JavaScript is disabled in your browser. Please enable JavaScript to view this website.
AB249758

Anti-NCAM2 antibody [EPR12815(B)] - BSA and Azide free

Be the first to review this product! Submit a review

|

(1 Publication)

Rabbit Recombinant Monoclonal NCAM2 antibody. Carrier free. Suitable for IHC-P, IP, WB, ICC/IF and reacts with Human samples. Cited in 1 publication.

View Alternative Names

NCAM21, NCAM2, Neural cell adhesion molecule 2, N-CAM-2, NCAM-2

4 Images
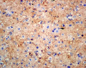
Immunohistochemistry (Formalin/PFA-fixed paraffin-embedded sections) - Anti-NCAM2 antibody [EPR12815(B)] - BSA and Azide free (AB249758)
  • IHC-P

Supplier Data

Immunohistochemistry (Formalin/PFA-fixed paraffin-embedded sections) - Anti-NCAM2 antibody [EPR12815(B)] - BSA and Azide free (AB249758)

This data was developed using ab173297, the same antibody clone in a different buffer formulation.

Immunohistochemical analysis of paraffin-embedded Human glioma tissue labeling NCAM2 with ab173297 at 1/50 dilution.

Perform heat mediated antigen retrieval with citrate buffer pH 6 before commencing with IHC staining protocol.

Immunocytochemistry/ Immunofluorescence - Anti-NCAM2 antibody [EPR12815(B)] - BSA and Azide free (AB249758)
  • ICC/IF

Lab

Immunocytochemistry/ Immunofluorescence - Anti-NCAM2 antibody [EPR12815(B)] - BSA and Azide free (AB249758)

This data was developed using ab173297, the same antibody clone in a different buffer formulation.

Immunofluorescent analysis of 4% Paraformaldehyde-fixed, 0.1% TritonX-100 permeabilized LNCaP (human prostate carcinoma epithelial cell) cells labelling NCAM2 with ab173297 at 1/200 dilution, followed by a Goat Anti-Rabbit IgG H&L (Alexa Fluor® 488) preadsorbed (ab150081) secondary antibody at 1/1000 dilution.

Confocal image showing membrane staining in LNCaP cell line (shown in green). The counterstain was observed in magenta. Nuclear DNA was labelled with DAPI (shown in blue). Image was taken with a confocal microscope (Leica-Microsystems, TCS SP8).

Negative control : DU 145 (PMID : 26611261).

ab195889 Anti-alpha Tubulin mouse monoclonal antibody - Microtubule Marker (Alexa Fluor® 594) was used to counterstain tubulin at 1/200 dilution (Magenta).

Immunoprecipitation - Anti-NCAM2 antibody [EPR12815(B)] - BSA and Azide free (AB249758)
  • IP

Supplier Data

Immunoprecipitation - Anti-NCAM2 antibody [EPR12815(B)] - BSA and Azide free (AB249758)

This data was developed using ab173297, the same antibody clone in a different buffer formulation.

Western blot analysis on immunoprecipitation pellet from fetal brain lysate using ab173297.

All lanes:

Immunoprecipitation - Anti-NCAM2 antibody [EPR12815(B)] (<a href='/en-us/products/primary-antibodies/ncam2-antibody-epr12815b-ab173297'>ab173297</a>)

Predicted band size: 93 kDa

false

Western blot - Anti-NCAM2 antibody [EPR12815(B)] - BSA and Azide free (AB249758)
  • WB

Supplier Data

Western blot - Anti-NCAM2 antibody [EPR12815(B)] - BSA and Azide free (AB249758)

This data was developed using ab173297, the same antibody clone in a different buffer formulation.

All lanes:

Western blot - Anti-NCAM2 antibody [EPR12815(B)] (<a href='/en-us/products/primary-antibodies/ncam2-antibody-epr12815b-ab173297'>ab173297</a>) at 1/1000 dilution

Lane 1:

MCF7 lysate at 10 µg

Lane 2:

Human fetal brain lysate at 10 µg

Predicted band size: 93 kDa

false

Key facts

Host species

Rabbit

Clonality

Monoclonal

Clone number

EPR12815(B)

Isotype

IgG

Carrier free

Yes

Reacts with

Human

Applications

ICC/IF, IP, WB, IHC-P

applications

Immunogen

The exact immunogen used to generate this antibody is proprietary information.

Reactivity data

{ "title": "Reactivity Data", "filters": { "stats": ["", "Species", "Dilution Info", "Notes"], "tabs": { "all-applications": {"fullname" : "All Applications", "shortname": "All Applications"}, "IHCP" : {"fullname" : "Immunohistochemistry (Formalin/PFA-fixed paraffin-embedded sections)", "shortname":"IHC-P"}, "IP" : {"fullname" : "Immunoprecipitation", "shortname":"IP"}, "FlowCyt" : {"fullname" : "Flow Cytometry", "shortname":"Flow Cyt"}, "WB" : {"fullname" : "Western blot", "shortname":"WB"}, "ICCIF" : {"fullname" : "Immunocytochemistry/ Immunofluorescence", "shortname":"ICC/IF"} }, "product-promise": { "all": "all", "testedAndGuaranteed": "tested", "guaranteed": "expected", "predicted": "predicted", "notRecommended": "not-recommended" } }, "values": { "Human": { "IHCP-species-checked": "testedAndGuaranteed", "IHCP-species-dilution-info": "", "IHCP-species-notes": "<p></p>", "IP-species-checked": "testedAndGuaranteed", "IP-species-dilution-info": "", "IP-species-notes": "<p></p>", "FlowCyt-species-checked": "notRecommended", "FlowCyt-species-dilution-info": "", "FlowCyt-species-notes": "<p></p>", "WB-species-checked": "testedAndGuaranteed", "WB-species-dilution-info": "", "WB-species-notes": "<p></p>", "ICCIF-species-checked": "testedAndGuaranteed", "ICCIF-species-dilution-info": "", "ICCIF-species-notes": "<p></p>" }, "Mouse": { "IHCP-species-checked": "notRecommended", "IHCP-species-dilution-info": "", "IHCP-species-notes": "<p></p>", "IP-species-checked": "notRecommended", "IP-species-dilution-info": "", "IP-species-notes": "", "FlowCyt-species-checked": "notRecommended", "FlowCyt-species-dilution-info": "", "FlowCyt-species-notes": "", "WB-species-checked": "notRecommended", "WB-species-dilution-info": "", "WB-species-notes": "<p></p>", "ICCIF-species-checked": "notRecommended", "ICCIF-species-dilution-info": "", "ICCIF-species-notes": "<p></p>" } } }

Product details

ab249758 is the carrier-free version of ab173297.

Species reactivity
Mouse, Rat: We have preliminary internal testing data to indicate this antibody may not react with these species.
Please contact us for more information.

Patented technology
Our RabMAb® technology is a patented hybridoma-based technology for making rabbit monoclonal antibodies. For details on our patents, please refer to RabMAb® patents.

What are the advantages of a recombinant monoclonal antibody?
This product is a recombinant monoclonal antibody, which offers several advantages including:

  • - High batch-to-batch consistency and reproducibility
  • - Improved sensitivity and specificity
  • - Long-term security of supply
  • - Animal-free batch production

For more information, read more on recombinant antibodies.

Conjugation ready
Our carrier-free antibodies are typically supplied in a PBS-only formulation, purified and free of BSA, sodium azide and glycerol. This conjugation-ready format is designed for use with fluorochromes, metal isotopes, oligonucleotides, and enzymes, which makes them ideal for antibody labelling, functional and cell-based assays, flow-based assays (e.g. mass cytometry) and Multiplex Imaging applications.

Use our conjugation kits for antibody conjugates that are ready-to-use in as little as 20 minutes with 1 minute hands-on-time and 100% antibody recovery: available for fluorescent dyes, HRP, biotin and gold.

Compatibility
This product is compatible with the Maxpar® Antibody Labeling Kit from Fluidigm, without the need for antibody preparation. Maxpar® is a trademark of Fluidigm Canada Inc.

Properties and storage information

Form
Liquid
Purification technique
Affinity purification Protein A
Storage buffer
pH: 7.2 - 7.4 Constituents: PBS
Shipped at conditions
Blue Ice
Appropriate short-term storage conditions
+4°C
Appropriate long-term storage conditions
+4°C
Storage information
Do Not Freeze

Supplementary information

This supplementary information is collated from multiple sources and compiled automatically.

NCAM2 also called Neural Cell Adhesion Molecule 2 is a protein that facilitates cell–cell adhesion mainly in the nervous system. It belongs to the immunoglobulin superfamily and has a mass of approximately 100 kDa. This protein is present in several tissues with high expression in the brain particularly within the hippocampus and olfactory bulb. It plays an important role in the organization of synapses and neural circuit formation.
Biological function summary

NCAM2 functions as a cell adhesion molecule important for neurite outgrowth and synaptic plasticity. It does not operate alone; instead it participates in complexes with other neural cell adhesion molecules contributing to the assembly and stabilization of synaptic junctions. The protein assists neurons in maintaining their connections and supports brain development and neuroplastic changes.

Pathways

NCAM2 gets involved in both the MAPK and the PI3K-Akt signaling pathways which are essential for cell survival and growth. In these pathways NCAM2 interacts with proteins like FGF receptors and integrins facilitating the activation of downstream signaling cascades. The regulation of these pathways directly influences neuronal growth and differentiation highlighting its importance in the nervous system.

Disruptions in NCAM2 function affect conditions such as autism spectrum disorder and Alzheimer's disease. Its role in synaptic connectivity links it to cognitive and developmental disorders. In Alzheimer's disease NCAM2 connections to amyloid precursor protein processing suggest its involvement in plaque formation. Changes in NCAM2 expression and its interaction with beta-amyloid pathogenesis could contribute to synaptic dysfunction in neurodegenerative diseases.

Product protocols

For this product, it's our understanding that no specific protocols are required. You can visit:

Target data

May play important roles in selective fasciculation and zone-to-zone projection of the primary olfactory axons.
See full target information NCAM2

Publications (1)

Recent publications for all applications. Explore the full list and refine your search

Oxidative medicine and cellular longevity 2021:8379962 PubMed34630853

2021

circ_0023461 Silencing Protects Cardiomyocytes from Hypoxia-Induced Dysfunction through Targeting miR-370-3p/PDE4D Signaling.

Applications

Unspecified application

Species

Unspecified reactive species

Kai Ren,Buying Li,Liqing Jiang,Zhiheng Liu,Fan Wu,Yi Zhang,Jincheng Liu,Weixun Duan
View all publications

Product promise

We are committed to supporting your work with high-quality reagents, and we're here for you every step of the way. In the unlikely event that one of our products does not perform as expected, you're protected by our Product Promise.
For full details, please see our Terms & Conditions

Please note: All products are 'FOR RESEARCH USE ONLY. NOT FOR USE IN DIAGNOSTIC OR THERAPEUTIC PROCEDURES'.

For licensing inquiries, please contact partnerships@abcam.com