JavaScript is disabled in your browser. Please enable JavaScript to view this website.
AB235389

Anti-Nck antibody [Y531] - BSA and Azide free

Be the first to review this product! Submit a review

|

(0 Publication)

Rabbit Recombinant Monoclonal Nck antibody. Carrier free. Suitable for IHC-P, WB, ICC/IF, Flow Cyt (Intra) and reacts with Human, Mouse samples.

View Alternative Names

NCK, NCK1, SH2/SH3 adapter protein NCK1, Cytoplasmic protein NCK1, NCK adapter protein 1, SH2/SH3 adapter protein NCK-alpha, Nck-1

3 Images
Immunocytochemistry/ Immunofluorescence - Anti-Nck antibody [Y531] - BSA and Azide free (AB235389)
  • ICC/IF

Lab

Immunocytochemistry/ Immunofluorescence - Anti-Nck antibody [Y531] - BSA and Azide free (AB235389)

Immunocytochemistry/ Immunofluorescence analysis of HeLa (human cervix adenocarcinoma epithelial cell) cells labeling Nck with purified ab32120 at 1/250 dilution (8 μg/mL). Cells were fixed in 100% Methanol.Goat anti rabbit IgG (Alexa Fluor® 488, ab150077) was used as the secondary antibody at 1/1000 (2 μg/mL) dilution. DAPI (blue) was used as nuclear counterstain.

This data was developed using the same antibody clone in a different buffer formulation containing PBS, BSA, glycerol, and sodium azide (ab32120).

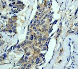
Immunohistochemistry (Formalin/PFA-fixed paraffin-embedded sections) - Anti-Nck antibody [Y531] - BSA and Azide free (AB235389)
  • IHC-P

Unknown

Immunohistochemistry (Formalin/PFA-fixed paraffin-embedded sections) - Anti-Nck antibody [Y531] - BSA and Azide free (AB235389)

This IHC data was generated using the same anti-Nck antibody clone, Y531, in a different buffer formulation (cat# ab32120).

ab32120 (1/100), staining human breast carcinoma by immunohistochemistry, Paraffin embedded tissue.

Perform heat mediated antigen retrieval with citrate buffer pH 6 before commencing with IHC staining protocol.

Western blot - Anti-Nck antibody [Y531] - BSA and Azide free (AB235389)
  • WB

Lab

Western blot - Anti-Nck antibody [Y531] - BSA and Azide free (AB235389)

This data was developed using the same antibody clone in a different buffer formulation (ab32120).

Lanes 1-3 : Merged signal (red and green). Green - ab32120 observed at 50 kDa. Red - loading control ab8245 observed at 36 kDa.

ab32120 Anti-Nck antibody [Y531] was shown to specifically react with Nck in wild-type HeLa cells. Loss of signal was observed when knockout cell line ab265323 (knockout cell lysate ab258059) was used. Wild-type and Nck knockout samples were subjected to SDS-PAGE. ab32120 and Anti-GAPDH antibody [6C5] - Loading Control (ab8245) were incubated at room temperature for 2. 5 hours at 1 in 1000 dilution and 1 in 20000 dilution respectively. Blots were developed with Goat anti-Rabbit IgG H&L (IRDye® 800CW) preadsorbed (ab216773) and Goat anti-Mouse IgG H&L (IRDye® 680RD) preadsorbed (ab216776) secondary antibodies at 1 in 20000 dilution for 1 hour at room temperature before imaging.

All lanes:

Western blot - Anti-Nck antibody [Y531] (<a href='/en-us/products/primary-antibodies/nck-antibody-y531-ab32120'>ab32120</a>) at 1/1000 dilution

Lane 1:

Wild-type HeLa cell lysate at 20 µg

Lane 2:

NCK1 knockout HeLa cell lysate at 20 µg

Lane 2:

Western blot - Human NCK1 (Nck) knockout HeLa cell line (<a href='/en-us/products/cell-lines/human-nck1-nck-knockout-hela-cell-line-ab265323'>ab265323</a>)

Lane 3:

NIH/3T3 cell lysate at 20 µg

Secondary

All lanes:

Western blot - Goat anti-Rabbit IgG H&L (IRDye® 800CW) preadsorbed (<a href='/en-us/products/secondary-antibodies/goat-rabbit-igg-h-l-irdye-800cw-preadsorbed-ab216773'>ab216773</a>) at 1/10000 dilution

Predicted band size: 43 kDa

Observed band size: 50 kDa

false

Key facts

Host species

Rabbit

Clonality

Monoclonal

Clone number

Y531

Isotype

IgG

Carrier free

Yes

Reacts with

Mouse, Human

Applications

ICC/IF, WB, Flow Cyt (Intra), IHC-P

applications

Immunogen

The exact immunogen used to generate this antibody is proprietary information.

Reactivity data

{ "title": "Reactivity Data", "filters": { "stats": ["", "Species", "Dilution Info", "Notes"], "tabs": { "all-applications": {"fullname" : "All Applications", "shortname": "All Applications"}, "IHCP" : {"fullname" : "Immunohistochemistry (Formalin/PFA-fixed paraffin-embedded sections)", "shortname":"IHC-P"}, "WB" : {"fullname" : "Western blot", "shortname":"WB"}, "ICCIF" : {"fullname" : "Immunocytochemistry/ Immunofluorescence", "shortname":"ICC/IF"}, "FlowCytIntra" : {"fullname" : "Flow Cytometry (Intracellular)", "shortname":"Flow Cyt (Intra)"} }, "product-promise": { "all": "all", "testedAndGuaranteed": "tested", "guaranteed": "expected", "predicted": "predicted", "notRecommended": "not-recommended" } }, "values": { "Human": { "IHCP-species-checked": "testedAndGuaranteed", "IHCP-species-dilution-info": "", "IHCP-species-notes": "<p></p> Perform heat-mediated antigen retrieval with citrate buffer pH 6 before commencing with IHC staining protocol.", "WB-species-checked": "testedAndGuaranteed", "WB-species-dilution-info": "", "WB-species-notes": "<p></p>", "ICCIF-species-checked": "testedAndGuaranteed", "ICCIF-species-dilution-info": "", "ICCIF-species-notes": "<p></p>", "FlowCytIntra-species-checked": "guaranteed", "FlowCytIntra-species-dilution-info": "", "FlowCytIntra-species-notes": "<p></p>" }, "Mouse": { "IHCP-species-checked": "predicted", "IHCP-species-dilution-info": "", "IHCP-species-notes": "", "WB-species-checked": "predicted", "WB-species-dilution-info": "", "WB-species-notes": "", "ICCIF-species-checked": "predicted", "ICCIF-species-dilution-info": "", "ICCIF-species-notes": "", "FlowCytIntra-species-checked": "guaranteed", "FlowCytIntra-species-dilution-info": "", "FlowCytIntra-species-notes": "<p></p>" }, "Rat": { "IHCP-species-checked": "predicted", "IHCP-species-dilution-info": "", "IHCP-species-notes": "", "WB-species-checked": "predicted", "WB-species-dilution-info": "", "WB-species-notes": "", "ICCIF-species-checked": "predicted", "ICCIF-species-dilution-info": "", "ICCIF-species-notes": "", "FlowCytIntra-species-checked": "predicted", "FlowCytIntra-species-dilution-info": "", "FlowCytIntra-species-notes": "" } } }

Product details

ab235389 is the carrier-free version of ab32120.

Patented technology
Our RabMAb® technology is a patented hybridoma-based technology for making rabbit monoclonal antibodies. For details on our patents, please refer to RabMAb® patents.

What are the advantages of a recombinant monoclonal antibody?
This product is a recombinant monoclonal antibody, which offers several advantages including:

  • - High batch-to-batch consistency and reproducibility
  • - Improved sensitivity and specificity
  • - Long-term security of supply
  • - Animal-free batch production

For more information, read more on recombinant antibodies.

Conjugation ready
Our carrier-free antibodies are typically supplied in a PBS-only formulation, purified and free of BSA, sodium azide and glycerol. This conjugation-ready format is designed for use with fluorochromes, metal isotopes, oligonucleotides, and enzymes, which makes them ideal for antibody labelling, functional and cell-based assays, flow-based assays (e.g. mass cytometry) and Multiplex Imaging applications.

Use our conjugation kits for antibody conjugates that are ready-to-use in as little as 20 minutes with 1 minute hands-on-time and 100% antibody recovery: available for fluorescent dyes, HRP, biotin and gold.

Compatibility
This product is compatible with the Maxpar® Antibody Labeling Kit from Fluidigm, without the need for antibody preparation. Maxpar® is a trademark of Fluidigm Canada Inc.

Properties and storage information

Form
Liquid
Purification technique
Affinity purification Protein A
Storage buffer
pH: 7.2 - 7.4 Constituents: PBS
Shipped at conditions
Blue Ice
Appropriate short-term storage conditions
+4°C
Appropriate long-term storage conditions
+4°C
Storage information
Do Not Freeze

Supplementary information

This supplementary information is collated from multiple sources and compiled automatically.

The Nck protein also referred to as Nck1 n c k or Nck is an adaptor protein integral in cell signaling pathways. It consists of a molecular mass around 45 kDa and exists mainly within the cytoplasm. The Nck proteins including Nck1 and its closely related form Nck2 are particularly prominent in cells of the immune and nervous systems. Functionally they facilitate interactions between receptor tyrosine kinases and downstream signaling molecules translating extracellular stimuli into cellular responses.
Biological function summary

The Nck proteins play significant roles in actin cytoskeleton reorganization influencing cell shape movement and adhesion. These proteins often participate as part of larger signaling complexes where they serve as scaffolds bringing together key molecules. Nck proteins directly interact with partners containing SH2 and SH3 domains which are important for various cellular dynamic processes. Their role in cytoskeletal dynamics aligns them with many cellular mechanisms including endocytosis and cell motility.

Pathways

Nck proteins significantly influence the regulation of the actin cytoskeleton pathway and the Rho GTPases pathway. Through these pathways they interact with proteins such as WASP and Rac regulating actin polymerization and cell migration. Nck’s ability to form complex signaling networks positions it as a central actor in transducing signals that affect cell shape and movement. It acts collaboratively with multiple signaling pathways to maintain cellular plasticity and response to extracellular signals.

Nck proteins have associations with cancer and immunological conditions. Alterations in their signaling functions may contribute to tumor progression or metastasis given their role in cell movement and adhesion. In immune disorders abnormal Nck signaling could disrupt normal immune cell functions potentially leading to autoimmune conditions. For example Nck proteins may interact with oncogenic proteins like BCR-ABL in chronic myeloid leukemia highlighting their relevance in disease contexts.

Product protocols

For this product, it's our understanding that no specific protocols are required. You can visit:

Target data

Adapter protein which associates with tyrosine-phosphorylated growth factor receptors, such as KDR and PDGFRB, or their cellular substrates. Maintains low levels of EIF2S1 phosphorylation by promoting its dephosphorylation by PP1. Plays a role in the DNA damage response, not in the detection of the damage by ATM/ATR, but for efficient activation of downstream effectors, such as that of CHEK2. Plays a role in ELK1-dependent transcriptional activation in response to activated Ras signaling. Modulates the activation of EIF2AK2/PKR by dsRNA. May play a role in cell adhesion and migration through interaction with ephrin receptors.
See full target information NCK1

Product promise

We are committed to supporting your work with high-quality reagents, and we're here for you every step of the way. In the unlikely event that one of our products does not perform as expected, you're protected by our Product Promise.
For full details, please see our Terms & Conditions

Please note: All products are 'FOR RESEARCH USE ONLY. NOT FOR USE IN DIAGNOSTIC OR THERAPEUTIC PROCEDURES'.

For licensing inquiries, please contact partnerships@abcam.com