JavaScript is disabled in your browser. Please enable JavaScript to view this website.
AB63331

Anti-Nav1.8/SCN10A antibody

Be the first to review this product! Submit a review

|

(5 Publications)

Rabbit Polyclonal Nav1.8/SCN10A antibody. Suitable for ICC, WB, IHC-Fr and reacts with Rat samples. Cited in 5 publications. Immunogen corresponding to Synthetic Peptide within Rat Scn10a aa 1850 to C-terminus.

View Alternative Names

Sns, Scn10a, Sodium channel protein type 10 subunit alpha, Peripheral nerve sodium channel 3, Sensory neuron sodium channel, Sodium channel protein type X subunit alpha, Voltage-gated sodium channel subunit alpha Nav1.8, PN3

2 Images
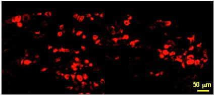
Immunohistochemistry (Frozen sections) - Anti-Nav1.8/SCN10A antibody (AB63331)
  • IHC-Fr

Unknown

Immunohistochemistry (Frozen sections) - Anti-Nav1.8/SCN10A antibody (AB63331)

Immunohistochemistry was performed on 2 week old rat lumber DRG sections. NaV1.8/SCN10A-like immunoreactivity can be detected only in small diameter (<30 um) neurons.

Western blot - Anti-Nav1.8/SCN10A antibody (AB63331)
  • WB

Unknown

Western blot - Anti-Nav1.8/SCN10A antibody (AB63331)

Western blot analysis. A single band of strong NaV1.8/SCN10A-like immunoreactivity at approximately 240 kDa in the membrane fraction of rat DRG is shown. Note that membrane fractions of rat whole brain, cerebellum, skeletal muscle, heart, superior cervical ganglia, liver and kidney showed no detectable immunoreactivity. Membrane extract from CHO-SNS22 (a cell line stably transfected with rat NaV1.8/SCN10A cDNA) showed strong immunoreactivity at the same size with DRG. Non-transfected CHO cells did not show any bands.

All lanes:

Western blot - Anti-Nav1.8/SCN10A antibody (ab63331)

Predicted band size: 221 kDa

false

Key facts

Host species

Rabbit

Clonality

Polyclonal

Isotype

IgG

Carrier free

No

Reacts with

Rat

Applications

ICC, IHC-Fr, WB

applications

Immunogen

Synthetic Peptide within Rat Scn10a aa 1850 to C-terminus. The exact immunogen used to generate this antibody is proprietary information.

Q62968

Reactivity data

{ "title": "Reactivity Data", "filters": { "stats": ["", "Species", "Dilution Info", "Notes"], "tabs": { "all-applications": {"fullname" : "All Applications", "shortname": "All Applications"}, "ICC" : {"fullname" : "Immunocytochemistry", "shortname":"ICC"}, "WB" : {"fullname" : "Western blot", "shortname":"WB"}, "IHCFr" : {"fullname" : "Immunohistochemistry (Frozen sections)", "shortname":"IHC-Fr"} }, "product-promise": { "all": "all", "testedAndGuaranteed": "tested", "guaranteed": "expected", "predicted": "predicted", "notRecommended": "not-recommended" } }, "values": { "Rat": { "ICC-species-checked": "guaranteed", "ICC-species-dilution-info": "", "ICC-species-notes": "<p></p>", "WB-species-checked": "testedAndGuaranteed", "WB-species-dilution-info": "1/4000", "WB-species-notes": "<p></p>", "IHCFr-species-checked": "testedAndGuaranteed", "IHCFr-species-dilution-info": "", "IHCFr-species-notes": "<p></p>" } } }

Properties and storage information

Form
Liquid
Purity
Whole antiserum
Storage buffer
Constituents: PBS, Whole serum
Shipped at conditions
Blue Ice
Appropriate short-term storage conditions
+4°C
Appropriate long-term storage conditions
-20°C
Aliquoting information
Upon delivery aliquot
Storage information
Avoid freeze / thaw cycle

Supplementary information

This supplementary information is collated from multiple sources and compiled automatically.

Nav1.8 also known as SCN10A is a voltage-gated sodium channel. It facilitates the rapid transit of sodium ions across cell membranes essential for the propagation of action potentials in neurons. Nav1.8 has a mass of approximately 220 kDa and it expresses primarily in peripheral sensory neurons including dorsal root ganglia. This channel is activated mainly in response to depolarization enabling the initiation and conduction of electrical signals.
Biological function summary

Nav1.8 contributes significantly to pain transmission especially in nociceptive neurons which detect painful stimuli. It operates as a principal component in generating sustained action potentials required for pain signal propagation. Nav1.8 is not a part of a larger complex but plays a standalone critical role. It shows high expression during inflammatory and neuropathic pain conditions indicating its role in pain pathways.

Pathways

Nav1.8 is involved in both the pain and neuroinflammatory pathways. It influences the activity of other sodium channels such as Nav1.7 another critical mediator of pain sensation. Pain pathways extensively integrate Nav1.8 function especially in the modulation of pain thresholds and states. Neuroinflammatory pathways utilize Nav1.8 to alter neuron excitability under inflammatory conditions which is significant for understanding different pain modalities.

Nav1.8 is associated with chronic pain disorders such as neuropathic pain and inflammatory pain conditions. Variations in Nav1.8 are linked to altered pain sensitivity and are researched as potential therapeutic targets for pain relief. In diseases like diabetic neuropathy Nav1.8 changes correlate with increased neuronal excitability and persistent pain sensation. Its relationship with proteins like Nav1.7 in these contexts highlights its importance in the diagnostic and therapeutic options for pain management.

Product protocols

For this product, it's our understanding that no specific protocols are required. You can visit:

Target data

Tetrodotoxin-resistant channel that mediates the voltage-dependent sodium ion permeability of excitable membranes. Assuming opened or closed conformations in response to the voltage difference across the membrane, the protein forms a sodium-selective channel through which sodium ions may pass in accordance with their electrochemical gradient. Plays a role in neuropathic pain mechanisms.
See full target information Scn10a

Publications (5)

Recent publications for all applications. Explore the full list and refine your search

Neural development 19:1 PubMed38167468

2024

Loss of G9a does not phenocopy the requirement for Prdm12 in the development of the nociceptive neuron lineage.

Applications

Unspecified application

Species

Unspecified reactive species

Panagiotis Tsimpos,Simon Desiderio,Pauline Cabochette,Philippe Poelvoorde,Sadia Kricha,Luc Vanhamme,Coralie Poulard,Eric J Bellefroid

The FEBS journal 289:3457-3476 PubMed35029322

2022

Transcription factor mesenchyme homeobox protein 2 (MEOX2) modulates nociceptor function.

Applications

Unspecified application

Species

Unspecified reactive species

Tomislav Kokotović,Ewelina M Lenartowicz,Michiel Langeslag,Cosmin I Ciotu,Christopher W Fell,Angelica Scaramuzza,Michael J M Fischer,Michaela Kress,Josef M Penninger,Vanja Nagy

Pain 163:e927-e941 PubMed34961757

2021

Prdm12 modulates pain-related behavior by remodeling gene expression in mature nociceptors.

Applications

Unspecified application

Species

Unspecified reactive species

Aurore Latragna,Alba Sabaté San José,Panagiotis Tsimpos,Simon Vermeiren,Roberta Gualdani,Sampurna Chakrabarti,Gerard Callejo,Simon Desiderio,Orr Shomroni,Maren Sitte,Sadia Kricha,Maëlle Luypaert,Benoit Vanhollebeke,Geoffroy Laumet,Gabriela Salinas,Ewan St John Smith,Laurence Ris,Eric J Bellefroid

Cell reports 26:3522-3536.e5 PubMed30917309

2019

Prdm12 Directs Nociceptive Sensory Neuron Development by Regulating the Expression of the NGF Receptor TrkA.

Applications

Unspecified application

Species

Unspecified reactive species

Simon Desiderio,Simon Vermeiren,Claude Van Campenhout,Sadia Kricha,Elisa Malki,Sven Richts,Emily V Fletcher,Thomas Vanwelden,Bela Z Schmidt,Kristine A Henningfeld,Tomas Pieler,C Geoffrey Woods,Vanja Nagy,Catherine Verfaillie,Eric J Bellefroid

Journal of cell science 127:216-29 PubMed24190886

2013

Pain modulators regulate the dynamics of PKA-RII phosphorylation in subgroups of sensory neurons.

Applications

Unspecified application

Species

Unspecified reactive species

Joerg Isensee,Mandy Diskar,Steffen Waldherr,René Buschow,Jan Hasenauer,Anke Prinz,Frank Allgöwer,Friedrich W Herberg,Tim Hucho
View all publications

Product promise

We are committed to supporting your work with high-quality reagents, and we're here for you every step of the way. In the unlikely event that one of our products does not perform as expected, you're protected by our Product Promise.
For full details, please see our Terms & Conditions

Please note: All products are 'FOR RESEARCH USE ONLY. NOT FOR USE IN DIAGNOSTIC OR THERAPEUTIC PROCEDURES'.

For licensing inquiries, please contact partnerships@abcam.com