JavaScript is disabled in your browser. Please enable JavaScript to view this website.
AB254732

Anti-NCOA7 antibody

Be the first to review this product! Submit a review

|

(0 Publication)

Rabbit Polyclonal NCOA7 antibody. Suitable for IHC-P, WB, ICC/IF and reacts with Human samples. Immunogen corresponding to Recombinant Fragment Protein within Human NCOA7 aa 550-700.

View Alternative Names

ERAP140, ESNA1, Nbla00052, Nbla10993, NCOA7, Nuclear receptor coactivator 7, 140 kDa estrogen receptor-associated protein, Estrogen nuclear receptor coactivator 1

6 Images
Immunohistochemistry (Formalin/PFA-fixed paraffin-embedded sections) - Anti-NCOA7 antibody (AB254732)
  • IHC-P

Supplier Data

Immunohistochemistry (Formalin/PFA-fixed paraffin-embedded sections) - Anti-NCOA7 antibody (AB254732)

Paraffin-embedded human cerebral cortex tissue stained for NCOA7 using ab254732 at 1/200 dilution in immunohistochemical analysis.

Western blot - Anti-NCOA7 antibody (AB254732)
  • WB

Supplier Data

Western blot - Anti-NCOA7 antibody (AB254732)

All lanes:

Western blot - Anti-NCOA7 antibody (ab254732) at 0.4 µg/mL

All lanes:

HDLM-2 cell lysate

Predicted band size: 107 kDa

false

Immunocytochemistry/ Immunofluorescence - Anti-NCOA7 antibody (AB254732)
  • ICC/IF

Unknown

Immunocytochemistry/ Immunofluorescence - Anti-NCOA7 antibody (AB254732)

PFA fixed, Triton X-100 permeabilized U-2 OS (Human bone osteosarcoma epithelial cell line) cells labeling NCOA7 using ab254732 at 4µg/ml (green) in ICC/IF.

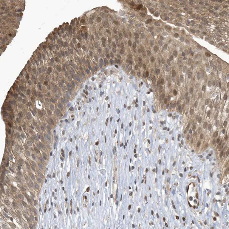
Immunohistochemistry (Formalin/PFA-fixed paraffin-embedded sections) - Anti-NCOA7 antibody (AB254732)
  • IHC-P

Supplier Data

Immunohistochemistry (Formalin/PFA-fixed paraffin-embedded sections) - Anti-NCOA7 antibody (AB254732)

Paraffin-embedded human urinary bladder tissue stained for NCOA7 using ab254732 at 1/200 dilution in immunohistochemical analysis.

Immunohistochemistry (Formalin/PFA-fixed paraffin-embedded sections) - Anti-NCOA7 antibody (AB254732)
  • IHC-P

Supplier Data

Immunohistochemistry (Formalin/PFA-fixed paraffin-embedded sections) - Anti-NCOA7 antibody (AB254732)

Paraffin-embedded human testis tissue stained for NCOA7 using ab254732 at 1/200 dilution in immunohistochemical analysis.

Immunohistochemistry (Formalin/PFA-fixed paraffin-embedded sections) - Anti-NCOA7 antibody (AB254732)
  • IHC-P

Supplier Data

Immunohistochemistry (Formalin/PFA-fixed paraffin-embedded sections) - Anti-NCOA7 antibody (AB254732)

Paraffin-embedded human cerebellum tissue stained for NCOA7 using ab254732 at 1/200 dilution in immunohistochemical analysis.

Key facts

Host species

Rabbit

Clonality

Polyclonal

Isotype

IgG

Carrier free

No

Reacts with

Human

Applications

IHC-P, WB, ICC/IF

applications

Immunogen

Recombinant Fragment Protein within Human NCOA7 aa 550-700. The exact immunogen used to generate this antibody is proprietary information.

Q8NI08

Reactivity data

{ "title": "Reactivity Data", "filters": { "stats": ["", "Species", "Dilution Info", "Notes"], "tabs": { "all-applications": {"fullname" : "All Applications", "shortname": "All Applications"}, "IHCP" : {"fullname" : "Immunohistochemistry (Formalin/PFA-fixed paraffin-embedded sections)", "shortname":"IHC-P"}, "WB" : {"fullname" : "Western blot", "shortname":"WB"}, "ICCIF" : {"fullname" : "Immunocytochemistry/ Immunofluorescence", "shortname":"ICC/IF"} }, "product-promise": { "all": "all", "testedAndGuaranteed": "tested", "guaranteed": "expected", "predicted": "predicted", "notRecommended": "not-recommended" } }, "values": { "Human": { "IHCP-species-checked": "testedAndGuaranteed", "IHCP-species-dilution-info": "1/20.00000 - 1/50.00000", "IHCP-species-notes": "<p></p> Perform heat-mediated antigen retrieval with citrate buffer pH 6 before commencing with IHC staining protocol.", "WB-species-checked": "testedAndGuaranteed", "WB-species-dilution-info": "0.04000-0.40000 µg/mL", "WB-species-notes": "<p></p>", "ICCIF-species-checked": "testedAndGuaranteed", "ICCIF-species-dilution-info": "0.25000-2.00000 µg/mL", "ICCIF-species-notes": "<p>Fixation/Permeabilization: PFA/Triton X-100.</p>" } } }

Properties and storage information

Form
Liquid
Purification technique
Affinity purification Immunogen
Storage buffer
pH: 7.2 Preservative: 0.02% Sodium azide Constituents: PBS, 40% Glycerol (glycerin, glycerine)
Shipped at conditions
Blue Ice
Appropriate short-term storage duration
1-2 weeks
Appropriate short-term storage conditions
+4°C
Appropriate long-term storage conditions
-20°C
Aliquoting information
Upon delivery aliquot
Storage information
Avoid freeze / thaw cycle

Supplementary information

This supplementary information is collated from multiple sources and compiled automatically.

Nuclear receptor coactivator 7 (NCOA7) also known as ERAP plays a role in transcriptional regulation by interacting with nuclear hormone receptors to enhance their transcriptional activity. It has a molecular mass of approximately 100 kDa. NCOA7 is expressed in various tissues with significant levels in the brain and endocrine organs. The protein influences the transcriptional activity of hormone receptors by modulating chromatin structure and accessibility.
Biological function summary

NCOA7 influences cellular processes through interactions with nuclear receptors. It forms a complex with these receptors to modulate gene expression. This protein engages in the regulation of genes that are involved in cell development and homeostasis. NCOA7's activity can influence metabolic and signaling processes that are critical for maintaining proper cellular environment and function.

Pathways

NCOA7 associates with important biological pathways including nuclear hormone receptor signaling and lipid metabolism. It interacts with proteins like peroxisome proliferator-activated receptors (PPARs) and estrogen receptors (ERs) in these pathways. These interactions facilitate the regulation of genes involved in lipid storage energy balance and other metabolic functions.

NCOA7 has implications in conditions such as breast cancer and neurodegenerative diseases. In breast cancer its interaction with estrogen receptors can influence tumor growth and development. NCOA7 is also connected to conditions like Alzheimer's disease through its influence on brain tissues potentially interacting with proteins like amyloid-beta precursor protein which is relevant to the disease pathology.

Product protocols

For this product, it's our understanding that no specific protocols are required. You can visit:

Target data

Enhances the transcriptional activities of several nuclear receptors. Involved in the coactivation of different nuclear receptors, such as ESR1, THRB, PPARG and RARA.
See full target information NCOA7

Product promise

We are committed to supporting your work with high-quality reagents, and we're here for you every step of the way. In the unlikely event that one of our products does not perform as expected, you're protected by our Product Promise.
For full details, please see our Terms & Conditions

Associated Products

Select an associated product type
Alternative Product
Primary Antibodies

AB224481

Anti-NCOA7 antibody

primary-antibodies

ncoa7-antibody-ab224481

0

(0 reviews)

Please note: All products are 'FOR RESEARCH USE ONLY. NOT FOR USE IN DIAGNOSTIC OR THERAPEUTIC PROCEDURES'.

For licensing inquiries, please contact partnerships@abcam.com