JavaScript is disabled in your browser. Please enable JavaScript to view this website.
AB248320

Anti-NARS antibody [EPR8221] - BSA and Azide free

Be the first to review this product! Submit a review

|

(1 Publication)

Rabbit Recombinant Monoclonal NARS antibody. Carrier free. Suitable for IHC-P, WB and reacts with Human samples. Cited in 1 publication.

View Alternative Names

NARS, NRS, NARS1, Asparaginyl-tRNA synthetase, Asparaginyl-tRNA synthetase 1, AsnRS

3 Images
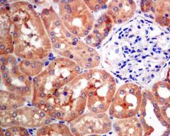
Immunohistochemistry (Formalin/PFA-fixed paraffin-embedded sections) - Anti-NARS antibody [EPR8221] - BSA and Azide free (AB248320)
  • IHC-P

Unknown

Immunohistochemistry (Formalin/PFA-fixed paraffin-embedded sections) - Anti-NARS antibody [EPR8221] - BSA and Azide free (AB248320)

This data was developed using ab129162, the same antibody clone in a different buffer formulation.

ab129162, at 1/50 dilution, staining NARS in paraffin-embedded Human kidney tissue by Immunohistochemistry.

Perform heat mediated antigen retrieval with citrate buffer pH 6 before commencing with IHC staining protocol.

Western blot - Anti-NARS antibody [EPR8221] - BSA and Azide free (AB248320)
  • WB

Unknown

Western blot - Anti-NARS antibody [EPR8221] - BSA and Azide free (AB248320)

This data was developed using ab129162, the same antibody clone in a different buffer formulation.

All lanes:

Western blot - Anti-NARS antibody [EPR8221] (<a href='/en-us/products/primary-antibodies/nars-antibody-epr8221-ab129162'>ab129162</a>) at 1/10000 dilution

Lane 1:

Human fetal liver tissue lysate at 10 µg

Lane 2:

HepG2 cell lysate at 10 µg

Lane 3:

K562 cell lysate at 10 µg

Lane 4:

HT-1080 cell lysate at 10 µg

Secondary

All lanes:

HRP labelled Goat anti-Rabbit IgG at 1/2000 dilution

Predicted band size: 63 kDa

false

OI-RD Scanning - Anti-NARS antibody [EPR8221] - BSA and Azide free (AB248320)
  • OI-RD Scanning

Unknown

OI-RD Scanning - Anti-NARS antibody [EPR8221] - BSA and Azide free (AB248320)

We have systematically measured KD (the equilibrium dissociation constant between the antibody and its antigen), of more than 840 recombinant antibodies to assess not only their individual KD values but also to see the average affinity of antibody. Based on the comparison with published literature values for mouse monoclonal antibodies, Recombinant antibodies appear to be on average 1-2 order of magnitude higher affinity.

Key facts

Host species

Rabbit

Clonality

Monoclonal

Clone number

EPR8221

Isotype

IgG

Carrier free

Yes

Reacts with

Human

Applications

WB, IHC-P

applications

Immunogen

The exact immunogen used to generate this antibody is proprietary information.

Reactivity data

{ "title": "Reactivity Data", "filters": { "stats": ["", "Species", "Dilution Info", "Notes"], "tabs": { "all-applications": {"fullname" : "All Applications", "shortname": "All Applications"}, "IHCP" : {"fullname" : "Immunohistochemistry (Formalin/PFA-fixed paraffin-embedded sections)", "shortname":"IHC-P"}, "FlowCyt" : {"fullname" : "Flow Cytometry", "shortname":"Flow Cyt"}, "WB" : {"fullname" : "Western blot", "shortname":"WB"}, "ICCIF" : {"fullname" : "Immunocytochemistry/ Immunofluorescence", "shortname":"ICC/IF"} }, "product-promise": { "all": "all", "testedAndGuaranteed": "tested", "guaranteed": "expected", "predicted": "predicted", "notRecommended": "not-recommended" } }, "values": { "Human": { "IHCP-species-checked": "testedAndGuaranteed", "IHCP-species-dilution-info": "", "IHCP-species-notes": "<p></p>", "FlowCyt-species-checked": "notRecommended", "FlowCyt-species-dilution-info": "", "FlowCyt-species-notes": "<p></p>", "WB-species-checked": "testedAndGuaranteed", "WB-species-dilution-info": "", "WB-species-notes": "<p></p>", "ICCIF-species-checked": "notRecommended", "ICCIF-species-dilution-info": "", "ICCIF-species-notes": "<p></p>" } } }

Product details

ab248320 is the carrier-free version of ab129162.

Species reactivity
Mouse, Rat: We have preliminary internal testing data to indicate this antibody may not react with these species.
Please contact us for more information.

Patented technology
Our RabMAb® technology is a patented hybridoma-based technology for making rabbit monoclonal antibodies. For details on our patents, please refer to RabMAb® patents.

What are the advantages of a recombinant monoclonal antibody?
This product is a recombinant monoclonal antibody, which offers several advantages including:

  • - High batch-to-batch consistency and reproducibility
  • - Improved sensitivity and specificity
  • - Long-term security of supply
  • - Animal-free batch production

For more information, read more on recombinant antibodies.

Conjugation ready
Our carrier-free antibodies are typically supplied in a PBS-only formulation, purified and free of BSA, sodium azide and glycerol. This conjugation-ready format is designed for use with fluorochromes, metal isotopes, oligonucleotides, and enzymes, which makes them ideal for antibody labelling, functional and cell-based assays, flow-based assays (e.g. mass cytometry) and Multiplex Imaging applications.

Use our conjugation kits for antibody conjugates that are ready-to-use in as little as 20 minutes with 1 minute hands-on-time and 100% antibody recovery: available for fluorescent dyes, HRP, biotin and gold.

Compatibility
This product is compatible with the Maxpar® Antibody Labeling Kit from Fluidigm, without the need for antibody preparation. Maxpar® is a trademark of Fluidigm Canada Inc.

Properties and storage information

Form
Liquid
Purification technique
Affinity purification Protein A
Storage buffer
pH: 7.2 - 7.4 Constituents: PBS
Shipped at conditions
Blue Ice
Appropriate short-term storage conditions
+4°C
Appropriate long-term storage conditions
+4°C
Storage information
Do Not Freeze

Supplementary information

This supplementary information is collated from multiple sources and compiled automatically.

NARS also known as asparaginyl-tRNA synthetase is an enzyme with a mass of about 65 kDa. This enzyme plays an important role in protein synthesis by catalyzing the attachment of asparagine to its corresponding tRNA. NARS is expressed in various tissues across the body with noticeable levels in the liver and brain. The enzyme operates as a homodimer and requires ATP for its catalytic activity which facilitates the formation of asparaginyl-tRNA ensuring proper translation of genetic information during protein synthesis.
Biological function summary

As an essential component of the protein synthesis machinery NARS functions to ensure the fidelity and efficiency of genetic translation. It does not form part of a larger complex but its activity is critical in maintaining cellular function by facilitating accurate amino acid incorporation into growing polypeptide chains. This precise activity is necessary for cellular viability and the prevention of erroneous protein synthesis which could lead to dysfunctional proteins and cellular stress.

Pathways

NARS interacts with multiple biological pathways including the aminoacyl-tRNA biosynthesis pathway and the protein translation pathway. NARS’s role in aminoacyl-tRNA biosynthesis is important as it interacts with other aminoacyl-tRNA synthetases to maintain balanced protein synthesis. In the protein translation pathway it works alongside other elongation factors such as EF-Tu which ensures the correct delivery of aminoacyl-tRNA to the ribosome thereby orchestrating the translation process.

NARS's dysfunction links to neurodegenerative disorders and certain cancers. Mutations or aberrant expression of NARS may result in impaired protein synthesis contributing to neurological conditions such as Charcot-Marie-Tooth disease. Other proteins involved in these disorders include GARS another tRNA synthetase associated with similar hereditary neuropathies. Additionally increased expression of NARS has been noted in some cancerous tissues implicating its potential role in tumorigenesis and highlighting its relevance in cancer pathways.

Product protocols

For this product, it's our understanding that no specific protocols are required. You can visit:

Target data

Catalyzes the attachment of asparagine to tRNA(Asn) in a two-step reaction : asparagine is first activated by ATP to form Asn-AMP and then transferred to the acceptor end of tRNA(Asn) (PubMed : 32738225, PubMed : 32788587, PubMed : 9421509). In addition to its essential role in protein synthesis, acts as a signaling molecule that induced migration of CCR3-expressing cells (PubMed : 12235211, PubMed : 30171954). Has an essential role in the development of the cerebral cortex, being required for proper proliferation of radial glial cells (PubMed : 32788587).
See full target information NARS1

Publications (1)

Recent publications for all applications. Explore the full list and refine your search

Cell proliferation 56:e13400 PubMed36642844

2023

Non-SMC condensin I complex subunit H participates in anti-programmed cell death-1 resistance of clear cell renal cell carcinomas.

Applications

Unspecified application

Species

Unspecified reactive species

Zhi Chen,Weiqiang Ruan,Chunhao Guo,Ke Chen,Le Li,Jihua Tian,Zhiquan Hu,Dan Peng,Xing Zeng
View all publications

Product promise

We are committed to supporting your work with high-quality reagents, and we're here for you every step of the way. In the unlikely event that one of our products does not perform as expected, you're protected by our Product Promise.
For full details, please see our Terms & Conditions

Please note: All products are 'FOR RESEARCH USE ONLY. NOT FOR USE IN DIAGNOSTIC OR THERAPEUTIC PROCEDURES'.

For licensing inquiries, please contact partnerships@abcam.com