JavaScript is disabled in your browser. Please enable JavaScript to view this website.
AB300049

Anti-Nav1.5/SCN5A antibody [EPR25136-48] - BSA and Azide free

  • BOND RX™ Validated
  • RabMAb
  • Recombinant
  • Advanced Validation
  • What is this?

Be the first to review this product! Submit a review

|

(0 Publication)

Rabbit Recombinant Monoclonal SCN5A antibody. Carrier free. Suitable for mIHC, WB, IHC-P and reacts with Mouse, Rat samples.

View Alternative Names

Sodium channel protein type 5 subunit alpha, Sodium channel protein cardiac muscle subunit alpha, Sodium channel protein type V subunit alpha, Voltage-gated sodium channel subunit alpha Nav1.5, mH1, Scn5a

8 Images
Multiplex immunohistochemistry - Anti-Nav1.5/SCN5A antibody [EPR25136-48] - BSA and Azide free (AB300049)
  • mIHC

Lab

Multiplex immunohistochemistry - Anti-Nav1.5/SCN5A antibody [EPR25136-48] - BSA and Azide free (AB300049)

This data was developed using ab300048 the same antibody clone in a different buffer formulation.

Multiplex immunohistochemistry analysis of formalin/PFA-fixed paraffin-embedded Mouse skeletal muscle tissue staining Nav1.5 with ab300048 at a 1/1000 (5.12 µg/ml) dilution, A2BP1 with ab254413 at 1/2000 (0.26 µg/ml) dilution and Dystrophin with ab218198 at 1/5000 ( 0.110 µg/ml) dilution.

Panel A : merged staining of anti-Nav1.5 (green; Opal™520), anti-A2BP1 (gray; Opal™570) and anti-Dystrophin (magenta; Opal™690) on mouse skeletal muscle.
Panel B : anti-Nav1.5 staining cytoplasm in mouse skeletal muscle.
Panel C : anti-A2BP1 staining nucleus in mouse skeletal muscle.
Panel D : anti-Dystrophin staining membrane in mouse skeletal muscle.
Nuclear DNA was labeled with DAPI (shown in blue).

The section was incubated in three rounds of staining : in the order of ab300048, ab254413 and ab218198 for 30 mins at room temperature. Each round was followed by a separate fluorescent tyramide signal amplification system.

The immunostaining was performed on a Leica Biosystems BOND® RX instrument with an Opal™ 4-color kit. Image acquisition was performed with Leica SP8 confocal microscope.

Heat mediated antigen retrieval with Tris-EDTA buffer (pH 9.0 epitope retrieval solution2) for 20 mins.

Immunohistochemistry (Formalin/PFA-fixed paraffin-embedded sections) - Anti-Nav1.5/SCN5A antibody [EPR25136-48] - BSA and Azide free (AB300049)
  • IHC-P

Supplier Data

Immunohistochemistry (Formalin/PFA-fixed paraffin-embedded sections) - Anti-Nav1.5/SCN5A antibody [EPR25136-48] - BSA and Azide free (AB300049)

This data was developed using ab300048, the same antibody clone in a different buffer formulation.

Immunohistochemical analysis of paraffin-embedded Rat cardiac muscle tissue labelling Nav1.5/SCN5A with ab300048 at 1/100 (4.98 μg/ml) followed by a ready to use LeicaDS9800 (BOND™ Polymer Refine Detection). Positive staining on rat cardiac muscle (PMID : 23542581) (PMID 18178574). The section was incubated with ab300048 for 30 mins at room temperature. The immunostaining was performed on a Leica Biosystems BOND® RX instrument. Counterstained with Hematoxylin.

Secondary antibody only control : Secondary antibody is a ready to use LeicaDS9800 (BOND™ Polymer Refine Detection).

Heat mediated antigen retrieval with Tris-EDTA buffer (pH 9.0, epitope retrieval solution2) for 20 mins.

Multiplex immunohistochemistry - Anti-Nav1.5/SCN5A antibody [EPR25136-48] - BSA and Azide free (AB300049)
  • mIHC

Lab

Multiplex immunohistochemistry - Anti-Nav1.5/SCN5A antibody [EPR25136-48] - BSA and Azide free (AB300049)

This data was developed using ab300048 the same antibody clone in a different buffer formulation.

Multiplex immunohistochemistry analysis of formalin/PFA-fixed paraffin-embedded Mouse cardiac muscle tissue staining Nav1.5 with ab300048 at a 1/1000 (5.12 µg/ml), dilution A2BP1 with ab254413 at 1/2000 (0.26 µg/ml) dilution and Dystrophin with ab218198 at 1/5000 ( 0.110 µg/ml) dilution.

Panel A : merged staining of anti-Nav1.5 (green; Opal™520), anti-A2BP1 (gray; Opal™570) and anti-Dystrophin (magenta; Opal™690) on mouse cardiac muscle.
Panel B : anti-Nav1.5 staining cytoplasm in mouse cardiac muscle.
Panel C : anti-A2BP1 staining nucleus in mouse cardiac muscle.
Panel D : anti-Dystrophin staining membrane in mouse cardiac muscle.
Nuclear DNA was labeled with DAPI (shown in blue).

The section was incubated in three rounds of staining : in the order of ab300048, ab254413 and ab218198 for 30 mins at room temperature. Each round was followed by a separate fluorescent tyramide signal amplification system.

The immunostaining was performed on a Leica Biosystems BOND® RX instrument with an Opal™ 4-color kit. Image acquisition was performed with Leica SP8 confocal microscope.

Heat mediated antigen retrieval with Tris-EDTA buffer (pH 9.0 epitope retrieval solution2) for 20 mins.

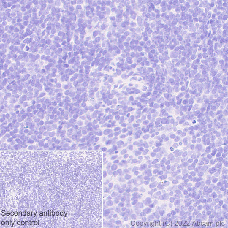
Immunohistochemistry (Formalin/PFA-fixed paraffin-embedded sections) - Anti-Nav1.5/SCN5A antibody [EPR25136-48] - BSA and Azide free (AB300049)
  • IHC-P

Supplier Data

Immunohistochemistry (Formalin/PFA-fixed paraffin-embedded sections) - Anti-Nav1.5/SCN5A antibody [EPR25136-48] - BSA and Azide free (AB300049)

This data was developed using ab300048, the same antibody clone in a different buffer formulation.

Immunohistochemical analysis of paraffin-embedded Mouse spleen tissue labelling Nav1.5/SCN5A with ab300048 at 1/100 (4.98 μg/ml) followed by a ready to use LeicaDS9800 (BOND™ Polymer Refine Detection). Negative control : no staining on mouse spleen (PMID : 1309946). The section was incubated with ab300048 for 30 mins at room temperature. The immunostaining was performed on a Leica Biosystems BOND® RX instrument. Counterstained with Hematoxylin.

Secondary antibody only control : Secondary antibody is a ready to use LeicaDS9800 (BOND™ Polymer Refine Detection).

Heat mediated antigen retrieval with Tris-EDTA buffer (pH 9.0, epitope retrieval solution2) for 20 mins.

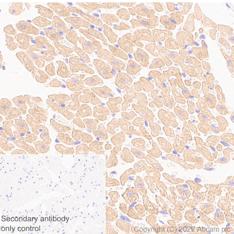
Immunohistochemistry (Formalin/PFA-fixed paraffin-embedded sections) - Anti-Nav1.5/SCN5A antibody [EPR25136-48] - BSA and Azide free (AB300049)
  • IHC-P

Supplier Data

Immunohistochemistry (Formalin/PFA-fixed paraffin-embedded sections) - Anti-Nav1.5/SCN5A antibody [EPR25136-48] - BSA and Azide free (AB300049)

This data was developed using ab300048, the same antibody clone in a different buffer formulation.

Immunohistochemical analysis of paraffin-embedded Mouse cardiac muscle tissue labelling Nav1.5/SCN5A with ab300048 at 1/100 (4.98 μg/ml) followed by a ready to use LeicaDS9800 (BOND™ Polymer Refine Detection) was used. Positive staining on mouse cardiac muscle (PMID : 23542581) (PMID 18178574). The section was incubated with ab300048 for 30 mins at room temperature. The immunostaining was performed on a Leica Biosystems BOND® RX instrument. Counterstained with Hematoxylin.

Secondary antibody only control : Secondary antibody is a ready to use LeicaDS9800 (BOND™ Polymer Refine Detection) was used.

Heat mediated antigen retrieval with Tris-EDTA buffer (pH 9.0, epitope retrieval solution2) for 20 mins.

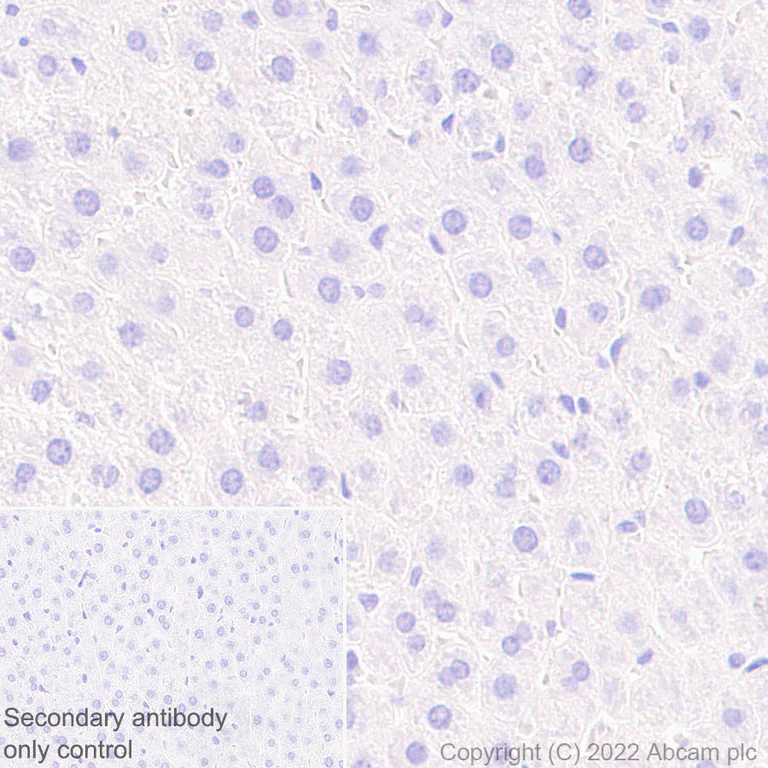
Immunohistochemistry (Formalin/PFA-fixed paraffin-embedded sections) - Anti-Nav1.5/SCN5A antibody [EPR25136-48] - BSA and Azide free (AB300049)
  • IHC-P

Supplier Data

Immunohistochemistry (Formalin/PFA-fixed paraffin-embedded sections) - Anti-Nav1.5/SCN5A antibody [EPR25136-48] - BSA and Azide free (AB300049)

This data was developed using ab300048, the same antibody clone in a different buffer formulation.

Immunohistochemical analysis of paraffin-embedded Rat liver tissue labelling Nav1.5/SCN5A with ab300048 at 1/100 (4.98 μ/ml) followed by a ready to use LeicaDS9800 (BOND™ Polymer Refine Detection) was used. Negative control : no staining on rat liver (PMID : 22331407). The section was incubated with ab300048 for 30 mins at room temperature.The immunostaining was performed on a Leica Biosystems BOND® RX instrument. Counterstained with Hematoxylin.

Secondary antibody only control : Secondary antibody is a ready to use LeicaDS9800 (BOND™ Polymer Refine Detection).

Heat mediated antigen retrieval with Tris-EDTA buffer (pH 9.0, epitope retrieval solution2) for 20 mins.

Western blot - Anti-Nav1.5/SCN5A antibody [EPR25136-48] - BSA and Azide free (AB300049)
  • WB

Supplier Data

Western blot - Anti-Nav1.5/SCN5A antibody [EPR25136-48] - BSA and Azide free (AB300049)

This data was developed using ab300048, the same antibody clone in a different buffer formulation.

5% NFDM/TBST was used as a blocking and diluting buffer and concentration.

Negative control : liver, spleen(PMID : 1309946)

Samples are non-boiled as boiling may cause protein aggregates.

This blot was developed using a higher sensitivity ECL substrate.

All lanes:

Western blot - Anti-Nav1.5/SCN5A antibody [EPR25136-48] (<a href='/en-us/products/primary-antibodies/nav15-scn5a-antibody-epr25136-48-ab300048'>ab300048</a>) at 1/1000 dilution

Lane 1:

Mouse heart tissue lysate at 20 µg

Lane 2:

Mouse liver tissue lysate at 20 µg

Lane 3:

Mouse spleen tissue lysate at 20 µg

Secondary

All lanes:

Western blot - Goat Anti-Rabbit IgG H&L (HRP) (<a href='/en-us/products/secondary-antibodies/goat-rabbit-igg-h-l-hrp-ab97051'>ab97051</a>) at 1/100000 dilution

Predicted band size: 226 kDa

Observed band size: 250 kDa

false

Exposure time: 3min

Western blot - Anti-Nav1.5/SCN5A antibody [EPR25136-48] - BSA and Azide free (AB300049)
  • WB

Supplier Data

Western blot - Anti-Nav1.5/SCN5A antibody [EPR25136-48] - BSA and Azide free (AB300049)

This data was developed using ab300048, the same antibody clone in a different buffer formulation.

5% NFDM/TBST was used as a blocking and diluting buffer and concentration.

Negative control : liver (PMID : 1309946).

Samples are non-boiled as boiling may cause protein aggregates.

This blot was developed using a higher sensitivity ECL substrate.

All lanes:

Western blot - Anti-Nav1.5/SCN5A antibody [EPR25136-48] (<a href='/en-us/products/primary-antibodies/nav15-scn5a-antibody-epr25136-48-ab300048'>ab300048</a>) at 1/1000 dilution

Lane 1:

Rat heart tissue lysate at 20 µg

Lane 2:

Rat liver tissue lysate at 20 µg

Secondary

All lanes:

Western blot - Goat Anti-Rabbit IgG H&L (HRP) (<a href='/en-us/products/secondary-antibodies/goat-rabbit-igg-h-l-hrp-ab97051'>ab97051</a>) at 1/100000 dilution

Predicted band size: 226 kDa

Observed band size: 250 kDa

false

Exposure time: 3min

Key facts

Host species

Rabbit

Clonality

Monoclonal

Clone number

EPR25136-48

Isotype

IgG

Carrier free

Yes

Reacts with

Mouse, Rat

Applications

IHC-P, WB, mIHC

applications

Immunogen

The exact immunogen used to generate this antibody is proprietary information.

Reactivity data

{ "title": "Reactivity Data", "filters": { "stats": ["", "Species", "Dilution Info", "Notes"], "tabs": { "all-applications": {"fullname" : "All Applications", "shortname": "All Applications"}, "mIHC" : {"fullname" : "Multiplex immunohistochemistry", "shortname":"mIHC"}, "WB" : {"fullname" : "Western blot", "shortname":"WB"}, "IHCP" : {"fullname" : "Immunohistochemistry (Formalin/PFA-fixed paraffin-embedded sections)", "shortname":"IHC-P"}, "IP" : {"fullname" : "Immunoprecipitation", "shortname":"IP"}, "ICCIF" : {"fullname" : "Immunocytochemistry/ Immunofluorescence", "shortname":"ICC/IF"}, "FlowCytIntra" : {"fullname" : "Flow Cytometry (Intracellular)", "shortname":"Flow Cyt (Intra)"} }, "product-promise": { "all": "all", "testedAndGuaranteed": "tested", "guaranteed": "expected", "predicted": "predicted", "notRecommended": "not-recommended" } }, "values": { "Human": { "mIHC-species-checked": "notRecommended", "mIHC-species-dilution-info": "", "mIHC-species-notes": "", "WB-species-checked": "notRecommended", "WB-species-dilution-info": "", "WB-species-notes": "", "IHCP-species-checked": "notRecommended", "IHCP-species-dilution-info": "", "IHCP-species-notes": "<p></p>", "IP-species-checked": "notRecommended", "IP-species-dilution-info": "", "IP-species-notes": "<p></p>", "ICCIF-species-checked": "notRecommended", "ICCIF-species-dilution-info": "", "ICCIF-species-notes": "<p></p>", "FlowCytIntra-species-checked": "notRecommended", "FlowCytIntra-species-dilution-info": "", "FlowCytIntra-species-notes": "<p></p>" }, "Mouse": { "mIHC-species-checked": "testedAndGuaranteed", "mIHC-species-dilution-info": "", "mIHC-species-notes": "<p></p>", "WB-species-checked": "testedAndGuaranteed", "WB-species-dilution-info": "", "WB-species-notes": "<p></p>", "IHCP-species-checked": "testedAndGuaranteed", "IHCP-species-dilution-info": "", "IHCP-species-notes": "<p></p>", "IP-species-checked": "notRecommended", "IP-species-dilution-info": "", "IP-species-notes": "<p></p>", "ICCIF-species-checked": "notRecommended", "ICCIF-species-dilution-info": "", "ICCIF-species-notes": "<p></p>", "FlowCytIntra-species-checked": "notRecommended", "FlowCytIntra-species-dilution-info": "", "FlowCytIntra-species-notes": "<p></p>" }, "Rat": { "mIHC-species-checked": "guaranteed", "mIHC-species-dilution-info": "", "mIHC-species-notes": "", "WB-species-checked": "testedAndGuaranteed", "WB-species-dilution-info": "", "WB-species-notes": "<p></p>", "IHCP-species-checked": "testedAndGuaranteed", "IHCP-species-dilution-info": "", "IHCP-species-notes": "<p></p>", "IP-species-checked": "notRecommended", "IP-species-dilution-info": "", "IP-species-notes": "<p></p>", "ICCIF-species-checked": "notRecommended", "ICCIF-species-dilution-info": "", "ICCIF-species-notes": "<p></p>", "FlowCytIntra-species-checked": "notRecommended", "FlowCytIntra-species-dilution-info": "", "FlowCytIntra-species-notes": "<p></p>" } } }

Product details

Conjugation ready
Our carrier-free antibodies are typically supplied in a PBS-only formulation, purified and free of BSA, sodium azide and glycerol. This conjugation-ready format is designed for use with fluorochromes, metal isotopes, oligonucleotides, and enzymes, which makes them ideal for antibody labelling, functional and cell-based assays, flow-based assays (e.g. mass cytometry) and Multiplex Imaging applications.

Use our conjugation kits for antibody conjugates that are ready-to-use in as little as 20 minutes with 1 minute hands-on-time and 100% antibody recovery: available for fluorescent dyes, HRP, biotin and gold.

Patented technology
Our RabMAb® technology is a patented hybridoma-based technology for making rabbit monoclonal antibodies. For details on our patents, please refer to RabMAb® patents.

Compatibility
This product is compatible with the Maxpar® Antibody Labeling Kit from Fluidigm, without the need for antibody preparation. Maxpar® is a trademark of Fluidigm Canada Inc.

What are the advantages of a recombinant monoclonal antibody?
This product is a recombinant monoclonal antibody, which offers several advantages including:

  • - High batch-to-batch consistency and reproducibility
  • - Improved sensitivity and specificity
  • - Long-term security of supply
  • - Animal-free batch production

For more information, read more on recombinant antibodies.

Properties and storage information

Form
Liquid
Purification technique
Affinity purification Protein A
Storage buffer
pH: 7.2 - 7.4 Constituents: PBS
Shipped at conditions
Blue Ice
Appropriate short-term storage conditions
+4°C
Appropriate long-term storage conditions
+4°C
Aliquoting information
Upon delivery aliquot

Supplementary information

This supplementary information is collated from multiple sources and compiled automatically.

Nav1.5 also known as SCN5A is a protein that functions mechanically as a voltage-gated sodium channel. This channel facilitates the rapid influx of sodium ions across the cell membrane leading to the depolarization necessary for action potential initiation and propagation in cardiac cells. Nav1.5 weighs approximately 220-260 kDa and is primarily expressed in cardiac myocytes where it plays a central role in maintaining cardiac excitability and conduction.
Biological function summary

The sodium channel Nav1.5 is integral to the electrical signaling within the heart. It functions within the cardiac cell membrane and forms part of the larger sodium channel complex. Nav1.5 maintains ionic balance and supports normal cardiac rhythm making it essential for the contraction of the heart. Its expression and function can be influenced by interacting proteins and intracellular signaling molecules.

Pathways

Nav1.5 is an important component in the cardiac action potential generation and conduction pathways. It directly influences the cardiac conduction system and is part of the pathway that encompasses the sodium-potassium pump and other ion channels like Nav1.1 and Nav1.8. Through these pathways Nav1.5 regulates cardiac rhythm and myocardial contractility ensuring efficient heart function.

Nav1.5 mutations have significant associations with arrhythmias and cardiac conduction issues such as long QT syndrome and Brugada syndrome. These cardiac conditions are linked to disrupted sodium channel function caused by mutations in the SCN5A gene. Nav1.1 and Nav1.2 other family members of the sodium channel can sometimes show altered expression in these disorders reflecting the interconnected nature of this protein family in cardiac health.

Product protocols

For this product, it's our understanding that no specific protocols are required. You can visit:

Target data

Pore-forming subunit of Nav1.5, a voltage-gated sodium (Nav) channel that directly mediates the depolarizing phase of action potentials in excitable membranes. Navs, also called VGSCs (voltage-gated sodium channels) or VDSCs (voltage-dependent sodium channels), operate by switching between closed and open conformations depending on the voltage difference across the membrane. In the open conformation they allow Na(+) ions to selectively pass through the pore, along their electrochemical gradient. The influx of Na(+) ions provokes membrane depolarization, initiating the propagation of electrical signals throughout cells and tissues (PubMed : 11834499, PubMed : 23420830). Nav1.5 is the predominant sodium channel expressed in myocardial cells and it is responsible for the initial upstroke of the action potential in cardiac myocytes, thereby initiating the heartbeat (PubMed : 11834499, PubMed : 23420830, PubMed : 29306897). Required for normal electrical conduction including formation of the infranodal ventricular conduction system and normal action potential configuration, as a result of its interaction with XIRP2 (PubMed : 29306897).
See full target information SCN5A_MOUSE

Product promise

We are committed to supporting your work with high-quality reagents, and we're here for you every step of the way. In the unlikely event that one of our products does not perform as expected, you're protected by our Product Promise.
For full details, please see our Terms & Conditions

Please note: All products are 'FOR RESEARCH USE ONLY. NOT FOR USE IN DIAGNOSTIC OR THERAPEUTIC PROCEDURES'.

For licensing inquiries, please contact partnerships@abcam.com