JavaScript is disabled in your browser. Please enable JavaScript to view this website.
AB250061

Anti-NAP1L1 antibody [EPR11845] - BSA and Azide free

Be the first to review this product! Submit a review

|

(1 Publication)

Rabbit Recombinant Monoclonal NAP1L1 antibody. Carrier free. Suitable for IHC-P, ICC/IF, IP, WB, Flow Cyt (Intra) and reacts with Human samples. Cited in 1 publication.

View Alternative Names

NRP, NAP1L1, Nucleosome assembly protein 1-like 1, NAP-1-related protein, hNRP

5 Images
Flow Cytometry (Intracellular) - Anti-NAP1L1 antibody [EPR11845] - BSA and Azide free (AB250061)
  • Flow Cyt (Intra)

Supplier Data

Flow Cytometry (Intracellular) - Anti-NAP1L1 antibody [EPR11845] - BSA and Azide free (AB250061)

This data was developed using ab178687, the same antibody clone in a different buffer formulation.

Intracellular flow cytometric analysis of permeabilized 293T cells using ab178687 at a 1/10 dilution (red) or a rabbit IgG (negative) (green).

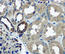
Immunohistochemistry (Formalin/PFA-fixed paraffin-embedded sections) - Anti-NAP1L1 antibody [EPR11845] - BSA and Azide free (AB250061)
  • IHC-P

Supplier Data

Immunohistochemistry (Formalin/PFA-fixed paraffin-embedded sections) - Anti-NAP1L1 antibody [EPR11845] - BSA and Azide free (AB250061)

This data was developed using ab178687, the same antibody clone in a different buffer formulation.

Immunohistochemical analysis of paraffin-embedded Human kidney tissue labeling NAP1L1 with ab178687 at a 1/50 dilution.

Perform heat mediated antigen retrieval with citrate buffer pH 6 before commencing with IHC staining protocol.

Immunocytochemistry/ Immunofluorescence - Anti-NAP1L1 antibody [EPR11845] - BSA and Azide free (AB250061)
  • ICC/IF

Supplier Data

Immunocytochemistry/ Immunofluorescence - Anti-NAP1L1 antibody [EPR11845] - BSA and Azide free (AB250061)

This data was developed using ab178687, the same antibody clone in a different buffer formulation.

Immunofluorescence analysis of HeLa cells labeling NAP1L1 with ab178687 at a 1/100 dilution. DAPI nuclear staining (blue).

Western blot - Anti-NAP1L1 antibody [EPR11845] - BSA and Azide free (AB250061)
  • WB

Supplier Data

Western blot - Anti-NAP1L1 antibody [EPR11845] - BSA and Azide free (AB250061)

This data was developed using ab178687, the same antibody clone in a different buffer formulation.

All lanes:

Western blot - Anti-NAP1L1 antibody [EPR11845] (<a href='/en-us/products/primary-antibodies/nap1l1-antibody-epr11845-ab178687'>ab178687</a>) at 1/10000 dilution

Lane 1:

HeLa cell lysate at 10 µg

Lane 2:

293T cell lysate at 10 µg

Lane 3:

A431 cell lysate at 10 µg

Lane 4:

Jurkat cell lysate at 10 µg

Predicted band size: 45 kDa

false

Immunoprecipitation - Anti-NAP1L1 antibody [EPR11845] - BSA and Azide free (AB250061)
  • IP

Supplier Data

Immunoprecipitation - Anti-NAP1L1 antibody [EPR11845] - BSA and Azide free (AB250061)

This data was developed using ab178687, the same antibody clone in a different buffer formulation.

Western blot analysis on immunoprecipitation pellet from (Lane 1) 293T cell lysate or (Lane 2) 1X PBS (negative control) using ab178687 at a 1/10 dilution for IP and HRP-conjugated anti-rabbit IgG preferentially detecting the non-reduced form of rabbit IgG.

All lanes:

Immunoprecipitation - Anti-NAP1L1 antibody [EPR11845] (<a href='/en-us/products/primary-antibodies/nap1l1-antibody-epr11845-ab178687'>ab178687</a>)

Predicted band size: 45 kDa

false

Key facts

Host species

Rabbit

Clonality

Monoclonal

Clone number

EPR11845

Isotype

IgG

Carrier free

Yes

Reacts with

Human

Applications

IP, ICC/IF, Flow Cyt (Intra), WB, IHC-P

applications

Immunogen

The exact immunogen used to generate this antibody is proprietary information.

Reactivity data

{ "title": "Reactivity Data", "filters": { "stats": ["", "Species", "Dilution Info", "Notes"], "tabs": { "all-applications": {"fullname" : "All Applications", "shortname": "All Applications"}, "IHCP" : {"fullname" : "Immunohistochemistry (Formalin/PFA-fixed paraffin-embedded sections)", "shortname":"IHC-P"}, "ICCIF" : {"fullname" : "Immunocytochemistry/ Immunofluorescence", "shortname":"ICC/IF"}, "IP" : {"fullname" : "Immunoprecipitation", "shortname":"IP"}, "WB" : {"fullname" : "Western blot", "shortname":"WB"}, "FlowCytIntra" : {"fullname" : "Flow Cytometry (Intracellular)", "shortname":"Flow Cyt (Intra)"} }, "product-promise": { "all": "all", "testedAndGuaranteed": "tested", "guaranteed": "expected", "predicted": "predicted", "notRecommended": "not-recommended" } }, "values": { "Human": { "IHCP-species-checked": "testedAndGuaranteed", "IHCP-species-dilution-info": "", "IHCP-species-notes": "<p></p>", "ICCIF-species-checked": "testedAndGuaranteed", "ICCIF-species-dilution-info": "", "ICCIF-species-notes": "<p></p>", "IP-species-checked": "testedAndGuaranteed", "IP-species-dilution-info": "", "IP-species-notes": "<p></p>", "WB-species-checked": "testedAndGuaranteed", "WB-species-dilution-info": "", "WB-species-notes": "<p></p>", "FlowCytIntra-species-checked": "testedAndGuaranteed", "FlowCytIntra-species-dilution-info": "", "FlowCytIntra-species-notes": "<p></p>" } } }

Product details

ab250061 is the carrier-free version of ab178687.

Species reactivity
Mouse, Rat: We have preliminary internal testing data to indicate this antibody may not react with these species.
Please contact us for more information.

Patented technology
Our RabMAb® technology is a patented hybridoma-based technology for making rabbit monoclonal antibodies. For details on our patents, please refer to RabMAb® patents.

What are the advantages of a recombinant monoclonal antibody?
This product is a recombinant monoclonal antibody, which offers several advantages including:

  • - High batch-to-batch consistency and reproducibility
  • - Improved sensitivity and specificity
  • - Long-term security of supply
  • - Animal-free batch production

For more information, read more on recombinant antibodies.

Conjugation ready
Our carrier-free antibodies are typically supplied in a PBS-only formulation, purified and free of BSA, sodium azide and glycerol. This conjugation-ready format is designed for use with fluorochromes, metal isotopes, oligonucleotides, and enzymes, which makes them ideal for antibody labelling, functional and cell-based assays, flow-based assays (e.g. mass cytometry) and Multiplex Imaging applications.

Use our conjugation kits for antibody conjugates that are ready-to-use in as little as 20 minutes with 1 minute hands-on-time and 100% antibody recovery: available for fluorescent dyes, HRP, biotin and gold.

Compatibility
This product is compatible with the Maxpar® Antibody Labeling Kit from Fluidigm, without the need for antibody preparation. Maxpar® is a trademark of Fluidigm Canada Inc.

Properties and storage information

Form
Liquid
Purification technique
Affinity purification
Storage buffer
pH: 7.2 - 7.4 Constituents: PBS
Shipped at conditions
Blue Ice
Appropriate short-term storage conditions
+4°C
Appropriate long-term storage conditions
+4°C
Storage information
Do Not Freeze

Supplementary information

This supplementary information is collated from multiple sources and compiled automatically.

NAP1L1 also known as Nucleosome Assembly Protein 1-Like 1 plays a role mechanically by assisting in nucleosome assembly. This protein has a mass of about 45 kDa and is expressed in various tissues including the brain and liver. NAP1L1 moves within the nucleus and cytoplasm which allows interaction with DNA and other proteins involved in chromatin organization.
Biological function summary

NAP1L1 contributes to chromatin remodeling by facilitating the assembly and disassembly of nucleosomes. NAP1L1 forms part of a complex that modulates chromatin structure and function influencing gene expression and DNA replication. It interacts with histones contributing to the deposition and removal of histones H2A and H2B making it essential for proper cell cycle progression and regulation.

Pathways

NAP1L1 acts in key signaling interconnected with chromatin modification and cell cycle control. It participates in the histone chaperone pathways influencing chromatin structure dynamics. NAP1L1 associates with proteins like histone H2A-H2B and the chromatin assembly factor CAF-1. These proteins collectively maintain chromatin integrity and regulation during DNA replication and repair processes.

NAP1L1 has links to certain cancers and neurological disorders. Increased levels of NAP1L1 are observable in some tumor types suggesting a role in cancer progression. In neurological contexts alterations in this protein are noted in conditions like Alzheimer's disease where chromatin misregulation is apparent. Connections with other proteins such as histone variants may further implicate NAP1L1 in these pathological states.

Product protocols

For this product, it's our understanding that no specific protocols are required. You can visit:

Target data

Histone chaperone that plays a role in the nuclear import of H2A-H2B and nucleosome assembly (PubMed : 20002496, PubMed : 21211722, PubMed : 26841755). Participates also in several important DNA repair mechanisms : greatly enhances ERCC6-mediated chromatin remodeling which is essential for transcription-coupled nucleotide excision DNA repair (PubMed : 28369616). Stimulates also homologous recombination (HR) by RAD51 and RAD54 which is essential in mitotic DNA double strand break (DSB) repair (PubMed : 24798879). Plays a key role in the regulation of embryonic neurogenesis (By similarity). Promotes the proliferation of neural progenitors and inhibits neuronal differentiation during cortical development (By similarity). Regulates neurogenesis via the modulation of RASSF10; regulates RASSF10 expression by promoting SETD1A-mediated H3K4 methylation at the RASSF10 promoter (By similarity).. (Microbial infection) Positively regulates Epstein-Barr virus reactivation in epithelial cells through the induction of viral BZLF1 expression.. (Microbial infection) Together with human herpesvirus 8 protein LANA1, assists the proper assembly of the nucleosome on the replicated viral DNA.
See full target information NAP1L1

Publications (1)

Recent publications for all applications. Explore the full list and refine your search

Journal of extracellular vesicles 3: PubMed25206958

2014

Recovery of extracellular vesicles from human breast milk is influenced by sample collection and vesicle isolation procedures.

Applications

Unspecified application

Species

Unspecified reactive species

Marijke I Zonneveld,Alain R Brisson,Martijn J C van Herwijnen,Sisareuth Tan,Chris H A van de Lest,Frank A Redegeld,Johan Garssen,Marca H M Wauben,Esther N M Nolte-'t Hoen
View all publications

Product promise

We are committed to supporting your work with high-quality reagents, and we're here for you every step of the way. In the unlikely event that one of our products does not perform as expected, you're protected by our Product Promise.
For full details, please see our Terms & Conditions

Please note: All products are 'FOR RESEARCH USE ONLY. NOT FOR USE IN DIAGNOSTIC OR THERAPEUTIC PROCEDURES'.

For licensing inquiries, please contact partnerships@abcam.com