JavaScript is disabled in your browser. Please enable JavaScript to view this website.
AB240291

Anti-NCE2/UBE2F antibody [EPR12932] - BSA and Azide free

Be the first to review this product! Submit a review

|

(1 Publication)

Rabbit Recombinant Monoclonal NCE2/UBE2F antibody. Carrier free. Suitable for WB, ICC/IF, Flow Cyt (Intra), IHC-P and reacts with Human samples. Cited in 1 publication.

View Alternative Names

NCE2, UBE2F, NEDD8-conjugating enzyme UBE2F, NEDD8 carrier protein UBE2F, NEDD8 protein ligase UBE2F, NEDD8-conjugating enzyme 2, RING-type E3 NEDD8 transferase UBE2F, Ubiquitin-conjugating enzyme E2 F

5 Images
Immunocytochemistry/ Immunofluorescence - Anti-NCE2/UBE2F antibody [EPR12932] - BSA and Azide free (AB240291)
  • ICC/IF

Supplier Data

Immunocytochemistry/ Immunofluorescence - Anti-NCE2/UBE2F antibody [EPR12932] - BSA and Azide free (AB240291)

Immunofluorescent analysis of A375 cells (4% paraformaldehyde-fixed) labeling NCE2/UBE2F with ab185234 at 1/250 dilution followed by Goat anti rabbit IgG (AlexaFluor® 555) secondary at 1/200 dilution and counter-stained with DAPI (blue).

This data was developed using the same antibody clone in a different buffer formulation containing PBS, BSA, glycerol, and sodium azide (ab185234).

Immunohistochemistry (Formalin/PFA-fixed paraffin-embedded sections) - Anti-NCE2/UBE2F antibody [EPR12932] - BSA and Azide free (AB240291)
  • IHC-P

Supplier Data

Immunohistochemistry (Formalin/PFA-fixed paraffin-embedded sections) - Anti-NCE2/UBE2F antibody [EPR12932] - BSA and Azide free (AB240291)

Immunohistochemical analysis of paraffin-embedded Human renal carcinoma labeling NCE2/UBE2F with ab185234 at 1/100 dilution followed by pre-diluted HRP-conjugated secondary antibody and counter-stained with Hematoxylin.

This data was developed using the same antibody clone in a different buffer formulation containing PBS, BSA, glycerol, and sodium azide (ab185234).

Perform heat mediated antigen retrieval with EDTA buffer pH 9 before commencing with IHC staining protocol.

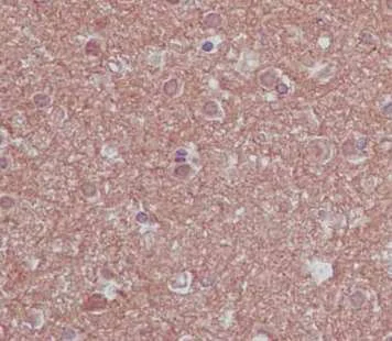
Immunohistochemistry (Formalin/PFA-fixed paraffin-embedded sections) - Anti-NCE2/UBE2F antibody [EPR12932] - BSA and Azide free (AB240291)
  • IHC-P

Supplier Data

Immunohistochemistry (Formalin/PFA-fixed paraffin-embedded sections) - Anti-NCE2/UBE2F antibody [EPR12932] - BSA and Azide free (AB240291)

Immunohistochemical analysis of paraffin-embedded Human brain labeling NCE2/UBE2F with ab185234 at 1/100 dilution followed by pre-diluted HRP-conjugated secondary antibody and counter-stained with Hematoxylin.

This data was developed using the same antibody clone in a different buffer formulation containing PBS, BSA, glycerol, and sodium azide (ab185234).

Perform heat mediated antigen retrieval with EDTA buffer pH 9 before commencing with IHC staining protocol.

Flow Cytometry (Intracellular) - Anti-NCE2/UBE2F antibody [EPR12932] - BSA and Azide free (AB240291)
  • Flow Cyt (Intra)

Supplier Data

Flow Cytometry (Intracellular) - Anti-NCE2/UBE2F antibody [EPR12932] - BSA and Azide free (AB240291)

Intracellular flow cytometric analysis of A375 cells (2% paraformaldehyde-fixed) labeling NCE2/UBE2F with ab185234at 1/160 dilution (red) or a rabbit IgG (negative) (green), followed by Goat anti rabbit IgG (FITC) secondary at 1/150 dilution.

This data was developed using the same antibody clone in a different buffer formulation containing PBS, BSA, glycerol, and sodium azide (ab185234).

Western blot - Anti-NCE2/UBE2F antibody [EPR12932] - BSA and Azide free (AB240291)
  • WB

Lab

Western blot - Anti-NCE2/UBE2F antibody [EPR12932] - BSA and Azide free (AB240291)

This data was developed using the same antibody clone in a different buffer formulation (ab185234).

Lanes 1-3 : Merged signal (red and green). Green - ab185234 observed at 24 kDa. Red - loading control ab8245 observed at 36 kDa.

ab185234 Anti-NCE2/UBE2F antibody [EPR12932] was shown to specifically react with NCE2/UBE2F in wild-type HeLa cells. Loss of signal was observed when knockout cell line ab265339 (knockout cell lysate ab257777) was used. Wild-type and NCE2/UBE2F knockout samples were subjected to SDS-PAGE. ab185234 and Anti-GAPDH antibody [6C5] - Loading Control (ab8245) were incubated overnight at 4°C at 1 in 1000 dilution and 1 in 20000 dilution respectively. Blots were developed with Goat anti-Rabbit IgG H&L (IRDye® 800CW) preadsorbed (ab216773) and Goat anti-Mouse IgG H&L (IRDye® 680RD) preadsorbed (ab216776) secondary antibodies at 1 in 20000 dilution for 1 hour at room temperature before imaging.

All lanes:

Western blot - Anti-NCE2/UBE2F antibody [EPR12932] (<a href='/en-us/products/primary-antibodies/nce2-ube2f-antibody-epr12932-ab185234'>ab185234</a>) at 1/1000 dilution

Lane 1:

Wild-type HeLa cell lysate at 20 µg

Lane 2:

UBE2F knockout HeLa cell lysate at 20 µg

Lane 2:

Western blot - Human UBE2F (NCE2) knockout HeLa cell line (<a href='/en-us/products/cell-lines/human-ube2f-nce2-knockout-hela-cell-line-ab265339'>ab265339</a>)

Lane 3:

Jurkat cell lysate at 20 µg

Secondary

All lanes:

Western blot - Goat anti-Rabbit IgG H&L (IRDye® 800CW) preadsorbed (<a href='/en-us/products/secondary-antibodies/goat-rabbit-igg-h-l-irdye-800cw-preadsorbed-ab216773'>ab216773</a>) at 1/10000 dilution

Predicted band size: 21 kDa

Observed band size: 24 kDa

false

Key facts

Host species

Rabbit

Clonality

Monoclonal

Clone number

EPR12932

Isotype

IgG

Carrier free

Yes

Reacts with

Human

Applications

Flow Cyt (Intra), WB, ICC/IF, IHC-P

applications

Immunogen

The exact immunogen used to generate this antibody is proprietary information.

Reactivity data

{ "title": "Reactivity Data", "filters": { "stats": ["", "Species", "Dilution Info", "Notes"], "tabs": { "all-applications": {"fullname" : "All Applications", "shortname": "All Applications"}, "WB" : {"fullname" : "Western blot", "shortname":"WB"}, "ICCIF" : {"fullname" : "Immunocytochemistry/ Immunofluorescence", "shortname":"ICC/IF"}, "FlowCytIntra" : {"fullname" : "Flow Cytometry (Intracellular)", "shortname":"Flow Cyt (Intra)"}, "IHCP" : {"fullname" : "Immunohistochemistry (Formalin/PFA-fixed paraffin-embedded sections)", "shortname":"IHC-P"} }, "product-promise": { "all": "all", "testedAndGuaranteed": "tested", "guaranteed": "expected", "predicted": "predicted", "notRecommended": "not-recommended" } }, "values": { "Human": { "WB-species-checked": "testedAndGuaranteed", "WB-species-dilution-info": "", "WB-species-notes": "<p></p>", "ICCIF-species-checked": "testedAndGuaranteed", "ICCIF-species-dilution-info": "", "ICCIF-species-notes": "<p></p>", "FlowCytIntra-species-checked": "testedAndGuaranteed", "FlowCytIntra-species-dilution-info": "", "FlowCytIntra-species-notes": "<p><a href='/en-us/products/primary-antibodies/rabbit-igg-monoclonal-epr25a-isotype-control-low-endotoxin-azide-free-ab199376'>ab199376</a> - Rabbit monoclonal IgG, is suitable for use as an isotype control with this antibody.</p>", "IHCP-species-checked": "testedAndGuaranteed", "IHCP-species-dilution-info": "", "IHCP-species-notes": "<p></p>" } } }

Product details

ab240291 is the carrier-free version of ab185234.

Patented technology
Our RabMAb® technology is a patented hybridoma-based technology for making rabbit monoclonal antibodies. For details on our patents, please refer to RabMAb® patents.

What are the advantages of a recombinant monoclonal antibody?
This product is a recombinant monoclonal antibody, which offers several advantages including:

  • - High batch-to-batch consistency and reproducibility
  • - Improved sensitivity and specificity
  • - Long-term security of supply
  • - Animal-free batch production

For more information, read more on recombinant antibodies.

Conjugation ready
Our carrier-free antibodies are typically supplied in a PBS-only formulation, purified and free of BSA, sodium azide and glycerol. This conjugation-ready format is designed for use with fluorochromes, metal isotopes, oligonucleotides, and enzymes, which makes them ideal for antibody labelling, functional and cell-based assays, flow-based assays (e.g. mass cytometry) and Multiplex Imaging applications.

Use our conjugation kits for antibody conjugates that are ready-to-use in as little as 20 minutes with 1 minute hands-on-time and 100% antibody recovery: available for fluorescent dyes, HRP, biotin and gold.

Compatibility
This product is compatible with the Maxpar® Antibody Labeling Kit from Fluidigm, without the need for antibody preparation. Maxpar® is a trademark of Fluidigm Canada Inc.

Properties and storage information

Form
Liquid
Purification technique
Affinity purification Protein A
Storage buffer
pH: 7.2 - 7.4 Constituents: PBS
Shipped at conditions
Blue Ice
Appropriate short-term storage conditions
+4°C
Appropriate long-term storage conditions
+4°C
Storage information
Do Not Freeze

Supplementary information

This supplementary information is collated from multiple sources and compiled automatically.

NCE2/UBE2F also known simply as UBE2F acts as a ubiquitin-conjugating enzyme that is critical in the process of neddylation. The mass of UBE2F is approximately 21 kDa. It plays a mechanical role in transferring the activated NEDD8 protein to target substrates which include members of the Cullin-RING ligase complexes. Expression of UBE2F is observed in multiple human tissues with notable presence in the lungs and liver. Its activity ensures the proper modification of proteins that depend on neddylation for their function.
Biological function summary

UBE2F functions as an important component in cellular processes by participating in the neddylation pathway. It forms a complex with NEDD8-activating E1 enzymes facilitating the transfer of NEDD8 to specific E3 ligases primarily targeting cullins. Through neddylation UBE2F influences the activation of these ligases impacting protein degradation pathways cell cycle regulation and signal transduction. This functional role positions UBE2F as an important player in maintaining cellular homeostasis.

Pathways

UBE2F integrates into the neddylation and ubiquitination pathways. Neddylation specifically modulates ubiquitin-proteasome system where NEDD8 acts as a regulator of Cullin-RING E3 ligase activity. Through these interactions UBE2F contributes to the regulation of protein turnover alongside ubiquitin itself. Connections in these pathways often involve proteins like CUL5 which works synchronously with UBE2F to ensure proper cell cycle progression and stress response in cells.

UBE2F has associations with cancer development such as lung cancer and neurodegenerative conditions like Parkinson's disease. Its role in cancer ties to abnormal neddylation activity where overactive maintenance of cullin function disrupts cell cycle control. In Parkinson’s UBE2F-related dysregulation affects protein homeostasis and neuronal health. Proteins linked to disorders like UbcH12 for cancer highlight UBE2F's involvement in complex cellular mechanisms that contribute to disease pathophysiology.

Product protocols

For this product, it's our understanding that no specific protocols are required. You can visit:

Target data

Accepts the ubiquitin-like protein NEDD8 from the UBA3-NAE1 E1 complex and catalyzes its covalent attachment to other proteins (PubMed : 19250909, PubMed : 23201271). Together with the E3 ubiquitin ligase RNF7/RBX2, specifically neddylates cullin-5 (CUL5) (PubMed : 19250909, PubMed : 23201271, PubMed : 23300442). Does not neddylate CUL1, CUL2, CUL3, CUL4A or CUL4B (PubMed : 19250909, PubMed : 23201271). Mediates neddylation of the CUL9-RBX1 complex (PubMed : 38605244).. (Microbial infection) Following infection by HIV-1 virus, participates to HIV-1 Vif protein-mediated ubiquitination and degradation of APOBEC3G by mediating neddylation of cullin-5 (CUL5).
See full target information UBE2F

Publications (1)

Recent publications for all applications. Explore the full list and refine your search

European journal of histochemistry : EJH 65: PubMed34587716

2021

Long noncoding RNA Meg3 mediates ferroptosis induced by oxygen and glucose deprivation combined with hyperglycemia in rat brain microvascular endothelial cells, through modulating the p53/GPX4 axis.

Applications

Unspecified application

Species

Unspecified reactive species

Cheng Chen,Yan Huang,Pingping Xia,Fan Zhang,Longyan Li,E Wang,Qulian Guo,Zhi Ye
View all publications

Product promise

We are committed to supporting your work with high-quality reagents, and we're here for you every step of the way. In the unlikely event that one of our products does not perform as expected, you're protected by our Product Promise.
For full details, please see our Terms & Conditions

Please note: All products are 'FOR RESEARCH USE ONLY. NOT FOR USE IN DIAGNOSTIC OR THERAPEUTIC PROCEDURES'.

For licensing inquiries, please contact partnerships@abcam.com