JavaScript is disabled in your browser. Please enable JavaScript to view this website.
AB251186

Anti-NAT10 antibody [EPR18663] - BSA and Azide free

Be the first to review this product! Submit a review

|

(2 Publications)

Rabbit Recombinant Monoclonal NAT10 antibody. Carrier free. Suitable for WB, IP, ICC/IF, Flow Cyt (Intra), IHC-P and reacts with Human, Mouse, Rat samples. Cited in 2 publications.

View Alternative Names

ALP, KIAA1709, NAT10, RNA cytidine acetyltransferase, 18S rRNA cytosine acetyltransferase, N-acetyltransferase 10, N-acetyltransferase-like protein, hALP

11 Images
Immunocytochemistry/ Immunofluorescence - Anti-NAT10 antibody [EPR18663] - BSA and Azide free (AB251186)
  • ICC/IF

Lab

Immunocytochemistry/ Immunofluorescence - Anti-NAT10 antibody [EPR18663] - BSA and Azide free (AB251186)

This data was developed using ab194297, the same antibody clone in a different buffer formulation.

Immunofluorescent analysis of 4% paraformaldehyde-fixed, 0.1% Triton X-100 permeabilized HeLa (Human epithelial cells from cervix adenocarcinoma) cells labeling NAT10 with ab194297 at 1/2000 dilution, followed by Goat anti-rabbit IgG (Alexa Fluor® 488) (ab150077) secondary antibody at 1/1000 dilution (green).

Confocal image showing nuclear staining on HeLa cell line.

The nuclear counterstain is DAPI (blue).

Tubulin is detected with ab7291 (anti-Tubulin mouse mAb) at 1/1000 dilution and ab150120 (AlexaFluor®594 Goat anti-Mouse secondary) at 1/1000 dilution (red).

The negative controls are as follows : -
-ve control 1 : ab194297 at 1/2000 dilution followed by ab150120 (AlexaFluor®594 Goat anti-Mouse secondary) at 1/1000 dilution.
-ve control 2 : ab7291 (anti-Tubulin mouse mAb) at 1/1000 dilution followed by ab150077 (Alexa Fluor®488 Goat Anti-Rabbit IgG H&L) at 1/1000 dilution.

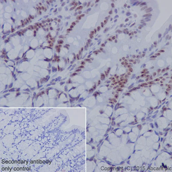
Immunohistochemistry (Formalin/PFA-fixed paraffin-embedded sections) - Anti-NAT10 antibody [EPR18663] - BSA and Azide free (AB251186)
  • IHC-P

Supplier Data

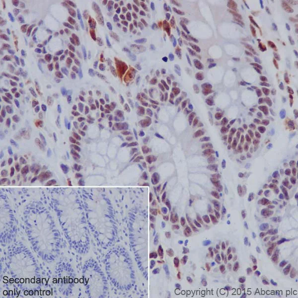
Immunohistochemistry (Formalin/PFA-fixed paraffin-embedded sections) - Anti-NAT10 antibody [EPR18663] - BSA and Azide free (AB251186)

This data was developed using ab194297, the same antibody clone in a different buffer formulation.

Immunohistochemical analysis of paraffin-embedded Human colon tissue labeling NAT10 with ab194297 at 1/500 dilution, followed by Goat Anti-Rabbit IgG H&L (HRP) (ab97051) at 1/500 dilution.

Nucleus staining on Human colon tissue is observed.

Counter stained with Hematoxylin.

Secondary antibody only control : Used PBS instead of primary antibody, secondary antibody is Goat Anti-Rabbit IgG H&L (HRP) (ab97051) at 1/500 dilution.

Perform heat mediated antigen retrieval with Tris/EDTA buffer pH 9.0 before commencing with IHC staining protocol.

Immunohistochemistry (Formalin/PFA-fixed paraffin-embedded sections) - Anti-NAT10 antibody [EPR18663] - BSA and Azide free (AB251186)
  • IHC-P

Lab

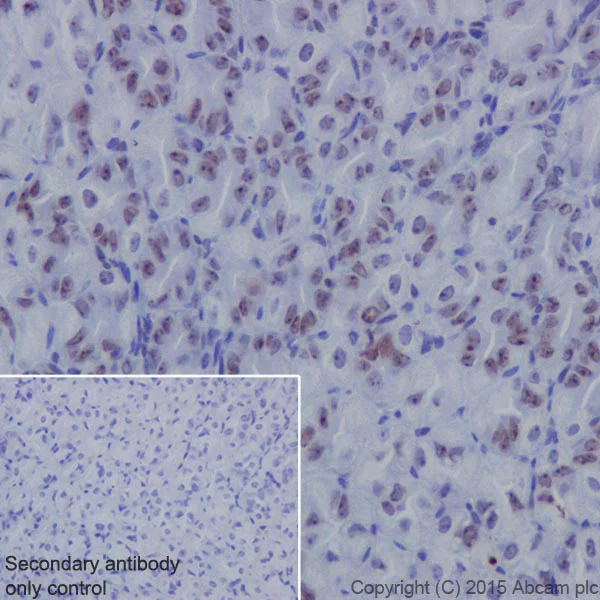
Immunohistochemistry (Formalin/PFA-fixed paraffin-embedded sections) - Anti-NAT10 antibody [EPR18663] - BSA and Azide free (AB251186)

This data was developed using ab1942997 the same antibody clone in a different buffer formulation

Immunohistochemical analysis of paraffin-embedded human colon cancer tissue labeling NAT10 with ab194297 at 1/500 dilution followed by a ready to use Rabbit specific IHC polymer detection kit HRP/DAB (ab209101).

Nuclear staining in human colon cancer.The section was incubated with ab194297 for 30 mins at room temperature.The immunostaining was performed on a Leica Biosystems BOND® RX instrument

Counterstained with Hematoxylin.

Secondary antibody only control : Secondary antibody is a ready to use Rabbit specific IHC polymer detection kit HRP/DAB (ab209101).

Heat mediated antigen retrieval using Bond Epitope Retrieval Solution 2 (pH 9.0) for 20 mins.

Immunoprecipitation - Anti-NAT10 antibody [EPR18663] - BSA and Azide free (AB251186)
  • IP

Supplier Data

Immunoprecipitation - Anti-NAT10 antibody [EPR18663] - BSA and Azide free (AB251186)

This data was developed using ab194297, the same antibody clone in a different buffer formulation.

NAT10 was immunoprecipitated from 1mg of HeLa (Human epithelial cells from cervix adenocarcinoma) cell lysate with ab194297 at 1/80 dilution.

Lane 1 : HeLa cell lysate 10ug (Input).
Lane 2 : ab194297 IP in HeLa cell lysate.
Lane 3 : Rabbit monoclonal IgG (ab172730) instead of ab194297 in HeLa cell lysate.

Western blot was performed from the immunoprecipitate using ab194297 at 1/1000 dilution. Anti-Rabbit IgG (HRP), specific to the non-reduced form of IgG, was used as secondary antibody at 1/1500.

Blocking and dilution buffer and concentration : 5% NFDM/TBST.

Exposure time : 3 seconds.

All lanes:

Immunoprecipitation - Anti-NAT10 antibody [EPR18663] (<a href='/en-us/products/primary-antibodies/nat10-antibody-epr18663-ab194297'>ab194297</a>)

Predicted band size: 115 kDa

false

Flow Cytometry (Intracellular) - Anti-NAT10 antibody [EPR18663] - BSA and Azide free (AB251186)
  • Flow Cyt (Intra)

Lab

Flow Cytometry (Intracellular) - Anti-NAT10 antibody [EPR18663] - BSA and Azide free (AB251186)

This data was developed using ab194297, the same antibody clone in a different buffer formulation.

Intracellular Flow Cytometry analysis of NIH/3T3 (mouse embryo) cells labelling NAT10 (red) with purified ab194297 at dilution of 1/600. The secondary antibody used was Alexa Fluor® 488 goat-anti-rabbit IgG (1/2000). Cells were fixed with 4% paraformaldehyde and permeabilised with 90% methanol. Isotype control antibody used was Rabbit Monoclonal IgG (black). The blue line shows cells without incubation with primary antibody and secondary antibody.

Immunohistochemistry (Formalin/PFA-fixed paraffin-embedded sections) - Anti-NAT10 antibody [EPR18663] - BSA and Azide free (AB251186)
  • IHC-P

Lab

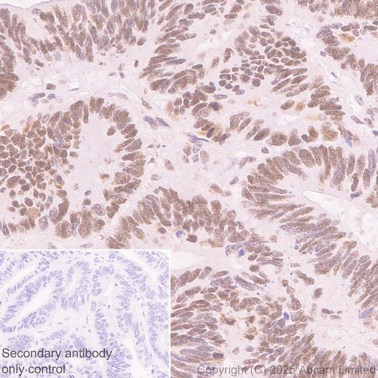
Immunohistochemistry (Formalin/PFA-fixed paraffin-embedded sections) - Anti-NAT10 antibody [EPR18663] - BSA and Azide free (AB251186)

This data was developed using ab1942997, the same antibody clone in a different buffer formulation

Immunohistochemical analysis of paraffin-embedded rat colon tissue labeling NAT10 with ab194297 at 1/2000 dilution, followed by a ready to use Rabbit specific IHC polymer detection kit HRP/DAB (ab209101).

Nuclear staining in rat colon.
The section was incubated with ab194297 for 30 mins at room temperature.
The immunostaining was performed on a Leica Biosystems BOND® RX instrument

Counterstained with Hematoxylin.

Secondary antibody only control : Secondary antibody is a ready to use Rabbit specific IHC polymer detection kit HRP/DAB (ab209101).

Heat mediated antigen retrieval using Bond Epitope Retrieval Solution 2 (pH 9.0) for 20 mins.

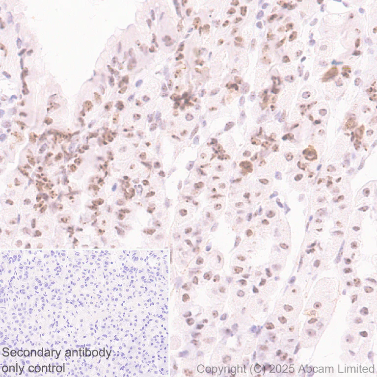
Immunohistochemistry (Formalin/PFA-fixed paraffin-embedded sections) - Anti-NAT10 antibody [EPR18663] - BSA and Azide free (AB251186)
  • IHC-P

Lab

Immunohistochemistry (Formalin/PFA-fixed paraffin-embedded sections) - Anti-NAT10 antibody [EPR18663] - BSA and Azide free (AB251186)

This data was developed using ab1942997, the same antibody clone in a different buffer formulation.

Immunohistochemical analysis of paraffin-embedded mouse stomach tissue labeling NAT10 with ab194297 at 1/2000 dilution, followed by a ready to use Rabbit specific IHC polymer detection kit HRP/DAB (ab209101).

Nuclear staining in mouse stomach.
The section was incubated with ab194297 for 30 mins at room temperature.
The immunostaining was performed on a Leica Biosystems BOND® RX instrument

Counterstained with Hematoxylin.

Secondary antibody only control : Secondary antibody is a ready to use Rabbit specific IHC polymer detection kit HRP/DAB (ab209101).

Heat mediated antigen retrieval using Bond Epitope Retrieval Solution 2 (pH 9.0) for 20 mins.

Immunohistochemistry (Formalin/PFA-fixed paraffin-embedded sections) - Anti-NAT10 antibody [EPR18663] - BSA and Azide free (AB251186)
  • IHC-P

Supplier Data

Immunohistochemistry (Formalin/PFA-fixed paraffin-embedded sections) - Anti-NAT10 antibody [EPR18663] - BSA and Azide free (AB251186)

This data was developed using ab194297, the same antibody clone in a different buffer formulation.

Immunohistochemical analysis of paraffin-embedded Rat colon tissue labeling NAT10 with ab194297 at 1/500 dilution, followed by Goat Anti-Rabbit IgG H&L (HRP) (ab97051) at 1/500 dilution.

Nucleus staining on rat colon tissue is observed.

Counter stained with Hematoxylin.

Secondary antibody only control : Used PBS instead of primary antibody, secondary antibody is Goat Anti-Rabbit IgG H&L (HRP) (ab97051) at 1/500 dilution.

Perform heat mediated antigen retrieval with Tris/EDTA buffer pH 9.0 before commencing with IHC staining protocol.

Immunocytochemistry/ Immunofluorescence - Anti-NAT10 antibody [EPR18663] - BSA and Azide free (AB251186)
  • ICC/IF

Lab

Immunocytochemistry/ Immunofluorescence - Anti-NAT10 antibody [EPR18663] - BSA and Azide free (AB251186)

This data was developed using ab194297, the same antibody clone in a different buffer formulation.

Immunofluorescent analysis of 4% paraformaldehyde-fixed, 0.1% Triton X-100 permeabilized NIH/3T3 (Mouse embyro fibroblast cells) cells labeling NAT10 with ab194297 at 1/2000 dilution, followed by Goat anti-rabbit IgG (Alexa Fluor® 488) (ab150077) secondary antibody at 1/1000 dilution (green).

Confocal image showing nuclear staining on NIH/3T3 cell line.

The nuclear counterstain is DAPI (blue).

Tubulin is detected with ab7291 (anti-Tubulin mouse mAb) at 1/1000 dilution and ab150120 (AlexaFluor®594 Goat anti-Mouse secondary) at 1/1000 dilution (red).

The negative controls are as follows : -
-ve control 1 : ab194297 at 1/2000 dilution followed by ab150120 (AlexaFluor®594 Goat anti-Mouse secondary) at 1/1000 dilution.
-ve control 2 : ab7291 (anti-Tubulin mouse mAb) at 1/1000 dilution followed by ab150077 (Alexa Fluor®488 Goat Anti-Rabbit IgG H&L) at 1/1000 dilution.

Immunohistochemistry (Formalin/PFA-fixed paraffin-embedded sections) - Anti-NAT10 antibody [EPR18663] - BSA and Azide free (AB251186)
  • IHC-P

Supplier Data

Immunohistochemistry (Formalin/PFA-fixed paraffin-embedded sections) - Anti-NAT10 antibody [EPR18663] - BSA and Azide free (AB251186)

This data was developed using ab194297, the same antibody clone in a different buffer formulation.

Immunohistochemical analysis of paraffin-embedded Mouse stomach tissue labeling NAT10 with ab194297 at 1/500 dilution, followed by Goat Anti-Rabbit IgG H&L (HRP) (ab97051) at 1/500 dilution.

Nucleus staining on mouse stomach tissue is observed.

Counter stained with Hematoxylin.

Secondary antibody only control : Used PBS instead of primary antibody, secondary antibody is Goat Anti-Rabbit IgG H&L (HRP) (ab97051) at 1/500 dilution.

Perform heat mediated antigen retrieval with Tris/EDTA buffer pH 9.0 before commencing with IHC staining protocol.

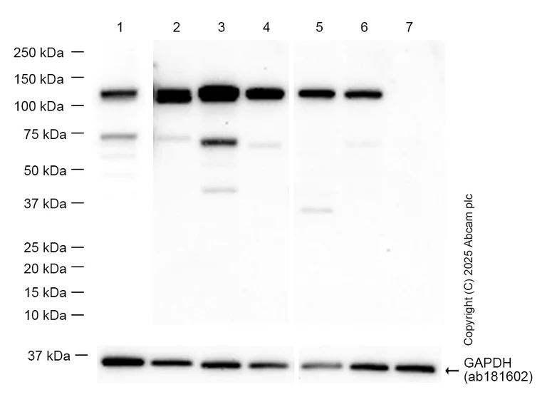
Western blot - Anti-NAT10 antibody [EPR18663] - BSA and Azide free (AB251186)
  • WB

Lab

Western blot - Anti-NAT10 antibody [EPR18663] - BSA and Azide free (AB251186)

This data was developed using ab194297, the same antibody clone in a different buffer formulation.

In Western blot, Anti-GAPDH antibody [EPR16891] - Loading Control (ab181602) staining at 1/1000000 dilution.

Exposure time : Lane 1 : 1 second; Lane 2-7 : 40 seconds

Negative : kidney (PMID : 37349316).

All lanes:

Western blot - Anti-NAT10 antibody [EPR18663] (<a href='/en-us/products/primary-antibodies/nat10-antibody-epr18663-ab194297'>ab194297</a>) at 1/1000 dilution

Lane 1:

HeLa (Human cervix adenocarcinoma epithelial cell) whole cell lysate at 20 µg

Lane 2:

HepG2 (Human hepatocellular carcinoma epithelial cell) whole cell lysate at 20 µg

Lane 3:

Mouse spleen tissue lysate at 20 µg

Lane 4:

Mouse lung tissue lysate at 20 µg

Lane 5:

Rat spleen tissue lysate at 20 µg

Lane 6:

Rat lung tissue lysate at 20 µg

Lane 7:

Rat kidney tissue lysate at 20 µg

Secondary

All lanes:

Western blot - Goat Anti-Rabbit IgG H&L (HRP) (<a href='/en-us/products/secondary-antibodies/goat-rabbit-igg-h-l-hrp-ab97051'>ab97051</a>) at 1/20000 dilution

Observed band size: 115 kDa

false

Key facts

Host species

Rabbit

Clonality

Monoclonal

Clone number

EPR18663

Isotype

IgG

Carrier free

Yes

Reacts with

Mouse, Rat, Human

Applications

Flow Cyt (Intra), ICC/IF, IP, WB, IHC-P

applications

Immunogen

The exact immunogen used to generate this antibody is proprietary information.

Reactivity data

{ "title": "Reactivity Data", "filters": { "stats": ["", "Species", "Dilution Info", "Notes"], "tabs": { "all-applications": {"fullname" : "All Applications", "shortname": "All Applications"}, "WB" : {"fullname" : "Western blot", "shortname":"WB"}, "IP" : {"fullname" : "Immunoprecipitation", "shortname":"IP"}, "ICCIF" : {"fullname" : "Immunocytochemistry/ Immunofluorescence", "shortname":"ICC/IF"}, "FlowCytIntra" : {"fullname" : "Flow Cytometry (Intracellular)", "shortname":"Flow Cyt (Intra)"}, "IHCP" : {"fullname" : "Immunohistochemistry (Formalin/PFA-fixed paraffin-embedded sections)", "shortname":"IHC-P"} }, "product-promise": { "all": "all", "testedAndGuaranteed": "tested", "guaranteed": "expected", "predicted": "predicted", "notRecommended": "not-recommended" } }, "values": { "Human": { "WB-species-checked": "testedAndGuaranteed", "WB-species-dilution-info": "", "WB-species-notes": "<p></p>", "IP-species-checked": "testedAndGuaranteed", "IP-species-dilution-info": "", "IP-species-notes": "<p></p>", "ICCIF-species-checked": "testedAndGuaranteed", "ICCIF-species-dilution-info": "", "ICCIF-species-notes": "<p></p>", "FlowCytIntra-species-checked": "guaranteed", "FlowCytIntra-species-dilution-info": "", "FlowCytIntra-species-notes": "", "IHCP-species-checked": "testedAndGuaranteed", "IHCP-species-dilution-info": "", "IHCP-species-notes": "<p></p>" }, "Mouse": { "WB-species-checked": "testedAndGuaranteed", "WB-species-dilution-info": "", "WB-species-notes": "<p></p>", "IP-species-checked": "guaranteed", "IP-species-dilution-info": "", "IP-species-notes": "", "ICCIF-species-checked": "testedAndGuaranteed", "ICCIF-species-dilution-info": "", "ICCIF-species-notes": "<p></p>", "FlowCytIntra-species-checked": "testedAndGuaranteed", "FlowCytIntra-species-dilution-info": "", "FlowCytIntra-species-notes": "<p></p>", "IHCP-species-checked": "testedAndGuaranteed", "IHCP-species-dilution-info": "", "IHCP-species-notes": "<p></p>" }, "Rat": { "WB-species-checked": "testedAndGuaranteed", "WB-species-dilution-info": "", "WB-species-notes": "<p></p>", "IP-species-checked": "guaranteed", "IP-species-dilution-info": "", "IP-species-notes": "", "ICCIF-species-checked": "guaranteed", "ICCIF-species-dilution-info": "", "ICCIF-species-notes": "", "FlowCytIntra-species-checked": "guaranteed", "FlowCytIntra-species-dilution-info": "", "FlowCytIntra-species-notes": "", "IHCP-species-checked": "testedAndGuaranteed", "IHCP-species-dilution-info": "", "IHCP-species-notes": "<p></p>" } } }

Product details

ab251186 is the carrier-free version of ab194297.

Patented technology
Our RabMAb® technology is a patented hybridoma-based technology for making rabbit monoclonal antibodies. For details on our patents, please refer to RabMAb® patents.

What are the advantages of a recombinant monoclonal antibody?
This product is a recombinant monoclonal antibody, which offers several advantages including:

  • - High batch-to-batch consistency and reproducibility
  • - Improved sensitivity and specificity
  • - Long-term security of supply
  • - Animal-free batch production

For more information, read more on recombinant antibodies.

Conjugation ready
Our carrier-free antibodies are typically supplied in a PBS-only formulation, purified and free of BSA, sodium azide and glycerol. This conjugation-ready format is designed for use with fluorochromes, metal isotopes, oligonucleotides, and enzymes, which makes them ideal for antibody labelling, functional and cell-based assays, flow-based assays (e.g. mass cytometry) and Multiplex Imaging applications.

Use our conjugation kits for antibody conjugates that are ready-to-use in as little as 20 minutes with 1 minute hands-on-time and 100% antibody recovery: available for fluorescent dyes, HRP, biotin and gold.

Compatibility
This product is compatible with the Maxpar® Antibody Labeling Kit from Fluidigm, without the need for antibody preparation. Maxpar® is a trademark of Fluidigm Canada Inc.

Properties and storage information

Form
Liquid
Purification technique
Affinity purification Protein A
Storage buffer
pH: 7.2 - 7.4 Constituents: PBS
Shipped at conditions
Blue Ice
Appropriate short-term storage conditions
+4°C
Appropriate long-term storage conditions
+4°C
Storage information
Do Not Freeze

Supplementary information

This supplementary information is collated from multiple sources and compiled automatically.

N-acetyltransferase 10 (NAT10) also called hALP is an enzyme with a molecular mass of about 116 kDa. The NAT10 protein is expressed ubiquitously across tissues and primarily found in the nucleolus of cells. It exhibits acetyltransferase activity facilitating the transfer of acetyl groups to specific substrates. This enzyme also has known RNA binding capacity and shows involvement in various cellular processes including cell cycle regulation and rRNA synthesis.
Biological function summary

This enzyme plays a significant role in cellular activities by modulating chromatin dynamics and influencing cell cycle progression through acetylation of histones and non-histone proteins. NAT10 participates in rRNA transcription enhancing ribosomal biogenesis and therefore supporting protein synthesis within the cell. It functions as part of larger chromatin-associated complexes indicating its involvement in broader cellular systems beyond individual enzymatic activity.

Pathways

The NAT10 protein operates within important molecular pathways such as the p53 signaling and DNA damage response pathways. It contributes toward cellular response mechanisms to damage and stress acting alongside other proteins like p53 and CREB-binding protein connecting regulation of cell cycle arrest and apoptosis with its enzymatic activity. NAT10 also modulates the acetylation dynamics in these pathways affecting cellular outcomes under stress conditions.

Researchers have linked NAT10 to cancer and Hutchinson-Gilford progeria syndrome (HGPS). In cancer the relationship of NAT10 with p53 establishes its role in tumorigenesis where altered acetylation patterns may affect tumor suppression functions. In HGPS NAT10's impact on chromatin architecture connects it to lamin A dysfunction a hallmark of the disease. Its acetylation activity emerges as a critical factor influencing disease pathology making it a target for therapeutic exploration in these conditions.

Product protocols

For this product, it's our understanding that no specific protocols are required. You can visit:

Target data

RNA cytidine acetyltransferase that catalyzes the formation of N(4)-acetylcytidine (ac4C) modification on mRNAs, 18S rRNA and tRNAs (PubMed : 25411247, PubMed : 25653167, PubMed : 30449621, PubMed : 35679869). Catalyzes ac4C modification of a broad range of mRNAs, enhancing mRNA stability and translation (PubMed : 30449621, PubMed : 35679869). mRNA ac4C modification is frequently present within wobble cytidine sites and promotes translation efficiency (PubMed : 30449621). Mediates the formation of ac4C at position 1842 in 18S rRNA (PubMed : 25411247). May also catalyze the formation of ac4C at position 1337 in 18S rRNA (By similarity). Required for early nucleolar cleavages of precursor rRNA at sites A0, A1 and A2 during 18S rRNA synthesis (PubMed : 25411247, PubMed : 25653167). Catalyzes the formation of ac4C in serine and leucine tRNAs (By similarity). Requires the tRNA-binding adapter protein THUMPD1 for full tRNA acetyltransferase activity but not for 18S rRNA acetylation (PubMed : 25653167). In addition to RNA acetyltransferase activity, also able to acetylate lysine residues of proteins, such as histones, microtubules, p53/TP53 and MDM2, in vitro (PubMed : 14592445, PubMed : 17631499, PubMed : 19303003, PubMed : 26882543, PubMed : 27993683, PubMed : 30165671). The relevance of the protein lysine acetyltransferase activity is however unsure in vivo (PubMed : 30449621). Activates telomerase activity by stimulating the transcription of TERT, and may also regulate telomerase function by affecting the balance of telomerase subunit assembly, disassembly, and localization (PubMed : 14592445, PubMed : 18082603). Involved in the regulation of centrosome duplication by acetylating CENATAC during mitosis, promoting SASS6 proteasome degradation (PubMed : 31722219). Part of the small subunit (SSU) processome, first precursor of the small eukaryotic ribosomal subunit. During the assembly of the SSU processome in the nucleolus, many ribosome biogenesis factors, an RNA chaperone and ribosomal proteins associate with the nascent pre-rRNA and work in concert to generate RNA folding, modifications, rearrangements and cleavage as well as targeted degradation of pre-ribosomal RNA by the RNA exosome (PubMed : 34516797).
See full target information NAT10

Publications (2)

Recent publications for all applications. Explore the full list and refine your search

International journal of biological sciences 21:4027-4050 PubMed40612676

2025

Exogenous SPD inhibits trastuzumab-mediated cardiomyocyte pyroptosis through SIRT3-regulated mitochondrial quality control.

Applications

Unspecified application

Species

Unspecified reactive species

Xue Yu,Yan Yang,Tianzuo Chen,Qianbing Wang,Zitong Wang,Xi Gao,Qianxue Wang,Jinxiang Guo,Yuqin Wang,Yajie Zhao,Shilin Wang,Wei Lu,Xing Luo,Tielei Gao,Jiayuan Kou,Hong Li,Liming Yang

International journal of medical sciences 20:1079-1090 PubMed37484809

2023

NAT10-mediated RNA acetylation enhances HNRNPUL1 mRNA stability to contribute cervical cancer progression.

Applications

Unspecified application

Species

Unspecified reactive species

Yingfei Long,Yifei Ren,Qinglv Wei,Youchaou Mobet,Yujiao Liu,Hongyan Zhao,Tao Liu,Lei Cheng,Ping Yi
View all publications

Product promise

We are committed to supporting your work with high-quality reagents, and we're here for you every step of the way. In the unlikely event that one of our products does not perform as expected, you're protected by our Product Promise.
For full details, please see our Terms & Conditions

Please note: All products are 'FOR RESEARCH USE ONLY. NOT FOR USE IN DIAGNOSTIC OR THERAPEUTIC PROCEDURES'.

For licensing inquiries, please contact partnerships@abcam.com