JavaScript is disabled in your browser. Please enable JavaScript to view this website.
AB314553

Anti-NCOA4 antibody [EPR28511-12]

Be the first to review this product! Submit a review

|

(10 Publications)

Anti-NCOA4 antibody [EPR28511-12] (ab314553) is a rabbit monoclonal antibody detecting NCOA4 in Western Blot, IP. Suitable for Human, Mouse, Rat.

- Biophysical QC for unrivalled batch-batch consistency

View Alternative Names

ARA70, ELE1, RFG, NCOA4, Nuclear receptor coactivator 4, NCoA-4, Androgen receptor coactivator 70 kDa protein, Androgen receptor-associated protein of 70 kDa, Ferritin cargo receptor NCOA4, Ret-activating protein ELE1, 70 kDa AR-activator, 70 kDa androgen receptor coactivator

6 Images
Immunoprecipitation - Anti-NCOA4 antibody [EPR28511-12] (AB314553)
  • IP

Supplier Data

Immunoprecipitation - Anti-NCOA4 antibody [EPR28511-12] (AB314553)

NCOA4 was immunoprecipitated from 0.35 mg HepG2 (human hepatocellular carcinoma epithelial cell) whole cell lysate with ab314553 at 1/30 dilution (2ug in 0.35mg lysates). Western blot was performed on the immunoprecipitate using ab314553 at 1/1000 dilution. VeriBlot for IP secondary antibody(HRP)(ab131366) was used at 1/5000 dilution. Lane 1 : HepG2 (human hepatocellular carcinoma epithelial cell) whole cell lysate Lane 2 : ab314553 IP in HepG2 (human hepatocellular carcinoma epithelial cell) whole cell lysate Lane 3 : Rabbit monoclonal IgG (ab172730) instead of ab314553 in HepG2 whole cell lysate Blocking and dilution buffer and concentration : 5% NFDM/TBST.

All lanes:

Immunoprecipitation - Anti-NCOA4 antibody [EPR28511-12] (ab314553) at 1/30 dilution

All lanes:

HepG2 (human hepatocellular carcinoma epithelial cell) whole cell lysate

Secondary

All lanes:

Immunoprecipitation - VeriBlot for IP Detection Reagent (HRP) (<a href='/en-us/products/reagents/veriblot-for-ip-detection-reagent-hrp-ab131366'>ab131366</a>) at 1/5000 dilution

false

Exposure time: 32s

Immunoprecipitation - Anti-NCOA4 antibody [EPR28511-12] (AB314553)
  • IP

Supplier Data

Immunoprecipitation - Anti-NCOA4 antibody [EPR28511-12] (AB314553)

NCOA4 was immunoprecipitated from 0.35 mg NIH/3T3 (mouse embryonic fibroblast) whole cell lysate with ab314553 at 1/30 dilution (2ug in 0.35mg lysates). Western blot was performed on the immunoprecipitate using ab314553 at 1/1000 dilution. VeriBlot for IP secondary antibody(HRP)(ab131366) was used at 1/5000 dilution. Lane 1 : NIH/3T3 (mouse embryonic fibroblast) whole cell lysate Lane 2 : ab314553 IP in NIH/3T3 (mouse embryonic fibroblast) whole cell lysate Lane 3 : Rabbit monoclonal IgG (ab172730) instead of ab314553 in NIH/3T3 whole cell lysate Blocking and dilution buffer and concentration : 5% NFDM/TBST.

All lanes:

Immunoprecipitation - Anti-NCOA4 antibody [EPR28511-12] (ab314553) at 1/30 dilution

All lanes:

NIH/3T3 (mouse embryonic fibroblast) whole cell lysate

Secondary

All lanes:

Immunoprecipitation - VeriBlot for IP Detection Reagent (HRP) (<a href='/en-us/products/reagents/veriblot-for-ip-detection-reagent-hrp-ab131366'>ab131366</a>) at 1/5000 dilution

false

Exposure time: 32s

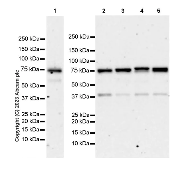
Western blot - Anti-NCOA4 antibody [EPR28511-12] (AB314553)
  • WB

Supplier Data

Western blot - Anti-NCOA4 antibody [EPR28511-12] (AB314553)

Blocking and diluting buffer and concentration : 5% NFDM/TBST.

The expression profile/ molecular weight observed is consistent with what has been described in the literature (PMID : 24695223, 31061094).

Lysates were freshly made and used for Western blotting immediately to minimize protein degradation.

All lanes:

Western blot - Anti-NCOA4 antibody [EPR28511-12] (ab314553) at 1/1000 dilution

Lane 1:

PC-3 (human prostate adenocarcinoma epithelial cell) whole cell lysate at 20 µg

Lane 2:

HeLa (human cervix adenocarcinoma epithelial cell) whole cell lysate at 20 µg

Lane 3:

293T (human embryonic kidney epithelial cell) whole cell lysate at 20 µg

Lane 4:

NIH/3T3 (mouse embryonic fibroblast) whole cell lysate at 20 µg

Lane 5:

PC-12 (rat adrenal gland pheochromocytoma) whole cell lysate at 20 µg

Secondary

All lanes:

Western blot - Goat Anti-Rabbit IgG H&L (HRP) (<a href='/en-us/products/secondary-antibodies/goat-rabbit-igg-h-l-hrp-ab97051'>ab97051</a>) at 1/100000 dilution

Observed band size: 75 kDa,76 kDa

false

Exposure time: 180s

Western blot - Anti-NCOA4 antibody [EPR28511-12] (AB314553)
  • WB

Supplier Data

Western blot - Anti-NCOA4 antibody [EPR28511-12] (AB314553)

Blocking and diluting buffer and concentration : 5% NFDM/TBST The expression profile/ molecular weight observed is consistent with what has been described in the literature (PMID : 24695223, 31061094). The lysates of lanes 2-3 were freshly made and used for Western blotting immediately to minimize protein degradation. In Western blot, Anti-GAPDH antibody [EPR16891] - Loading Control (ab181602) staining at 1/200000 dilution.

All lanes:

Western blot - Anti-NCOA4 antibody [EPR28511-12] (ab314553) at 1/1000 dilution

Lane 1:

Human testis tissue lysate at 20 µg

Lane 2:

Mouse testis tissue lysate at 20 µg

Lane 3:

Rat testis tissue lysate at 20 µg

Secondary

Lanes 1 - 3:

Western blot - Goat Anti-Rabbit IgG H&L (HRP) (<a href='/en-us/products/secondary-antibodies/goat-rabbit-igg-h-l-hrp-ab97051'>ab97051</a>) at 1/100000 dilution

Lanes 1 - 3:

Goat Anti-Rabbit IgG (HRP) with minimal cross-reactivity with human IgG at 1/2000 dilution

Observed band size: 75 kDa,76 kDa

false

Exposure time: 180s

Western blot - Anti-NCOA4 antibody [EPR28511-12] (AB314553)
  • WB

Supplier Data

Western blot - Anti-NCOA4 antibody [EPR28511-12] (AB314553)

Blocking and diluting buffer and concentration : 5% NFDM/TBST The expression profile/ molecular weight observed is consistent with what has been described in the literature (PMID : 24695223, 31061094). Lysates were freshly made and used for Western blotting immediately to minimize protein degradation. In Western blot, Anti-GAPDH antibody [EPR16891] - Loading Control (ab181602) staining at 1/200000 dilution.

All lanes:

Western blot - Anti-NCOA4 antibody [EPR28511-12] (ab314553) at 1/1000 dilution

Lane 1:

HepG2 (human hepatocellar carcinoma epithelial cell) transfected with scrambled siRNA control whole cell lysate at 20 µg

Lane 2:

HepG2 transfected with siRNA specifically targeti NCOA4 whole cell lysate at 20 µg

Secondary

All lanes:

Western blot - Goat Anti-Rabbit IgG H&L (HRP) (<a href='/en-us/products/secondary-antibodies/goat-rabbit-igg-h-l-hrp-ab97051'>ab97051</a>) at 1/100000 dilution

Observed band size: 75 kDa,76 kDa

false

Exposure time: 147s

Western blot - Anti-NCOA4 antibody [EPR28511-12] (AB314553)
  • WB

Supplier Data

Western blot - Anti-NCOA4 antibody [EPR28511-12] (AB314553)

Blocking and diluting buffer and concentration : 5% NFDM/TBST Low expression : HT-1080. The expression profile/ molecular weight observed is consistent with what has been described in the literature (PMID : 24695223, 31061094). In Western blot, Anti-GAPDH antibody [EPR16891] - Loading Control (ab181602) staining at 1/200000 dilution.

All lanes:

Western blot - Anti-NCOA4 antibody [EPR28511-12] (ab314553) at 1/1000 dilution

Lane 1:

MEF (mouse embryonic fibroblast (immortalized)) whole cell lysate at 20 µg

Lane 2:

A-172 (human brain glioblastoma) whole cell lysate at 20 µg

Lane 3:

HT-1080 (human fibrosarcoma epithelial cell) whole cell lysate at 20 µg

Secondary

All lanes:

Western blot - Goat Anti-Rabbit IgG H&L (HRP) (<a href='/en-us/products/secondary-antibodies/goat-rabbit-igg-h-l-hrp-ab97051'>ab97051</a>) at 1/100000 dilution

Observed band size: 75 kDa,76 kDa

false

Exposure time: 180s

  • Carrier free

    Anti-NCOA4 antibody [EPR28511-12] - BSA and Azide free

Key facts

Host species

Rabbit

Clonality

Monoclonal

Clone number

EPR28511-12

Isotype

IgG

Carrier free

No

Reacts with

Human, Mouse, Rat

Applications

WB, IP

applications

Immunogen

The exact immunogen used to generate this antibody is proprietary information.

Reactivity data

{ "title": "Reactivity Data", "filters": { "stats": ["", "Species", "Dilution Info", "Notes"], "tabs": { "all-applications": {"fullname" : "All Applications", "shortname": "All Applications"}, "WB" : {"fullname" : "Western blot", "shortname":"WB"}, "IP" : {"fullname" : "Immunoprecipitation", "shortname":"IP"}, "IHCP" : {"fullname" : "Immunohistochemistry (Formalin/PFA-fixed paraffin-embedded sections)", "shortname":"IHC-P"}, "FlowCytIntra" : {"fullname" : "Flow Cytometry (Intracellular)", "shortname":"Flow Cyt (Intra)"}, "ICCIF" : {"fullname" : "Immunocytochemistry/ Immunofluorescence", "shortname":"ICC/IF"} }, "product-promise": { "all": "all", "testedAndGuaranteed": "tested", "guaranteed": "expected", "predicted": "predicted", "notRecommended": "not-recommended" } }, "values": { "Human": { "WB-species-checked": "testedAndGuaranteed", "WB-species-dilution-info": "1/1000", "WB-species-notes": "<p>This product requires fresh lysates for Western blot analysis. To preserve protein degradation, harvested cells were immediately lysed, followed by rapid gel electrophoresis and membrane transfer procedures.</p><p>使用该产品进行Western blot实验时需要使用新鲜的蛋白裂解液。为防止蛋白质降解,收取细胞后请立即进行裂解,随后迅速进行凝胶电泳和转膜步骤。</p>", "IP-species-checked": "testedAndGuaranteed", "IP-species-dilution-info": "1/30", "IP-species-notes": "<p></p>", "IHCP-species-checked": "notRecommended", "IHCP-species-dilution-info": "", "IHCP-species-notes": "<p></p>", "FlowCytIntra-species-checked": "notRecommended", "FlowCytIntra-species-dilution-info": "", "FlowCytIntra-species-notes": "<p></p>", "ICCIF-species-checked": "notRecommended", "ICCIF-species-dilution-info": "", "ICCIF-species-notes": "<p></p>" }, "Mouse": { "WB-species-checked": "testedAndGuaranteed", "WB-species-dilution-info": "1/1000", "WB-species-notes": "<p>This product requires fresh lysates for Western blot analysis. To preserve protein degradation, harvested cells were immediately lysed, followed by rapid gel electrophoresis and membrane transfer procedures.</p><p>使用该产品进行Western blot实验时需要使用新鲜的蛋白裂解液。为防止蛋白质降解,收取细胞后请立即进行裂解,随后迅速进行凝胶电泳和转膜步骤。</p>", "IP-species-checked": "testedAndGuaranteed", "IP-species-dilution-info": "1/30", "IP-species-notes": "<p></p>", "IHCP-species-checked": "notRecommended", "IHCP-species-dilution-info": "", "IHCP-species-notes": "<p></p>", "FlowCytIntra-species-checked": "notRecommended", "FlowCytIntra-species-dilution-info": "", "FlowCytIntra-species-notes": "<p></p>", "ICCIF-species-checked": "notRecommended", "ICCIF-species-dilution-info": "", "ICCIF-species-notes": "<p></p>" }, "Rat": { "WB-species-checked": "testedAndGuaranteed", "WB-species-dilution-info": "1/1000", "WB-species-notes": "<p>This product requires fresh lysates for Western blot analysis. To preserve protein degradation, harvested cells were immediately lysed, followed by rapid gel electrophoresis and membrane transfer procedures.</p><p>使用该产品进行Western blot实验时需要使用新鲜的蛋白裂解液。为防止蛋白质降解,收取细胞后请立即进行裂解,随后迅速进行凝胶电泳和转膜步骤。</p>", "IP-species-checked": "guaranteed", "IP-species-dilution-info": "", "IP-species-notes": "", "IHCP-species-checked": "notRecommended", "IHCP-species-dilution-info": "", "IHCP-species-notes": "<p></p>", "FlowCytIntra-species-checked": "notRecommended", "FlowCytIntra-species-dilution-info": "", "FlowCytIntra-species-notes": "", "ICCIF-species-checked": "notRecommended", "ICCIF-species-dilution-info": "", "ICCIF-species-notes": "" } } }

Product details

What is this antibody validated in?
Anti-NCOA4 antibody [EPR28511-12] (ab314553) is a rabbit recombinant monoclonal antibody and is validated for use in Western Blot (WB), Immunoprecipitation (IP) in Human, Mouse, Rat samples.

What is the molecular weight of NCOA4?
Anti-NCOA4 [EPR28511-12] (ab314553) specifically detects a band for NCOA4 (UniProt: Q13772) at a molecular weight of 70kDa.

Trial sizes available!
Test your antibody or perform pre-screening before committing to a larger quantity. Sold in 10µl. Discover our selection of trial-size antibodies.

Other related products
We have a range of other formats of antibody clone [EPR28511-12] also available for your convenience: ab314553, Carrier free - ab314554

Patented technology
Our RabMAb® technology is a patented hybridoma-based technology for making rabbit monoclonal antibodies. For details on our patents, please refer to RabMAb® patents.

What are the advantages of a recombinant monoclonal antibody?
This product is a recombinant monoclonal antibody, which offers several advantages including:

  • - High batch-to-batch consistency and reproducibility
  • - Improved sensitivity and specificity
  • - Long-term security of supply
  • - Animal-free batch production

For more information, read more on recombinant antibodies.

Properties and storage information

Form
Liquid
Purification technique
Affinity purification Protein A
Storage buffer
pH: 7.2 - 7.4 Preservative: 0.01% Sodium azide Constituents: PBS, 40% Glycerol (glycerin, glycerine), 0.05% BSA
Shipped at conditions
Blue Ice
Appropriate short-term storage duration
1-2 weeks
Appropriate short-term storage conditions
+4°C
Appropriate long-term storage conditions
-20°C
Aliquoting information
Upon delivery aliquot
Storage information
Avoid freeze / thaw cycle

Supplementary information

This supplementary information is collated from multiple sources and compiled automatically.

The nuclear receptor coactivator 4 (NCOA4) also previously known as androgen receptor-associated protein 70 (ARA70) plays a critical role in cellular activities. It engages with nuclear receptors to enhance transcriptional activities. The molecular weight of NCOA4 is approximately 70 kDa. Scientists have observed its expression in various tissues including prostate and thyroid indicating its diverse functional capacity.
Biological function summary

NCOA4 modulates cellular iron homeostasis which is essential for cell survival and proliferation. It accomplishes this by mediating the autophagic degradation of ferritin a protein that stores iron through ferritinophagy. As part of the ferritinophagy complex NCOA4 works alongside other autophagic machinery to regulate iron bioavailability and mitigate oxidative stress maintaining cellular health and function.

Pathways

NCOA4 significantly influences the iron metabolism pathway an important component in maintaining iron balance within cells. The interaction with proteins such as ferritin highlights its role in facilitating iron release and utilization. Furthermore NCOA4 intersects with the autophagy pathway where it coordinates with autophagic proteins like LC3 to ensure proper iron recycling emphasizing its integration in cellular nutrient management.

Dysregulation of NCOA4 has links to neurodegenerative diseases like Parkinson's disease where iron dysmetabolism plays a part in neuronal damage. Aberrant NCOA4 activity also relates to certain cancers as iron levels influence tumor growth. In these contexts NCOA4's interaction with proteins like p62 an important autophagy adaptor becomes critical highlighting its influence in disease progression and potential as a therapeutic target.

Product protocols

For this product, it's our understanding that no specific protocols are required. You can visit:

Target data

Cargo receptor for the autophagic turnover of the iron-binding ferritin complex, playing a central role in iron homeostasis (PubMed : 25327288, PubMed : 26436293). Acts as an adapter for delivery of ferritin to lysosomes and autophagic degradation of ferritin, a process named ferritinophagy (PubMed : 25327288, PubMed : 26436293). Targets the iron-binding ferritin complex to autolysosomes following starvation or iron depletion (PubMed : 25327288). Ensures efficient erythropoiesis, possibly by regulating hemin-induced erythroid differentiation (PubMed : 26436293). In some studies, has been shown to enhance the androgen receptor AR transcriptional activity as well as acting as ligand-independent coactivator of the peroxisome proliferator-activated receptor (PPAR) gamma (PubMed : 10347167, PubMed : 8643607). Another study shows only weak behavior as a coactivator for the androgen receptor and no alteration of the ligand responsiveness of the AR (PubMed : 10517667). Binds to DNA replication origins, binding is not restricted to sites of active transcription and may likely be independent from the nuclear receptor transcriptional coactivator function (PubMed : 24910095). May inhibit activation of DNA replication origins, possibly by obstructing DNA unwinding via interaction with the MCM2-7 complex (PubMed : 24910095).
See full target information NCOA4

Publications (10)

Recent publications for all applications. Explore the full list and refine your search

American journal of cancer research 15:3693-3711 PubMed40948526

2025

Aurora-A inhibits hepatocellular carcinoma cell ferroptosis to mediate immune escape by disrupting phosphatidylethanolamine biosynthesis.

Applications

Unspecified application

Species

Unspecified reactive species

Lei Fan,Yiqian Liu,Yucheng Cai,Xinnan Sun,Jiaxuan Li,Yiyang Xu,Changchun Sun,Shiyun Cui

Journal of cardiothoracic surgery 20:315 PubMed40722030

2025

NSUN2 inhibits NCOA4 expression to alleviate ferroptosis and inflammation in sepsis-induced myocardial injury in a mC manner.

Applications

Unspecified application

Species

Unspecified reactive species

BaYinchahan BoRanyi,Xinwei Lv,Dong Xiao

Journal of orthopaedic translation 54:8-25 PubMed40688343

2025

Oxidative stress activates YAP/TEAD1/NCOA4 axis to promote ferroptosis of endplate chondrocytes and aggravate intervertebral disc degeneration.

Applications

Unspecified application

Species

Unspecified reactive species

Heran Wang,Xiaodong Liu,Xingzhi Jing,Bofei Zhang,Xin Liu,Xiaoyang Liu,Fei Jia,Cheng Su,Wenchao Wang,Xingang Cui

Frontiers in molecular biosciences 12:1578755 PubMed40421419

2025

Bioinformatics and experimental validation of ferroptosis-related genes in steroid-induced osteonecrosis of the femoral head.

Applications

Unspecified application

Species

Unspecified reactive species

Ming-Gang Guo,Chen-Fei Yang,Fa Yuan,Tao Yang,Ping-Yuan Luo,Yu-Bai He,Shuan Yang,Feng Chen,Wei Li,Zhi-Wei Feng

Frontiers in pharmacology 16:1548660 PubMed40365315

2025

DC. Alleviates adenine-induced chronic kidney disease by regulating ferroptosis in C57BL/6 mice.

Applications

Unspecified application

Species

Unspecified reactive species

Jong Min Kim,Yiseul Kim,Hyun-Jin Na,Haeng Jeon Hur,Sang-Hee Lee,Mi Jeong Sung

CNS neuroscience & therapeutics 31:e70366 PubMed40168041

2025

Hydrogen Sulfide Sustained Release Donor Alleviates Spinal Cord Ischemia-Reperfusion-Induced Neuron Death by Inhibiting Ferritinophagy-Mediated Ferroptosis.

Applications

Unspecified application

Species

Unspecified reactive species

Lei Xie,Qiuping He,Hang Wu,Weipeng Shi,Xiao Xiao,Tengbo Yu

Redox biology 82:103579 PubMed40117887

2025

The tryptophan metabolite 3-hydroxyanthranilic acid alleviates hyperoxia-induced bronchopulmonary dysplasia via inhibiting ferroptosis.

Applications

Unspecified application

Species

Unspecified reactive species

Qiqi Ruan,Yingqiu Peng,Xuanyu Yi,Jingli Yang,Qing Ai,Xiaochen Liu,Yu He,Yuan Shi

Cell death discovery 11:71 PubMed39984437

2025

Targeted temperature management alleviates post-resuscitation myocardial dysfunction by inhibiting ferroptosis.

Applications

Unspecified application

Species

Unspecified reactive species

Yingying Zhang,Weiwei Du,Ting Kong,Tianfeng Hua,Honghao Ma,Yan Hu,Sinong Pan,Bingrui Ling,Min Yang,Cheng Cheng

Redox biology 77:103360 PubMed39326069

2024

Silibinin attenuates ferroptosis in acute kidney injury by targeting FTH1.

Applications

Unspecified application

Species

Unspecified reactive species

Yijian Deng,Liying Zeng,Huaxi Liu,Anna Zuo,Jie Zhou,Ying Yang,Yanting You,Xinghong Zhou,Baizhao Peng,Hanqi Lu,Shuai Ji,Ming Wang,Yigui Lai,Hiu Yee Kwan,Xiaomin Sun,Qi Wang,Xiaoshan Zhao

Cell communication and signaling : CCS 22:359 PubMed38992691

2024

Uncovering the role of ferroptosis in Bietti crystalline dystrophy and potential therapeutic strategies.

Applications

Unspecified application

Species

Unspecified reactive species

Chang Shen,Qianjie Yang,Kuangqi Chen,Huiling Ma,Xiawei Wang,Jianping Tong,Ye Shen,Hongguang Cui
View all publications

Product promise

We are committed to supporting your work with high-quality reagents, and we're here for you every step of the way. In the unlikely event that one of our products does not perform as expected, you're protected by our Product Promise.
For full details, please see our Terms & Conditions

Please note: All products are 'FOR RESEARCH USE ONLY. NOT FOR USE IN DIAGNOSTIC OR THERAPEUTIC PROCEDURES'.

For licensing inquiries, please contact partnerships@abcam.com