JavaScript is disabled in your browser. Please enable JavaScript to view this website.
AB21630

Anti-NAP1L1 antibody

5

(4 Reviews)

|

(5 Publications)

Rabbit Polyclonal NAP1L1 antibody. Suitable for IHC-P, WB, ICC/IF and reacts with Human samples. Cited in 5 publications.

View Alternative Names

NRP, NAP1L1, Nucleosome assembly protein 1-like 1, NAP-1-related protein, hNRP

4 Images
Immunocytochemistry/ Immunofluorescence - Anti-NAP1L1 antibody (AB21630)
  • ICC/IF

Unknown

Immunocytochemistry/ Immunofluorescence - Anti-NAP1L1 antibody (AB21630)

ICC/IF image of ab21630 stained A431 cells. The cells were 4% formaldehyde fixed (10 min) and then incubated in 1%BSA / 10% normal goat serum / 0.3M glycine in 0.1% PBS-Tween for 1h to permeabilise the cells and block non-specific protein-protein interactions. The cells were then incubated with the antibody (ab21630, 5µg/ml) overnight at +4°C. The secondary antibody (green) was ab96899, DyLight® 488 goat anti-rabbit IgG (H+L) used at a 1/250 dilution for 1h. Alexa Fluor® 594 WGA was used to label plasma membranes (red) at a 1/200 dilution for 1h. DAPI was used to stain the cell nuclei (blue) at a concentration of 1.43µM.

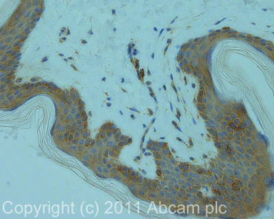
Immunohistochemistry (Formalin/PFA-fixed paraffin-embedded sections) - Anti-NAP1L1 antibody (AB21630)
  • IHC-P

Unknown

Immunohistochemistry (Formalin/PFA-fixed paraffin-embedded sections) - Anti-NAP1L1 antibody (AB21630)

IHC image of ab21630 staining in human skin formalin fixed paraffin embedded tissue section, performed on a Leica BondTM system using the standard protocol F. The section was pre-treated using heat mediated antigen retrieval with sodium citrate buffer (pH6, epitope retrieval solution 1) for 20 mins. The section was then incubated with ab21630, 5µg/ml, for 15 mins at room temperature and detected using an HRP conjugated compact polymer system. DAB was used as the chromogen. The section was then counterstained with haematoxylin and mounted with DPX.

For other IHC staining systems (automated and non-automated) customers should optimize variable parameters such as antigen retrieval conditions, primary antibody concentration and antibody incubation times.

Western blot - Anti-NAP1L1 antibody (AB21630)
  • WB

Unknown

Western blot - Anti-NAP1L1 antibody (AB21630)

For each lane, U2OS cells, either treated or not treated with ionizing radiation, were scraped from a 60 mm dish and added to 75μl of 2X Laemmli buffer. 20μl of these samples were loaded into each lane. ab21630 recognizes a major band of approximately 52 kDa corresponding closely in size to NAP1L1.

Lanes 1 - 2:

Western blot - Anti-NAP1L1 antibody (ab21630) at 1/1000 dilution

Lanes 3 - 4:

Western blot - Anti-NAP1L1 antibody (ab21630) at 1/500 dilution

Lanes 5 - 6:

Western blot - Anti-NAP1L1 antibody (ab21630) at 1/250 dilution

Lanes 1, 3 and 5:

U2OS cell lysate

Lanes 2, 4 and 6:

U2OS cell lysate treated with ionizing radiation

Predicted band size: 45 kDa

Observed band size: 49 kDa,52 kDa

false

Western blot - Anti-NAP1L1 antibody (AB21630)
  • WB

Unknown

Western blot - Anti-NAP1L1 antibody (AB21630)

ab21630 recognizes a major band of approximately 52 kDa corresponding closely in size to NAP1L1. This band is competed away by the addition of the immunizing peptide, suggesting that this is a specific interaction.

All lanes:

Western blot - Anti-NAP1L1 antibody (ab21630) at 1 µg/mL

Lane 1:

HeLa whole cell lysate at 20 µg

Lane 2:

A431 whole cell lysate at 20 µg

Lane 3:

HEK293 whole cell lysate at 20 µg

Lane 4:

HeLa whole cell lysate at 20 µg with Human NAP1L1 peptide (<a href='/en-us/products/unavailable/human-nap1l1-peptide-ab22417'>ab22417</a>)

Lane 5:

A431 whole cell lysate with Human NAP1L1 peptide (<a href='/en-us/products/unavailable/human-nap1l1-peptide-ab22417'>ab22417</a>)

Lane 6:

HEK293 whole cell lysate at 20 µg with Human NAP1L1 peptide (<a href='/en-us/products/unavailable/human-nap1l1-peptide-ab22417'>ab22417</a>)

Secondary

All lanes:

Alexa fluor goat polyclonal to rabbit IgG at 1/10000 dilution

Predicted band size: 45 kDa

Observed band size: 35 kDa,49 kDa,52 kDa

false

Key facts

Host species

Rabbit

Clonality

Polyclonal

Isotype

IgG

Carrier free

No

Reacts with

Human

Applications

IHC-P, WB, ICC/IF

applications

Immunogen

The exact immunogen used to generate this antibody is proprietary information.

Reactivity data

{ "title": "Reactivity Data", "filters": { "stats": ["", "Species", "Dilution Info", "Notes"], "tabs": { "all-applications": {"fullname" : "All Applications", "shortname": "All Applications"}, "IHCP" : {"fullname" : "Immunohistochemistry (Formalin/PFA-fixed paraffin-embedded sections)", "shortname":"IHC-P"}, "WB" : {"fullname" : "Western blot", "shortname":"WB"}, "ICCIF" : {"fullname" : "Immunocytochemistry/ Immunofluorescence", "shortname":"ICC/IF"} }, "product-promise": { "all": "all", "testedAndGuaranteed": "tested", "guaranteed": "expected", "predicted": "predicted", "notRecommended": "not-recommended" } }, "values": { "Human": { "IHCP-species-checked": "testedAndGuaranteed", "IHCP-species-dilution-info": "5 µg/mL", "IHCP-species-notes": "<p></p>", "WB-species-checked": "testedAndGuaranteed", "WB-species-dilution-info": "1/250 - 1/1000", "WB-species-notes": "<p></p>", "ICCIF-species-checked": "testedAndGuaranteed", "ICCIF-species-dilution-info": "1 µg/mL", "ICCIF-species-notes": "<p></p>" }, "Mouse": { "IHCP-species-checked": "predicted", "IHCP-species-dilution-info": "", "IHCP-species-notes": "", "WB-species-checked": "predicted", "WB-species-dilution-info": "", "WB-species-notes": "", "ICCIF-species-checked": "predicted", "ICCIF-species-dilution-info": "", "ICCIF-species-notes": "" }, "Rat": { "IHCP-species-checked": "predicted", "IHCP-species-dilution-info": "", "IHCP-species-notes": "", "WB-species-checked": "predicted", "WB-species-dilution-info": "", "WB-species-notes": "", "ICCIF-species-checked": "predicted", "ICCIF-species-dilution-info": "", "ICCIF-species-notes": "" }, "Dog": { "IHCP-species-checked": "predicted", "IHCP-species-dilution-info": "", "IHCP-species-notes": "", "WB-species-checked": "predicted", "WB-species-dilution-info": "", "WB-species-notes": "", "ICCIF-species-checked": "predicted", "ICCIF-species-dilution-info": "", "ICCIF-species-notes": "" } } }

Properties and storage information

Form
Liquid
Purification technique
Affinity purification Immunogen
Storage buffer
pH: 7.4 Preservative: 0.02% Sodium azide Constituents: PBS, 1% BSA
Shipped at conditions
Blue Ice
Appropriate short-term storage duration
1-2 weeks
Appropriate short-term storage conditions
+4°C
Appropriate long-term storage conditions
-20°C
Aliquoting information
Upon delivery aliquot
Storage information
Avoid freeze / thaw cycle

Supplementary information

This supplementary information is collated from multiple sources and compiled automatically.

NAP1L1 also known as Nucleosome Assembly Protein 1-Like 1 plays a role mechanically by assisting in nucleosome assembly. This protein has a mass of about 45 kDa and is expressed in various tissues including the brain and liver. NAP1L1 moves within the nucleus and cytoplasm which allows interaction with DNA and other proteins involved in chromatin organization.
Biological function summary

NAP1L1 contributes to chromatin remodeling by facilitating the assembly and disassembly of nucleosomes. NAP1L1 forms part of a complex that modulates chromatin structure and function influencing gene expression and DNA replication. It interacts with histones contributing to the deposition and removal of histones H2A and H2B making it essential for proper cell cycle progression and regulation.

Pathways

NAP1L1 acts in key signaling interconnected with chromatin modification and cell cycle control. It participates in the histone chaperone pathways influencing chromatin structure dynamics. NAP1L1 associates with proteins like histone H2A-H2B and the chromatin assembly factor CAF-1. These proteins collectively maintain chromatin integrity and regulation during DNA replication and repair processes.

NAP1L1 has links to certain cancers and neurological disorders. Increased levels of NAP1L1 are observable in some tumor types suggesting a role in cancer progression. In neurological contexts alterations in this protein are noted in conditions like Alzheimer's disease where chromatin misregulation is apparent. Connections with other proteins such as histone variants may further implicate NAP1L1 in these pathological states.

Product protocols

For this product, it's our understanding that no specific protocols are required. You can visit:

Target data

Histone chaperone that plays a role in the nuclear import of H2A-H2B and nucleosome assembly (PubMed : 20002496, PubMed : 21211722, PubMed : 26841755). Participates also in several important DNA repair mechanisms : greatly enhances ERCC6-mediated chromatin remodeling which is essential for transcription-coupled nucleotide excision DNA repair (PubMed : 28369616). Stimulates also homologous recombination (HR) by RAD51 and RAD54 which is essential in mitotic DNA double strand break (DSB) repair (PubMed : 24798879). Plays a key role in the regulation of embryonic neurogenesis (By similarity). Promotes the proliferation of neural progenitors and inhibits neuronal differentiation during cortical development (By similarity). Regulates neurogenesis via the modulation of RASSF10; regulates RASSF10 expression by promoting SETD1A-mediated H3K4 methylation at the RASSF10 promoter (By similarity).. (Microbial infection) Positively regulates Epstein-Barr virus reactivation in epithelial cells through the induction of viral BZLF1 expression.. (Microbial infection) Together with human herpesvirus 8 protein LANA1, assists the proper assembly of the nucleosome on the replicated viral DNA.
See full target information NAP1L1

Publications (5)

Recent publications for all applications. Explore the full list and refine your search

Journal of experimental & clinical cancer research 39:205 PubMed32998758

2020

Tubulin Tyrosine Ligase Like 4 (TTLL4) overexpression in breast cancer cells is associated with brain metastasis and alters exosome biogenesis.

Applications

Unspecified application

Species

Unspecified reactive species

Julia Arnold,Juliana Schattschneider,Christine Blechner,Christoph Krisp,Hartmut Schlüter,Michaela Schweizer,Marcus Nalaskowski,Leticia Oliveira-Ferrer,Sabine Windhorst

OncoTargets and therapy 12:11325-11338 PubMed31908497

2019

Exosome-Mediated Transfer of lncRNA HOTTIP Promotes Cisplatin Resistance in Gastric Cancer Cells by Regulating HMGA1/miR-218 Axis.

Applications

Unspecified application

Species

Unspecified reactive species

Jingyu Wang,Baojun Lv,Yonghui Su,Xiao Wang,Juyuan Bu,Lan Yao

The Journal of biological chemistry 289:8916-30 PubMed24526689

2014

The U4/U6 recycling factor SART3 has histone chaperone activity and associates with USP15 to regulate H2B deubiquitination.

Applications

Unspecified application

Species

Unspecified reactive species

Lindsey Long,Joseph P Thelen,Melonnie Furgason,Mahmood Haj-Yahya,Ashraf Brik,Dongmei Cheng,Junmin Peng,Tingting Yao

Cell cycle (Georgetown, Tex.) 12:3286-97 PubMed24036545

2013

Human CAF-1-dependent nucleosome assembly in a defined system.

Applications

Unspecified application

Species

Unspecified reactive species

Lyudmila Y Kadyrova,Elena Rodriges Blanko,Farid A Kadyrov

Cell reports 4:589-600 PubMed23911284

2013

Locus-specific proteomics by TChP: targeted chromatin purification.

Applications

WB

Species

Human

Farzin Pourfarzad,Ali Aghajanirefah,Ernie de Boer,Sara Ten Have,Thamar Bryn van Dijk,Sima Kheradmandkia,Ralph Stadhouders,Supat Thongjuea,Eric Soler,Nynke Gillemans,Marieke von Lindern,Jeroen Demmers,Sjaak Philipsen,Frank Grosveld
View all publications

Product promise

We are committed to supporting your work with high-quality reagents, and we're here for you every step of the way. In the unlikely event that one of our products does not perform as expected, you're protected by our Product Promise.
For full details, please see our Terms & Conditions

Please note: All products are 'FOR RESEARCH USE ONLY. NOT FOR USE IN DIAGNOSTIC OR THERAPEUTIC PROCEDURES'.

For licensing inquiries, please contact partnerships@abcam.com