JavaScript is disabled in your browser. Please enable JavaScript to view this website.
AB91556

Anti-NCBP2 antibody

Be the first to review this product! Submit a review

|

(4 Publications)

Rabbit Polyclonal NCBP2 antibody. Suitable for IHC-P, IP and reacts with Human samples. Cited in 4 publications.

View Alternative Names

CBP20, PIG55, NCBP2, Nuclear cap-binding protein subunit 2, 20 kDa nuclear cap-binding protein, Cell proliferation-inducing gene 55 protein, NCBP 20 kDa subunit, NCBP-interacting protein 1, NIP1

2 Images
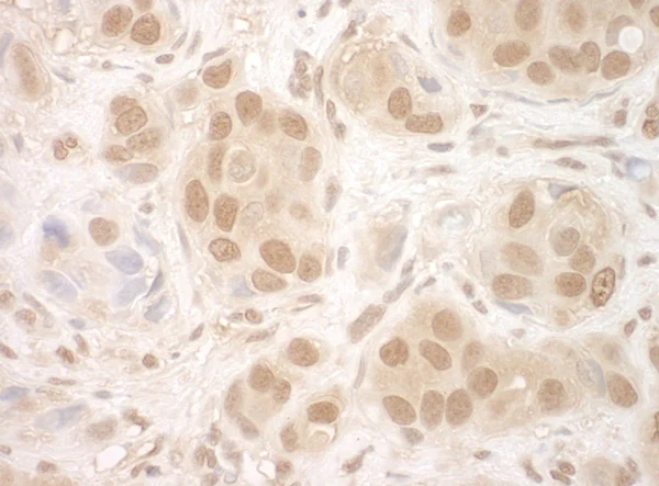
Immunohistochemistry (Formalin/PFA-fixed paraffin-embedded sections) - Anti-NCBP2 antibody (AB91556)
  • IHC-P

Unknown

Immunohistochemistry (Formalin/PFA-fixed paraffin-embedded sections) - Anti-NCBP2 antibody (AB91556)

Immunohistochemistry (Formalin/PFA-fixed paraffin-embedded sections) analysis of human breast carcinoma tissue labelling NCBP2 with ab91556 at 1/5000 (0.2µg/ml). Detection : DAB.

Immunoprecipitation - Anti-NCBP2 antibody (AB91556)
  • IP

Supplier Data

Immunoprecipitation - Anti-NCBP2 antibody (AB91556)

Lanes 1 - 2:

Immunoprecipitation - Anti-NCBP2 antibody (ab91556) at 1 µg/mL

Lane 3:

Control IgG

All lanes:

Hela whole cell lysate

Predicted band size: 18 kDa

false

Exposure time: 30s

Key facts

Host species

Rabbit

Clonality

Polyclonal

Isotype

IgG

Carrier free

No

Reacts with

Human

Applications

IHC-P, IP

applications

Immunogen

The exact immunogen used to generate this antibody is proprietary information.

Reactivity data

{ "title": "Reactivity Data", "filters": { "stats": ["", "Species", "Dilution Info", "Notes"], "tabs": { "all-applications": {"fullname" : "All Applications", "shortname": "All Applications"}, "IHCP" : {"fullname" : "Immunohistochemistry (Formalin/PFA-fixed paraffin-embedded sections)", "shortname":"IHC-P"}, "IP" : {"fullname" : "Immunoprecipitation", "shortname":"IP"} }, "product-promise": { "all": "all", "testedAndGuaranteed": "tested", "guaranteed": "expected", "predicted": "predicted", "notRecommended": "not-recommended" } }, "values": { "Human": { "IHCP-species-checked": "testedAndGuaranteed", "IHCP-species-dilution-info": "1/2000 - 1/10000", "IHCP-species-notes": "<p></p> Perform heat-mediated antigen retrieval with citrate buffer pH 6 before commencing with IHC staining protocol.", "IP-species-checked": "testedAndGuaranteed", "IP-species-dilution-info": "5-15 µg/mg of lysate", "IP-species-notes": "<p></p>" }, "Mouse": { "IHCP-species-checked": "predicted", "IHCP-species-dilution-info": "", "IHCP-species-notes": "", "IP-species-checked": "predicted", "IP-species-dilution-info": "", "IP-species-notes": "" }, "Rat": { "IHCP-species-checked": "predicted", "IHCP-species-dilution-info": "", "IHCP-species-notes": "", "IP-species-checked": "predicted", "IP-species-dilution-info": "", "IP-species-notes": "" }, "Cow": { "IHCP-species-checked": "predicted", "IHCP-species-dilution-info": "", "IHCP-species-notes": "", "IP-species-checked": "predicted", "IP-species-dilution-info": "", "IP-species-notes": "" } } }

Properties and storage information

Form
Liquid
Purification technique
Affinity purification Immunogen
Storage buffer
pH: 7 - 8 Preservative: 0.09% Sodium azide Constituents: Tris citrate/phosphate
Shipped at conditions
Blue Ice
Appropriate short-term storage conditions
+4°C
Appropriate long-term storage conditions
-20°C
Aliquoting information
Upon delivery aliquot
Storage information
Avoid freeze / thaw cycle

Supplementary information

This supplementary information is collated from multiple sources and compiled automatically.

NCBP2 also known as Nuclear Cap-Binding Protein Subunit 2 is an essential component of the mRNA cap-binding complex. This protein weighs approximately 97 kDa and is expressed widely in various tissues. NCBP2 plays a mechanical role in binding the cap structure of nascent RNA. It stabilizes the capped RNA which is important for mRNA regulation. By helping to mediate initial mRNA processing NCBP2 assists in ensuring proper RNA splicing and stability.
Biological function summary

The cap-binding function of NCBP2 influences gene expression by facilitating mRNA export and translation. NCBP2 is a part of the nuclear cap-binding complex or CBC which forms a heterodimer with NCBP1. This complex interacts with numerous other proteins to impact mRNA lifecycle processes. Its role in connecting splicing factors highlights its contribution to RNA metabolism and cellular proliferation.

Pathways

The interaction of NCBP2 significantly impacts the mRNA surveillance and nonsense-mediated decay pathways. These pathways ensure that defective mRNAs do not accumulate inside cells. Here NCBP2 interacts closely with other associated proteins like UPF1 which aids in identifying mRNAs targets for degradation. The protein also links with proteins SR proteins coordinating efficient splicing and proper mRNA processing.

Several studies link NCBP2 disruptions to certain inflammatory and neurodegenerative disorders. Changes in its expression or mutations may influence neurologic diseases like familial dysautonomia a condition involving the nervous system. In this context NCBP2 interacts with IKAP a protein important in neuronal survival. Understanding these associations may help in developing therapeutic strategies that target NCBP2's roles within cellular processes.

Product protocols

For this product, it's our understanding that no specific protocols are required. You can visit:

Target data

Component of the cap-binding complex (CBC), which binds co-transcriptionally to the 5' cap of pre-mRNAs and is involved in various processes such as pre-mRNA splicing, translation regulation, nonsense-mediated mRNA decay, RNA-mediated gene silencing (RNAi) by microRNAs (miRNAs) and mRNA export. The CBC complex is involved in mRNA export from the nucleus via its interaction with ALYREF/THOC4/ALY, leading to the recruitment of the mRNA export machinery to the 5' end of mRNA and to mRNA export in a 5' to 3' direction through the nuclear pore. The CBC complex is also involved in mediating U snRNA and intronless mRNAs export from the nucleus. The CBC complex is essential for a pioneer round of mRNA translation, before steady state translation when the CBC complex is replaced by cytoplasmic cap-binding protein eIF4E. The pioneer round of mRNA translation mediated by the CBC complex plays a central role in nonsense-mediated mRNA decay (NMD), NMD only taking place in mRNAs bound to the CBC complex, but not on eIF4E-bound mRNAs. The CBC complex enhances NMD in mRNAs containing at least one exon-junction complex (EJC) via its interaction with UPF1, promoting the interaction between UPF1 and UPF2. The CBC complex is also involved in 'failsafe' NMD, which is independent of the EJC complex, while it does not participate in Staufen-mediated mRNA decay (SMD). During cell proliferation, the CBC complex is also involved in microRNAs (miRNAs) biogenesis via its interaction with SRRT/ARS2, thereby being required for miRNA-mediated RNA interference. The CBC complex also acts as a negative regulator of PARN, thereby acting as an inhibitor of mRNA deadenylation. In the CBC complex, NCBP2/CBP20 recognizes and binds capped RNAs (m7GpppG-capped RNA) but requires NCBP1/CBP80 to stabilize the movement of its N-terminal loop and lock the CBC into a high affinity cap-binding state with the cap structure. The conventional cap-binding complex with NCBP2 binds both small nuclear RNA (snRNA) and messenger (mRNA) and is involved in their export from the nucleus (PubMed : 26382858).
See full target information NCBP2

Publications (4)

Recent publications for all applications. Explore the full list and refine your search

Journal of gastrointestinal oncology 13:1782-1792 PubMed36092349

2022

Diagnostic and prognostic potential of the novel biomarker nuclear cap binding protein subunit 2 () in colon adenocarcinoma.

Applications

Unspecified application

Species

Unspecified reactive species

He Bu,Ting Cao,Xuesong Li,Yuekun Guo,Jiajia Guo,Yuxin Wang,Yunlong Sun,Donghong Wang

Journal of cellular and molecular medicine 25:8920-8928 PubMed34382339

2021

The effects of NCBP3 on METTL3-mediated m6A RNA methylation to enhance translation process in hypoxic cardiomyocytes.

Applications

Unspecified application

Species

Unspecified reactive species

Fei Ye,Xiaoyan Wang,San Tu,Lixiong Zeng,Xu Deng,Wenzhi Luo,Zhihui Zhang

Molecular therapy. Nucleic acids 22:1016-1024 PubMed33294289

2020

Translatome and Transcriptome Profiling of Hypoxic-Induced Rat Cardiomyocytes.

Applications

Unspecified application

Species

Unspecified reactive species

Zhijie Shen,Lixiong Zeng,Zhihui Zhang

Experimental and therapeutic medicine 16:384-393 PubMed29977365

2018

Knockdown of RWD domain containing 3 inhibits the malignant phenotypes of glioblastoma cells via inhibition of phosphoinositide 3-kinase/protein kinase B signaling.

Applications

Unspecified application

Species

Unspecified reactive species

Xiaofeng Chen,Weiping Kuang,Hongxing Huang,Bo Li,Yong Zhu,Bin Zhou,Lin Yan
View all publications

Product promise

We are committed to supporting your work with high-quality reagents, and we're here for you every step of the way. In the unlikely event that one of our products does not perform as expected, you're protected by our Product Promise.
For full details, please see our Terms & Conditions

Please note: All products are 'FOR RESEARCH USE ONLY. NOT FOR USE IN DIAGNOSTIC OR THERAPEUTIC PROCEDURES'.

For licensing inquiries, please contact partnerships@abcam.com