JavaScript is disabled in your browser. Please enable JavaScript to view this website.
AB251409

Anti-Nanog antibody [EPR19646] - BSA and Azide free

Be the first to review this product! Submit a review

|

(0 Publication)

Rabbit Recombinant Monoclonal NANOG antibody. Carrier free. Suitable for IP, WB and reacts with Mouse, Human samples.

View Alternative Names

Homeobox protein NANOG, Homeobox transcription factor Nanog, hNanog, NANOG

3 Images
Immunoprecipitation - Anti-Nanog antibody [EPR19646] - BSA and Azide free (AB251409)
  • IP

Supplier Data

Immunoprecipitation - Anti-Nanog antibody [EPR19646] - BSA and Azide free (AB251409)

This data was developed using ab203919, the same antibody clone in a different buffer formulation.

Nanog was immunoprecipitated from 0.35 mg of F9 (Mouse embryonic testicular cancer cell line) whole cell lysate with ab203919 at 1/40 dilution.

Western blot was performed from the immunoprecipitate using ab203919 at 1/500 dilution.

VeriBlot for IP Detection Reaction (HRP) (ab131366), was used for detection at 1/1000 dilution.

Lane 1 : F9 whole cell lysate 10μg (Input).
Lane 2 : ab203919 IP in F9 whole cell lysate.
Lane 3 : Rabbit IgG,monoclonal [EPR25A]- Isotype Control (ab172730) instead of ab203919 in F9 whole cell lysate.

Blocking and dilution buffer and concentration : 5% NFDM/TBST.

Exposure time : 30 seconds.

All lanes:

Immunoprecipitation - Anti-Nanog antibody [EPR19646] (<a href='/en-us/products/primary-antibodies/nanog-antibody-epr19646-ab203919'>ab203919</a>)

Predicted band size: 34 kDa

false

Western blot - Anti-Nanog antibody [EPR19646] - BSA and Azide free (AB251409)
  • WB

Supplier Data

Western blot - Anti-Nanog antibody [EPR19646] - BSA and Azide free (AB251409)

This data was developed using ab203919, the same antibody clone in a different buffer formulation.

Blocking and dilution buffer : 5% NFDM/TBST.

Nanog is expressed in embryonic stem cells, but not in in many somatic organs, fibroblast, lymphoid cells, and hematopoietic cell lines.

Negative control : Jurkat (PMID : 12787505).

All lanes:

Western blot - Anti-Nanog antibody [EPR19646] (<a href='/en-us/products/primary-antibodies/nanog-antibody-epr19646-ab203919'>ab203919</a>) at 1/1000 dilution

Lane 1:

NT2/D1 (Human malignant pluripotent embryonic carcinoma cell line) whole cell lysate at 20 µg

Lane 2:

NCCIT (Human pluripotent embryonic carcinoma cell line) whole cell lysate at 20 µg

Lane 3:

Jurkat (Human T cell leukemia cell line from peripheral blood) whole cell lysate at 20 µg

Secondary

All lanes:

Western blot - Goat Anti-Rabbit IgG H&L (HRP) (<a href='/en-us/products/secondary-antibodies/goat-rabbit-igg-h-l-hrp-ab97051'>ab97051</a>) at 1/100000 dilution

Predicted band size: 34 kDa

Observed band size: 42 kDa

false

Exposure time: 3min

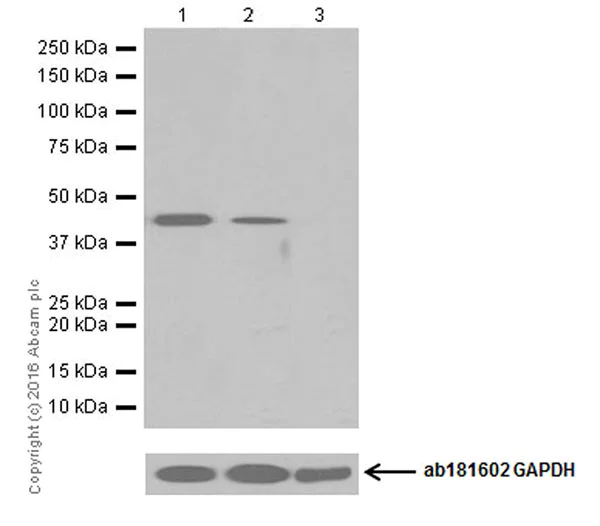
Western blot - Anti-Nanog antibody [EPR19646] - BSA and Azide free (AB251409)
  • WB

Supplier Data

Western blot - Anti-Nanog antibody [EPR19646] - BSA and Azide free (AB251409)

This data was developed using ab203919, the same antibody clone in a different buffer formulation.

Blocking and dilution buffer : 5% NFDM/TBST.

Nanog is expressed in embryonic stem cells, but not in in many somatic organs, fibroblast, lymphoid cells, and hematopoietic cell lines.

Negative control : NIH/3T3 (PMID : 12787505).

All lanes:

Western blot - Anti-Nanog antibody [EPR19646] (<a href='/en-us/products/primary-antibodies/nanog-antibody-epr19646-ab203919'>ab203919</a>) at 1/1000 dilution

Lane 1:

F9 (Mouse embryonic testicular cancer cell line) whole cell lysate at 20 µg

Lane 2:

NIH/3T3 (Mouse embryonic fibroblast cell line) whole cell lysate at 20 µg

Secondary

All lanes:

Western blot - Goat Anti-Rabbit IgG H&L (HRP) (<a href='/en-us/products/secondary-antibodies/goat-rabbit-igg-h-l-hrp-ab97051'>ab97051</a>) at 1/100000 dilution

Predicted band size: 34 kDa

Observed band size: 42 kDa

false

Exposure time: 3min

Key facts

Host species

Rabbit

Clonality

Monoclonal

Clone number

EPR19646

Isotype

IgG

Carrier free

Yes

Reacts with

Mouse, Human

Applications

IP, WB

applications

Immunogen

The exact immunogen used to generate this antibody is proprietary information.

Specificity

This antibody detects both phosphorylated and unphosphorylated Nangog.

Reactivity data

{ "title": "Reactivity Data", "filters": { "stats": ["", "Species", "Dilution Info", "Notes"], "tabs": { "all-applications": {"fullname" : "All Applications", "shortname": "All Applications"}, "IP" : {"fullname" : "Immunoprecipitation", "shortname":"IP"}, "WB" : {"fullname" : "Western blot", "shortname":"WB"} }, "product-promise": { "all": "all", "testedAndGuaranteed": "tested", "guaranteed": "expected", "predicted": "predicted", "notRecommended": "not-recommended" } }, "values": { "Human": { "IP-species-checked": "guaranteed", "IP-species-dilution-info": "", "IP-species-notes": "", "WB-species-checked": "testedAndGuaranteed", "WB-species-dilution-info": "", "WB-species-notes": "<p></p>" }, "Mouse": { "IP-species-checked": "testedAndGuaranteed", "IP-species-dilution-info": "", "IP-species-notes": "<p></p>", "WB-species-checked": "guaranteed", "WB-species-dilution-info": "", "WB-species-notes": "" } } }

Product details

ab251409 is the carrier-free version of ab203919.

Patented technology
Our RabMAb® technology is a patented hybridoma-based technology for making rabbit monoclonal antibodies. For details on our patents, please refer to RabMAb® patents.

What are the advantages of a recombinant monoclonal antibody?
This product is a recombinant monoclonal antibody, which offers several advantages including:

  • - High batch-to-batch consistency and reproducibility
  • - Improved sensitivity and specificity
  • - Long-term security of supply
  • - Animal-free batch production

For more information, read more on recombinant antibodies.

Conjugation ready
Our carrier-free antibodies are typically supplied in a PBS-only formulation, purified and free of BSA, sodium azide and glycerol. This conjugation-ready format is designed for use with fluorochromes, metal isotopes, oligonucleotides, and enzymes, which makes them ideal for antibody labelling, functional and cell-based assays, flow-based assays (e.g. mass cytometry) and Multiplex Imaging applications.

Use our conjugation kits for antibody conjugates that are ready-to-use in as little as 20 minutes with 1 minute hands-on-time and 100% antibody recovery: available for fluorescent dyes, HRP, biotin and gold.

Compatibility
This product is compatible with the Maxpar® Antibody Labeling Kit from Fluidigm, without the need for antibody preparation. Maxpar® is a trademark of Fluidigm Canada Inc.

Properties and storage information

Form
Liquid
Storage buffer
pH: 7.2 - 7.4 Constituents: PBS
Shipped at conditions
Blue Ice
Appropriate short-term storage conditions
+4°C
Appropriate long-term storage conditions
+4°C
Storage information
Do Not Freeze

Supplementary information

This supplementary information is collated from multiple sources and compiled automatically.

Nanog also known as Nanog homeobox is a transcription factor playing an important role in maintaining the pluripotency of embryonic stem cells. The molecular weight of Nanog is approximately 35 kDa. It is found mainly in the inner cell mass of the blastocyst but it also expresses in embryonic stem cells and some adult stem cell populations. Nanog acts by binding to DNA in a sequence-specific manner to regulate gene expression essential for stem cell self-renewal and pluripotency.
Biological function summary

Nanog plays a central role in stem cell biology operating as part of a complex regulatory network. Nanog interacts with other important transcription factors like Oct4 and Sox2 forming a core pluripotency network. This network suppresses the differentiation of stem cells by regulating the expression of genes involved in cell fate decisions. By modulating the expression of different pathways Nanog ensures the maintenance of an undifferentiated state in stem cells.

Pathways

Nanog is deeply embedded in the Wnt/β-Catenin and TGF-β signaling pathways important for stem cell maintenance and differentiation. In the Wnt/β-Catenin pathway Nanog works alongside proteins like β-catenin to drive the expression of genes that promote self-renewal. Meanwhile in the TGF-β pathway Nanog acts with proteins such as Smad2/3 to balance pluripotency and differentiation signals. These pathways critically support the complex network that sustains stem cell identity and function.

Nanog's expression relates closely to its role in various cancers such as glioblastoma and colorectal cancer. Abnormally high levels of Nanog contribute to the tumorigenicity of cancer cells by maintaining their self-renewal and undifferentiated state similar to its role in stem cells. Nanog interacts with proteins like p53 known for its tumor suppressor functions often leading to challenges in cancer treatment. Understanding Nanog's influence in these pathways provides valuable insights into therapeutic targets for combating cancer stem cell resilience.

Product protocols

For this product, it's our understanding that no specific protocols are required. You can visit:

Target data

Transcription regulator involved in inner cell mass and embryonic stem (ES) cells proliferation and self-renewal. Imposes pluripotency on ES cells and prevents their differentiation towards extraembryonic endoderm and trophectoderm lineages. Blocks bone morphogenetic protein-induced mesoderm differentiation of ES cells by physically interacting with SMAD1 and interfering with the recruitment of coactivators to the active SMAD transcriptional complexes. Acts as a transcriptional activator or repressor. Binds optimally to the DNA consensus sequence 5'-TAAT[GT][GT]-3' or 5'-[CG][GA][CG]C[GC]ATTAN[GC]-3'. Binds to the POU5F1/OCT4 promoter (PubMed : 25825768). Able to autorepress its expression in differentiating (ES) cells : binds to its own promoter following interaction with ZNF281/ZFP281, leading to recruitment of the NuRD complex and subsequent repression of expression. When overexpressed, promotes cells to enter into S phase and proliferation.
See full target information NANOG

Product promise

We are committed to supporting your work with high-quality reagents, and we're here for you every step of the way. In the unlikely event that one of our products does not perform as expected, you're protected by our Product Promise.
For full details, please see our Terms & Conditions

Please note: All products are 'FOR RESEARCH USE ONLY. NOT FOR USE IN DIAGNOSTIC OR THERAPEUTIC PROCEDURES'.

For licensing inquiries, please contact partnerships@abcam.com