JavaScript is disabled in your browser. Please enable JavaScript to view this website.
AB226082

Anti-NDRG1 antibody [EPR5593] - BSA and Azide free

  • BOND RX™ Validated
  • RabMAb
  • Recombinant
  • KO Validated
  • What is this?

3

(1 Review)

|

(0 Publication)

Rabbit Recombinant Monoclonal NDRG1 antibody. Carrier free. Suitable for IHC-P, IP, Flow Cyt (Intra), WB, ICC/IF and reacts with Human, Mouse, Rat samples.

View Alternative Names

CAP43, DRG1, RTP, NDRG1, Protein NDRG1, Differentiation-related gene 1 protein, N-myc downstream-regulated gene 1 protein, Nickel-specific induction protein Cap43, Reducing agents and tunicamycin-responsive protein, Rit42, DRG-1

10 Images
Immunohistochemistry (Formalin/PFA-fixed paraffin-embedded sections) - Anti-NDRG1 antibody [EPR5593] - BSA and Azide free (AB226082)
  • IHC-P

Lab

Immunohistochemistry (Formalin/PFA-fixed paraffin-embedded sections) - Anti-NDRG1 antibody [EPR5593] - BSA and Azide free (AB226082)

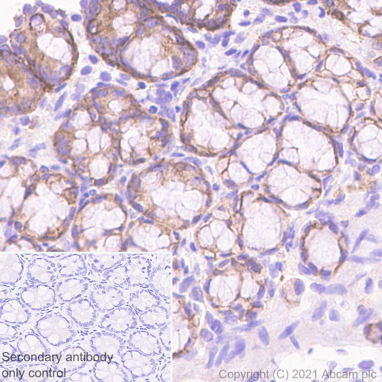
This data was developed using ab124689, the same antibody clone in a different buffer formulation. Immunohistochemical analysis of Paraffin-embedded sections human liver carcinoma tissue labelling NDRG1 with ab124689 at 1/1000 dilution, followed by a ready to use secondary Rabbit specific IHC polymer detection kit HRP/DAB (ab209101). Staining on human liver carcinoma tissue is observed. Counter stained with Haematoxylin. Secondary antibody only control : Used PBS instead of primary antibody, secondary antibody is ready to use Rabbit specific IHC polymer detection kit HRP/DAB (ab209101). Heat mediated antigen retrieval using Bond™ Epitope Retrieval Solution 2 (pH 9.0). The immunostaining was performed on a Leica Biosystems BOND® RX instrument.

Immunohistochemistry (Formalin/PFA-fixed paraffin-embedded sections) - Anti-NDRG1 antibody [EPR5593] - BSA and Azide free (AB226082)
  • IHC-P

Unknown

Immunohistochemistry (Formalin/PFA-fixed paraffin-embedded sections) - Anti-NDRG1 antibody [EPR5593] - BSA and Azide free (AB226082)

ab124689 showing positive staining in human normal kidney tissue.

Perform heat mediated antigen retrieval with citrate buffer pH 6 before commencing with IHC staining protocol.

This data was developed using the same antibody clone in a different buffer formulation containing PBS, BSA, glycerol, and sodium azide (ab124689).

Immunohistochemistry (Formalin/PFA-fixed paraffin-embedded sections) - Anti-NDRG1 antibody [EPR5593] - BSA and Azide free (AB226082)
  • IHC-P

Unknown

Immunohistochemistry (Formalin/PFA-fixed paraffin-embedded sections) - Anti-NDRG1 antibody [EPR5593] - BSA and Azide free (AB226082)

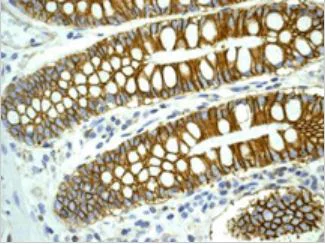
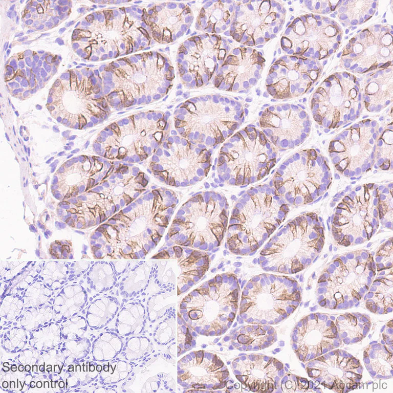
ab124689 at 1/100 dilution, staining NDRG1 in Formalin fixed Paraffin-embedded human colon tissue by Immunohistochemistry.

Perform heat mediated antigen retrieval with citrate buffer pH 6 before commencing with IHC staining protocol.

This data was developed using the same antibody clone in a different buffer formulation containing PBS, BSA, glycerol, and sodium azide (ab124689).

Immunohistochemistry (Formalin/PFA-fixed paraffin-embedded sections) - Anti-NDRG1 antibody [EPR5593] - BSA and Azide free (AB226082)
  • IHC-P

Lab

Immunohistochemistry (Formalin/PFA-fixed paraffin-embedded sections) - Anti-NDRG1 antibody [EPR5593] - BSA and Azide free (AB226082)

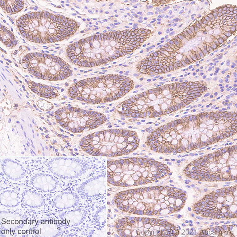
This data was developed using ab124689, the same antibody clone in a different buffer formulation. Immunohistochemical analysis of Paraffin-embedded sections human colon tissue labelling NDRG1 with ab124689 at 1/1000 dilution, followed by a ready to use secondary Rabbit specific IHC polymer detection kit HRP/DAB (ab209101). Staining on human colon tissue is observed. Counter stained with Haematoxylin. Secondary antibody only control : Used PBS instead of primary antibody, secondary antibody is ready to use Rabbit specific IHC polymer detection kit HRP/DAB (ab209101). Heat mediated antigen retrieval using Bond™ Epitope Retrieval Solution 2 (pH 9.0). The immunostaining was performed on a Leica Biosystems BOND® RX instrument.

Immunocytochemistry/ Immunofluorescence - Anti-NDRG1 antibody [EPR5593] - BSA and Azide free (AB226082)
  • ICC/IF

Lab

Immunocytochemistry/ Immunofluorescence - Anti-NDRG1 antibody [EPR5593] - BSA and Azide free (AB226082)

This data was developed using ab124689, the same antibody clone in a different buffer formulation. Immunocytochemistry/ Immunofluorescence analysis of Jurkat (Human T cell leukemia T lymphocyte) cells labeling NDRG1 using ab124689. The cells were fixed with 100% Methanol then permeabilized with 0.1% Triton X-100. The cells were then incubated with ab124689 at 1 : 50 dilution followed by a further incubation with a Goat anti rabbit IgG (Alexa Fluor® 488, ab150077) at 2 μg/ml (shown in green). Nuclear DNA was labelled in blue with DAPI. Cells were counterstained using ab195889 Anti-alpha Tubulin antibody [DM1A] - Microtubule Marker (Alexa Fluor® 594) at 1 : 200 dilution (shown in red). Secondary antibody only control : PBS instead of the primary antibody.

Flow Cytometry (Intracellular) - Anti-NDRG1 antibody [EPR5593] - BSA and Azide free (AB226082)
  • Flow Cyt (Intra)

Lab

Flow Cytometry (Intracellular) - Anti-NDRG1 antibody [EPR5593] - BSA and Azide free (AB226082)

This data was developed using ab124689, the same antibody clone in a different buffer formulation. Intracellular Flow Cytometry analysis of HeLa (Human cervix adenocarcinoma epithelial cell) cells labeling NDRG1 with purified ab124689 at 1/20 dilution (5 ug/ml) (Red). Cells were fixed with 4% Paraformaldehyde and permeabilised with 90% Methanol. A Goat anti rabbit IgG (Alexa Fluor® 488, ab150081) (1/2000 dilution) was used as the secondary antibody. Rabbit monoclonal IgG (Black) was used as a isotype control. Cell without incubation with primary antibody and secondary antibody (Blue) were used as unlabeled control.

Immunoprecipitation - Anti-NDRG1 antibody [EPR5593] - BSA and Azide free (AB226082)
  • IP

Lab

Immunoprecipitation - Anti-NDRG1 antibody [EPR5593] - BSA and Azide free (AB226082)

Lane 1 (input) : HeLa (Human cervix adenocarcinoma epithelial cell) whole cell lysate 10μg.

Lane 2 (+) : ab124689 & HeLa whole cell lysate
Lane 3 (-) : Rabbit monoclonal IgG (ab172730) instead of ab124689 in HeLa whole cell lysate

ab124689 (Purified) at 1/50 dilution (20μg/ml) immunoprecipitating NDRG1 in HeLa whole cell lysate. For western blotting, ab124689 at 1/500 dilution (1.86 μg/mL) and VeriBlot for IP Detection Reagent (HRP) (ab131366) was used for detection at 1/1000 dilution.

Blocking and diluting buffer : 5% NFDM /TBST .

This data was developed using the same antibody clone in a different buffer formulation containing PBS, BSA, glycerol, and sodium azide (ab124689).

All lanes:

Immunoprecipitation - Anti-NDRG1 antibody [EPR5593] (<a href='/en-us/products/primary-antibodies/ndrg1-antibody-epr5593-ab124689'>ab124689</a>)

Predicted band size: 43 kDa

false

Immunohistochemistry (Formalin/PFA-fixed paraffin-embedded sections) - Anti-NDRG1 antibody [EPR5593] - BSA and Azide free (AB226082)
  • IHC-P

Lab

Immunohistochemistry (Formalin/PFA-fixed paraffin-embedded sections) - Anti-NDRG1 antibody [EPR5593] - BSA and Azide free (AB226082)

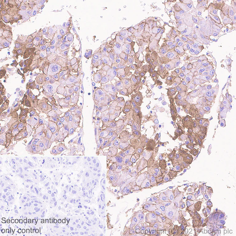
This data was developed using ab124689, the same antibody clone in a different buffer formulation. Immunohistochemical analysis of Paraffin-embedded sections rat colon tissue labelling NDRG1 with ab124689 at 1/1000 dilution, followed by a ready to use secondary Rabbit specific IHC polymer detection kit HRP/DAB (ab209101). Staining on rat colon tissue is observed. Counter stained with Haematoxylin. Secondary antibody only control : Used PBS instead of primary antibody, secondary antibody is ready to use Rabbit specific IHC polymer detection kit HRP/DAB (ab209101). Heat mediated antigen retrieval using Bond™ Epitope Retrieval Solution 2 (pH 9.0). The immunostaining was performed on a Leica Biosystems BOND® RX instrument.

Immunohistochemistry (Formalin/PFA-fixed paraffin-embedded sections) - Anti-NDRG1 antibody [EPR5593] - BSA and Azide free (AB226082)
  • IHC-P

Lab

Immunohistochemistry (Formalin/PFA-fixed paraffin-embedded sections) - Anti-NDRG1 antibody [EPR5593] - BSA and Azide free (AB226082)

This data was developed using ab124689, the same antibody clone in a different buffer formulation. Immunohistochemical analysis of Paraffin-embedded sections mouse colon tissue labelling NDRG1 with ab124689 at 1/1000 dilution, followed by a ready to use secondary Rabbit specific IHC polymer detection kit HRP/DAB (ab209101). Staining on mouse colon tissue is observed. Counter stained with Haematoxylin. Secondary antibody only control : Used PBS instead of primary antibody, secondary antibody is ready to use Rabbit specific IHC polymer detection kit HRP/DAB (ab209101). Heat mediated antigen retrieval using Bond™ Epitope Retrieval Solution 2 (pH 9.0). The immunostaining was performed on a Leica Biosystems BOND® RX instrument.

Western blot - Anti-NDRG1 antibody [EPR5593] - BSA and Azide free (AB226082)
  • WB

Lab

Western blot - Anti-NDRG1 antibody [EPR5593] - BSA and Azide free (AB226082)

This data was developed using ab124689, the same antibody clone in a different buffer formulation. Blocking and diluting buffer and concentration : 5% NFDM/TBST. ab181602 was used as GAPDH loading control.

All lanes:

Western blot - Anti-NDRG1 antibody [EPR5593] (<a href='/en-us/products/primary-antibodies/ndrg1-antibody-epr5593-ab124689'>ab124689</a>) at 1/10000 dilution

Lane 1:

HeLa (Human cervix adenocarcinoma epithelial cell) whole cell lysate at 20 µg

Lane 2:

Mouse brain lysate at 20 µg

Lane 3:

Rat brain lysate at 20 µg

Secondary

All lanes:

Western blot - Goat Anti-Rabbit IgG H&L (HRP) (<a href='/en-us/products/secondary-antibodies/goat-rabbit-igg-h-l-hrp-ab97051'>ab97051</a>) at 1/20000 dilution

Predicted band size: 43 kDa

Observed band size: 48 kDa

false

Key facts

Host species

Rabbit

Clonality

Monoclonal

Clone number

EPR5593

Isotype

IgG

Carrier free

Yes

Reacts with

Mouse, Rat, Human

Applications

WB, IHC-P, IP, ICC/IF, Flow Cyt (Intra)

applications

Immunogen

The exact immunogen used to generate this antibody is proprietary information.

Reactivity data

{ "title": "Reactivity Data", "filters": { "stats": ["", "Species", "Dilution Info", "Notes"], "tabs": { "all-applications": {"fullname" : "All Applications", "shortname": "All Applications"}, "IHCP" : {"fullname" : "Immunohistochemistry (Formalin/PFA-fixed paraffin-embedded sections)", "shortname":"IHC-P"}, "IP" : {"fullname" : "Immunoprecipitation", "shortname":"IP"}, "FlowCytIntra" : {"fullname" : "Flow Cytometry (Intracellular)", "shortname":"Flow Cyt (Intra)"}, "WB" : {"fullname" : "Western blot", "shortname":"WB"}, "ICCIF" : {"fullname" : "Immunocytochemistry/ Immunofluorescence", "shortname":"ICC/IF"} }, "product-promise": { "all": "all", "testedAndGuaranteed": "tested", "guaranteed": "expected", "predicted": "predicted", "notRecommended": "not-recommended" } }, "values": { "Human": { "IHCP-species-checked": "testedAndGuaranteed", "IHCP-species-dilution-info": "", "IHCP-species-notes": "<p></p>", "IP-species-checked": "testedAndGuaranteed", "IP-species-dilution-info": "", "IP-species-notes": "<p></p>", "FlowCytIntra-species-checked": "testedAndGuaranteed", "FlowCytIntra-species-dilution-info": "", "FlowCytIntra-species-notes": "<p></p>", "WB-species-checked": "testedAndGuaranteed", "WB-species-dilution-info": "", "WB-species-notes": "<p></p>", "ICCIF-species-checked": "testedAndGuaranteed", "ICCIF-species-dilution-info": "", "ICCIF-species-notes": "<p></p>" }, "Mouse": { "IHCP-species-checked": "testedAndGuaranteed", "IHCP-species-dilution-info": "", "IHCP-species-notes": "<p></p>", "IP-species-checked": "guaranteed", "IP-species-dilution-info": "", "IP-species-notes": "", "FlowCytIntra-species-checked": "guaranteed", "FlowCytIntra-species-dilution-info": "", "FlowCytIntra-species-notes": "", "WB-species-checked": "testedAndGuaranteed", "WB-species-dilution-info": "", "WB-species-notes": "<p></p>", "ICCIF-species-checked": "guaranteed", "ICCIF-species-dilution-info": "", "ICCIF-species-notes": "" }, "Rat": { "IHCP-species-checked": "testedAndGuaranteed", "IHCP-species-dilution-info": "", "IHCP-species-notes": "<p></p>", "IP-species-checked": "guaranteed", "IP-species-dilution-info": "", "IP-species-notes": "", "FlowCytIntra-species-checked": "guaranteed", "FlowCytIntra-species-dilution-info": "", "FlowCytIntra-species-notes": "", "WB-species-checked": "testedAndGuaranteed", "WB-species-dilution-info": "", "WB-species-notes": "<p></p>", "ICCIF-species-checked": "guaranteed", "ICCIF-species-dilution-info": "", "ICCIF-species-notes": "" } } }

Product details

ab226082 is the carrier-free version of ab124689.

Conjugation ready
Our carrier-free antibodies are typically supplied in a PBS-only formulation, purified and free of BSA, sodium azide and glycerol. This conjugation-ready format is designed for use with fluorochromes, metal isotopes, oligonucleotides, and enzymes, which makes them ideal for antibody labelling, functional and cell-based assays, flow-based assays (e.g. mass cytometry) and Multiplex Imaging applications.

Use our conjugation kits for antibody conjugates that are ready-to-use in as little as 20 minutes with 1 minute hands-on-time and 100% antibody recovery: available for fluorescent dyes, HRP, biotin and gold.

Compatibility
This product is compatible with the Maxpar® Antibody Labeling Kit from Fluidigm, without the need for antibody preparation. Maxpar® is a trademark of Fluidigm Canada Inc.

Properties and storage information

Form
Liquid
Purification technique
Affinity purification
Storage buffer
pH: 7.2 - 7.4 Constituents: PBS
Shipped at conditions
Blue Ice
Appropriate short-term storage conditions
+4°C
Appropriate long-term storage conditions
+4°C
Storage information
Do Not Freeze

Supplementary information

This supplementary information is collated from multiple sources and compiled automatically.

NDRG1 or N-Myc downstream-regulated gene 1 also known as Cap43 Drg-1 and RTP is a protein that plays key roles in various cellular processes. It has a molecular mass of approximately 43 kDa. NDRG1 is ubiquitously expressed with higher levels in the brain heart liver and kidney. The protein also exhibits a significant presence in cytoplasm but can translocate to the nucleus depending on the cellular context and stimuli.
Biological function summary

NDRG1 functions in cell growth regulation stress response and apoptosis influencing differentiation and potentially acting as a tumor suppressor. It does not directly form part of a larger protein complex but interacts with other proteins to mediate its effects. Its involvement in cellular homeostasis places it as a significant player in maintaining normal cell physiology.

Pathways

NDRG1 is involved in the hypoxia and stress response pathways regulating cellular responses to low oxygen and oxidative stress. It interacts with HIF-1α a critical regulator of the cellular response to hypoxia and also modulates PTEN and p53 proteins that are important for cell cycle control and apoptosis. These pathways and interactions reflect its function in cellular regulatory networks.

NDRG1 has associations with cancer and Charcot-Marie-Tooth disease type 4D. In cancer abnormal expression of NDRG1 has been linked to tumor progression and metastasis where it interacts with proteins like E-cadherin to influence cell adhesion and migration. In Charcot-Marie-Tooth disease mutations in the NDRG1 gene disrupt normal nerve function pointing to its importance in peripheral nervous system health.

Product protocols

For this product, it's our understanding that no specific protocols are required. You can visit:

Target data

Stress-responsive protein involved in hormone responses, cell growth, and differentiation. Acts as a tumor suppressor in many cell types. Necessary but not sufficient for p53/TP53-mediated caspase activation and apoptosis. Has a role in cell trafficking, notably of the Schwann cell, and is necessary for the maintenance and development of the peripheral nerve myelin sheath. Required for vesicular recycling of CDH1 and TF. May also function in lipid trafficking. Protects cells from spindle disruption damage. Functions in p53/TP53-dependent mitotic spindle checkpoint. Regulates microtubule dynamics and maintains euploidy.
See full target information NDRG1

Product promise

We are committed to supporting your work with high-quality reagents, and we're here for you every step of the way. In the unlikely event that one of our products does not perform as expected, you're protected by our Product Promise.
For full details, please see our Terms & Conditions

Please note: All products are 'FOR RESEARCH USE ONLY. NOT FOR USE IN DIAGNOSTIC OR THERAPEUTIC PROCEDURES'.

For licensing inquiries, please contact partnerships@abcam.com