JavaScript is disabled in your browser. Please enable JavaScript to view this website.
AB93616

Anti-Nav1.8/SCN10A antibody [S134]

4

(2 Reviews)

|

(10 Publications)

Anti-Nav1.8/SCN10A antibody [S134] (ab93616) is a mouse monoclonal antibody detecting Nav1.8/SCN10A in IHC-P. Suitable for Mouse, Rat.

- Trusted since 2010

View Alternative Names

Sodium channel protein type 10 subunit alpha, Peripheral nerve sodium channel 3, Sodium channel protein type X subunit alpha, Voltage-gated sodium channel subunit alpha Nav1.8, PN3, hPN3, SCN10A

2 Images
Immunohistochemistry (Formalin/PFA-fixed paraffin-embedded sections) - Anti-Nav1.8/SCN10A antibody [S134] (AB93616)
  • IHC-P

Lab

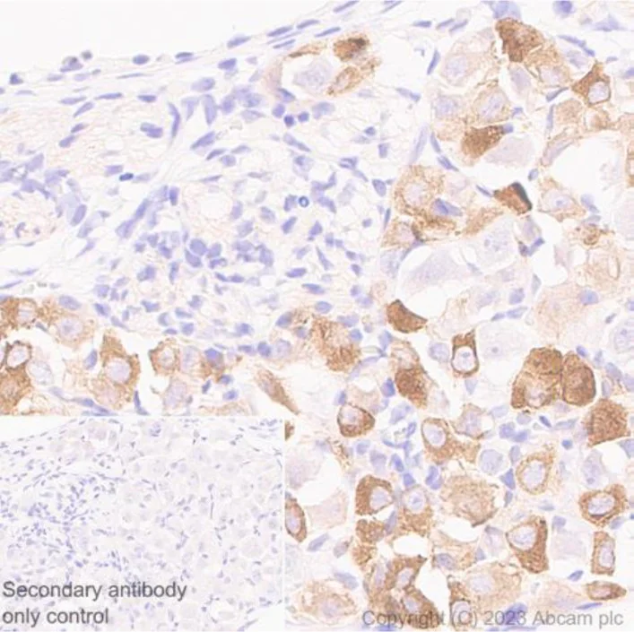
Immunohistochemistry (Formalin/PFA-fixed paraffin-embedded sections) - Anti-Nav1.8/SCN10A antibody [S134] (AB93616)

Immunohistochemical analysis of paraffin-embedded Rat dorsal root ganglia labeling Nav1.8/SCN10A with ab93616 at 1/100 dilution, followed by a ready to use LeicaDS9800 (Bond™ Polymer Refine Detection). The immunostaining was performed on a Leica Biosystems BOND® RX instrument. Counterstained with Hematoxylin. Heat mediated antigen retrieval was performed with EDTA buffer (pH 9.0, epitope retrieval solution 2) for 20 mins.

Immunohistochemistry (Formalin/PFA-fixed paraffin-embedded sections) - Anti-Nav1.8/SCN10A antibody [S134] (AB93616)
  • IHC-P

Lab

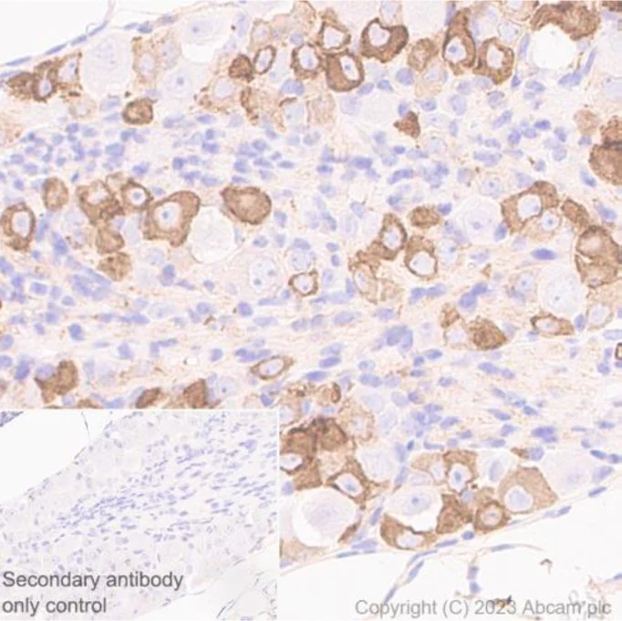
Immunohistochemistry (Formalin/PFA-fixed paraffin-embedded sections) - Anti-Nav1.8/SCN10A antibody [S134] (AB93616)

Immunohistochemical analysis of paraffin-embedded Mouse dorsal root ganglia labeling Nav1.8/SCN10A with ab93616 at 1/100 dilution, followed by a ready to use LeicaDS9800 (Bond™ Polymer Refine Detection). The immunostaining was performed on a Leica Biosystems BOND® RX instrument. Counterstained with Hematoxylin. Heat mediated antigen retrieval was performed with EDTA buffer (pH 9.0, epitope retrieval solution 2) for 20 mins.

Key facts

Host species

Mouse

Clonality

Monoclonal

Clone number

S134

Isotype

IgG2a

Carrier free

No

Reacts with

Mouse, Rat

Applications

IHC-P

applications

Immunogen

Recombinant Fragment Protein within Rat Scn10a aa 1700 to C-terminus. The exact immunogen used to generate this antibody is proprietary information.

Q62968

Reactivity data

{ "title": "Reactivity Data", "filters": { "stats": ["", "Species", "Dilution Info", "Notes"], "tabs": { "all-applications": {"fullname" : "All Applications", "shortname": "All Applications"}, "IHCP" : {"fullname" : "Immunohistochemistry (Formalin/PFA-fixed paraffin-embedded sections)", "shortname":"IHC-P"} }, "product-promise": { "all": "all", "testedAndGuaranteed": "tested", "guaranteed": "expected", "predicted": "predicted", "notRecommended": "not-recommended" } }, "values": { "Mouse": { "IHCP-species-checked": "testedAndGuaranteed", "IHCP-species-dilution-info": "1/100", "IHCP-species-notes": "<p></p>" }, "Rat": { "IHCP-species-checked": "testedAndGuaranteed", "IHCP-species-dilution-info": "1/100", "IHCP-species-notes": "<p></p>" } } }

Product details

What is this antibody validated in?
Anti-Nav1.8/SCN10A antibody [S134] (ab93616) is a mouse recombinant monoclonal antibody and is validated for use in Immunohistochemistry (IHC-P) in Mouse, Rat samples.

What are the advantages of a recombinant monoclonal antibody?
This product is a recombinant monoclonal antibody, which offers several advantages including:

  • - High batch-to-batch consistency and reproducibility
  • - Improved sensitivity and specificity
  • - Long-term security of supply
  • - Animal-free batch production

For more information, read more on recombinant antibodies.

Properties and storage information

Form
Liquid
Purification technique
Affinity purification Protein A
Storage buffer
pH: 7.2 - 7.4 Preservative: 0.01% Sodium azide Constituents: PBS, 40% Glycerol (glycerin, glycerine), 0.05% BSA
Shipped at conditions
Blue Ice
Appropriate short-term storage duration
1-2 weeks
Appropriate short-term storage conditions
+4°C
Appropriate long-term storage conditions
-20°C
Aliquoting information
Upon delivery aliquot
Storage information
Avoid freeze / thaw cycle

Supplementary information

This supplementary information is collated from multiple sources and compiled automatically.

Nav1.8 also known as SCN10A is a voltage-gated sodium channel. It facilitates the rapid transit of sodium ions across cell membranes essential for the propagation of action potentials in neurons. Nav1.8 has a mass of approximately 220 kDa and it expresses primarily in peripheral sensory neurons including dorsal root ganglia. This channel is activated mainly in response to depolarization enabling the initiation and conduction of electrical signals.
Biological function summary

Nav1.8 contributes significantly to pain transmission especially in nociceptive neurons which detect painful stimuli. It operates as a principal component in generating sustained action potentials required for pain signal propagation. Nav1.8 is not a part of a larger complex but plays a standalone critical role. It shows high expression during inflammatory and neuropathic pain conditions indicating its role in pain pathways.

Pathways

Nav1.8 is involved in both the pain and neuroinflammatory pathways. It influences the activity of other sodium channels such as Nav1.7 another critical mediator of pain sensation. Pain pathways extensively integrate Nav1.8 function especially in the modulation of pain thresholds and states. Neuroinflammatory pathways utilize Nav1.8 to alter neuron excitability under inflammatory conditions which is significant for understanding different pain modalities.

Nav1.8 is associated with chronic pain disorders such as neuropathic pain and inflammatory pain conditions. Variations in Nav1.8 are linked to altered pain sensitivity and are researched as potential therapeutic targets for pain relief. In diseases like diabetic neuropathy Nav1.8 changes correlate with increased neuronal excitability and persistent pain sensation. Its relationship with proteins like Nav1.7 in these contexts highlights its importance in the diagnostic and therapeutic options for pain management.

Product protocols

For this product, it's our understanding that no specific protocols are required. You can visit:

Target data

Tetrodotoxin-resistant channel that mediates the voltage-dependent sodium ion permeability of excitable membranes. Assuming opened or closed conformations in response to the voltage difference across the membrane, the protein forms a sodium-selective channel through which sodium ions may pass in accordance with their electrochemical gradient. Plays a role in neuropathic pain mechanisms.
See full target information SCN10A

Publications (10)

Recent publications for all applications. Explore the full list and refine your search

BMC cardiovascular disorders 24:605 PubMed39472780

2024

Blocking Na1.8 regulates atrial fibrillation inducibility and cardiac conduction after myocardial infarction.

Applications

Unspecified application

Species

Unspecified reactive species

Baozhen Qi,Zhonglei Xie,Dongli Shen,Yu Song,Shaowen Liu,Qibing Wang,Jingmin Zhou,Junbo Ge

eLife 12: PubMed38289829

2024

Spatial transcriptomics and single-nucleus RNA sequencing reveal a transcriptomic atlas of adult human spinal cord.

Applications

Unspecified application

Species

Unspecified reactive species

Donghang Zhang,Yali Chen,Yiyong Wei,Hongjun Chen,Yujie Wu,Lin Wu,Jin Li,Qiyang Ren,Changhong Miao,Tao Zhu,Jin Liu,Bowen Ke,Cheng Zhou

Epileptic disorders : international epilepsy journal with videotape 24:647-656 PubMed35872622

2022

Cu-Zn SOD suppresses epilepsy in pilocarpine-treated rats and alters SCN2A/Nrf2/HO-1 expression

Applications

Unspecified application

Species

Unspecified reactive species

Fang Wen,Zhi-Gang Tan,Jun Xiang

Allergy 76:3422-3432 PubMed33884632

2021

Central, but not peripheral, nervous system ERK2 is essential for itch signals in murine allergic skin inflammation.

Applications

Unspecified application

Species

Unspecified reactive species

Shinsuke Matsuo,Takashi Hashimoto,Fumhiro Matsuura,Osamu Imamura,Shogo Endo,Yasushi Satoh,Takahiro Satoh

Bioengineering (Basel, Switzerland) 7: PubMed32429423

2020

Conserved Expression of Nav1.7 and Nav1.8 Contribute to the Spontaneous and Thermally Evoked Excitability in IL-6 and NGF-Sensitized Adult Dorsal Root Ganglion Neurons In Vitro.

Applications

Unspecified application

Species

Unspecified reactive species

Rahul R Atmaramani,Bryan J Black,June Bryan de la Peña,Zachary T Campbell,Joseph J Pancrazio

Nature communications 10:5643 PubMed31822662

2019

Sensory innervation in porous endplates by Netrin-1 from osteoclasts mediates PGE2-induced spinal hypersensitivity in mice.

Applications

Unspecified application

Species

Unspecified reactive species

Shuangfei Ni,Zemin Ling,Xiao Wang,Yong Cao,Tianding Wu,Ruoxian Deng,Janet L Crane,Richard Skolasky,Shadpour Demehri,Gehua Zhen,Amit Jain,Panfeng Wu,Dayu Pan,Bo Hu,Xiao Lyu,Yusheng Li,Hao Chen,Huabin Qi,Yun Guan,Xinzhong Dong,Mei Wan,Xuenong Zou,Hongbin Lu,Jianzhong Hu,Xu Cao

Neuron 102:801-812.e5 PubMed30926280

2019

Location and Plasticity of the Sodium Spike Initiation Zone in Nociceptive Terminals In Vivo.

Applications

Unspecified application

Species

Unspecified reactive species

Robert H Goldstein,Omer Barkai,Almudena Íñigo-Portugués,Ben Katz,Shaya Lev,Alexander M Binshtok

PloS one 8:e76084 PubMed24086692

2013

The voltage-gated sodium channel nav1.8 is expressed in human sperm.

Applications

ICC/IF, Flow Cyt

Species

Human, Human

Antonio Cejudo-Roman,Francisco M Pinto,Nerea Subirán,Cristina G Ravina,Manuel Fernández-Sánchez,Natalia Pérez-Hernández,Ricardo Pérez,Alberto Pacheco,Jon Irazusta,Luz Candenas

Journal of neurophysiology 110:1535-43 PubMed23843437

2013

Identification of CaV channel types expressed in muscle afferent neurons.

Applications

Unspecified application

Species

Unspecified reactive species

Renuka Ramachandra,Bassil Hassan,Stephanie G McGrew,James Dompor,Mohamed Farrag,Victor Ruiz-Velasco,Keith S Elmslie

Journal of neurophysiology 108:2230-41 PubMed22855776

2012

Tetrodotoxin-resistant voltage-dependent sodium channels in identified muscle afferent neurons.

Applications

IHC

Species

Unspecified reactive species

Renuka Ramachandra,Stephanie Y McGrew,James C Baxter,Esad Kiveric,Keith S Elmslie
View all publications

Product promise

We are committed to supporting your work with high-quality reagents, and we're here for you every step of the way. In the unlikely event that one of our products does not perform as expected, you're protected by our Product Promise.
For full details, please see our Terms & Conditions

Please note: All products are 'FOR RESEARCH USE ONLY. NOT FOR USE IN DIAGNOSTIC OR THERAPEUTIC PROCEDURES'.

For licensing inquiries, please contact partnerships@abcam.com