JavaScript is disabled in your browser. Please enable JavaScript to view this website.
AB231300

Anti-Nanog antibody [EPR20694] - BSA and Azide free

Be the first to review this product! Submit a review

|

(1 Publication)

Rabbit Recombinant Monoclonal NANOG antibody. Carrier free. Suitable for ChIC/CUT&RUN-seq, IP, ChIP, WB, ICC/IF, Flow Cyt (Intra), IHC-P and reacts with Mouse samples. Cited in 1 publication.

View Alternative Names

Ecat4, Enk, Nanog, Homeobox protein NANOG, ES cell-associated protein 4, Early embryo specific expression NK-type homeobox protein, Homeobox transcription factor Nanog

7 Images
Flow Cytometry (Intracellular) - Anti-Nanog antibody [EPR20694] - BSA and Azide free (AB231300)
  • Flow Cyt (Intra)

Supplier Data

Flow Cytometry (Intracellular) - Anti-Nanog antibody [EPR20694] - BSA and Azide free (AB231300)

Intracellular flow cytometric analysis of 4 % paraformaldehyde-fixed, 90% methanol permeabilized F9 (mouse embryonic testicular cancer cell line, Right) and NIH/3T3 (mouse embryo fibroblast cell line, Left) cells labeling Nanog with ab214549 at 1/60 dilution (red) compared with a Rabbit IgG, monoclonal [EPR25A] - Isotype Control (ab172730) (black) and an unlabeled control (cells without incubation with primary antibody and secondary antibody) (blue). Goat Anti-Rabbit IgG H&L (Alexa Fluor® 488) (ab150077) at 1/2000 dilution was used as the secondary antibody.

Negative control : NIH/3T3 cell line.

This data was developed using the same antibody clone in a different buffer formulation containing PBS, BSA, glycerol, and sodium azide (ab214549).

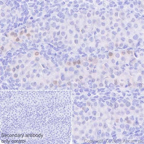
Immunohistochemistry (Formalin/PFA-fixed paraffin-embedded sections) - Anti-Nanog antibody [EPR20694] - BSA and Azide free (AB231300)
  • IHC-P

Supplier Data

Immunohistochemistry (Formalin/PFA-fixed paraffin-embedded sections) - Anti-Nanog antibody [EPR20694] - BSA and Azide free (AB231300)

Immunohistochemical analysis of paraffin-embedded mouse E14.5 testis tissue labeling Nanog with ab214549 at 1/500 dilution, followed by Goat Anti-Rabbit IgG H&L (HRP) Ready to use. Mainly nuclear staining is observed in testis of mouse embryo E14.5 (PMID : 15939376; PMID : 12787505). Counter stained with Hematoxylin.

Secondary antibody only control : Used PBS instead of primary antibody, secondary antibody is Goat Anti-Rabbit IgG H&L (HRP) Ready to use.

This data was developed using the same antibody clone in a different buffer formulation containing PBS, BSA, glycerol, and sodium azide (ab214549).

Heat mediated antigen retrieval was performed with Tris/EDTA buffer pH 9.0 before commencing with IHC staining protocol.

Immunocytochemistry/ Immunofluorescence - Anti-Nanog antibody [EPR20694] - BSA and Azide free (AB231300)
  • ICC/IF

Supplier Data

Immunocytochemistry/ Immunofluorescence - Anti-Nanog antibody [EPR20694] - BSA and Azide free (AB231300)

Immunofluorescent analysis of 4% paraformaldehyde-fixed, 0.1% Triton X-100 permeablized F9 (mouse embryonic testicular cancer cell line) and NIH/3T3 (mouse embryo fibroblast cell line) cells labeling Nanog with ab214549 at 1/100 dilution, followed by Goat Anti-Rabbit IgG H&L (Alexa Fluor® 488) (ab150077) secondary antibody at 1/1000 dilution (green). Confocal image showing nuclear staining in F9 cell line. Negative control : NIH/3T3 (PMID : 17352742).

The nuclear counter stain is DAPI (blue). Tubulin is detected with Anti-alpha Tubulin antibody [DM1A] - Microtubule Marker (Alexa Fluor® 594) (ab195889) (red) at 1/200 dilution.

Control : Used PBS instead of primary antibody, secondary antibody is Goat Anti-Rabbit IgG H&L (Alexa Fluor® 488) (ab150077) secondary antibody at 1/1000 dilution.

This data was developed using the same antibody clone in a different buffer formulation containing PBS, BSA, glycerol, and sodium azide (ab214549).

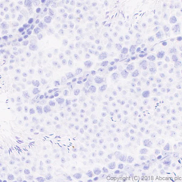
Immunohistochemistry (Formalin/PFA-fixed paraffin-embedded sections) - Anti-Nanog antibody [EPR20694] - BSA and Azide free (AB231300)
  • IHC-P

Supplier Data

Immunohistochemistry (Formalin/PFA-fixed paraffin-embedded sections) - Anti-Nanog antibody [EPR20694] - BSA and Azide free (AB231300)

Immunohistochemical analysis of paraffin-embedded adult mouse testis tissue labeling Nanog with ab214549 at 1/500 dilution, followed by Goat Anti-Rabbit IgG H&L (HRP) Ready to use. Negative tissue : No staining on adult mouse testis is observed(PMID : 12787505; PMID : 15939376).

Counter stained with Hematoxylin.

This data was developed using the same antibody clone in a different buffer formulation containing PBS, BSA, glycerol, and sodium azide (ab214549).

Heat mediated antigen retrieval was performed with Tris/EDTA buffer pH 9.0 before commencing with IHC staining protocol.

ChIP - Anti-Nanog antibody [EPR20694] - BSA and Azide free (AB231300)
  • ChIP

Unknown

ChIP - Anti-Nanog antibody [EPR20694] - BSA and Azide free (AB231300)

Chromatin was prepared from F9 cells according to the Abcam X-ChIP protocol. Cells were fixed with 1% formaldehyde for 10 minutes. The ChIP was performed with 25 µg of chromatin, 5µg of ab214549 (blue), and 20 µl of protein A/G sepharose beads slurry (10 µl of sepharose A beads + 10 µl of sepharose G beads). Then 5 μg of rabbit normal IgG was added to the control beads (yellow). The immunoprecipitated DNA was quantified by real time PCR (SYBR green chemistry).

This data was developed using the same antibody clone in a different buffer formulation containing PBS, BSA, glycerol, and sodium azide (ab214549).

Immunoprecipitation - Anti-Nanog antibody [EPR20694] - BSA and Azide free (AB231300)
  • IP

Supplier Data

Immunoprecipitation - Anti-Nanog antibody [EPR20694] - BSA and Azide free (AB231300)

Nanog was immunoprecipitated from 0.35 mg of F9 (mouse embryonic testicular cancer cell line) whole cell lysate with ab214549 at 1/1000 dilution. Western blot was performed from the immunoprecipitate using ab214549 at 1/1000 dilution. VeriBlot for IP Detection Reagent (HRP) (ab131366), was used for detection at 1/5000 dilution.

Lane 1 : F9 whole cell lysate 10 μg (input)

Lane 2 : ab214549 IP in F9 whole cell lysate.

Lane 3 : Rabbit monoclonal IgG (ab172730) instead of ab214549 in F9 whole cell lysate.

Blocking and dilution buffer and concentration : 5% NFDM/TBST.

Exposure time : 15 seconds.

The multiple bands observed are consistent with the literature (PMID : 24936455).

This data was developed using the same antibody clone in a different buffer formulation containing PBS, BSA, glycerol, and sodium azide (ab214549).

All lanes:

Immunoprecipitation - Anti-Nanog antibody [EPR20694] - ChIP Grade (<a href='/en-us/products/primary-antibodies/nanog-antibody-epr20694-chip-grade-ab214549'>ab214549</a>)

Predicted band size: 34 kDa

false

ChIC/CUT&RUN sequencing - Anti-Nanog antibody [EPR20694] - BSA and Azide free (AB231300)
  • ChIC/CUT&RUN-seq

Supplier Data

ChIC/CUT&RUN sequencing - Anti-Nanog antibody [EPR20694] - BSA and Azide free (AB231300)

ChIC/CUT&RUN was performed using a pAG-MNAse at a final concentration of 700 ng/mL, 2.5 x 10^5 F9 (Mouse embryonic testicular cancer cell line) cells and 5µg of ab214549 [EPR20694]. The resulting DNA was sequenced on the Illumina NovaSeq 6000 to a depth of 10 million reads. The negative IgG control ab172730 is also shown. Additional screenshots of mapped reads can be found in the Protocol booklet in the Product Protocol section. The University of Geneva owns patents relevant to ChIC (Chromatin Immuno-Cleavage) methods. This data was developed using the same antibody clone in a different buffer formulation containing PBS, BSA, glycerol, and sodium azide (ab214549).

Key facts

Host species

Rabbit

Clonality

Monoclonal

Clone number

EPR20694

Isotype

IgG

Carrier free

Yes

Reacts with

Mouse

Applications

Flow Cyt (Intra), ChIC/CUT&RUN-seq, WB, IHC-P, IP, ChIP, ICC/IF

applications

Immunogen

The exact immunogen used to generate this antibody is proprietary information.

Reactivity data

{ "title": "Reactivity Data", "filters": { "stats": ["", "Species", "Dilution Info", "Notes"], "tabs": { "all-applications": {"fullname" : "All Applications", "shortname": "All Applications"}, "ChICCUTRUNseq" : {"fullname" : "ChIC/CUT&RUN sequencing", "shortname":"ChIC/CUT&RUN-seq"}, "IP" : {"fullname" : "Immunoprecipitation", "shortname":"IP"}, "ChIP" : {"fullname" : "ChIP", "shortname":"ChIP"}, "WB" : {"fullname" : "Western blot", "shortname":"WB"}, "ICCIF" : {"fullname" : "Immunocytochemistry/ Immunofluorescence", "shortname":"ICC/IF"}, "FlowCytIntra" : {"fullname" : "Flow Cytometry (Intracellular)", "shortname":"Flow Cyt (Intra)"}, "IHCP" : {"fullname" : "Immunohistochemistry (Formalin/PFA-fixed paraffin-embedded sections)", "shortname":"IHC-P"} }, "product-promise": { "all": "all", "testedAndGuaranteed": "tested", "guaranteed": "expected", "predicted": "predicted", "notRecommended": "not-recommended" } }, "values": { "Mouse": { "ChICCUTRUNseq-species-checked": "testedAndGuaranteed", "ChICCUTRUNseq-species-dilution-info": "", "ChICCUTRUNseq-species-notes": "<p></p>", "IP-species-checked": "testedAndGuaranteed", "IP-species-dilution-info": "", "IP-species-notes": "<p></p>", "ChIP-species-checked": "testedAndGuaranteed", "ChIP-species-dilution-info": "", "ChIP-species-notes": "<p></p>", "WB-species-checked": "guaranteed", "WB-species-dilution-info": "", "WB-species-notes": "<p></p>", "ICCIF-species-checked": "testedAndGuaranteed", "ICCIF-species-dilution-info": "", "ICCIF-species-notes": "<p></p>", "FlowCytIntra-species-checked": "testedAndGuaranteed", "FlowCytIntra-species-dilution-info": "", "FlowCytIntra-species-notes": "<p></p>", "IHCP-species-checked": "testedAndGuaranteed", "IHCP-species-dilution-info": "", "IHCP-species-notes": "<p></p>" } } }

Product details

ab231300 is the carrier-free version of ab214549.

Patented technology
Our RabMAb® technology is a patented hybridoma-based technology for making rabbit monoclonal antibodies. For details on our patents, please refer to RabMAb® patents.

What are the advantages of a recombinant monoclonal antibody?
This product is a recombinant monoclonal antibody, which offers several advantages including:

  • - High batch-to-batch consistency and reproducibility
  • - Improved sensitivity and specificity
  • - Long-term security of supply
  • - Animal-free batch production

For more information, read more on recombinant antibodies.

Conjugation ready
Our carrier-free antibodies are typically supplied in a PBS-only formulation, purified and free of BSA, sodium azide and glycerol. This conjugation-ready format is designed for use with fluorochromes, metal isotopes, oligonucleotides, and enzymes, which makes them ideal for antibody labelling, functional and cell-based assays, flow-based assays (e.g. mass cytometry) and Multiplex Imaging applications.

Use our conjugation kits for antibody conjugates that are ready-to-use in as little as 20 minutes with 1 minute hands-on-time and 100% antibody recovery: available for fluorescent dyes, HRP, biotin and gold.

Compatibility
This product is compatible with the Maxpar® Antibody Labeling Kit from Fluidigm, without the need for antibody preparation. Maxpar® is a trademark of Fluidigm Canada Inc.

Properties and storage information

Form
Liquid
Purification technique
Affinity purification Protein A
Storage buffer
pH: 7.2 - 7.4 Constituents: PBS
Shipped at conditions
Blue Ice
Appropriate short-term storage conditions
+4°C
Appropriate long-term storage conditions
+4°C
Storage information
Do Not Freeze

Supplementary information

This supplementary information is collated from multiple sources and compiled automatically.

Nanog also known as Nanog homeobox is a transcription factor playing an important role in maintaining the pluripotency of embryonic stem cells. The molecular weight of Nanog is approximately 35 kDa. It is found mainly in the inner cell mass of the blastocyst but it also expresses in embryonic stem cells and some adult stem cell populations. Nanog acts by binding to DNA in a sequence-specific manner to regulate gene expression essential for stem cell self-renewal and pluripotency.
Biological function summary

Nanog plays a central role in stem cell biology operating as part of a complex regulatory network. Nanog interacts with other important transcription factors like Oct4 and Sox2 forming a core pluripotency network. This network suppresses the differentiation of stem cells by regulating the expression of genes involved in cell fate decisions. By modulating the expression of different pathways Nanog ensures the maintenance of an undifferentiated state in stem cells.

Pathways

Nanog is deeply embedded in the Wnt/β-Catenin and TGF-β signaling pathways important for stem cell maintenance and differentiation. In the Wnt/β-Catenin pathway Nanog works alongside proteins like β-catenin to drive the expression of genes that promote self-renewal. Meanwhile in the TGF-β pathway Nanog acts with proteins such as Smad2/3 to balance pluripotency and differentiation signals. These pathways critically support the complex network that sustains stem cell identity and function.

Nanog's expression relates closely to its role in various cancers such as glioblastoma and colorectal cancer. Abnormally high levels of Nanog contribute to the tumorigenicity of cancer cells by maintaining their self-renewal and undifferentiated state similar to its role in stem cells. Nanog interacts with proteins like p53 known for its tumor suppressor functions often leading to challenges in cancer treatment. Understanding Nanog's influence in these pathways provides valuable insights into therapeutic targets for combating cancer stem cell resilience.

Product protocols

For this product, it's our understanding that no specific protocols are required. You can visit:

Target data

Transcription regulator involved in inner cell mass and embryonic stem (ES) cells proliferation and self-renewal (PubMed : 25825768). Imposes pluripotency on ES cells and prevents their differentiation towards extraembryonic endoderm and trophectoderm lineages. Blocks bone morphogenetic protein-induced mesoderm differentiation of ES cells by physically interacting with SMAD1 and interfering with the recruitment of coactivators to the active SMAD transcriptional complexes. Acts as a transcriptional activator or repressor. Binds optimally to the DNA consensus sequence 5'-TAAT[GT][GT]-3' or 5'-[CG][GA][CG]C[GC]ATTAN[GC]-3'. Binds to the POU5F1/OCT4 promoter (By similarity). Able to autorepress its expression in differentiating (ES) cells : binds to its own promoter following interaction with ZNF281/ZFP281, leading to recruitment of the NuRD complex and subsequent repression of expression. When overexpressed, promotes cells to enter into S phase and proliferation.
See full target information Nanog

Publications (1)

Recent publications for all applications. Explore the full list and refine your search

Science advances 11:eadq8545 PubMed39951526

2025

Biglycan fragment modulates TGF-β activity in intervertebral disc via an eIF6-coupled intracellular path.

Applications

Unspecified application

Species

Unspecified reactive species

Manyu Zhu,Stanley Chun Ming Wu,Wai-Kit Tam,Chun Kit Wong,Peng Liao,Kathryn S Cheah,Danny Chan,Aaron W James,Victor Y Leung
View all publications
chicCutRunSequencingBooklet
en

Product promise

We are committed to supporting your work with high-quality reagents, and we're here for you every step of the way. In the unlikely event that one of our products does not perform as expected, you're protected by our Product Promise.
For full details, please see our Terms & Conditions

Please note: All products are 'FOR RESEARCH USE ONLY. NOT FOR USE IN DIAGNOSTIC OR THERAPEUTIC PROCEDURES'.

For licensing inquiries, please contact partnerships@abcam.com