JavaScript is disabled in your browser. Please enable JavaScript to view this website.
AB225844

Anti-Natriuretic peptides A antibody [EPR22089-283]

  • BOND RX™ Validated
  • RabMAb
  • Recombinant
  • KO Validated
  • What is this?

Be the first to review this product! Submit a review

|

(16 Publications)

Rabbit Recombinant Monoclonal proANP antibody. Suitable for IP, WB, IHC-Fr, IHC-P, ICC/IF and reacts with Mouse, Rat samples. Cited in 16 publications.

View Alternative Names

ANP, PND, NPPA, Natriuretic peptides A, Atrial natriuretic factor prohormone, Atrial natriuretic peptide prohormone, Atriopeptigen, Cardiodilatin, preproCDD-ANF, proANF, preproANP, proANP, CDD

13 Images
Immunohistochemistry (Formalin/PFA-fixed paraffin-embedded sections) - Anti-Natriuretic peptides A antibody [EPR22089-283] (AB225844)
  • IHC-P

Lab

Immunohistochemistry (Formalin/PFA-fixed paraffin-embedded sections) - Anti-Natriuretic peptides A antibody [EPR22089-283] (AB225844)

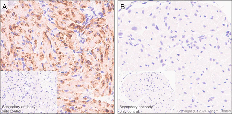
Immunohistochemical analysis of paraffin-embedded (A) Heart tissue from wild-type C57BL/6JGpt mice and (B) Heart tissue from Nppa knockout mice tissue labeling Natriuretic peptides A with ab225844 at 1/500 dilution followed by a ready to use LeicaDS9800 (Bond Polymer Refine Detection).

Positive staining on (A) Heart tissue from wild-type C57BL/6JGpt mice and no staining on (B) Heart tissue from Nppa knockout mice.
The section was incubated with ab225844 for 30 mins at room temperature.
The immunostaining was performed on a Leica Biosystems BOND® RX instrument.
The tissue samples were kindly provided by GemPharmatech. C57BL/6JGpt wildtype mice and Nppa-KO homozygous mice (Strain ID : T013705).

Counterstained with Hematoxylin.

Secondary antibody only control : Secondary antibody is a ready to use LeicaDS9800 (Bond Polymer Refine Detection).

Heat mediated antigen retrieval was performed with Tris-EDTA buffer (pH 9.0 Epitope Retrieval Solution2) for 20 mins.

Immunohistochemistry (Formalin/PFA-fixed paraffin-embedded sections) - Anti-Natriuretic peptides A antibody [EPR22089-283] (AB225844)
  • IHC-P

Lab

Immunohistochemistry (Formalin/PFA-fixed paraffin-embedded sections) - Anti-Natriuretic peptides A antibody [EPR22089-283] (AB225844)

Immunohistochemical analysis of paraffin-embedded (A) Heart tissue from wild-type C57BL/6JGpt mice and (B) Heart tissue from Nppa knockout mice tissue labeling Natriuretic peptides A with ab225844 at 1/500 dilution, followed by a ready to use LeicaDS9800 (Bond Polymer Refine Detection).

Positive staining on (A) Heart tissue from wild-type C57BL/6JGpt mice and no staining on (B) Heart tissue from Nppa knockout mice.
The section was incubated with ab225844 for 30 mins at room temperature.
The immunostaining was performed on a Leica Biosystems BOND® RX instrument.
The tissue samples were kindly provided by GemPharmatech. C57BL/6JGpt wildtype mice and Nppa-KO homozygous mice (Strain ID : T013705).

Counterstained with Hematoxylin.

Secondary antibody only control : Secondary antibody is a ready to use LeicaDS9800 (Bond Polymer Refine Detection).

Heat mediated antigen retrieval was performed with Tris-EDTA buffer (pH 9.0, Epitope Retrieval Solution2) for 20 mins.

Immunocytochemistry/ Immunofluorescence - Anti-Natriuretic peptides A antibody [EPR22089-283] (AB225844)
  • ICC/IF

Lab

Immunocytochemistry/ Immunofluorescence - Anti-Natriuretic peptides A antibody [EPR22089-283] (AB225844)

Immunofluorescent analysis of 4% Paraformaldehyde-fixed, 0.1% TritonX-100 permeabilized rat cardiomyocyte cells labelling Natriuretic peptides A with ab225844 at 1/100 dilution, followed by Goat Anti-Rabbit IgG H&L (Alexa Fluor® : 488) preadsorbed (ab150081) secondary antibody at 1/1000 dilution.

Confocal image showing cytoplasmic staining in a subset of rat cardiomyocytes (shown in green). The counterstain was observed in magenta. Nuclear DNA was labelled with DAPI (shown in blue). Image was taken with a confocal microscope (Leica-Microsystems, TCS SP8).

ab9465 Anti-Sarcomeric Alpha Actinin mouse monoclonal antibody was used to counterstain Sarcomeric Alpha Actinin at 1/200.

The negative controls are as follows :
-ve control 1 : ab225844 at 1/100 dilution, followed by Goat Anti-Mouse IgG H&L (Alexa Fluor® 594) (ab150120) secondary at 1/1000 dilution.
-ve control 2 : ab9465 at 1/200 dilution, followed by Goat Anti-Rabbit IgG H&L (Alexa Fluor® 488) preadsorbed (ab150081) secondary at 1/1000 dilution.

Immunocytochemistry/ Immunofluorescence - Anti-Natriuretic peptides A antibody [EPR22089-283] (AB225844)
  • ICC/IF

Lab

Immunocytochemistry/ Immunofluorescence - Anti-Natriuretic peptides A antibody [EPR22089-283] (AB225844)

Immunofluorescent analysis of 4% Paraformaldehyde-fixed, 0.1% TritonX-100 permeabilized mouse cardiomyocyte cells labelling Natriuretic peptides A with ab225844 at 1/100 dilution, followed by Goat Anti-Rabbit IgG H&L (Alexa Fluor® : 488) preadsorbed (ab150081) secondary antibody at 1/1000 dilution.

Confocal image showing cytoplasmic staining in a subset of mouse cardiomyocytes (shown in green). The counterstain was observed in magenta. Nuclear DNA was labelled with DAPI (shown in blue). Image was taken with a confocal microscope (Leica-Microsystems, TCS SP8).

ab9465 Anti-Sarcomeric Alpha Actinin mouse monoclonal antibody was used to counterstain Sarcomeric Alpha Actinin at 1/200.

The negative controls are as follows :
-ve control 1 : ab225844 at 1/100 dilution, followed by ab150120 Goat Anti-Mouse IgG H&L (Alexa Fluor® 594) secondary antibody name (ab150120) secondary at 1/1000 dilution.
-ve control 2 : Primary (ab9465) at 1/200 dilution, followed by Goat Anti-Rabbit IgG H&L (Alexa Fluor® 488) preadsorbed (ab150081) secondary at 1/200 dilution.

Western blot - Anti-Natriuretic peptides A antibody [EPR22089-283] (AB225844)
  • WB

Lab

Western blot - Anti-Natriuretic peptides A antibody [EPR22089-283] (AB225844)

The tissue samples were kindly provided by GemPharmatech. C57BL/6JGpt wildtype mice and Nppa-KO homozygous mice (Strain ID : T013705).

The identity of the higher MW band at approximately 35 kDa is unknown.

In Western blot, Anti-GAPDH antibody [EPR16891] - Loading Control (ab181602) staining at 1/200000 dilution.

Blocking and diluting buffer and concentration : 5% NFDM/TBST.

All lanes:

Western blot - Anti-Natriuretic peptides A antibody [EPR22089-283] (ab225844) at 1/1000 dilution

Lane 1:

Wild-type mouse heart tissue lysate (male)

Lane 2:

Nppa knockout heart tissue lysate (male1)

Lane 3:

Nppa knockout heart tissue lysate (male2)

Secondary

All lanes:

Western blot - Goat Anti-Rabbit IgG H&L (HRP) (<a href='/en-us/products/secondary-antibodies/goat-rabbit-igg-h-l-hrp-ab97051'>ab97051</a>) at 1/20000 dilution

Observed band size: 16 kDa

false

Exposure time: 180s

Western blot - Anti-Natriuretic peptides A antibody [EPR22089-283] (AB225844)
  • WB

Supplier Data

Western blot - Anti-Natriuretic peptides A antibody [EPR22089-283] (AB225844)

Blocking and diluting buffer concentration : 5% NFDM/TBST.

ab181602 GAPDH was used as a loading control at 1/1000000 dilution.

Although some references report that ANP is expressed in H9c2 (2-1) cell line (PMID : 31714667, PMID : 30483785), ab225844 is not suitable to detect ANP in this cell line.

All lanes:

Western blot - Anti-Natriuretic peptides A antibody [EPR22089-283] (ab225844) at 1/1000 dilution

Lane 1:

Untreated H9c2 (2-1) (rat cardiac myoblast cell) whole cell lysate at 20 µg

Lane 2:

H9c2 (2-1) (rat cardiac myoblast cell) treated with LPS (2ug/ml, 16h) whole cell lysate at 20 µg

Secondary

All lanes:

Western blot - Goat Anti-Rabbit IgG H&L (HRP) (<a href='/en-us/products/secondary-antibodies/goat-rabbit-igg-h-l-hrp-ab97051'>ab97051</a>) at 1/20000 dilution

Predicted band size: 16 kDa

false

Exposure time: 180s

Immunohistochemistry (Frozen sections) - Anti-Natriuretic peptides A antibody [EPR22089-283] (AB225844)
  • IHC-Fr

Supplier Data

Immunohistochemistry (Frozen sections) - Anti-Natriuretic peptides A antibody [EPR22089-283] (AB225844)

Immunohistochemical analysis of 4% paraformaldehyde-fixed, 0.2% Triton X-100 permeabilized frozen mouse heart tissue labeling Natriuretic peptides A with ab225844 at 1/100 dilution, followed by Goat Anti-Rabbit IgG H&L (Alexa Fluor® 488) (ab150077) secondary antibody at 1/1000 dilution (green). Cytoplasmic staining in cardiac muscle of mouse atrium is observed.

The nuclear counter stain is DAPI (blue).

Secondary antibody only control : Used PBS instead of primary antibody, secondary antibody is Goat Anti-Rabbit IgG H&L (Alexa Fluor® 488) (ab150077) secondary antibody at 1/1000 dilution.

Immunohistochemistry (Formalin/PFA-fixed paraffin-embedded sections) - Anti-Natriuretic peptides A antibody [EPR22089-283] (AB225844)
  • IHC-P

Supplier Data

Immunohistochemistry (Formalin/PFA-fixed paraffin-embedded sections) - Anti-Natriuretic peptides A antibody [EPR22089-283] (AB225844)

Immunohistochemical analysis of paraffin-embedded mouse heart atrium tissue labeling Natriuretic peptides A with ab225844 at 1/2000 dilution, followed by Goat Anti-Rabbit IgG H&L (HRP) Ready to use. Cytoplasmic staining in cardiac muscle of mouse atrium (PMID : 2942710; PMID : 25532015; PMID : 1824903). Counterstained with Hematoxylin.

Secondary antibody only control : Used PBS instead of primary antibody, secondary antibody is Goat Anti-Rabbit IgG H&L (HRP) Ready to use.

Heat mediated antigen retrieval was performed with Tris/EDTA buffer pH 9.0 before commencing with IHC staining protocol.

Immunohistochemistry (Frozen sections) - Anti-Natriuretic peptides A antibody [EPR22089-283] (AB225844)
  • IHC-Fr

Supplier Data

Immunohistochemistry (Frozen sections) - Anti-Natriuretic peptides A antibody [EPR22089-283] (AB225844)

Immunohistochemical analysis of 4% paraformaldehyde-fixed, 0.2% Triton X-100 permeabilized frozen rat heart tissue labeling Natriuretic peptides A with ab225844 at 1/100 dilution, followed by Goat Anti-Rabbit IgG H&L (Alexa Fluor® 488) (ab150077) secondary antibody at 1/1000 dilution (green). Cytoplasmic staining in cardiac muscle of rat atrium is observed.

The nuclear counter stain is DAPI (blue).

Secondary antibody only control : Used PBS instead of primary antibody, secondary antibody is Goat Anti-Rabbit IgG H&L (Alexa Fluor® 488) (ab150077) secondary antibody at 1/1000 dilution.

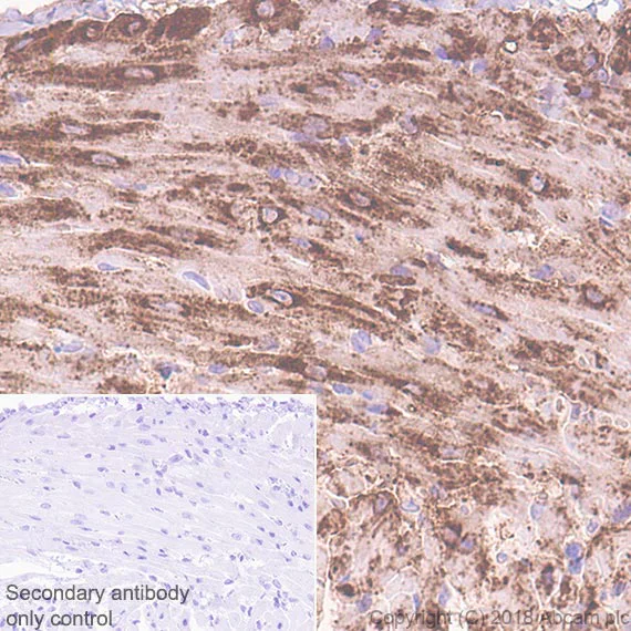
Immunohistochemistry (Formalin/PFA-fixed paraffin-embedded sections) - Anti-Natriuretic peptides A antibody [EPR22089-283] (AB225844)
  • IHC-P

Supplier Data

Immunohistochemistry (Formalin/PFA-fixed paraffin-embedded sections) - Anti-Natriuretic peptides A antibody [EPR22089-283] (AB225844)

Immunohistochemical analysis of paraffin-embedded rat heart atrium tissue labeling Natriuretic peptides A with ab225844 at 1/2000 dilution, followed by Goat Anti-Rabbit IgG H&L (HRP) Ready to use. Cytoplasmic staining in cardiac muscle of rat atrium (PMID : 2942710; PMID : 25532015; PMID : 1824903). Counterstained with Hematoxylin.

Secondary antibody only control : Used PBS instead of primary antibody, secondary antibody is Goat Anti-Rabbit IgG H&L (HRP) Ready to use.

Heat mediated antigen retrieval was performed with Tris/EDTA buffer pH 9.0 before commencing with IHC staining protocol.

Immunohistochemistry (Formalin/PFA-fixed paraffin-embedded sections) - Anti-Natriuretic peptides A antibody [EPR22089-283] (AB225844)
  • IHC-P

Supplier Data

Immunohistochemistry (Formalin/PFA-fixed paraffin-embedded sections) - Anti-Natriuretic peptides A antibody [EPR22089-283] (AB225844)

Immunohistochemical analysis of paraffin-embedded mouse heart tissue labeling Natriuretic peptides A with ab225844 at 1/2000 dilution, followed by Goat Anti-Rabbit IgG H&L (HRP) Ready to use. Strong cytoplasmic staining mainly in the atria and at lower levels in ventricle of mouse heart (PMID : 2942710; PMID : 25532015; PMID : 1824903). Counterstained with Hematoxylin.

Secondary antibody only control : Used PBS instead of primary antibody, secondary antibody is Goat Anti-Rabbit IgG H&L (HRP) Ready to use.

Heat mediated antigen retrieval was performed with Tris/EDTA buffer pH 9.0 before commencing with IHC staining protocol.

Immunoprecipitation - Anti-Natriuretic peptides A antibody [EPR22089-283] (AB225844)
  • IP

Supplier Data

Immunoprecipitation - Anti-Natriuretic peptides A antibody [EPR22089-283] (AB225844)

Natriuretic peptides A was immunoprecipitated from 0.35 mg Mouse heart tissue lysate with ab225844 at 1/1000 dilution. Western blot was perfromed from the immunoprecipitate using ab225844 at 1/500 dilution. VeriBlot for IP Detection Reagent (HRP) (ab131366) was used for detection at 1/1000 dilution.

Lane 1 : Mouse heart lysate 10 μg (Input).
Lane 2 : ab225844 IP in Mouse heart tissue lysate (+).
Lane 3 : Rabbit monoclonal IgG (ab172730) instead of ab225844 in Mouse heart lysate (-).

Blocking and dilution buffer and concentration : 5% NFDM/TBST
Exposure time : 10 seconds

All lanes:

Immunoprecipitation - Anti-Natriuretic peptides A antibody [EPR22089-283] (ab225844)

Predicted band size: 16 kDa

false

Western blot - Anti-Natriuretic peptides A antibody [EPR22089-283] (AB225844)
  • WB

Supplier Data

Western blot - Anti-Natriuretic peptides A antibody [EPR22089-283] (AB225844)

Exposure time : Lane 1 : 3 minutes; Lane 2 : 8 seconds.

Blocking/Dilution buffer : 5% NFDM/TBST.

The molecular mass observed is consistent with what has been described in the literature (PMID : 16291870).

All lanes:

Western blot - Anti-Natriuretic peptides A antibody [EPR22089-283] (ab225844) at 1/1000 dilution

Lane 1:

Mouse heart tissue lysate at 10 µg

Lane 2:

Rat heart tissue lysate at 10 µg

Secondary

All lanes:

Western blot - Goat Anti-Rabbit IgG H&L (HRP) (<a href='/en-us/products/secondary-antibodies/goat-rabbit-igg-h-l-hrp-ab97051'>ab97051</a>) at 1/100000 dilution

Predicted band size: 16 kDa

Observed band size: 17 kDa

false

  • Carrier free

    Anti-Natriuretic peptides A antibody [EPR22089-283] - BSA and Azide free

  • 519 Alexa Fluor® 488

    Alexa Fluor® 488 Anti-Natriuretic peptides A antibody [EPR22089-283]

  • 578 PE

    PE Anti-Natriuretic peptides A antibody [EPR22089-283]

  • 617 Alexa Fluor® 594

    Alexa Fluor® 594 Anti-Natriuretic peptides A antibody [EPR22089-283]

  • 660 APC

    APC Anti-Natriuretic peptides A antibody [EPR22089-283]

  • 665 Alexa Fluor® 647

    Alexa Fluor® 647 Anti-Natriuretic peptides A antibody [EPR22089-283]

  • 565 Alexa Fluor® 555

    Alexa Fluor® 555 Anti-Natriuretic peptides A antibody [EPR22089-283]

  • 775 Alexa Fluor® 750

    Alexa Fluor® 750 Anti-Natriuretic peptides A antibody [EPR22089-283]

Key facts

Host species

Rabbit

Clonality

Monoclonal

Clone number

EPR22089-283

Isotype

IgG

Carrier free

No

Reacts with

Mouse, Rat

Applications

IP, IHC-P, IHC-Fr, WB, ICC/IF

applications

Immunogen

The exact immunogen used to generate this antibody is proprietary information.

Specificity

This antibody is not suitable to detect ANP in H9c2 cell line.

Reactivity data

{ "title": "Reactivity Data", "filters": { "stats": ["", "Species", "Dilution Info", "Notes"], "tabs": { "all-applications": {"fullname" : "All Applications", "shortname": "All Applications"}, "IP" : {"fullname" : "Immunoprecipitation", "shortname":"IP"}, "WB" : {"fullname" : "Western blot", "shortname":"WB"}, "IHCFr" : {"fullname" : "Immunohistochemistry (Frozen sections)", "shortname":"IHC-Fr"}, "IHCP" : {"fullname" : "Immunohistochemistry (Formalin/PFA-fixed paraffin-embedded sections)", "shortname":"IHC-P"}, "ICCIF" : {"fullname" : "Immunocytochemistry/ Immunofluorescence", "shortname":"ICC/IF"} }, "product-promise": { "all": "all", "testedAndGuaranteed": "tested", "guaranteed": "expected", "predicted": "predicted", "notRecommended": "not-recommended" } }, "values": { "Mouse": { "IP-species-checked": "testedAndGuaranteed", "IP-species-dilution-info": "1/30", "IP-species-notes": "<p></p>", "WB-species-checked": "testedAndGuaranteed", "WB-species-dilution-info": "1/1000", "WB-species-notes": "<p></p>", "IHCFr-species-checked": "testedAndGuaranteed", "IHCFr-species-dilution-info": "1/100", "IHCFr-species-notes": "<p>Perform heat mediated antigen retrieval using sodium citrate buffer (10mM citrate pH 6.0 + 0.05% Tween-20).</p>", "IHCP-species-checked": "testedAndGuaranteed", "IHCP-species-dilution-info": "1/500 - 1/2000", "IHCP-species-notes": "<p></p>", "ICCIF-species-checked": "testedAndGuaranteed", "ICCIF-species-dilution-info": "1/500", "ICCIF-species-notes": "<p></p>" }, "Rat": { "IP-species-checked": "guaranteed", "IP-species-dilution-info": "", "IP-species-notes": "", "WB-species-checked": "testedAndGuaranteed", "WB-species-dilution-info": "1/1000", "WB-species-notes": "<p></p>", "IHCFr-species-checked": "testedAndGuaranteed", "IHCFr-species-dilution-info": "1/100", "IHCFr-species-notes": "<p>Perform heat mediated antigen retrieval using sodium citrate buffer (10mM citrate pH 6.0 + 0.05% Tween-20).</p>", "IHCP-species-checked": "testedAndGuaranteed", "IHCP-species-dilution-info": "1/500 - 1/2000", "IHCP-species-notes": "<p></p>", "ICCIF-species-checked": "testedAndGuaranteed", "ICCIF-species-dilution-info": "1/500", "ICCIF-species-notes": "<p></p>" } } }

You may be interested in:

AB267800

Mouse NT-ProANP ELISA Kit

0

0 Reviews

View product

We recommend this product because it’s often used in the same experiment or related research.

We advise that you always check the datasheet to ensure it fits your experiments, or contact ourtechnical teamfor help.

Product details

Patented technology
Our RabMAb® technology is a patented hybridoma-based technology for making rabbit monoclonal antibodies. For details on our patents, please refer to RabMAb® patents.

What are the advantages of a recombinant monoclonal antibody?
This product is a recombinant monoclonal antibody, which offers several advantages including:

  • - High batch-to-batch consistency and reproducibility
  • - Improved sensitivity and specificity
  • - Long-term security of supply
  • - Animal-free batch production

For more information, read more on recombinant antibodies.

Properties and storage information

Form
Liquid
Purification technique
Affinity purification Protein A
Storage buffer
pH: 7.2 - 7.4 Preservative: 0.01% Sodium azide Constituents: PBS, 40% Glycerol (glycerin, glycerine), 0.05% BSA
Shipped at conditions
Blue Ice
Appropriate short-term storage duration
1-2 weeks
Appropriate short-term storage conditions
+4°C
Appropriate long-term storage conditions
-20°C
Aliquoting information
Upon delivery aliquot
Storage information
Avoid freeze / thaw cycle

Supplementary information

This supplementary information is collated from multiple sources and compiled automatically.

Natriuretic Peptides A also known as ANP ANF or NPPA are important cardiac hormones made by atrial myocytes in the heart. This peptide with a mass of around 28 amino acids plays an important role mechanically in modulating blood pressure and fluid balance. It achieves this by binding to receptors that activate cyclic GMP (cGMP) production leading to vasodilation. ANP expression is mainly found in cardiac muscle cells but also detected in other tissues under certain conditions.
Biological function summary

These peptides contribute to renal sodium excretion commonly known as natriuresis and also promote diuresis which increases urine volume. ANP functions as a singular hormone without forming part of a complex. Beyond its role in cardiovascular and renal systems ANP influences lipid metabolism and adipocyte functions which may have implications for metabolic health.

Pathways

ANP is engaged in the natriuretic peptide signaling pathway which is important for cardiovascular homeostasis. Within this pathway related proteins include B-type Natriuretic Peptide (BNP) and C-type Natriuretic Peptide (CNP) all of which share similar receptor interactions through cGMP. Additionally ANP impacts the renin-angiotensin system (RAS) a significant hormonal system regulating blood pressure and fluid balance by counteracting the actions of angiotensin II.

ANP is notably associated with heart failure where its levels can indicate disease severity and prognosis. Elevated ANP levels have also been linked to hypertension contributing to diagnostic evaluations alongside other biomarkers like BNP. Both heart failure and hypertension involve complex interactions between ANP and proteins such as angiotensin II within their pathophysiological frameworks.

Product protocols

For this product, it's our understanding that no specific protocols are required. You can visit:

Target data

Atrial natriuretic peptide. Hormone that plays a key role in mediating cardio-renal homeostasis, and is involved in vascular remodeling and regulating energy metabolism (PubMed : 15741263, PubMed : 16875975, PubMed : 18835931, PubMed : 21672517, PubMed : 22307324, PubMed : 2532366, PubMed : 2825692, PubMed : 7595132, PubMed : 7720651, PubMed : 8087923, PubMed : 8653797). Acts by specifically binding and stimulating NPR1 to produce cGMP, which in turn activates effector proteins, such as PRKG1, that drive various biological responses (PubMed : 1660465, PubMed : 1672777, PubMed : 21098034, PubMed : 2162527, PubMed : 22307324, PubMed : 25401746, PubMed : 2825692, PubMed : 7720651, PubMed : 8384600, PubMed : 9893117). Regulates vasodilation, natriuresis, diuresis and aldosterone synthesis and is therefore essential for regulating blood pressure, controlling the extracellular fluid volume and maintaining the fluid-electrolyte balance (PubMed : 2532366, PubMed : 2825692, PubMed : 7595132, PubMed : 7720651, PubMed : 8087923, PubMed : 8653797). Also involved in inhibiting cardiac remodeling and cardiac hypertrophy by inducing cardiomyocyte apoptosis and attenuating the growth of cardiomyocytes and fibroblasts (PubMed : 16875975). Plays a role in female pregnancy by promoting trophoblast invasion and spiral artery remodeling in uterus, and thus prevents pregnancy-induced hypertension (By similarity). In adipose tissue, acts in various cGMP- and PKG-dependent pathways to regulate lipid metabolism and energy homeostasis (PubMed : 15741263, PubMed : 18835931, PubMed : 21672517, PubMed : 22307324). This includes up-regulating lipid metabolism and mitochondrial oxygen utilization by activating the AMP-activated protein kinase (AMPK), and increasing energy expenditure by acting via MAPK11 to promote the UCP1-dependent thermogenesis of brown adipose tissue (PubMed : 15741263, PubMed : 18835931, PubMed : 21672517, PubMed : 22307324). Binds the clearance receptor NPR3 which removes the hormone from circulation (PubMed : 1672777).. Long-acting natriuretic peptide. May have a role in cardio-renal homeostasis through regulation of natriuresis, diuresis, vasodilation, and inhibiting aldosterone synthesis (PubMed : 2532366, PubMed : 2825692, PubMed : 7595132, PubMed : 7955907, PubMed : 8087923, PubMed : 8653797). In vitro, promotes the production of cGMP and induces vasodilation (PubMed : 2825692). May promote natriuresis, at least in part, by enhancing prostaglandin E2 synthesis resulting in the inhibition of renal Na+-K+-ATPase (PubMed : 7720651). However reports on the involvement of this peptide in mammal blood volume and blood pressure homeostasis are conflicting; according to a report, in vivo it is not sufficient to activate cGMP and does not inhibit collecting duct transport nor effect diuresis and natriuresis (By similarity). Appears to bind to specific receptors that are distinct from the receptors bound by atrial natriuretic peptide and vessel dilator (PubMed : 2162527, PubMed : 2825692). Possibly enhances protein excretion in urine by decreasing proximal tubular protein reabsorption (PubMed : 11145122).. Vessel dilator. May have a role in cardio-renal homeostasis through regulation of natriuresis, diuresis, and vasodilation (PubMed : 2532366, PubMed : 7595132, PubMed : 7955907, PubMed : 8087923, PubMed : 8653797). In vitro, promotes the production of cGMP and induces vasodilation (PubMed : 2825692). May promote natriuresis, at least in part, by enhancing prostaglandin E2 synthesis resulting in the inhibition of renal Na+-K+-ATPase (PubMed : 7595132, PubMed : 7720651). However reports on the involvement of this peptide in mammal blood volume and blood pressure homeostasis are conflicting; according to a report it is not sufficient to activate cGMP and does not inhibit collecting duct transport nor effect diuresis and natriuresis (PubMed : 7831500). Appears to bind to specific receptors that are distinct from the receptors bound by the atrial natriuretic and long-acting natriuretic peptides (PubMed : 2162527, PubMed : 2825692). Possibly functions in protein excretion in urine by maintaining the integrity of the proximal tubules and enhancing protein excretion by decreasing proximal tubular protein reabsorption (PubMed : 11145122).. Kaliuretic peptide. May have a role in cardio-renal homeostasis through regulation of diuresis and inhibiting aldosterone synthesis (PubMed : 2825692, PubMed : 7595132, PubMed : 8087923). In vitro, promotes the production of cGMP and induces vasodilation (PubMed : 2825692). May promote natriuresis, at least in part, by enhancing prostaglandin E2 synthesis resulting in the inhibition of renal Na+-K+-ATPase (PubMed : 7595132, PubMed : 7720651). May have a role in potassium excretion but not sodium excretion (natriuresis) (PubMed : 8087923). Possibly enhances protein excretion in urine by decreasing proximal tubular protein reabsorption (PubMed : 11145122).. Urodilatin. Hormone produced in the kidneys that appears to be important for maintaining cardio-renal homeostasis (PubMed : 8351194, PubMed : 8779891, PubMed : 8853410). Mediates vasodilation, natriuresis and diuresis primarily in the renal system, in order to maintain the extracellular fluid volume and control the fluid-electrolyte balance (PubMed : 2528951, PubMed : 8351194, PubMed : 8779891, PubMed : 8853410). Specifically binds and stimulates cGMP production by renal transmembrane receptors, likely NPR1 (PubMed : 8384600, PubMed : 9893117). Urodilatin not ANP, may be the natriuretic peptide responsible for the regulation of sodium and water homeostasis in the kidney (PubMed : 8384600, PubMed : 8779891).. Auriculin-D. May have a role in cardio-renal homeostasis through regulation of natriuresis and vasodilation. In vivo promotes natriuresis and in vitro, vasodilates renal artery strips.. Auriculin-B. May have a role in cardio-renal homeostasis through regulation of natriuresis and vasodilation. In vivo promotes natriuresis and in vitro, vasodilates renal artery strips.. Auriculin-A. May have a role in cardio-renal homeostasis through regulation of regulation of natriuresis and vasodilation. In vivo promotes natriuresis. In vitro, vasodilates intestinal smooth muscle but not smooth muscle strips.. Atriopeptin-2. May have a role in cardio-renal homeostasis through regulation of natriuresis and vasodilation. In vivo promotes natriuresis. In vitro, selectively vasodilates intestinal and vascular smooth muscle strips.. Atriopeptin-1. May have a role in cardio-renal homeostasis through regulation of natriuresis and vasodilation. In vivo promotes natriuresis. In vitro, selectively vasodilates intestinal smooth muscle but not vascular smooth muscle strips.
See full target information NPPA

Publications (16)

Recent publications for all applications. Explore the full list and refine your search

Molecular medicine (Cambridge, Mass.) 29:107 PubMed37558995

2023

Polymorphic variants at NDUFC2, encoding a mitochondrial complex I subunit, associate with cardiac hypertrophy in human hypertension.

Applications

Unspecified application

Species

Unspecified reactive species

Giovanna Gallo,Maurizio Forte,Maria Cotugno,Simona Marchitti,Rosita Stanzione,Giuliano Tocci,Franca Bianchi,Silvia Palmerio,Mariarosaria Scioli,Giacomo Frati,Sebastiano Sciarretta,Emanuele Barbato,Massimo Volpe,Speranza Rubattu

Cell death discovery 9:279 PubMed37528096

2023

Bellidifolin ameliorates isoprenaline-induced cardiac hypertrophy by the Nox4/ROS signalling pathway through inhibiting BRD4.

Applications

Unspecified application

Species

Unspecified reactive species

Dingyan Zhou,Weizhe Liu,Juanjuan Zhang,Yucui Dong,Jiangli Wu,Yu Zhang,Cheng Dai,Tingting Zhang,Gaoshan Yang,Yue Zhang,Aiying Li

Cellular and molecular life sciences : CMLS 80:161 PubMed37219631

2023

Poly (ADP-ribose) polymerases 16 triggers pathological cardiac hypertrophy via activating IRE1α-sXBP1-GATA4 pathway.

Applications

Unspecified application

Species

Unspecified reactive species

Haibi Su,Jie Xu,Zhenghua Su,Chenxi Xiao,Jinghuan Wang,Wen Zhong,Chen Meng,Di Yang,Yizhun Zhu

Antioxidants (Basel, Switzerland) 12: PubMed37237888

2023

Osthole Prevents Heart Damage Induced by Diet-Induced Metabolic Syndrome: Role of Fructokinase (KHK).

Applications

Unspecified application

Species

Unspecified reactive species

Fernando E García-Arroyo,Guillermo Gonzaga-Sánchez,Alejandro Silva-Palacios,Francisco Javier Roldán,María L Loredo-Mendoza,Yamnia Quetzal Alvarez-Alvarez,Jesus A de Los Santos Coyotl,Kevin A Vélez Orozco,Edilia Tapia,Horacio Osorio-Alonso,Abraham S Arellano-Buendía,José L Sánchez-Gloria,Miguel A Lanaspa,Richard J Johnson,Laura Gabriela Sánchez-Lozada

Research (Washington, D.C.) 6:0019 PubMed37040505

2023

Mass Spectrometry Imaging-Based Single-Cell Lipidomics Profiles Metabolic Signatures of Heart Failure.

Applications

Unspecified application

Species

Unspecified reactive species

Jie Ren,Hao-Wen Li,Liang Chen,Min Zhang,Yan-Xiang Liu,Bo-Wen Zhang,Rui Xu,Yan-Yan Miao,Xue-Mei Xu,Xin Hua,Xiao-Gang Sun,Ru-Jia Yu,Yi-Tao Long,Sheng-Shou Hu

Autophagy 19:1087-1099 PubMed35998113

2022

NPPA/atrial natriuretic peptide is an extracellular modulator of autophagy in the heart.

Applications

Unspecified application

Species

Unspecified reactive species

Maurizio Forte,Simona Marchitti,Flavio Di Nonno,Rosita Stanzione,Leonardo Schirone,Maria Cotugno,Franca Bianchi,Sonia Schiavon,Salvatore Raffa,Danilo Ranieri,Salvatore Fioriniello,Floriana Della Ragione,Maria Rosaria Torrisi,Roberto Carnevale,Valentina Valenti,Francesco Versaci,Giacomo Frati,Carmine Vecchione,Massimo Volpe,Speranza Rubattu,Sebastiano Sciarretta

Journal of the American Heart Association 11:e025021 PubMed35730615

2022

Postnatal Deletion of Bmal1 in Cardiomyocyte Promotes Pressure Overload Induced Cardiac Remodeling in Mice.

Applications

Unspecified application

Species

Unspecified reactive species

Qing Liang,Hu Xu,Min Liu,Lei Qian,Jin Yan,Guangrui Yang,Lihong Chen

Cell death discovery 8:167 PubMed35383152

2022

The lncRNA MIAT regulates CPT-1a mediated cardiac hypertrophy through mA RNA methylation reading protein Ythdf2.

Applications

Unspecified application

Species

Unspecified reactive species

Yiqing Yang,Muisha B Mbikyo,Junzhe Zhang,Yuan Zhang,Naijin Zhang,Zhao Li

Bioengineered 13:8593-8604 PubMed35287557

2022

MCC950 ameliorates ventricular arrhythmia vulnerability induced by heart failure.

Applications

Unspecified application

Species

Unspecified reactive species

Xiaobo Jiang,Fan Yang,Dengke Ou,Luyong Huang,Hongfei Li,Mingjian Lang

Frontiers in cardiovascular medicine 9:699764 PubMed35321104

2022

Obstructive Sleep Apnea Impacts Cardiac Function in Dilated Cardiomyopathy Patients Through Circulating Exosomes.

Applications

Unspecified application

Species

Unspecified reactive species

Hui Gong,Xing Lyu,Lini Dong,Shengyu Tan,Shizhen Li,Jieting Peng,Yang Liu,Xiangyu Zhang
View all publications

Product promise

We are committed to supporting your work with high-quality reagents, and we're here for you every step of the way. In the unlikely event that one of our products does not perform as expected, you're protected by our Product Promise.
For full details, please see our Terms & Conditions

Associated Products

Select an associated product type
Alternative Product
Primary Antibodies

AB126149

Anti-Natriuretic peptides A antibody

primary-antibodies

natriuretic-peptides-a-antibody-ab126149

0

(0 reviews)

Alternative Product
Primary Antibodies

AB262703

Anti-Natriuretic peptides A antibody

primary-antibodies

natriuretic-peptides-a-antibody-ab262703

0

(0 reviews)

Alternative Product
Primary Antibodies

AB14442

Anti-Natriuretic peptides A antibody [L11-11-D6-B4]

primary-antibodies

natriuretic-peptides-a-antibody-l11-11-d6-b4-ab14442

0

(0 reviews)

Alternative Product
Primary Antibodies

AB180649

Anti-Natriuretic peptides A antibody

primary-antibodies

natriuretic-peptides-a-antibody-ab180649

0

(0 reviews)

Alternative Product
Primary Antibodies

AB2093

Anti-Natriuretic peptides A antibody [M622709]

primary-antibodies

natriuretic-peptides-a-antibody-m622709-ab2093

5

(2 reviews)

Alternative Product
Primary Antibodies

AB209232

Anti-Natriuretic peptides A antibody [EPR20247]

primary-antibodies

natriuretic-peptides-a-antibody-epr20247-ab209232

0

(0 reviews)

Alternative Product
Primary Antibodies

AB225873

Anti-Natriuretic peptides A antibody [EPR20247] - BSA and Azide free

primary-antibodies

natriuretic-peptides-a-antibody-epr20247-bsa-and-azide-free-ab225873

0

(0 reviews)

Alternative Product
Primary Antibodies

AB76743

Anti-Natriuretic peptides A antibody

primary-antibodies

natriuretic-peptides-a-antibody-ab76743

0

(0 reviews)

Alternative Product
Primary Antibodies

AB190001

Anti-Natriuretic peptides A antibody - C-terminal

primary-antibodies

natriuretic-peptides-a-antibody-c-terminal-ab190001

0

(0 reviews)

Please note: All products are 'FOR RESEARCH USE ONLY. NOT FOR USE IN DIAGNOSTIC OR THERAPEUTIC PROCEDURES'.

For licensing inquiries, please contact partnerships@abcam.com