JavaScript is disabled in your browser. Please enable JavaScript to view this website.
AB313779

Anti-NCAM1 antibody [EPR26939-108]

  • BOND RX™ Validated
  • 20ul selling size
  • RabMAb
  • Recombinant
  • What is this?

Be the first to review this product! Submit a review

|

(3 Publications)

Rabbit Recombinant Monoclonal NCAM1 antibody. Suitable for IHC-P, Flow Cyt, ICC/IF, WB and reacts with Human samples. Cited in 3 publications.

View Alternative Names

CD56, NCAM, NCAM1, Neural cell adhesion molecule 1, N-CAM-1, NCAM-1

12 Images
Immunocytochemistry/ Immunofluorescence - Anti-NCAM1 antibody [EPR26939-108] (AB313779)
  • ICC/IF

Supplier Data

Immunocytochemistry/ Immunofluorescence - Anti-NCAM1 antibody [EPR26939-108] (AB313779)

Immunofluorescent analysis of 4% Paraformaldehyde-fixed, 0.1% TritonX-100 permeabilized Human PBMC (human peripheral blood mononuclear cell) cells labelling Perforin with ab324491 at 1/100 (10.21 ug/ml) dilution, followed by ab150117 Goat Anti-Mouse IgG H&L (Alexa Fluor® 488) preadsorbed antibody at 1/1000 (2 ug/ml) dilution (Green).

Confocal image showing cytoplasmic staining in subsets of human PBMCs (shown in green). The counterstain was observed in magenta. Nuclear DNA was labelled with DAPI (shown in blue). Image was taken with a confocal microscope (Leica-Microsystems, TCS SP8).

ab313779 Anti-NCAM1(CD56) rabbit monoclonal antibody was used to counterstain tubulin at 1/200 (2.5 ug/ml) dilution, followed by ab150088 Goat Anti-Rabbit IgG H&L (Alexa Fluor® 594) preadsorbed at 1/1000 (2 ug/ml) (Magenta).

Immunohistochemistry (Formalin/PFA-fixed paraffin-embedded sections) - Anti-NCAM1 antibody [EPR26939-108] (AB313779)
  • IHC-P

Supplier Data

Immunohistochemistry (Formalin/PFA-fixed paraffin-embedded sections) - Anti-NCAM1 antibody [EPR26939-108] (AB313779)

Immunohistochemical analysis of paraffin-embedded Human appendix tissue labeling NCAM1 with ab313779 at 1/2000 (0.254 ug/ml) followed by a ready to use LeicaDS9800 (Bond™ Polymer Refine Detection). Positive staining on stroma of human appendix (PMID : 27015206).The section was incubated with ab313779 for 30 mins at room temperature.The immunostaining was performed on a Leica Biosystems BOND® RX instrumentIncubate slides with 3% Hydrogen Peroxide for 10 mins at room temperature after secondary antibody incubation to reduce the background Counterstained with Hematoxylin. Secondary antibody only control : Secondary antibody is a ready to use LeicaDS9800 (Bond™ Polymer Refine Detection). Heat mediated antigen retrieval was performed with Tris-EDTA buffer (pH 9.0, Epitope Retrieval Solution2) for 20 mins

Immunohistochemistry (Formalin/PFA-fixed paraffin-embedded sections) - Anti-NCAM1 antibody [EPR26939-108] (AB313779)
  • IHC-P

Supplier Data

Immunohistochemistry (Formalin/PFA-fixed paraffin-embedded sections) - Anti-NCAM1 antibody [EPR26939-108] (AB313779)

Immunohistochemical analysis of paraffin-embedded Human cerebrum tissue labeling NCAM1 with ab313779 at 1/2000 (0.254 ug/ml) followed by a ready to use LeicaDS9800 (Bond™ Polymer Refine Detection). Positive staining on human cerebrum (PMID : 19246644).The section was incubated with ab313779 for 30 mins at room temperature.The immunostaining was performed on a Leica Biosystems BOND® RX instrumentIncubate slides with 3% Hydrogen Peroxide for 10 mins at room temperature after secondary antibody incubation to reduce the background Counterstained with Hematoxylin. Secondary antibody only control : Secondary antibody is a ready to use LeicaDS9800 (Bond™ Polymer Refine Detection). Heat mediated antigen retrieval was performed with Tris-EDTA buffer (pH 9.0, Epitope Retrieval Solution2) for 20 mins

Immunohistochemistry (Formalin/PFA-fixed paraffin-embedded sections) - Anti-NCAM1 antibody [EPR26939-108] (AB313779)
  • IHC-P

Supplier Data

Immunohistochemistry (Formalin/PFA-fixed paraffin-embedded sections) - Anti-NCAM1 antibody [EPR26939-108] (AB313779)

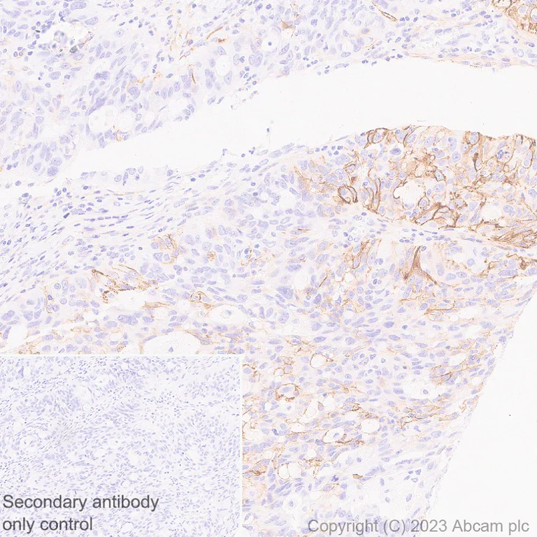
Immunohistochemical analysis of paraffin-embedded Human ovarian carcin tissue labeling NCAM1 with ab313779 at 1/2000 (0.254 ug/ml) followed by a ready to use LeicaDS9800 (Bond™ Polymer Refine Detection). Positive staining on human ovarian carcinoma.The section was incubated with ab313779 for 30 mins at room temperature.The immunostaining was performed on a Leica Biosystems BOND® RX instrumentIncubate slides with 3% Hydrogen Peroxide for 10 mins at room temperature after secondary antibody incubation to reduce the background Counterstained with Hematoxylin. Secondary antibody only control : Secondary antibody is a ready to use LeicaDS9800 (Bond™ Polymer Refine Detection). Heat mediated antigen retrieval was performed with Tris-EDTA buffer (pH 9.0, Epitope Retrieval Solution2) for 20 mins

Immunohistochemistry (Formalin/PFA-fixed paraffin-embedded sections) - Anti-NCAM1 antibody [EPR26939-108] (AB313779)
  • IHC-P

Supplier Data

Immunohistochemistry (Formalin/PFA-fixed paraffin-embedded sections) - Anti-NCAM1 antibody [EPR26939-108] (AB313779)

Immunohistochemical analysis of paraffin-embedded Human astrocytoma tissue labeling NCAM1 with ab313779 at 1/2000 (0.254 ug/ml) followed by a ready to use LeicaDS9800 (Bond™ Polymer Refine Detection). Positive staining on human astrocytoma.The section was incubated with ab313779 for 30 mins at room temperature.The immunostaining was performed on a Leica Biosystems BOND® RX instrumentIncubate slides with 3% Hydrogen Peroxide for 10 mins at room temperature after secondary antibody incubation to reduce the background Counterstained with Hematoxylin. Secondary antibody only control : Secondary antibody is a ready to use LeicaDS9800 (Bond™ Polymer Refine Detection). Heat mediated antigen retrieval was performed with Tris-EDTA buffer (pH 9.0, Epitope Retrieval Solution2) for 20 mins

Immunocytochemistry/ Immunofluorescence - Anti-NCAM1 antibody [EPR26939-108] (AB313779)
  • ICC/IF

Supplier Data

Immunocytochemistry/ Immunofluorescence - Anti-NCAM1 antibody [EPR26939-108] (AB313779)

Immunofluorescent analysis of 4% Paraformaldehyde-fixed, 0.1% Tween-20 permeabilized Human PBMC (human primary peripheral blood mononuclear cell) cells labelling NCAM1 with ab313779 at 1/500 (1.016 ug/ml) dilution, followed by ab150081 Goat Anti-Rabbit IgG H&L (Alexa Fluor® 488) preadsorbed antibody at 1/1000 2 ug/ml dilution (Green). Confocal image showing membranous staining in subsets of human PBMCs, which is not co-localized with CD3.Image was taken with a confocal microscope(Leica-Microsystems, TCS SP8). is observed. Anti-human CD3 mouse monoclonal antibody (Alexa Fluor® 647) was used to counterstain tubulin at 1/200 2.5 dilution (Red). The Nuclear counterstain was DAPI (Blue). Secondary antibody only control : Secondary antibody is ab150081 Goat Anti-Rabbit IgG H&L (Alexa Fluor® 488) preadsorbed at 1/1000 2 ug/ml dilution.

Immunocytochemistry/ Immunofluorescence - Anti-NCAM1 antibody [EPR26939-108] (AB313779)
  • ICC/IF

Supplier Data

Immunocytochemistry/ Immunofluorescence - Anti-NCAM1 antibody [EPR26939-108] (AB313779)

Immunofluorescent analysis of 4% Paraformaldehyde-fixed, 0.1% Tween-20 permeabilized No-GFP-CD16.NK-92 (CD16 ectopically expressed natural killer(NK-92®) cell with no GFP tag) cells labelling NCAM1 with ab313779 at 1/500 (1.016 ug/ml) dilution, followed by ab150081 Goat Anti-Rabbit IgG H&L (Alexa Fluor® 488) preadsorbed antibody at 1/1000 2 ug/ml dilution (Green). Confocal image showing membranous staining in No-GFP-CD16.NK-92 cell line.Negative control : MCF7 (PMID : 30050775).Image was taken with a confocal microscope(Leica-Microsystems, TCS SP8). is observed. ab195889 Anti-alpha Tubulin mouse monoclonal antibody - Microtubule Marker (Alexa Fluor® 594) was used to counterstain tubulin at 1/200 2.5ug/ml dilution (Red). The Nuclear counterstain was DAPI (Blue). Secondary antibody only control : Secondary antibody is ab150081 Goat Anti-Rabbit IgG H&L (Alexa Fluor® 488) preadsorbed at 1/1000 2 ug/ml dilution.

Flow Cytometry - Anti-NCAM1 antibody [EPR26939-108] (AB313779)
  • Flow Cyt

Supplier Data

Flow Cytometry - Anti-NCAM1 antibody [EPR26939-108] (AB313779)

Flow cytometric analysis of Human PBMC (human peripheral blood mononuclear cell) cells labelling NCAM1 with ab313779 at 1/500 dilution (0.1 ug)/Right compared with a Rabbit monoclonal IgG (ab172730) / Left isotype control and an unlabelled control (cells without incubation with primary antibody and secondary antibody) (Blue). Goat Anti-Rabbit IgG (Alexa Fluor® 488, ab150081) at 1/5000 dilution was used as the secondary antibody. Cells are co-stained with CD3 conjugated to Alexa Fluor®647. Gated on viable cells.

Flow Cytometry - Anti-NCAM1 antibody [EPR26939-108] (AB313779)
  • Flow Cyt

Supplier Data

Flow Cytometry - Anti-NCAM1 antibody [EPR26939-108] (AB313779)

Flow cytometric analysis of MCF7 (human breast adenocarcinoma epithelial cell, Left) - / No-GFP-CD16.NK-92 (CD16 ectopically expressed natural killer(NK-92®) cell with no GFP tag) (Right) cells labelling NCAM1 with ab313779 at 1/500 dilution (0.1 ug)/Red compared with a Rabbit monoclonal IgG (ab172730) (Black) isotype control and an unlabelled control (cells without incubation with primary antibody and secondary antibody) (Blue). Goat Anti-Rabbit IgG (Alexa Fluor® 488, ab150081) at 1/5000 dilution was used as the secondary antibody. Negative control : MCF7 (PMID : 30050775). Gated on viable cells.

Immunohistochemistry (Formalin/PFA-fixed paraffin-embedded sections) - Anti-NCAM1 antibody [EPR26939-108] (AB313779)
  • IHC-P

Supplier Data

Immunohistochemistry (Formalin/PFA-fixed paraffin-embedded sections) - Anti-NCAM1 antibody [EPR26939-108] (AB313779)

Immunohistochemical analysis of paraffin-embedded Human liver tissue labeling NCAM1 with ab313779 at 1/2000 (0.254 ug/ml) followed by a ready to use LeicaDS9800 (Bond™ Polymer Refine Detection). Negative control : no staining on human liver.The section was incubated with ab313779 for 30 mins at room temperature.The immunostaining was performed on a Leica Biosystems BOND® RX instrumentIncubate slides with 3% Hydrogen Peroxide for 10 mins at room temperature after secondary antibody incubation to reduce the background Counterstained with Hematoxylin. Secondary antibody only control : Secondary antibody is a ready to use LeicaDS9800 (Bond™ Polymer Refine Detection). Heat mediated antigen retrieval was performed with Tris-EDTA buffer (pH 9.0, Epitope Retrieval Solution2) for 20 mins

Western blot - Anti-NCAM1 antibody [EPR26939-108] (AB313779)
  • WB

Supplier Data

Western blot - Anti-NCAM1 antibody [EPR26939-108] (AB313779)

Blocking and diluting buffer and concentration : 5% NFDM/TBST.

The 120, 140 and 180kDa bands are different isoforms as reported in the literature (PMID : 26288071).

In Western blot, anti-GAPDH antibody (ab181602) loading control staining at 1/200000 dilution.

All lanes:

Western blot - Anti-NCAM1 antibody [EPR26939-108] (ab313779) at 1/1000 dilution

Lane 1:

Human hippocampus tissue lysate at 20 µg

Lane 2:

Human cerebellum tissue lysate at 20 µg

Secondary

All lanes:

Western blot - Goat Anti-Rabbit IgG H&L (HRP) (<a href='/en-us/products/secondary-antibodies/goat-rabbit-igg-h-l-hrp-ab97051'>ab97051</a>) at 1/100000 dilution

Observed band size: 120 kDa,140 kDa,180 kDa

false

Exposure time: 15s

Western blot - Anti-NCAM1 antibody [EPR26939-108] (AB313779)
  • WB

Supplier Data

Western blot - Anti-NCAM1 antibody [EPR26939-108] (AB313779)

Blocking and diluting buffer and concentration : 5% NFDM/TBST.

Negative control : MCF7 (PMID : 18772882).

The 120, 140 and 180kDa bands are different isoforms as reported in the literature (PMID : 26288071)

The identity of the lower MW bands at approximately 75 kDa and 50kDa are unknown.

In Western blot, anti-GAPDH antibody (ab181602) loading control staining at 1/200000 dilution.

Exposure time : Lane 1 : 147 seconds; Lane 2, 3 : 92 seconds.

All lanes:

Western blot - Anti-NCAM1 antibody [EPR26939-108] (ab313779) at 1/1000 dilution

Lane 1:

No-GFP-CD16.NK-92 (CD16 ectopically expressed natural killer(NK-92&reg;) cell with no GFP tag) whole cell lysate at 20 µg

Lane 2:

MCF7 (human breast adenocarcinoma epithelial cell) whole cell lysate at 20 µg

Lane 3:

SH-SY5Y (human neuroblastoma epithelial cell) whole cell lysate at 20 µg

Secondary

All lanes:

Western blot - Goat Anti-Rabbit IgG H&L (HRP) (<a href='/en-us/products/secondary-antibodies/goat-rabbit-igg-h-l-hrp-ab97051'>ab97051</a>) at 1/100000 dilution

Observed band size: 120 kDa,140 kDa,180 kDa

false

  • 519 Alexa Fluor® 488

    Alexa Fluor® 488 Anti-NCAM1 antibody [EPR26939-108]

  • 665 Alexa Fluor® 647

    Alexa Fluor® 647 Anti-NCAM1 antibody [EPR26939-108]

  • 617 Alexa Fluor® 594

    Alexa Fluor® 594 Anti-NCAM1 antibody [EPR26939-108]

  • 578 PE

    PE Anti-NCAM1 antibody [EPR26939-108]

  • Carrier free

    Anti-NCAM1 antibody [EPR26939-108] - BSA and Azide free

Key facts

Host species

Rabbit

Clonality

Monoclonal

Clone number

EPR26939-108

Isotype

IgG

Carrier free

No

Reacts with

Human

Applications

Flow Cyt, WB, IHC-P, ICC/IF

applications

Immunogen

The exact immunogen used to generate this antibody is proprietary information.

Reactivity data

{ "title": "Reactivity Data", "filters": { "stats": ["", "Species", "Dilution Info", "Notes"], "tabs": { "all-applications": {"fullname" : "All Applications", "shortname": "All Applications"}, "IHCP" : {"fullname" : "Immunohistochemistry (Formalin/PFA-fixed paraffin-embedded sections)", "shortname":"IHC-P"}, "FlowCyt" : {"fullname" : "Flow Cytometry", "shortname":"Flow Cyt"}, "ICCIF" : {"fullname" : "Immunocytochemistry/ Immunofluorescence", "shortname":"ICC/IF"}, "WB" : {"fullname" : "Western blot", "shortname":"WB"}, "IP" : {"fullname" : "Immunoprecipitation", "shortname":"IP"} }, "product-promise": { "all": "all", "testedAndGuaranteed": "tested", "guaranteed": "expected", "predicted": "predicted", "notRecommended": "not-recommended" } }, "values": { "Human": { "IHCP-species-checked": "testedAndGuaranteed", "IHCP-species-dilution-info": "1/2000", "IHCP-species-notes": "<p></p> Perform heat-mediated antigen retrieval with Tris/EDTA buffer pH 9.0 before commencing with IHC staining protocol.", "FlowCyt-species-checked": "testedAndGuaranteed", "FlowCyt-species-dilution-info": "1/500", "FlowCyt-species-notes": "<p></p>", "ICCIF-species-checked": "testedAndGuaranteed", "ICCIF-species-dilution-info": "1/500", "ICCIF-species-notes": "<p></p>", "WB-species-checked": "testedAndGuaranteed", "WB-species-dilution-info": "1/1000", "WB-species-notes": "<p></p>", "IP-species-checked": "notRecommended", "IP-species-dilution-info": "", "IP-species-notes": "<p></p>" }, "Mouse": { "IHCP-species-checked": "notRecommended", "IHCP-species-dilution-info": "", "IHCP-species-notes": "<p></p>", "FlowCyt-species-checked": "notRecommended", "FlowCyt-species-dilution-info": "", "FlowCyt-species-notes": "", "ICCIF-species-checked": "notRecommended", "ICCIF-species-dilution-info": "", "ICCIF-species-notes": "", "WB-species-checked": "notRecommended", "WB-species-dilution-info": "", "WB-species-notes": "<p></p>", "IP-species-checked": "notRecommended", "IP-species-dilution-info": "", "IP-species-notes": "" }, "Rat": { "IHCP-species-checked": "notRecommended", "IHCP-species-dilution-info": "", "IHCP-species-notes": "<p></p>", "FlowCyt-species-checked": "notRecommended", "FlowCyt-species-dilution-info": "", "FlowCyt-species-notes": "", "ICCIF-species-checked": "notRecommended", "ICCIF-species-dilution-info": "", "ICCIF-species-notes": "", "WB-species-checked": "notRecommended", "WB-species-dilution-info": "", "WB-species-notes": "<p></p>", "IP-species-checked": "notRecommended", "IP-species-dilution-info": "", "IP-species-notes": "" } } }

Product details

Patented technology
Our RabMAb® technology is a patented hybridoma-based technology for making rabbit monoclonal antibodies. For details on our patents, please refer to RabMAb® patents.

What are the advantages of a recombinant monoclonal antibody?
This product is a recombinant monoclonal antibody, which offers several advantages including:

  • - High batch-to-batch consistency and reproducibility
  • - Improved sensitivity and specificity
  • - Long-term security of supply
  • - Animal-free batch production

For more information, read more on recombinant antibodies.

Properties and storage information

Form
Liquid
Purification technique
Affinity purification Protein A
Storage buffer
pH: 7.2 - 7.4 Preservative: 0.01% Sodium azide Constituents: PBS, 40% Glycerol (glycerin, glycerine), 0.05% BSA
Shipped at conditions
Blue Ice
Appropriate short-term storage duration
1-2 weeks
Appropriate short-term storage conditions
+4°C
Appropriate long-term storage conditions
-20°C
Aliquoting information
Upon delivery aliquot
Storage information
Avoid freeze / thaw cycle

Supplementary information

This supplementary information is collated from multiple sources and compiled automatically.

NCAM1 also known as Neural Cell Adhesion Molecule 1 or CD56 is an important cell surface glycoprotein that plays a role in cell-cell adhesion. It has a molecular mass of approximately 120-140 kDa. NCAM1 is widely expressed in various tissues including the nervous system skeletal muscle and certain hematopoietic cells. In flow cytometry and immunohistochemistry NCAM1's expression is extensively studied to track and analyze cell populations using techniques like NCAM1 ELISA for quantification.
Biological function summary

NCAM1 influences neuronal growth survival and synaptic plasticity. This protein is part of the immunoglobulin superfamily and contributes to dynamic interactions during development. NCAM1 exists on cell membranes assisting in the formation and maintenance of tissue structures. In particular cell adhesion molecule CAL53 interacts with NCAM1 highlighting its involvement in synaptic connections. Additionally NCAM1 impacts cellular migration and differentiation particularly in myogenic processes involving MY31's pathway.

Pathways

The NCAM1 protein participates in the MAPK signaling pathway and the PI3K/AKT pathway both essential in cellular growth and survival. NCAM1 acts alongside ERIC1 aiding in the transduction of signals that regulate cytoskeletal rearrangement. These pathways influence cellular communication and responses to external stimuli further enhancing tissue development and regeneration mechanisms.

NCAM1 is associated with neurodegenerative conditions like Alzheimer's disease and certain types of cancer including neuroblastoma. Changes in NCAM1 expression or function can disrupt normal cell adhesion and signaling leading to pathological states. The protein's interaction with cell surface markers such as CD56 mouse marker helps in the diagnosis and therapy of these disorders providing potential therapeutic targets or biomarkers for clinical applications.

Product protocols

For this product, it's our understanding that no specific protocols are required. You can visit:

Target data

This protein is a cell adhesion molecule involved in neuron-neuron adhesion, neurite fasciculation, outgrowth of neurites, etc.. (Microbial infection) Acts as a receptor for rabies virus.. (Microbial infection) Acts as a receptor for Zika virus.
See full target information NCAM1

Publications (3)

Recent publications for all applications. Explore the full list and refine your search

Molecular biomedicine 5:48 PubMed39482550

2024

Decorin-armed oncolytic adenovirus promotes natural killers (NKs) activation and infiltration to enhance NK therapy in CRC model.

Applications

Unspecified application

Species

Unspecified reactive species

Xue Li,Yuning Zhang,Zhuang Mao,Huiqiang Zhao,Hu Cao,Jingyi Wang,Wei Liu,Shiyun Dai,Yuefeng Yang,Yuanyuan Huang,Hua Wang

Oncology letters 28:468 PubMed39119236

2024

Myeloid/lymphoid neoplasms with eosinophilia and FGFR1 rearrangement t(8;13)(p11;q12): A case report and literature review.

Applications

Unspecified application

Species

Unspecified reactive species

Yu-Jie Guo,Meng-Xue Ma,Tian Tian,Jing-Nan Zhang,Xiao-Nan Guo,Shukai Qiao

Stem cell research 77:103424 PubMed38677032

2024

Generation and characterization of six human induced pluripotent stem cell lines (hiPSCs) from three individuals with SSADH Deficiency and CRISPR-corrected isogenic controls.

Applications

Unspecified application

Species

Unspecified reactive species

Wardiya Afshar-Saber,Cidi Chen,Nicole A Teaney,Kristina Kim,Ziqin Yang,Federico M Gasparoli,Darius Ebrahimi-Fakhari,Elizabeth D Buttermore,Ivy Pin-Fang Chen,Phillip L Pearl,Mustafa Sahin
View all publications

Product promise

We are committed to supporting your work with high-quality reagents, and we're here for you every step of the way. In the unlikely event that one of our products does not perform as expected, you're protected by our Product Promise.
For full details, please see our Terms & Conditions

Please note: All products are 'FOR RESEARCH USE ONLY. NOT FOR USE IN DIAGNOSTIC OR THERAPEUTIC PROCEDURES'.

For licensing inquiries, please contact partnerships@abcam.com