JavaScript is disabled in your browser. Please enable JavaScript to view this website.
AB232822

Anti-NAT2/AT-2 antibody

Be the first to review this product! Submit a review

|

(1 Publication)

Rabbit Polyclonal NAT2/AT-2 antibody. Suitable for WB, IHC-P and reacts with Rat, Mouse samples. Cited in 1 publication. Immunogen corresponding to Recombinant Fragment Protein within Rat Nat2 aa 1 to C-terminus.

View Alternative Names

Aac2, Nat2, Arylamine N-acetyltransferase 2, Arylamide acetylase 2, N-acetyltransferase type 2, N-hydroxyarylamine O-acetyltransferase, NAT-2

4 Images
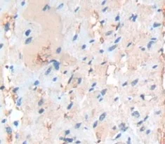
Immunohistochemistry (Formalin/PFA-fixed paraffin-embedded sections) - Anti-NAT2/AT-2 antibody (AB232822)
  • IHC-P

Supplier Data

Immunohistochemistry (Formalin/PFA-fixed paraffin-embedded sections) - Anti-NAT2/AT-2 antibody (AB232822)

Formalin-fixed, paraffin-embedded rat heart tissue stained for NAT2/AT-2 using ab232822 at 20μg/mL in immunohistochemical analysis. DAB staining.

Western blot - Anti-NAT2/AT-2 antibody (AB232822)
  • WB

Supplier Data

Western blot - Anti-NAT2/AT-2 antibody (AB232822)

All lanes:

Anti-GKN2 antibody (<a href='/en-us/products/unavailable/gkn2-antibody-ab232821'>ab232821</a>) at 2 µg/mL

All lanes:

Rat serum.

Predicted band size: 34 kDa

false

Western blot - Anti-NAT2/AT-2 antibody (AB232822)
  • WB

Supplier Data

Western blot - Anti-NAT2/AT-2 antibody (AB232822)

All lanes:

Western blot - Anti-NAT2/AT-2 antibody (ab232822) at 2 µg/mL

All lanes:

Mouse liver tissue lysate.

Predicted band size: 34 kDa

false

Western blot - Anti-NAT2/AT-2 antibody (AB232822)
  • WB

Supplier Data

Western blot - Anti-NAT2/AT-2 antibody (AB232822)

All lanes:

Western blot - Anti-NAT2/AT-2 antibody (ab232822) at 2 µg/mL

All lanes:

Recombinant rat NAT2/AT-2 protein.

Predicted band size: 34 kDa

false

Key facts

Host species

Rabbit

Clonality

Polyclonal

Isotype

IgG

Carrier free

No

Reacts with

Mouse, Rat

Applications

IHC-P, WB

applications

Immunogen

Recombinant Fragment Protein within Rat Nat2 aa 1 to C-terminus. The exact immunogen used to generate this antibody is proprietary information.

P50298

Reactivity data

{ "title": "Reactivity Data", "filters": { "stats": ["", "Species", "Dilution Info", "Notes"], "tabs": { "all-applications": {"fullname" : "All Applications", "shortname": "All Applications"}, "WB" : {"fullname" : "Western blot", "shortname":"WB"}, "IHCP" : {"fullname" : "Immunohistochemistry (Formalin/PFA-fixed paraffin-embedded sections)", "shortname":"IHC-P"} }, "product-promise": { "all": "all", "testedAndGuaranteed": "tested", "guaranteed": "expected", "predicted": "predicted", "notRecommended": "not-recommended" } }, "values": { "Mouse": { "WB-species-checked": "guaranteed", "WB-species-dilution-info": "", "WB-species-notes": "", "IHCP-species-checked": "testedAndGuaranteed", "IHCP-species-dilution-info": "5-20 µg/mL", "IHCP-species-notes": "<p></p>" }, "Rat": { "WB-species-checked": "testedAndGuaranteed", "WB-species-dilution-info": "0.2-2 µg/mL", "WB-species-notes": "<p></p>", "IHCP-species-checked": "testedAndGuaranteed", "IHCP-species-dilution-info": "5-20 µg/mL", "IHCP-species-notes": "<p></p>" }, "Hamster": { "WB-species-checked": "predicted", "WB-species-dilution-info": "", "WB-species-notes": "", "IHCP-species-checked": "predicted", "IHCP-species-dilution-info": "", "IHCP-species-notes": "" } } }

Properties and storage information

Form
Liquid
Purification technique
Affinity purification Immunogen
Purification notes
Antigen-specific affinity chromatography followed by Protein A affinity chromatography.
Storage buffer
pH: 7.4 Preservative: 0.011% Proclin 300 Constituents: PBS, 55.77% Glycerol (glycerin, glycerine)
Shipped at conditions
Blue Ice
Appropriate short-term storage duration
1-2 weeks
Appropriate short-term storage conditions
+4°C
Appropriate long-term storage conditions
-20°C
Aliquoting information
Upon delivery aliquot
Storage information
Avoid freeze / thaw cycle

Supplementary information

This supplementary information is collated from multiple sources and compiled automatically.

NAT2 also known as N-acetyltransferase 2 or AT-2 is an important enzyme in drug metabolism. It catalyzes the acetylation process which plays a role in converting substances such as drugs and environmental chemicals into less active forms. This enzymatic activity requires co-factor acetyl-CoA. NAT2 has a molecular weight of about 33 kDa and is expressed mostly in liver and intestines. Its genetic polymorphisms influence enzyme activity leading to rapid or slow acetylator phenotypes among individuals.
Biological function summary

NAT2 participates in the metabolism of aromatic amines which includes the acetylation of drugs like isoniazid and sulfamethazine. NAT2 does not typically form complexes with other proteins but its activity affects the concentration of metabolites that can interact with other pathways or proteins. It regulates the bioavailability and potential toxicity of different chemical substances in the body by modifying their structure and reactivity impacting pharmacokinetics significantly.

Pathways

NAT2 is deeply involved in xenobiotic metabolism and Phase II drug metabolism pathways. It contributes directly to the N-acetylation pathway critical for the biotransformation of pharmaceuticals. NAT2 works in tandem with Cytochrome P450 enzymes which usually perform initial oxidative modifications on compounds destined for NAT2 acetylation. This interaction highlights NAT2's role in creating metabolic balance by processing potential toxins and facilitating their removal or detoxification from the body.

NAT2 polymorphisms play a critical role in susceptibility to certain conditions such as bladder cancer and drug-induced lupus erythematosus. Slow acetylator phenotypes are associated with higher risk of bladder cancer due to inefficient detoxification of carcinogens. Furthermore NAT2 interplays with proteins like N-acetyltransferase 1 (NAT1) influencing the biological responses and effectiveness of therapeutic strategies. Understanding the role of NAT2 in these disorders is essential for developing personalized medicine approaches to treatment.

Product protocols

For this product, it's our understanding that no specific protocols are required. You can visit:

Target data

Catalyzes the N- or O-acetylation of various arylamine and heterocyclic amine substrates, and participates in the detoxification of a plethora of hydrazine and arylamine drugs.
See full target information Nat2

Publications (1)

Recent publications for all applications. Explore the full list and refine your search

Journal of translational medicine 23:950 PubMed40841904

2025

Osteopontin derived from hypoxia-induced M2 macrophages promotes osteosarcoma progression through modulation of EGR3/ISG15 signaling and RIG-I expression.

Applications

Unspecified application

Species

Unspecified reactive species

Chunyang Xing,Wei Hu,Liyuan Zhao
View all publications

Product promise

We are committed to supporting your work with high-quality reagents, and we're here for you every step of the way. In the unlikely event that one of our products does not perform as expected, you're protected by our Product Promise.
For full details, please see our Terms & Conditions

Please note: All products are 'FOR RESEARCH USE ONLY. NOT FOR USE IN DIAGNOSTIC OR THERAPEUTIC PROCEDURES'.

For licensing inquiries, please contact partnerships@abcam.com