JavaScript is disabled in your browser. Please enable JavaScript to view this website.
AB111855

Anti-NCF1/p47-phox (phospho S328) antibody

5

(1 Review)

|

(4 Publications)

Rabbit Polyclonal NCF1/p47-phox phospho S328 antibody. Suitable for IHC-P and reacts with Human samples. Cited in 4 publications.

View Alternative Names

NOXO2, SH3PXD1A, NCF1, Neutrophil cytosol factor 1, NCF-1, 47 kDa autosomal chronic granulomatous disease protein, 47 kDa neutrophil oxidase factor, NCF-47K, Neutrophil NADPH oxidase factor 1, Nox organizer 2, Nox-organizing protein 2, SH3 and PX domain-containing protein 1A, p47-phox

1 Images
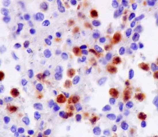
Immunohistochemistry (Formalin/PFA-fixed paraffin-embedded sections) - Anti-NCF1/p47-phox (phospho S328) antibody (AB111855)
  • IHC-P

Unknown

Immunohistochemistry (Formalin/PFA-fixed paraffin-embedded sections) - Anti-NCF1/p47-phox (phospho S328) antibody (AB111855)

ab111855 at 1/50 dilution staining NCF1/p47-phox in paraffin-embedded Human Lymph node tissue by Immunohistochemistry. The image on the right is treated with the synthesized phosphopeptide.

Key facts

Host species

Rabbit

Clonality

Polyclonal

Isotype

IgG

Carrier free

No

Reacts with

Human

Applications

IHC-P

applications

Immunogen

The exact immunogen used to generate this antibody is proprietary information.

Reactivity data

{ "title": "Reactivity Data", "filters": { "stats": ["", "Species", "Dilution Info", "Notes"], "tabs": { "all-applications": {"fullname" : "All Applications", "shortname": "All Applications"}, "IHCP" : {"fullname" : "Immunohistochemistry (Formalin/PFA-fixed paraffin-embedded sections)", "shortname":"IHC-P"} }, "product-promise": { "all": "all", "testedAndGuaranteed": "tested", "guaranteed": "expected", "predicted": "predicted", "notRecommended": "not-recommended" } }, "values": { "Human": { "IHCP-species-checked": "testedAndGuaranteed", "IHCP-species-dilution-info": "1/50 - 1/100", "IHCP-species-notes": "<p></p>" }, "Mouse": { "IHCP-species-checked": "predicted", "IHCP-species-dilution-info": "", "IHCP-species-notes": "" }, "Rat": { "IHCP-species-checked": "predicted", "IHCP-species-dilution-info": "", "IHCP-species-notes": "" } } }

Properties and storage information

Form
Liquid
Purification technique
Affinity purification Immunogen
Purification notes
ab111855 was affinity-purified from Rabbit antiserum by affinity-chromatography using epitope-specific phosphopeptide. The antibody against non-phosphopeptide was removed by chromatography using non-phosphopeptide corresponding to the phosphorylation site.
Storage buffer
pH: 7.4 Preservative: 0.02% Sodium azide Constituents: PBS, 50% Glycerol (glycerin, glycerine), 0.88% Sodium chloride
Shipped at conditions
Blue Ice
Appropriate short-term storage conditions
+4°C
Appropriate long-term storage conditions
-20°C
Storage information
Stable for 12 months at -20°C

Supplementary information

This supplementary information is collated from multiple sources and compiled automatically.

NCF1 also known as p47-phox p47-phox protein or NCF-1 is a cytosolic component of the NADPH oxidase complex. It has a molecular mass of about 47 kDa. NCF1/p47-phox is expressed in neutrophils monocytes and other phagocytic cells. Functionally it plays an important role in the regulation of reactive oxygen species (ROS) production by facilitating the translocation of other subunits to the cell membrane where the NADPH oxidase complex assembles and becomes active.
Biological function summary

The NCF1/p47-phox protein plays a critical role in host defense by generating ROS which are essential for microbial killing. NCF1 is an integral part of the NADPH oxidase complex along with other subunits such as p67-phox p40-phox gp91-phox and p22-phox. When stimulated NCF1 interacts with these subunits to form an active enzyme complex that transfers electrons from NADPH to oxygen producing superoxide anion and other ROS.

Pathways

The NCF1/p47-phox component participates mainly in the NADPH oxidase activation pathway and the respiratory burst pathway. NCF1 is connected to the RAC2 GTPase which upon activation stimulates the assembly and activation of the NADPH oxidase complex at the plasma membrane. This pathway is key for the innate immune response and effective clearance of pathogens by phagocytic cells.

Mutations or dysfunction in the NCF1/p47-phox gene can lead to chronic granulomatous disease (CGD) which is characterized by a failure to produce ROS and a consequent inability to kill certain bacteria and fungi. Additionally NCF1 has links to autoimmune conditions such as rheumatoid arthritis where impaired ROS production may contribute to pathogenesis. These disease implications also involve other components of the NADPH oxidase complex such as gp91-phox whose dysfunction similarly contributes to these disorders.

Product protocols

For this product, it's our understanding that no specific protocols are required. You can visit:

Target data

NCF2, NCF1, and a membrane bound cytochrome b558 are required for activation of the latent NADPH oxidase (necessary for superoxide production).
See full target information NCF1 phospho S328

Publications (4)

Recent publications for all applications. Explore the full list and refine your search

Acta pharmacologica Sinica 42:560-572 PubMed32694758

2020

Reduced intracellular chloride concentration impairs angiogenesis by inhibiting oxidative stress-mediated VEGFR2 activation.

Applications

Unspecified application

Species

Unspecified reactive species

Kai Li,Ying-Ying Liu,Xiao-Fei Lv,Zhuo-Miao Lin,Ting-Ting Zhang,Fei-Ran Zhang,Jia-Wei Guo,Yu Hong,Xiu Liu,Xiao-Chun Lin,Jia-Guo Zhou,Qian-Qian Wu,Si-Jia Liang,Jin-Yan Shang

Physiological reports 7:e14218 PubMed31456346

2019

Altered oxidative stress and antioxidant defence in skeletal muscle during the first year following spinal cord injury.

Applications

Unspecified application

Species

Unspecified reactive species

Mladen Savikj,Emil Kostovski,Leonidas S Lundell,Per O Iversen,Julie Massart,Ulrika Widegren

Acta physiologica (Oxford, England) 223:e13051 PubMed29423932

2018

Protein translation, proteolysis and autophagy in human skeletal muscle atrophy after spinal cord injury.

Applications

Unspecified application

Species

Unspecified reactive species

L S Lundell,M Savikj,E Kostovski,P O Iversen,J R Zierath,A Krook,A V Chibalin,U Widegren

Scientific reports 7:43441 PubMed28240310

2017

Interleukin-27 Enhances the Potential of Reactive Oxygen Species Generation from Monocyte-derived Macrophages and Dendritic cells by Induction of p47.

Applications

Unspecified application

Species

Unspecified reactive species

Bharatwaj Sowrirajan,Yoshiro Saito,Deepak Poudyal,Qian Chen,Hongyan Sui,Suk See DeRavin,Hiromi Imamichi,Toyotaka Sato,Douglas B Kuhns,Noriko Noguchi,Harry L Malech,H Clifford Lane,Tomozumi Imamichi
View all publications

Product promise

We are committed to supporting your work with high-quality reagents, and we're here for you every step of the way. In the unlikely event that one of our products does not perform as expected, you're protected by our Product Promise.
For full details, please see our Terms & Conditions

Please note: All products are 'FOR RESEARCH USE ONLY. NOT FOR USE IN DIAGNOSTIC OR THERAPEUTIC PROCEDURES'.

For licensing inquiries, please contact partnerships@abcam.com