.com