JavaScript is disabled in your browser. Please enable JavaScript to view this website.
AB283517

Anti-NCR1/NKp46 antibody [mNCR1.05] - BSA and Azide free

Be the first to review this product! Submit a review

|

(1 Publication)

Mouse Recombinant Monoclonal NCR1 antibody. Carrier free. Suitable for IHC-P, ELISA and reacts with Mouse, Rat samples. Cited in 1 publication.

View Alternative Names

CD335, Ly94, Ncr1, Natural cytotoxicity triggering receptor 1, Activating receptor 1, Lymphocyte antigen 94, Natural killer cell p46-related protein, mAR-1, NK-p46, NKp46, mNKp46

5 Images
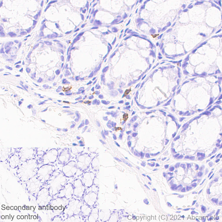
Immunohistochemistry (Formalin/PFA-fixed paraffin-embedded sections) - Anti-NCR1/NKp46 antibody [mNCR1.05] - BSA and Azide free (AB283517)
  • IHC-P

Lab

Immunohistochemistry (Formalin/PFA-fixed paraffin-embedded sections) - Anti-NCR1/NKp46 antibody [mNCR1.05] - BSA and Azide free (AB283517)

This data was developed using ab283505 the same antibody clone in a different buffer formulation.

Immunohistochemical analysis of paraffin-embedded Mouse colon tissue labeling NCR1 with ab283505 at 100 (10.19 ug/ml) dilution followed by a ready to use LeicaDS9800 (Bond® Polymer Refine Detection) . Positive staining in mouse colon.The section was incubated with ab283505 for 30 mins at room temperature and followed by mouse specific IgG antibody (ab125913) for 8 mins.The immunostaining was performed on a Leica Biosystems BOND® RX instrument Counterstained with Hematoxylin.

Secondary antibody only control : Secondary antibody is a ready to use LeicaDS9800 (Bond® Polymer Refine Detection) .

Heat mediated antigen retrieval with Citrate buffer (pH 6.0, epitope retrieval solution 1) for 20 mins

Immunohistochemistry (Formalin/PFA-fixed paraffin-embedded sections) - Anti-NCR1/NKp46 antibody [mNCR1.05] - BSA and Azide free (AB283517)
  • IHC-P

Lab

Immunohistochemistry (Formalin/PFA-fixed paraffin-embedded sections) - Anti-NCR1/NKp46 antibody [mNCR1.05] - BSA and Azide free (AB283517)

This data was developed using ab283505 the same antibody clone in a different buffer formulation.

Immunohistochemical analysis of paraffin-embedded Rat spleen tissue labeling NCR1 with ab283505 at 100 (10.19 ug/ml) dilution followed by a ready to use LeicaDS9800 (Bond® Polymer Refine Detection) . Positive staining in rat spleen.The section was incubated with ab283505 for 30 mins at room temperature and followed by mouse specific IgG antibody (ab125913) for 8 mins.The immunostaining was performed on a Leica Biosystems BOND® RX instrument Counterstained with Hematoxylin.

Secondary antibody only control : Secondary antibody is a ready to use LeicaDS9800 (Bond® Polymer Refine Detection) .

Heat mediated antigen retrieval with Citrate buffer (pH 6.0, epitope retrieval solution 1) for 20 mins

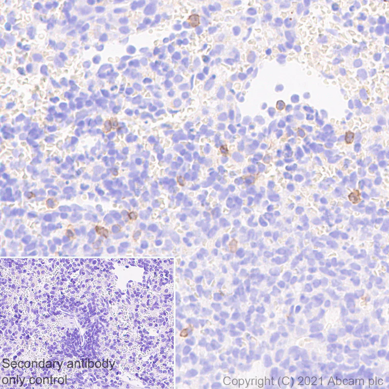
Immunohistochemistry (Formalin/PFA-fixed paraffin-embedded sections) - Anti-NCR1/NKp46 antibody [mNCR1.05] - BSA and Azide free (AB283517)
  • IHC-P

Lab

Immunohistochemistry (Formalin/PFA-fixed paraffin-embedded sections) - Anti-NCR1/NKp46 antibody [mNCR1.05] - BSA and Azide free (AB283517)

This data was developed using ab283505 the same antibody clone in a different buffer formulation.

Immunohistochemical analysis of paraffin-embedded Mouse spleen tissue labeling NCR1 with ab283505 at 100 (10.19 ug/ml) dilution followed by a ready to use LeicaDS9800 (Bond® Polymer Refine Detection). Positive staining in mouse spleen.The section was incubated with ab283505 for 30 mins at room temperature and followed by mouse specific IgG antibody (ab125913) for 8 mins. The immunostaining was performed on a Leica Biosystems BOND® RX instrument Counterstained with Hematoxylin.

Secondary antibody only control : Secondary antibody is a ready to use LeicaDS9800 (Bond® Polymer Refine Detection) .

Heat mediated antigen retrieval with Citrate buffer (pH 6.0, epitope retrieval solution 1) for 20 mins

Immunohistochemistry (Formalin/PFA-fixed paraffin-embedded sections) - Anti-NCR1/NKp46 antibody [mNCR1.05] - BSA and Azide free (AB283517)
  • IHC-P

Lab

Immunohistochemistry (Formalin/PFA-fixed paraffin-embedded sections) - Anti-NCR1/NKp46 antibody [mNCR1.05] - BSA and Azide free (AB283517)

This data was developed using ab283505 the same antibody clone in a different buffer formulation.

Immunohistochemical analysis of paraffin-embedded Rat lung tissue labeling NCR1 with ab283505 at 100 (10.19 ug/ml) dilution followed by a ready to use LeicaDS9800 (Bond® Polymer Refine Detection). Positive staining in rat lung.The section was incubated with ab283505 for 30 mins at room temperature and followed by mouse specific IgG antibody (ab125913) for 8 mins. The immunostaining was performed on a Leica Biosystems BOND® RX instrument Counterstained with Hematoxylin.

Secondary antibody only control : Secondary antibody is a ready to use LeicaDS9800 (Bond® Polymer Refine Detection) .

Heat mediated antigen retrieval with Citrate buffer (pH 6.0, epitope retrieval solution 1) for 20 mins

ELISA - Anti-NCR1/NKp46 antibody [mNCR1.05] - BSA and Azide free (AB283517)
  • ELISA

Lab

ELISA - Anti-NCR1/NKp46 antibody [mNCR1.05] - BSA and Azide free (AB283517)

This data was developed using ab283505 the same antibody clone in a different buffer formulation.

ELISA analysis using ab283505 at a range of 0-500 ng/ml followed by a Alkaline Phosphatase-conjugated AffiniPure Goat Anti-Mouse IgG (H+L)at 1/1000 dilution. Antigen concentration : 1000 ng/ml.

Antigens : Mouse NKp46/NCR1 Fc Chimera Protein.

Key facts

Host species

Mouse

Clonality

Monoclonal

Clone number

mNCR1.05

Isotype

IgG

Light chain type

kappa

Carrier free

Yes

Reacts with

Mouse, Rat

Applications

IHC-P, ELISA

applications

Reactivity data

{ "title": "Reactivity Data", "filters": { "stats": ["", "Species", "Dilution Info", "Notes"], "tabs": { "all-applications": {"fullname" : "All Applications", "shortname": "All Applications"}, "IHCP" : {"fullname" : "Immunohistochemistry (Formalin/PFA-fixed paraffin-embedded sections)", "shortname":"IHC-P"}, "FlowCyt" : {"fullname" : "Flow Cytometry", "shortname":"Flow Cyt"}, "ELISA" : {"fullname" : "ELISA", "shortname":"ELISA"}, "WB" : {"fullname" : "Western blot", "shortname":"WB"} }, "product-promise": { "all": "all", "testedAndGuaranteed": "tested", "guaranteed": "expected", "predicted": "predicted", "notRecommended": "not-recommended" } }, "values": { "Human": { "IHCP-species-checked": "notRecommended", "IHCP-species-dilution-info": "", "IHCP-species-notes": "<p></p>", "FlowCyt-species-checked": "notRecommended", "FlowCyt-species-dilution-info": "", "FlowCyt-species-notes": "", "ELISA-species-checked": "notRecommended", "ELISA-species-dilution-info": "", "ELISA-species-notes": "", "WB-species-checked": "notRecommended", "WB-species-dilution-info": "", "WB-species-notes": "<p></p>" }, "Mouse": { "IHCP-species-checked": "testedAndGuaranteed", "IHCP-species-dilution-info": "", "IHCP-species-notes": "<p></p>", "FlowCyt-species-checked": "notRecommended", "FlowCyt-species-dilution-info": "", "FlowCyt-species-notes": "<p></p>", "ELISA-species-checked": "testedAndGuaranteed", "ELISA-species-dilution-info": "", "ELISA-species-notes": "<p></p>", "WB-species-checked": "notRecommended", "WB-species-dilution-info": "", "WB-species-notes": "<p></p>" }, "Rat": { "IHCP-species-checked": "testedAndGuaranteed", "IHCP-species-dilution-info": "", "IHCP-species-notes": "<p></p>", "FlowCyt-species-checked": "notRecommended", "FlowCyt-species-dilution-info": "", "FlowCyt-species-notes": "<p></p>", "ELISA-species-checked": "guaranteed", "ELISA-species-dilution-info": "", "ELISA-species-notes": "", "WB-species-checked": "notRecommended", "WB-species-dilution-info": "", "WB-species-notes": "<p></p>" } } }

Product details

ab283517 is the carrier-free version of ab283505.

What are the advantages of a recombinant monoclonal antibody?
This product is a recombinant monoclonal antibody, which offers several advantages including:

  • - High batch-to-batch consistency and reproducibility
  • - Improved sensitivity and specificity
  • - Long-term security of supply
  • - Animal-free batch production

For more information, read more on recombinant antibodies.

Want a custom formulation?
This antibody clone is manufactured by Abcam. If you require a custom buffer formulation or conjugation for your experiments, please contact orders@abcam.com

Conjugation ready
Our carrier-free antibodies are typically supplied in a PBS-only formulation, purified and free of BSA, sodium azide and glycerol. This conjugation-ready format is designed for use with fluorochromes, metal isotopes, oligonucleotides, and enzymes, which makes them ideal for antibody labelling, functional and cell-based assays, flow-based assays (e.g. mass cytometry) and Multiplex Imaging applications.

Use our conjugation kits for antibody conjugates that are ready-to-use in as little as 20 minutes with 1 minute hands-on-time and 100% antibody recovery: available for fluorescent dyes, HRP, biotin and gold.

Compatibility
This product is compatible with the Maxpar® Antibody Labeling Kit from Fluidigm, without the need for antibody preparation. Maxpar® is a trademark of Fluidigm Canada Inc.

Properties and storage information

Form
Liquid
Purification technique
Affinity purification Protein A
Storage buffer
pH: 7.2 - 7.4 Constituents: 100% PBS
Shipped at conditions
Blue Ice
Appropriate short-term storage conditions
+4°C
Appropriate long-term storage conditions
+4°C
Storage information
Do Not Freeze

Supplementary information

This supplementary information is collated from multiple sources and compiled automatically.

NCR1 also known as NKp46 is a receptor mainly expressed on the surface of natural killer (NK) cells. Its primary role involves recognizing and binding to ligands present on target cells including tumor cells and virus-infected cells. NCR1 initiates the activation of NK cells leading to the destruction of these abnormal cells. The NCR1 protein has a molecular weight of approximately 46 kDa and is a part of the immunoglobulin superfamily. NCR1 is mainly expressed in the immune system specifically on NK cells which are an important component of the innate immune response.
Biological function summary

The function of NCR1 involves the recognition of stressed transformed or infected cells marking them for elimination by NK cells. It does not typically function as a part of a complex; rather it serves a somewhat autonomous role in cell signaling. However its interaction with other receptors on NK cells including DAP12 enhances its signaling capabilities. Through the activation of cascades NCR1 promotes the release of cytotoxic granules and the production of cytokines therefore mediating the immune response.

Pathways

NCR1 plays a significant role in the regulation of immune surveillance pathways. It is involved in the recognition and elimination pathways that modulate the immune response against infected or cancerous cells. NK cells with NCR1's involvement interact with receptors like NKG2D adjusting the NK cell's cytotoxic activity. These interactions coordinate the broader immune response important for innate immunity effectively bridging innate and adaptive immunity by influencing other immune cells.

NCR1 has been implicated in cancer and infectious diseases. In cancer altered expression or dysfunction of NCR1 may contribute to the evasion of immune surveillance by tumor cells potentially leading to tumor progression. Studies have shown reduced NKp46 expression in some cancerous states linking it to poor prognosis. In infectious diseases NCR1 plays a role in targeting virus-infected cells and its dysfunction can result in reduced effectiveness in clearing viral infections. Interactions with viral envelope proteins can interfere with NCR1 activity exemplifying its importance in antiviral defense mechanisms.

Product protocols

For this product, it's our understanding that no specific protocols are required. You can visit:

Target data

Cytotoxicity-activating receptor that may contribute to the increased efficiency of activated natural killer (NK) cells to mediate tumor cell lysis.
See full target information Ncr1

Publications (1)

Recent publications for all applications. Explore the full list and refine your search

Journal for immunotherapy of cancer 12: PubMed38724465

2024

CD276 regulates the immune escape of esophageal squamous cell carcinoma through CXCL1-CXCR2 induced NETs.

Applications

Unspecified application

Species

Unspecified reactive species

Gan Xiong,Zhi Chen,Qianwen Liu,Fang Peng,Caihua Zhang,Maosheng Cheng,Rongsong Ling,Shuang Chen,Yu Liang,Demeng Chen,Qimin Zhou
View all publications

Product promise

We are committed to supporting your work with high-quality reagents, and we're here for you every step of the way. In the unlikely event that one of our products does not perform as expected, you're protected by our Product Promise.
For full details, please see our Terms & Conditions

Please note: All products are 'FOR RESEARCH USE ONLY. NOT FOR USE IN DIAGNOSTIC OR THERAPEUTIC PROCEDURES'.

For licensing inquiries, please contact partnerships@abcam.com