JavaScript is disabled in your browser. Please enable JavaScript to view this website.
AB116706

Anti-Nav1.5/SCN5A antibody

Be the first to review this product! Submit a review

|

(1 Publication)

Goat Polyclonal SCN5A antibody. Suitable for IHC-P and reacts with Human samples. Cited in 1 publication. Immunogen corresponding to Synthetic Peptide within Human SCN5A aa 1500-1600.

View Alternative Names

Sodium channel protein type 5 subunit alpha, Sodium channel protein cardiac muscle subunit alpha, Sodium channel protein type V subunit alpha, Voltage-gated sodium channel subunit alpha Nav1.5, hH1, SCN5A

1 Images
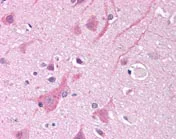
Immunohistochemistry (Formalin/PFA-fixed paraffin-embedded sections) - Anti-Nav1.5/SCN5A antibody (AB116706)
  • IHC-P

Unknown

Immunohistochemistry (Formalin/PFA-fixed paraffin-embedded sections) - Anti-Nav1.5/SCN5A antibody (AB116706)

ab116706, at 5-10 μg/ml, staining Nav1.5/SCN5A in Formalin-fixed, Paraffin-embedded Human Brain cortex tissue by Immunohistochemistry followed by biotinylated secondary antibody, alkaline phosphatase-streptavidin and chromogen.

Key facts

Host species

Goat

Clonality

Polyclonal

Isotype

IgG

Carrier free

No

Reacts with

Human

Applications

IHC-P

applications

Immunogen

Synthetic Peptide within Human SCN5A aa 1500-1600. The exact immunogen used to generate this antibody is proprietary information.

Q14524

Reactivity data

{ "title": "Reactivity Data", "filters": { "stats": ["", "Species", "Dilution Info", "Notes"], "tabs": { "all-applications": {"fullname" : "All Applications", "shortname": "All Applications"}, "IHCP" : {"fullname" : "Immunohistochemistry (Formalin/PFA-fixed paraffin-embedded sections)", "shortname":"IHC-P"} }, "product-promise": { "all": "all", "testedAndGuaranteed": "tested", "guaranteed": "expected", "predicted": "predicted", "notRecommended": "not-recommended" } }, "values": { "Human": { "IHCP-species-checked": "testedAndGuaranteed", "IHCP-species-dilution-info": "5-10 µg/mL", "IHCP-species-notes": "<p></p> Perform heat-mediated antigen retrieval with citrate buffer pH 6 before commencing with IHC staining protocol." }, "Mouse": { "IHCP-species-checked": "predicted", "IHCP-species-dilution-info": "", "IHCP-species-notes": "" }, "Rat": { "IHCP-species-checked": "predicted", "IHCP-species-dilution-info": "", "IHCP-species-notes": "" }, "Dog": { "IHCP-species-checked": "predicted", "IHCP-species-dilution-info": "", "IHCP-species-notes": "" }, "Pig": { "IHCP-species-checked": "predicted", "IHCP-species-dilution-info": "", "IHCP-species-notes": "" } } }

Properties and storage information

Form
Liquid
Purification technique
Affinity purification Protein G
Storage buffer
pH: 7.3 Preservative: 0.02% Sodium azide Constituents: 99% Tris buffered saline, 0.5% BSA
Shipped at conditions
Blue Ice
Appropriate short-term storage conditions
+4°C
Appropriate long-term storage conditions
-20°C
Aliquoting information
Upon delivery aliquot
Storage information
Avoid freeze / thaw cycle

Supplementary information

This supplementary information is collated from multiple sources and compiled automatically.

Nav1.5 also known as SCN5A is a protein that functions mechanically as a voltage-gated sodium channel. This channel facilitates the rapid influx of sodium ions across the cell membrane leading to the depolarization necessary for action potential initiation and propagation in cardiac cells. Nav1.5 weighs approximately 220-260 kDa and is primarily expressed in cardiac myocytes where it plays a central role in maintaining cardiac excitability and conduction.
Biological function summary

The sodium channel Nav1.5 is integral to the electrical signaling within the heart. It functions within the cardiac cell membrane and forms part of the larger sodium channel complex. Nav1.5 maintains ionic balance and supports normal cardiac rhythm making it essential for the contraction of the heart. Its expression and function can be influenced by interacting proteins and intracellular signaling molecules.

Pathways

Nav1.5 is an important component in the cardiac action potential generation and conduction pathways. It directly influences the cardiac conduction system and is part of the pathway that encompasses the sodium-potassium pump and other ion channels like Nav1.1 and Nav1.8. Through these pathways Nav1.5 regulates cardiac rhythm and myocardial contractility ensuring efficient heart function.

Nav1.5 mutations have significant associations with arrhythmias and cardiac conduction issues such as long QT syndrome and Brugada syndrome. These cardiac conditions are linked to disrupted sodium channel function caused by mutations in the SCN5A gene. Nav1.1 and Nav1.2 other family members of the sodium channel can sometimes show altered expression in these disorders reflecting the interconnected nature of this protein family in cardiac health.

Product protocols

For this product, it's our understanding that no specific protocols are required. You can visit:

Target data

Pore-forming subunit of Nav1.5, a voltage-gated sodium (Nav) channel that directly mediates the depolarizing phase of action potentials in excitable membranes. Navs, also called VGSCs (voltage-gated sodium channels) or VDSCs (voltage-dependent sodium channels), operate by switching between closed and open conformations depending on the voltage difference across the membrane. In the open conformation they allow Na(+) ions to selectively pass through the pore, along their electrochemical gradient. The influx of Na(+) ions provokes membrane depolarization, initiating the propagation of electrical signals throughout cells and tissues (PubMed : 1309946, PubMed : 21447824, PubMed : 23085483, PubMed : 23420830, PubMed : 25370050, PubMed : 26279430, PubMed : 26392562, PubMed : 26776555). Nav1.5 is the predominant sodium channel expressed in myocardial cells and it is responsible for the initial upstroke of the action potential in cardiac myocytes, thereby initiating the heartbeat (PubMed : 11234013, PubMed : 11804990, PubMed : 12569159, PubMed : 1309946). Required for normal electrical conduction including formation of the infranodal ventricular conduction system and normal action potential configuration, as a result of its interaction with XIRP2 (By similarity).
See full target information SCN5A

Publications (1)

Recent publications for all applications. Explore the full list and refine your search

Hereditas 162:104 PubMed40514721

2025

Astragaloside IV regulates FOXM1 deubiquitination to ameliorate trophoblast damage caused by high glucose.

Applications

Unspecified application

Species

Unspecified reactive species

Fan Li,Xiaofang Zhao
View all publications

Product promise

We are committed to supporting your work with high-quality reagents, and we're here for you every step of the way. In the unlikely event that one of our products does not perform as expected, you're protected by our Product Promise.
For full details, please see our Terms & Conditions

Please note: All products are 'FOR RESEARCH USE ONLY. NOT FOR USE IN DIAGNOSTIC OR THERAPEUTIC PROCEDURES'.

For licensing inquiries, please contact partnerships@abcam.com