JavaScript is disabled in your browser. Please enable JavaScript to view this website.
AB216457

Anti-NDRG1 antibody [EPR5593] - Low endotoxin, Azide free

  • BOND RX™ Validated
  • RabMAb
  • Recombinant
  • KO Validated
  • What is this?

Be the first to review this product! Submit a review

|

(1 Publication)

Rabbit Recombinant Monoclonal NDRG1 antibody. Carrier free. Suitable for IHC-P, ICC/IF, IP, Flow Cyt (Intra), WB and reacts with Human, Mouse, Rat samples. Cited in 1 publication.

View Alternative Names

CAP43, DRG1, RTP, NDRG1, Protein NDRG1, Differentiation-related gene 1 protein, N-myc downstream-regulated gene 1 protein, Nickel-specific induction protein Cap43, Reducing agents and tunicamycin-responsive protein, Rit42, DRG-1

15 Images
Immunocytochemistry/ Immunofluorescence - Anti-NDRG1 antibody [EPR5593] - Low endotoxin, Azide free (AB216457)
  • ICC/IF

Lab

Immunocytochemistry/ Immunofluorescence - Anti-NDRG1 antibody [EPR5593] - Low endotoxin, Azide free (AB216457)

This data was developed using ab124689, the same antibody clone in a different buffer formulation. Immunocytochemistry/ Immunofluorescence analysis of Jurkat (Human T cell leukemia T lymphocyte) cells labeling NDRG1 using ab124689. The cells were fixed with 100% Methanol then permeabilized with 0.1% Triton X-100. The cells were then incubated with ab124689 at 1 : 50 dilution followed by a further incubation with a Goat anti rabbit IgG (Alexa Fluor® 488, ab150077) at 2 μg/ml (shown in green). Nuclear DNA was labelled in blue with DAPI. Cells were counterstained using ab195889 Anti-alpha Tubulin antibody [DM1A] - Microtubule Marker (Alexa Fluor® 594) at 1 : 200 dilution (shown in red). Secondary antibody only control : PBS instead of the primary antibody.

Immunohistochemistry (Formalin/PFA-fixed paraffin-embedded sections) - Anti-NDRG1 antibody [EPR5593] - Low endotoxin, Azide free (AB216457)
  • IHC-P

Unknown

Immunohistochemistry (Formalin/PFA-fixed paraffin-embedded sections) - Anti-NDRG1 antibody [EPR5593] - Low endotoxin, Azide free (AB216457)

This IHC data was generated using the same anti-NDRG1 antibody clone, EPR5593, in a different buffer formulation (cat# ab124689).

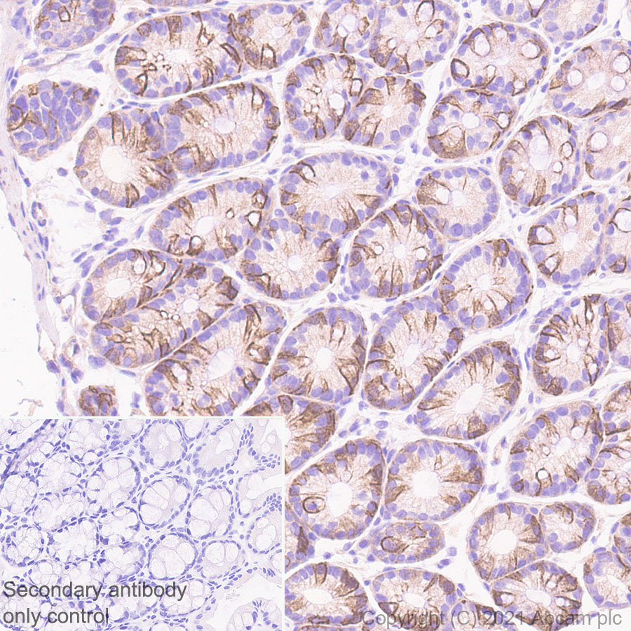
ab124689 at 1/100 dilution, staining NDRG1 in Formalin fixed Paraffin-embedded Human colon tissue by Immunohistochemistry.

Heat mediated antigen retrieval was performed with citrate buffer pH 6 before commencing with IHC staining protocol.

Immunocytochemistry/ Immunofluorescence - Anti-NDRG1 antibody [EPR5593] - Low endotoxin, Azide free (AB216457)
  • ICC/IF

Unknown

Immunocytochemistry/ Immunofluorescence - Anti-NDRG1 antibody [EPR5593] - Low endotoxin, Azide free (AB216457)

This ICC/IF data was generated using the same anti-NDRG1 antibody clone, EPR5593, in a different buffer formulation (cat# ab124689).

ab124689, at 1/100 dilution, staining NDRG1 in HeLa cells by Immunofluorescence.

Immunohistochemistry (Formalin/PFA-fixed paraffin-embedded sections) - Anti-NDRG1 antibody [EPR5593] - Low endotoxin, Azide free (AB216457)
  • IHC-P

Unknown

Immunohistochemistry (Formalin/PFA-fixed paraffin-embedded sections) - Anti-NDRG1 antibody [EPR5593] - Low endotoxin, Azide free (AB216457)

ab124689 showing positive staining in Normal kidney tissue.

This data was developed using the same antibody clone in a different buffer formulation containing PBS, BSA, glycerol, and sodium azide (ab124689).

Heat mediated antigen retrieval was performed with citrate buffer pH 6 before commencing with IHC staining protocol.

Immunohistochemistry (Formalin/PFA-fixed paraffin-embedded sections) - Anti-NDRG1 antibody [EPR5593] - Low endotoxin, Azide free (AB216457)
  • IHC-P

Lab

Immunohistochemistry (Formalin/PFA-fixed paraffin-embedded sections) - Anti-NDRG1 antibody [EPR5593] - Low endotoxin, Azide free (AB216457)

This data was developed using ab124689, the same antibody clone in a different buffer formulation. Immunohistochemical analysis of Paraffin-embedded sections human colon tissue labelling NDRG1 with ab124689 at 1/1000 dilution, followed by a ready to use secondary Rabbit specific IHC polymer detection kit HRP/DAB (ab209101). Staining on human colon tissue is observed. Counter stained with Haematoxylin. Secondary antibody only control : Used PBS instead of primary antibody, secondary antibody is ready to use Rabbit specific IHC polymer detection kit HRP/DAB (ab209101). Heat mediated antigen retrieval using Bond™ Epitope Retrieval Solution 2 (pH 9.0). The immunostaining was performed on a Leica Biosystems BOND® RX instrument.

Immunohistochemistry (Formalin/PFA-fixed paraffin-embedded sections) - Anti-NDRG1 antibody [EPR5593] - Low endotoxin, Azide free (AB216457)
  • IHC-P

Lab

Immunohistochemistry (Formalin/PFA-fixed paraffin-embedded sections) - Anti-NDRG1 antibody [EPR5593] - Low endotoxin, Azide free (AB216457)

This data was developed using ab124689, the same antibody clone in a different buffer formulation. Immunohistochemical analysis of Paraffin-embedded sections human liver carcinoma tissue labelling NDRG1 with ab124689 at 1/1000 dilution, followed by a ready to use secondary Rabbit specific IHC polymer detection kit HRP/DAB (ab209101). Staining on human liver carcinoma tissue is observed. Counter stained with Haematoxylin. Secondary antibody only control : Used PBS instead of primary antibody, secondary antibody is ready to use Rabbit specific IHC polymer detection kit HRP/DAB (ab209101). Heat mediated antigen retrieval using Bond™ Epitope Retrieval Solution 2 (pH 9.0). The immunostaining was performed on a Leica Biosystems BOND® RX instrument.

Flow Cytometry (Intracellular) - Anti-NDRG1 antibody [EPR5593] - Low endotoxin, Azide free (AB216457)
  • Flow Cyt (Intra)

Lab

Flow Cytometry (Intracellular) - Anti-NDRG1 antibody [EPR5593] - Low endotoxin, Azide free (AB216457)

This data was developed using ab124689, the same antibody clone in a different buffer formulation. Intracellular Flow Cytometry analysis of HeLa (Human cervix adenocarcinoma epithelial cell) cells labeling NDRG1 with purified ab124689 at 1/20 dilution (5 ug/ml) (Red). Cells were fixed with 4% Paraformaldehyde and permeabilised with 90% Methanol. A Goat anti rabbit IgG (Alexa Fluor® 488, ab150081) (1/2000 dilution) was used as the secondary antibody. Rabbit monoclonal IgG (Black) was used as a isotype control. Cell without incubation with primary antibody and secondary antibody (Blue) were used as unlabeled control.

Immunocytochemistry/ Immunofluorescence - Anti-NDRG1 antibody [EPR5593] - Low endotoxin, Azide free (AB216457)
  • ICC/IF

Lab

Immunocytochemistry/ Immunofluorescence - Anti-NDRG1 antibody [EPR5593] - Low endotoxin, Azide free (AB216457)

Clone EPR5593 (ab216457) has been successfully conjugated by Abcam. This image was generated using Anti-NDRG1 antibody [EPR5593] (Alexa Fluor® 647). Please refer to ab199471 for protocol details.

ab199471 staining NDRG1 in HeLa cells. The cells were fixed with 4% formaldehyde (10 min), permeabilized with 0.1% Triton X-100 for 5 minutes and then blocked with 1% BSA/10% normal goat serum/0.3M glycine in 0.1% PBS-Tween for 1h. The cells were then incubated overnight at +4°C with ab at a 1/100 dilution (shown in red) and ab195887, Mouse monoclonal to alpha Tubulin (Alexa Fluor® 488), at a 1/250 dilution (shown in green). Nuclear DNA was labelled with DAPI (shown in blue).

Image was taken with a confocal microscope (Leica-Microsystems, TCS SP8).

Immunocytochemistry/ Immunofluorescence - Anti-NDRG1 antibody [EPR5593] - Low endotoxin, Azide free (AB216457)
  • ICC/IF

Lab

Immunocytochemistry/ Immunofluorescence - Anti-NDRG1 antibody [EPR5593] - Low endotoxin, Azide free (AB216457)

Clone EPR5593 (ab216457) has been successfully conjugated by Abcam. This image was generated using Anti-NDRG1 antibody [EPR5593] (Alexa Fluor® 488). Please refer to ab199233 for protocol details.

ab199233 staining NDRG1 in HeLa cells. The cells were fixed with 4% formaldehyde (10 min), permeabilized with 0.1% Triton X-100 for 5 minutes and then blocked with 1% BSA/10% normal goat serum/0.3M glycine in 0.1% PBS-Tween for 1h. The cells were then incubated overnight at +4°C with ab199233 at 1/500 dilution (shown in green) and ab195889, Mouse monoclonal to alpha Tubulin (Alexa Fluor® 594), at 1/250 dilution (shown in red). Nuclear DNA was labelled with DAPI (shown in blue).

Image was taken with a confocal microscope (Leica-Microsystems, TCS SP8).

Immunoprecipitation - Anti-NDRG1 antibody [EPR5593] - Low endotoxin, Azide free (AB216457)
  • IP

Lab

Immunoprecipitation - Anti-NDRG1 antibody [EPR5593] - Low endotoxin, Azide free (AB216457)

Lane 1 (input) : HeLa(Human cervix adenocarcinoma epithelial cell) whole cell lysate 10μg
Lane 2 (+) : ab124689 & HeLa whole cell lysate
Lane 3 (-) : Rabbit monoclonal IgG (ab172730) instead of ab124689 in HeLa whole cell lysate

ab124689 (Purified) at 1 : 500 dilution (1.86 μg/ml) immunoprecipitating NDRG1 in HeLa whole cell lysate. For western blotting, VeriBlot for IP Detection Reagent (HRP) (ab131366), was used for detection at 1/1,000 dilution.

Blocking and diluting buffer : 5% NFDM /TBST .

This data was developed using the same antibody clone in a different buffer formulation containing PBS, BSA, glycerol, and sodium azide (ab124689).

All lanes:

Immunoprecipitation - Anti-NDRG1 antibody [EPR5593] (<a href='/en-us/products/primary-antibodies/ndrg1-antibody-epr5593-ab124689'>ab124689</a>)

Predicted band size: 43 kDa

false

Immunohistochemistry (Formalin/PFA-fixed paraffin-embedded sections) - Anti-NDRG1 antibody [EPR5593] - Low endotoxin, Azide free (AB216457)
  • IHC-P

Lab

Immunohistochemistry (Formalin/PFA-fixed paraffin-embedded sections) - Anti-NDRG1 antibody [EPR5593] - Low endotoxin, Azide free (AB216457)

This data was developed using ab124689, the same antibody clone in a different buffer formulation. Immunohistochemical analysis of Paraffin-embedded sections mouse colon tissue labelling NDRG1 with ab124689 at 1/1000 dilution, followed by a ready to use secondary Rabbit specific IHC polymer detection kit HRP/DAB (ab209101). Staining on mouse colon tissue is observed. Counter stained with Haematoxylin. Secondary antibody only control : Used PBS instead of primary antibody, secondary antibody is ready to use Rabbit specific IHC polymer detection kit HRP/DAB (ab209101). Heat mediated antigen retrieval using Bond™ Epitope Retrieval Solution 2 (pH 9.0). The immunostaining was performed on a Leica Biosystems BOND® RX instrument.

Immunohistochemistry (Formalin/PFA-fixed paraffin-embedded sections) - Anti-NDRG1 antibody [EPR5593] - Low endotoxin, Azide free (AB216457)
  • IHC-P

Lab

Immunohistochemistry (Formalin/PFA-fixed paraffin-embedded sections) - Anti-NDRG1 antibody [EPR5593] - Low endotoxin, Azide free (AB216457)

This data was developed using ab124689, the same antibody clone in a different buffer formulation. Immunohistochemical analysis of Paraffin-embedded sections rat colon tissue labelling NDRG1 with ab124689 at 1/1000 dilution, followed by a ready to use secondary Rabbit specific IHC polymer detection kit HRP/DAB (ab209101). Staining on rat colon tissue is observed. Counter stained with Haematoxylin. Secondary antibody only control : Used PBS instead of primary antibody, secondary antibody is ready to use Rabbit specific IHC polymer detection kit HRP/DAB (ab209101). Heat mediated antigen retrieval using Bond™ Epitope Retrieval Solution 2 (pH 9.0). The immunostaining was performed on a Leica Biosystems BOND® RX instrument.

Western blot - Anti-NDRG1 antibody [EPR5593] - Low endotoxin, Azide free (AB216457)
  • WB

Lab

Western blot - Anti-NDRG1 antibody [EPR5593] - Low endotoxin, Azide free (AB216457)

This data was developed using ab124689, the same antibody clone in a different buffer formulation.

Lanes 1-4 : Merged signal (red and green). Green - ab124689 observed at 43 kDa. Red - loading control ab8245 observed at 36 kDa.

ab124689 Anti-NDRG1 antibody [EPR5593] was shown to specifically react with NDRG1 in wild-type HEK-293T cells. Loss of signal was observed when knockout cell line ab267301 (knockout cell lysate ab257551) was used. Wild-type and NDRG1 knockout samples were subjected to SDS-PAGE. ab124689 and Anti-GAPDH antibody [6C5] - Loading Control (ab8245) were incubated overnight at 4°C at 1 in 1000 dilution and 1 in 20000 dilution respectively. Blots were developed with Goat anti-Rabbit IgG H&L (IRDye® 800CW) preadsorbed (ab216773) and Goat anti-Mouse IgG H&L (IRDye® 680RD) preadsorbed (ab216776) secondary antibodies at 1 in 20000 dilution for 1 hour at room temperature before imaging.

All lanes:

Western blot - Anti-NDRG1 antibody [EPR5593] (<a href='/en-us/products/primary-antibodies/ndrg1-antibody-epr5593-ab124689'>ab124689</a>) at 1/1000 dilution

Lane 1:

Wild-type HEK-293T (Human epithelial cell line from embryonic kidney transformed with large T antigen) whole cell lysate at 20 µg

Lane 2:

NDRG1 knockout HEK-293T (Human epithelial cell line from embryonic kidney transformed with large T antigen) whole cell lysate at 20 µg

Lane 2:

Western blot - Human NDRG1 knockout HEK-293T cell line (<a href='/en-us/products/cell-lines/human-ndrg1-knockout-hek-293t-cell-line-ab267301'>ab267301</a>)

Lane 3:

HeLa (Human epithelial cell line from cervix adenocarcinoma) whole cell lysate at 20 µg

Lane 4:

Jurkat (Human T cell leukemia cell line from peripheral blood) whole cell lysate at 20 µg

Secondary

All lanes:

Western blot - Goat anti-Rabbit IgG H&L (IRDye® 800CW) preadsorbed (<a href='/en-us/products/secondary-antibodies/goat-rabbit-igg-h-l-irdye-800cw-preadsorbed-ab216773'>ab216773</a>) at 1/10000 dilution

Predicted band size: 43 kDa

Observed band size: 43 kDa

false

Western blot - Anti-NDRG1 antibody [EPR5593] - Low endotoxin, Azide free (AB216457)
  • WB

Lab

Western blot - Anti-NDRG1 antibody [EPR5593] - Low endotoxin, Azide free (AB216457)

This data was developed using ab124689, the same antibody clone in a different buffer formulation. Blocking and diluting buffer and concentration : 5% NFDM/TBST. ab181602 was used as GAPDH loading control.

All lanes:

Western blot - Anti-NDRG1 antibody [EPR5593] (<a href='/en-us/products/primary-antibodies/ndrg1-antibody-epr5593-ab124689'>ab124689</a>) at 1/10000 dilution

Lane 1:

HeLa (Human cervix adenocarcinoma epithelial cell) whole cell lysate at 20 µg

Lane 2:

Mouse brain lysate at 20 µg

Lane 3:

Rat brain lysate at 20 µg

Secondary

All lanes:

Western blot - Goat Anti-Rabbit IgG H&L (HRP) (<a href='/en-us/products/secondary-antibodies/goat-rabbit-igg-h-l-hrp-ab97051'>ab97051</a>) at 1/20000 dilution

Predicted band size: 43 kDa

Observed band size: 48 kDa

false

Western blot - Anti-NDRG1 antibody [EPR5593] - Low endotoxin, Azide free (AB216457)
  • WB

Lab

Western blot - Anti-NDRG1 antibody [EPR5593] - Low endotoxin, Azide free (AB216457)

This data was developed using the same antibody clone in a different buffer formulation containing PBS, BSA, glycerol, and sodium azide (ab124689).

Lanes 1 - 4 : Merged signal (red and green). Green - ab124689 observed at 43 kDa. Red - loading control, ab130007, observed at 130 kDa.

ab124689 was shown to recognize in wild-type HEK-293 cells as signal was lost at the expected MW in NDRG1 knockout cells. Additional cross-reactive bands were observed in the wild-type and knockout cells. Wild-type and NDRG1 knockout samples were subjected to SDS-PAGE. ab124689 and ab130007 (Mouse anti-Vinculin loading control) were incubated overnight at 4°C at 1/10000 dilution and 1/20000 dilution respectively. Blots were developed with Goat anti-Rabbit IgG H&L (IRDye® 800CW) preabsorbed ab216773 and Goat anti-Mouse IgG H&L (IRDye® 680RD) preabsorbed ab216776 secondary antibodies at 1/20000 dilution for 1 hour at room temperature before imaging.

Lanes 1 - 4:

Western blot - Anti-NDRG1 antibody [EPR5593] (<a href='/en-us/products/primary-antibodies/ndrg1-antibody-epr5593-ab124689'>ab124689</a>) at 1/10000 dilution

Lane 1:

Western blot - Alexa Fluor® 647 Anti-NDRG1 antibody [EPR5593] (<a href='/en-us/products/primary-antibodies/alexa-fluor-647-ndrg1-antibody-epr5593-ab199471'>ab199471</a>)

Lane 1:

Wild-type HEK-293 (Human epithelial cell line from embryonic kidney) whole cell lysate at 20 µg

Lane 2:

NDRG1 knockout HEK-293 (Human epithelial cell line from embryonic kidney) whole cell lysate at 20 µg

Lane 2:

Western blot - Human NDRG1 knockout HEK-293 cell line (<a href='/en-us/products/cell-lines/human-ndrg1-knockout-hek-293-cell-line-ab261856'>ab261856</a>)

Lane 3:

Jurkat (Human T cell leukemia cell line from peripheral blood) whole cell lysate at 20 µg

Lane 4:

LNCaP (Human prostate cancer cell line) whole cell lysate at 20 µg

Predicted band size: 43 kDa

false

Key facts

Host species

Rabbit

Clonality

Monoclonal

Clone number

EPR5593

Isotype

IgG

Carrier free

Yes

Reacts with

Mouse, Rat, Human

Applications

WB, Flow Cyt (Intra), IP, IHC-P, ICC/IF

applications

Immunogen

The exact immunogen used to generate this antibody is proprietary information.

Specificity

PBS only lot tested.

Reactivity data

{ "title": "Reactivity Data", "filters": { "stats": ["", "Species", "Dilution Info", "Notes"], "tabs": { "all-applications": {"fullname" : "All Applications", "shortname": "All Applications"}, "IHCP" : {"fullname" : "Immunohistochemistry (Formalin/PFA-fixed paraffin-embedded sections)", "shortname":"IHC-P"}, "ICCIF" : {"fullname" : "Immunocytochemistry/ Immunofluorescence", "shortname":"ICC/IF"}, "IP" : {"fullname" : "Immunoprecipitation", "shortname":"IP"}, "FlowCytIntra" : {"fullname" : "Flow Cytometry (Intracellular)", "shortname":"Flow Cyt (Intra)"}, "WB" : {"fullname" : "Western blot", "shortname":"WB"} }, "product-promise": { "all": "all", "testedAndGuaranteed": "tested", "guaranteed": "expected", "predicted": "predicted", "notRecommended": "not-recommended" } }, "values": { "Human": { "IHCP-species-checked": "testedAndGuaranteed", "IHCP-species-dilution-info": "", "IHCP-species-notes": "<p></p>", "ICCIF-species-checked": "testedAndGuaranteed", "ICCIF-species-dilution-info": "", "ICCIF-species-notes": "<p></p>", "IP-species-checked": "testedAndGuaranteed", "IP-species-dilution-info": "", "IP-species-notes": "<p></p>", "FlowCytIntra-species-checked": "testedAndGuaranteed", "FlowCytIntra-species-dilution-info": "", "FlowCytIntra-species-notes": "<p></p>", "WB-species-checked": "testedAndGuaranteed", "WB-species-dilution-info": "", "WB-species-notes": "<p></p>" }, "Mouse": { "IHCP-species-checked": "testedAndGuaranteed", "IHCP-species-dilution-info": "", "IHCP-species-notes": "<p></p>", "ICCIF-species-checked": "guaranteed", "ICCIF-species-dilution-info": "", "ICCIF-species-notes": "", "IP-species-checked": "guaranteed", "IP-species-dilution-info": "", "IP-species-notes": "", "FlowCytIntra-species-checked": "guaranteed", "FlowCytIntra-species-dilution-info": "", "FlowCytIntra-species-notes": "", "WB-species-checked": "testedAndGuaranteed", "WB-species-dilution-info": "", "WB-species-notes": "<p></p>" }, "Rat": { "IHCP-species-checked": "testedAndGuaranteed", "IHCP-species-dilution-info": "", "IHCP-species-notes": "<p></p>", "ICCIF-species-checked": "guaranteed", "ICCIF-species-dilution-info": "", "ICCIF-species-notes": "", "IP-species-checked": "guaranteed", "IP-species-dilution-info": "", "IP-species-notes": "", "FlowCytIntra-species-checked": "guaranteed", "FlowCytIntra-species-dilution-info": "", "FlowCytIntra-species-notes": "", "WB-species-checked": "testedAndGuaranteed", "WB-species-dilution-info": "", "WB-species-notes": "<p></p>" } } }

Product details

ab216457 is the carrier-free version of ab124689.

Patented technology
Our RabMAb® technology is a patented hybridoma-based technology for making rabbit monoclonal antibodies. For details on our patents, please refer to RabMAb® patents.

What are the advantages of a recombinant monoclonal antibody?
This product is a recombinant monoclonal antibody, which offers several advantages including:

  • - High batch-to-batch consistency and reproducibility
  • - Improved sensitivity and specificity
  • - Long-term security of supply
  • - Animal-free batch production

For more information, read more on recombinant antibodies.

Conjugation ready
Our carrier-free antibodies are typically supplied in a PBS-only formulation, purified and free of BSA, sodium azide and glycerol. This conjugation-ready format is designed for use with fluorochromes, metal isotopes, oligonucleotides, and enzymes, which makes them ideal for antibody labelling, functional and cell-based assays, flow-based assays (e.g. mass cytometry) and Multiplex Imaging applications.

Use our conjugation kits for antibody conjugates that are ready-to-use in as little as 20 minutes with 1 minute hands-on-time and 100% antibody recovery: available for fluorescent dyes, HRP, biotin and gold.

Compatibility
This product is compatible with the Maxpar® Antibody Labeling Kit from Fluidigm, without the need for antibody preparation. Maxpar® is a trademark of Fluidigm Canada Inc.

What does low endotoxin mean?
Our low endotoxin, azide-free formats have low endotoxin level (1 EU/mg, determined by the TAL assay) and are free from azide, to achieve consistent experimental results in functional assays.

Properties and storage information

Form
Liquid
Purification technique
Affinity purification Protein A
Storage buffer
pH: 7.2 - 7.4 Constituents: PBS
Shipped at conditions
Blue Ice
Appropriate short-term storage conditions
+4°C
Appropriate long-term storage conditions
+4°C
Storage information
Do Not Freeze

Supplementary information

This supplementary information is collated from multiple sources and compiled automatically.

NDRG1 or N-Myc downstream-regulated gene 1 also known as Cap43 Drg-1 and RTP is a protein that plays key roles in various cellular processes. It has a molecular mass of approximately 43 kDa. NDRG1 is ubiquitously expressed with higher levels in the brain heart liver and kidney. The protein also exhibits a significant presence in cytoplasm but can translocate to the nucleus depending on the cellular context and stimuli.
Biological function summary

NDRG1 functions in cell growth regulation stress response and apoptosis influencing differentiation and potentially acting as a tumor suppressor. It does not directly form part of a larger protein complex but interacts with other proteins to mediate its effects. Its involvement in cellular homeostasis places it as a significant player in maintaining normal cell physiology.

Pathways

NDRG1 is involved in the hypoxia and stress response pathways regulating cellular responses to low oxygen and oxidative stress. It interacts with HIF-1α a critical regulator of the cellular response to hypoxia and also modulates PTEN and p53 proteins that are important for cell cycle control and apoptosis. These pathways and interactions reflect its function in cellular regulatory networks.

NDRG1 has associations with cancer and Charcot-Marie-Tooth disease type 4D. In cancer abnormal expression of NDRG1 has been linked to tumor progression and metastasis where it interacts with proteins like E-cadherin to influence cell adhesion and migration. In Charcot-Marie-Tooth disease mutations in the NDRG1 gene disrupt normal nerve function pointing to its importance in peripheral nervous system health.

Product protocols

For this product, it's our understanding that no specific protocols are required. You can visit:

Target data

Stress-responsive protein involved in hormone responses, cell growth, and differentiation. Acts as a tumor suppressor in many cell types. Necessary but not sufficient for p53/TP53-mediated caspase activation and apoptosis. Has a role in cell trafficking, notably of the Schwann cell, and is necessary for the maintenance and development of the peripheral nerve myelin sheath. Required for vesicular recycling of CDH1 and TF. May also function in lipid trafficking. Protects cells from spindle disruption damage. Functions in p53/TP53-dependent mitotic spindle checkpoint. Regulates microtubule dynamics and maintains euploidy.
See full target information NDRG1

Publications (1)

Recent publications for all applications. Explore the full list and refine your search

Nature genetics 57:1142-1154 PubMed40229600

2025

Longitudinal single-cell multiomic atlas of high-risk neuroblastoma reveals chemotherapy-induced tumor microenvironment rewiring.

Applications

Unspecified application

Species

Unspecified reactive species

Wenbao Yu,Rumeysa Biyik-Sit,Yasin Uzun,Chia-Hui Chen,Anusha Thadi,Jonathan H Sussman,Minxing Pang,Chi-Yun Wu,Liron D Grossmann,Peng Gao,David W Wu,Aliza Yousey,Mei Zhang,Christina S Turn,Zhan Zhang,Shovik Bandyopadhyay,Jeffrey Huang,Tasleema Patel,Changya Chen,Daniel Martinez,Lea F Surrey,Michael D Hogarty,Kathrin Bernt,Nancy R Zhang,John M Maris,Kai Tan
View all publications

Product promise

We are committed to supporting your work with high-quality reagents, and we're here for you every step of the way. In the unlikely event that one of our products does not perform as expected, you're protected by our Product Promise.
For full details, please see our Terms & Conditions

Please note: All products are 'FOR RESEARCH USE ONLY. NOT FOR USE IN DIAGNOSTIC OR THERAPEUTIC PROCEDURES'.

For licensing inquiries, please contact partnerships@abcam.com