JavaScript is disabled in your browser. Please enable JavaScript to view this website.
AB211529

Anti-NAPRT1 antibody [CL0665]

4

(1 Review)

|

(5 Publications)

Mouse Monoclonal NAPRT1 antibody. Suitable for IHC-P, WB and reacts with Human samples. Cited in 5 publications. Immunogen corresponding to Recombinant Fragment Protein within Human NAPRT aa 50-200.

View Alternative Names

FHIP, NAPRT1, NAPRT, Nicotinate phosphoribosyltransferase, NAPRTase, FHA-HIT-interacting protein, Nicotinate phosphoribosyltransferase domain-containing protein 1

7 Images
Immunohistochemistry (Formalin/PFA-fixed paraffin-embedded sections) - Anti-NAPRT1 antibody [CL0665] (AB211529)
  • IHC-P

Unknown

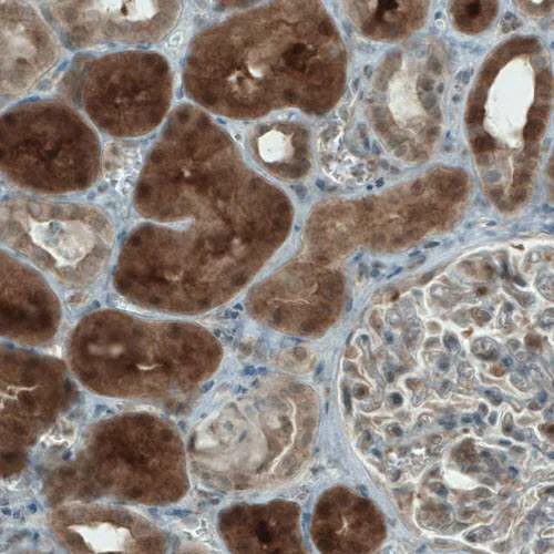
Immunohistochemistry (Formalin/PFA-fixed paraffin-embedded sections) - Anti-NAPRT1 antibody [CL0665] (AB211529)

Immunohistochemical analysis of paraffin-embedded Human kidney tissue labeling NAPRT1 with ab211529 at 1/200 dilution.

Immunohistochemistry (Formalin/PFA-fixed paraffin-embedded sections) - Anti-NAPRT1 antibody [CL0665] (AB211529)
  • IHC-P

Supplier Data

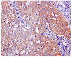
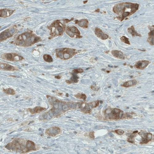
Immunohistochemistry (Formalin/PFA-fixed paraffin-embedded sections) - Anti-NAPRT1 antibody [CL0665] (AB211529)

Immunohistochemical analysis of paraffin-embedded Humanbreast cancer tissue labeling NAPRT1 with ab211529 at 1/200 dilution.

Immunohistochemistry (Formalin/PFA-fixed paraffin-embedded sections) - Anti-NAPRT1 antibody [CL0665] (AB211529)
  • IHC-P

Supplier Data

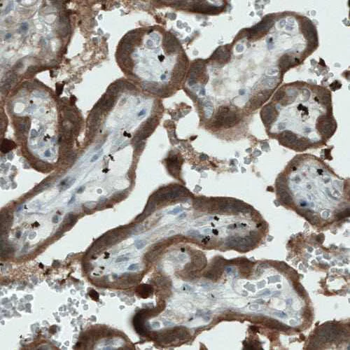
Immunohistochemistry (Formalin/PFA-fixed paraffin-embedded sections) - Anti-NAPRT1 antibody [CL0665] (AB211529)

Immunohistochemical analysis of paraffin-embedded Human placenta tissue labeling NAPRT1 with ab211529 at 1/200 dilution.

Immunohistochemistry (Formalin/PFA-fixed paraffin-embedded sections) - Anti-NAPRT1 antibody [CL0665] (AB211529)
  • IHC-P

Supplier Data

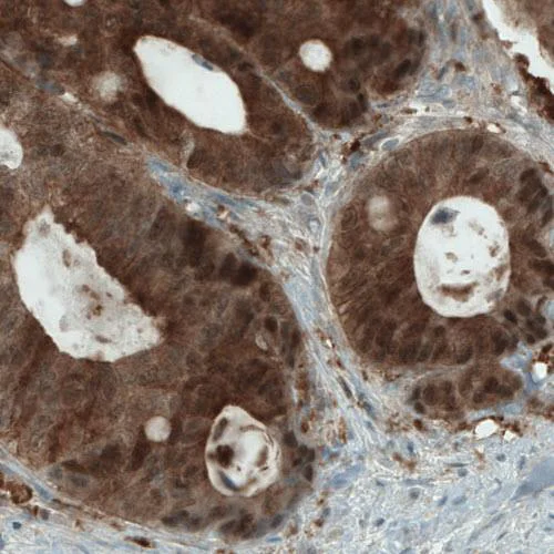
Immunohistochemistry (Formalin/PFA-fixed paraffin-embedded sections) - Anti-NAPRT1 antibody [CL0665] (AB211529)

Immunohistochemical analysis of paraffin-embedded Human colorectal cancer tissue labeling NAPRT1 with ab211529 at 1/200 dilution.

Immunohistochemistry (Formalin/PFA-fixed paraffin-embedded sections) - Anti-NAPRT1 antibody [CL0665] (AB211529)
  • IHC-P

Supplier Data

Immunohistochemistry (Formalin/PFA-fixed paraffin-embedded sections) - Anti-NAPRT1 antibody [CL0665] (AB211529)

Immunohistochemical analysis of paraffin-embedded Human stomach tissue labeling NAPRT1 with ab211529 at 1/200 dilution.

Immunohistochemistry (Formalin/PFA-fixed paraffin-embedded sections) - Anti-NAPRT1 antibody [CL0665] (AB211529)
  • IHC-P

Supplier Data

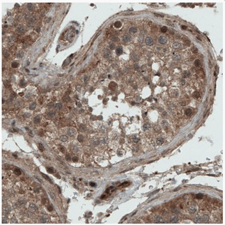
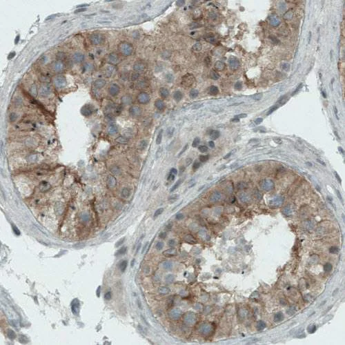
Immunohistochemistry (Formalin/PFA-fixed paraffin-embedded sections) - Anti-NAPRT1 antibody [CL0665] (AB211529)

Immunohistochemical analysis of paraffin-embedded Human testis tissue labeling NAPRT1 with ab211529 at 1/200 dilution.

Western blot - Anti-NAPRT1 antibody [CL0665] (AB211529)
  • WB

Supplier Data

Western blot - Anti-NAPRT1 antibody [CL0665] (AB211529)

All lanes:

Western blot - Anti-NAPRT1 antibody [CL0665] (ab211529) at 1/500 dilution

All lanes:

Human liver tissue lysate

Predicted band size: 58 kDa

false

Key facts

Host species

Mouse

Clonality

Monoclonal

Clone number

CL0665

Isotype

IgG1

Carrier free

No

Reacts with

Human

Applications

IHC-P, WB

applications

Immunogen

Recombinant Fragment Protein within Human NAPRT aa 50-200. The exact immunogen used to generate this antibody is proprietary information.

Q6XQN6

Epitope

Binds to an epitope located within the peptide sequence PAFFEHLRALDCSEV (aa90-104) as determined by overlapping synthetic peptides.

Reactivity data

{ "title": "Reactivity Data", "filters": { "stats": ["", "Species", "Dilution Info", "Notes"], "tabs": { "all-applications": {"fullname" : "All Applications", "shortname": "All Applications"}, "IHCP" : {"fullname" : "Immunohistochemistry (Formalin/PFA-fixed paraffin-embedded sections)", "shortname":"IHC-P"}, "WB" : {"fullname" : "Western blot", "shortname":"WB"} }, "product-promise": { "all": "all", "testedAndGuaranteed": "tested", "guaranteed": "expected", "predicted": "predicted", "notRecommended": "not-recommended" } }, "values": { "Human": { "IHCP-species-checked": "testedAndGuaranteed", "IHCP-species-dilution-info": "1/200 - 1/500", "IHCP-species-notes": "<p></p> Perform heat-mediated antigen retrieval with citrate buffer pH 6 before commencing with IHC staining protocol.", "WB-species-checked": "testedAndGuaranteed", "WB-species-dilution-info": "1/500 - 1/1000", "WB-species-notes": "<p></p>" }, "Mouse": { "IHCP-species-checked": "predicted", "IHCP-species-dilution-info": "", "IHCP-species-notes": "", "WB-species-checked": "predicted", "WB-species-dilution-info": "", "WB-species-notes": "" }, "Rat": { "IHCP-species-checked": "predicted", "IHCP-species-dilution-info": "", "IHCP-species-notes": "", "WB-species-checked": "predicted", "WB-species-dilution-info": "", "WB-species-notes": "" }, "Cow": { "IHCP-species-checked": "predicted", "IHCP-species-dilution-info": "", "IHCP-species-notes": "", "WB-species-checked": "predicted", "WB-species-dilution-info": "", "WB-species-notes": "" } } }

Properties and storage information

Form
Liquid
Purification technique
Affinity purification Protein A
Storage buffer
pH: 7.2 Preservative: 0.02% Sodium azide Constituents: PBS, 40% Glycerol (glycerin, glycerine)
Shipped at conditions
Blue Ice
Appropriate short-term storage duration
1-2 weeks
Appropriate short-term storage conditions
+4°C
Appropriate long-term storage conditions
-20°C
Aliquoting information
Upon delivery aliquot
Storage information
Avoid freeze / thaw cycle

Supplementary information

This supplementary information is collated from multiple sources and compiled automatically.

NAPRT1 also known as nicotinate phosphoribosyltransferase plays an important role in the Preiss-Handler pathway where it converts nicotinic acid (a form of vitamin B3) to nicotinic acid mononucleotide. NAPRT1 is approximately 55 kDa in size. This protein mainly expresses in liver kidney and several tissues with high metabolic rates. An accurate understanding of NAPRT1’s expression is essential for targeting its function in NAD+ biosynthesis.
Biological function summary

Nicotinate phosphoribosyltransferase participates in the biosynthesis of NAD+ an important cofactor in redox reactions. It combines with other enzymes to effectively maintain NAD+ levels in cells. NAD+ supports cellular metabolism DNA repair and longevity. NAPRT1's activity integrated with other components sustains cellular energy processes and influences cellular health.

Pathways

NAD+ biosynthesis involves multiple mechanisms where NAPRT1 holds importance. One significant pathway includes the Preiss-Handler pathway where NAPRT1 works in tandem with NMNAT1 to ensure NAD+ production. Other pathways also connect NAPRT1 with NAMPT another enzyme that converts nicotinamide to NAD+ highlighting the biochemical network sustaining NAD+ levels important for cell function.

Alterations in NAPRT1 expression relate to pellagra a condition resulting from vitamin B3 deficiency. Research also links NAPRT1 to certain cancers where its expression may support tumor metabolism. NAPRT1's association with NAMPT makes it a potential biomarker for therapeutic strategies aiming to modulate NAD+ biosynthesis in pathological states.

Product protocols

For this product, it's our understanding that no specific protocols are required. You can visit:

Target data

Catalyzes the first step in the biosynthesis of NAD from nicotinic acid, the ATP-dependent synthesis of beta-nicotinate D-ribonucleotide from nicotinate and 5-phospho-D-ribose 1-phosphate (PubMed : 17604275, PubMed : 21742010, PubMed : 26042198). Helps prevent cellular oxidative stress via its role in NAD biosynthesis (PubMed : 17604275).
See full target information NAPRT

Publications (5)

Recent publications for all applications. Explore the full list and refine your search

Cell death & disease 16:342 PubMed40280967

2025

Targeting metabolic vulnerability by combining NAMPT inhibitors and disulfiram for treatment of recurrent ovarian cancer.

Applications

Unspecified application

Species

Unspecified reactive species

Kei Kudo,Yoshimi Endo Greer,Daniel R Crooks,Ye Yang,Jeffrey R Brender,Teruhiko Yoshida,Brittney S Harrington,Rahul Kamdar,Soumya Korrapati,Yusuke Shibuya,Leah Henegar,Jeffrey Kopp,Takeo Fujii,Stanley Lipkowitz,Christina M Annunziata

iScience 28:112283 PubMed40241769

2025

Exploiting the therapeutic vulnerability of IDH-mutant gliomas with zotiraciclib.

Applications

Unspecified application

Species

Unspecified reactive species

Ying Pang,Qi Li,Zach Sergi,Guangyang Yu,Olga Kim,Peng Lu,Marina Chan,Xueyu Sang,Herui Wang,Alice Ranjan,Robert W Robey,Ferri Soheilian,Bao Tran,Felipe J Núñez,Meili Zhang,Hua Song,Wei Zhang,Dionne Davis,Mark R Gilbert,Michael M Gottesman,Zhenggang Liu,Craig J Thomas,Maria G Castro,Taranjit S Gujral,Jing Wu

Neoplasia (New York, N.Y.) 41:100903 PubMed37148658

2023

Mitochondrial rewiring drives metabolic adaptation to NAD(H) shortage in triple negative breast cancer cells.

Applications

Unspecified application

Species

Unspecified reactive species

Agata Sofia Assuncao Carreira,Silvia Ravera,Chiara Zucal,Natthakan Thongon,Irene Caffa,Cecilia Astigiano,Nadia Bertola,Arianna Buongiorno,Michela Roccuzzo,Alessandra Bisio,Barbara Pardini,Alessio Nencioni,Santina Bruzzone,Alessandro Provenzani

Cancer & metabolism 6:1 PubMed29541451

2018

Cancer cell metabolic plasticity allows resistance to NAMPT inhibition but invariably induces dependence on LDHA.

Applications

Unspecified application

Species

Unspecified reactive species

Natthakan Thongon,Chiara Zucal,Vito Giuseppe D'Agostino,Toma Tebaldi,Silvia Ravera,Federica Zamporlini,Francesco Piacente,Ruxanda Moschoi,Nadia Raffaelli,Alessandro Quattrone,Alessio Nencioni,Jean-Francois Peyron,Alessandro Provenzani

Cancer research 77:3857-3869 PubMed28507103

2017

Nicotinic Acid Phosphoribosyltransferase Regulates Cancer Cell Metabolism, Susceptibility to NAMPT Inhibitors, and DNA Repair.

Applications

Unspecified application

Species

Unspecified reactive species

Francesco Piacente,Irene Caffa,Silvia Ravera,Giovanna Sociali,Mario Passalacqua,Valerio G Vellone,Pamela Becherini,Daniele Reverberi,Fiammetta Monacelli,Alberto Ballestrero,Patrizio Odetti,Antonia Cagnetta,Michele Cea,Aimable Nahimana,Michel Duchosal,Santina Bruzzone,Alessio Nencioni
View all publications

Product promise

We are committed to supporting your work with high-quality reagents, and we're here for you every step of the way. In the unlikely event that one of our products does not perform as expected, you're protected by our Product Promise.
For full details, please see our Terms & Conditions

Please note: All products are 'FOR RESEARCH USE ONLY. NOT FOR USE IN DIAGNOSTIC OR THERAPEUTIC PROCEDURES'.

For licensing inquiries, please contact partnerships@abcam.com