JavaScript is disabled in your browser. Please enable JavaScript to view this website.
AB127699

Anti-NAPRT1 antibody

Be the first to review this product! Submit a review

|

(3 Publications)

Rabbit Polyclonal NAPRT1 antibody. Suitable for IHC-P, WB, ICC/IF and reacts with Human samples. Cited in 3 publications. Immunogen corresponding to Recombinant Fragment Protein within Human NAPRT aa 100-450.

View Alternative Names

FHIP, NAPRT1, NAPRT, Nicotinate phosphoribosyltransferase, NAPRTase, FHA-HIT-interacting protein, Nicotinate phosphoribosyltransferase domain-containing protein 1

3 Images
Immunocytochemistry/ Immunofluorescence - Anti-NAPRT1 antibody (AB127699)
  • ICC/IF

Unknown

Immunocytochemistry/ Immunofluorescence - Anti-NAPRT1 antibody (AB127699)

ab127699, at a dilution of 1/500, staining NAPRT1 in methanol-fixed HeLa cells by Immunofluorescence (Green). Alpha-tubulin filaments were stained Red.

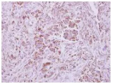
Immunohistochemistry (Formalin/PFA-fixed paraffin-embedded sections) - Anti-NAPRT1 antibody (AB127699)
  • IHC-P

Unknown

Immunohistochemistry (Formalin/PFA-fixed paraffin-embedded sections) - Anti-NAPRT1 antibody (AB127699)

ab127699, at a dilution of 1/500, staining NAPRT1 in paraffin-embedded Human lung carcinoma tissue by Immunohistochemistry.

Western blot - Anti-NAPRT1 antibody (AB127699)
  • WB

Unknown

Western blot - Anti-NAPRT1 antibody (AB127699)

7.5% SDS PAGE

All lanes:

Western blot - Anti-NAPRT1 antibody (ab127699) at 1/10000 dilution

All lanes:

HeLa whole cell lysate at 30 µg

Predicted band size: 58 kDa

false

Key facts

Host species

Rabbit

Clonality

Polyclonal

Isotype

IgG

Carrier free

No

Reacts with

Human

Applications

WB, IHC-P, ICC/IF

applications

Immunogen

Recombinant Fragment Protein within Human NAPRT aa 100-450. The exact immunogen used to generate this antibody is proprietary information.

Q6XQN6

Reactivity data

{ "title": "Reactivity Data", "filters": { "stats": ["", "Species", "Dilution Info", "Notes"], "tabs": { "all-applications": {"fullname" : "All Applications", "shortname": "All Applications"}, "IHCP" : {"fullname" : "Immunohistochemistry (Formalin/PFA-fixed paraffin-embedded sections)", "shortname":"IHC-P"}, "WB" : {"fullname" : "Western blot", "shortname":"WB"}, "ICCIF" : {"fullname" : "Immunocytochemistry/ Immunofluorescence", "shortname":"ICC/IF"} }, "product-promise": { "all": "all", "testedAndGuaranteed": "tested", "guaranteed": "expected", "predicted": "predicted", "notRecommended": "not-recommended" } }, "values": { "Human": { "IHCP-species-checked": "testedAndGuaranteed", "IHCP-species-dilution-info": "1/100 - 1/1000", "IHCP-species-notes": "<p></p> Perform heat-mediated antigen retrieval with citrate buffer pH 6 before commencing with IHC staining protocol.", "WB-species-checked": "testedAndGuaranteed", "WB-species-dilution-info": "1/5000 - 1/20000", "WB-species-notes": "<p></p>", "ICCIF-species-checked": "testedAndGuaranteed", "ICCIF-species-dilution-info": "1/100 - 1/1000", "ICCIF-species-notes": "<p></p>" } } }

Properties and storage information

Form
Liquid
Purification technique
Affinity purification Immunogen
Storage buffer
pH: 7 Preservative: 0.01% Thimerosal (merthiolate) Constituents: PBS, 20% Glycerol (glycerin, glycerine), 1% BSA
Shipped at conditions
Blue Ice
Appropriate short-term storage conditions
+4°C
Appropriate long-term storage conditions
-20°C
Aliquoting information
Upon delivery aliquot
Storage information
Avoid freeze / thaw cycle

Supplementary information

This supplementary information is collated from multiple sources and compiled automatically.

NAPRT1 also known as nicotinate phosphoribosyltransferase plays an important role in the Preiss-Handler pathway where it converts nicotinic acid (a form of vitamin B3) to nicotinic acid mononucleotide. NAPRT1 is approximately 55 kDa in size. This protein mainly expresses in liver kidney and several tissues with high metabolic rates. An accurate understanding of NAPRT1’s expression is essential for targeting its function in NAD+ biosynthesis.
Biological function summary

Nicotinate phosphoribosyltransferase participates in the biosynthesis of NAD+ an important cofactor in redox reactions. It combines with other enzymes to effectively maintain NAD+ levels in cells. NAD+ supports cellular metabolism DNA repair and longevity. NAPRT1's activity integrated with other components sustains cellular energy processes and influences cellular health.

Pathways

NAD+ biosynthesis involves multiple mechanisms where NAPRT1 holds importance. One significant pathway includes the Preiss-Handler pathway where NAPRT1 works in tandem with NMNAT1 to ensure NAD+ production. Other pathways also connect NAPRT1 with NAMPT another enzyme that converts nicotinamide to NAD+ highlighting the biochemical network sustaining NAD+ levels important for cell function.

Alterations in NAPRT1 expression relate to pellagra a condition resulting from vitamin B3 deficiency. Research also links NAPRT1 to certain cancers where its expression may support tumor metabolism. NAPRT1's association with NAMPT makes it a potential biomarker for therapeutic strategies aiming to modulate NAD+ biosynthesis in pathological states.

Product protocols

For this product, it's our understanding that no specific protocols are required. You can visit:

Target data

Catalyzes the first step in the biosynthesis of NAD from nicotinic acid, the ATP-dependent synthesis of beta-nicotinate D-ribonucleotide from nicotinate and 5-phospho-D-ribose 1-phosphate (PubMed : 17604275, PubMed : 21742010, PubMed : 26042198). Helps prevent cellular oxidative stress via its role in NAD biosynthesis (PubMed : 17604275).
See full target information NAPRT

Publications (3)

Recent publications for all applications. Explore the full list and refine your search

Nature communications 14:8095 PubMed38092728

2023

Niacin restriction with NAMPT-inhibition is synthetic lethal to neuroendocrine carcinoma.

Applications

Unspecified application

Species

Unspecified reactive species

Miyuki Nomura,Mai Ohuchi,Yoshimi Sakamoto,Kei Kudo,Keisuke Yaku,Tomoyoshi Soga,Yuki Sugiura,Mami Morita,Kayoko Hayashi,Shuko Miyahara,Taku Sato,Yoji Yamashita,Shigemi Ito,Naohiko Kikuchi,Ikuro Sato,Rintaro Saito,Nobuo Yaegashi,Tatsuro Fukuhara,Hidekazu Yamada,Hiroshi Shima,Keiichi I Nakayama,Atsushi Hirao,Kenta Kawasaki,Yoichi Arai,Shusuke Akamatsu,Sei-Ichi Tanuma,Toshiro Sato,Takashi Nakagawa,Nobuhiro Tanuma

FEBS letters 594:1379-1388 PubMed31950503

2020

Divergent metabolic responses dictate vulnerability to NAMPT inhibition in ovarian cancer.

Applications

Unspecified application

Species

Unspecified reactive species

Kei Kudo,Miyuki Nomura,Yoshimi Sakamoto,Shigemi Ito,Mami Morita,Masaaki Kawai,Yoji Yamashita,Kiyoshi Ito,Hidekazu Yamada,Hiroshi Shima,Nobuo Yaegashi,Nobuhiro Tanuma

Scientific reports 6:38489 PubMed27924925

2016

Replicatively senescent human fibroblasts reveal a distinct intracellular metabolic profile with alterations in NAD+ and nicotinamide metabolism.

Applications

Unspecified application

Species

Unspecified reactive species

Emma L James,James A E Lane,Ryan D Michalek,Edward D Karoly,E Kenneth Parkinson
View all publications

Product promise

We are committed to supporting your work with high-quality reagents, and we're here for you every step of the way. In the unlikely event that one of our products does not perform as expected, you're protected by our Product Promise.
For full details, please see our Terms & Conditions

Please note: All products are 'FOR RESEARCH USE ONLY. NOT FOR USE IN DIAGNOSTIC OR THERAPEUTIC PROCEDURES'.

For licensing inquiries, please contact partnerships@abcam.com