JavaScript is disabled in your browser. Please enable JavaScript to view this website.
AB174850

Anti-NDRG2 antibody [EPR11910]

Be the first to review this product! Submit a review

|

(16 Publications)

Rabbit Recombinant Monoclonal NDRG2 antibody. Suitable for IHC-P, IP, WB and reacts with Human, Mouse, Rat, Recombinant full length protein - Human samples. Cited in 16 publications.

View Alternative Names

KIAA1248, SYLD, NDRG2, Protein NDRG2, N-myc downstream-regulated gene 2 protein, Protein Syld709613

9 Images
Immunohistochemistry (Formalin/PFA-fixed paraffin-embedded sections) - Anti-NDRG2 antibody [EPR11910] (AB174850)
  • IHC-P

Supplier Data

Immunohistochemistry (Formalin/PFA-fixed paraffin-embedded sections) - Anti-NDRG2 antibody [EPR11910] (AB174850)

Immunohistochemical analysis of paraffin-embedded Human astrocytoma tissue labeling NDRG2 using ab174850 at 1/50 dilution.

Heat mediated antigen retrieval was performed with citrate buffer pH 6 before commencing with IHC staining protocol.

Immunohistochemistry (Formalin/PFA-fixed paraffin-embedded sections) - Anti-NDRG2 antibody [EPR11910] (AB174850)
  • IHC-P

Unknown

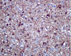
Immunohistochemistry (Formalin/PFA-fixed paraffin-embedded sections) - Anti-NDRG2 antibody [EPR11910] (AB174850)

Immunohistochemistry (Formalin/PFA-fixed paraffin-embedded sections) analysis of Human lung carcinoma tissue sections labeling NDRG2 with purified ab174850 at 1 : 100 dilution (2.4 μg/ml). Heat mediated antigen retrieval was performed using ab93684 (Tris/EDTA buffer, pH 9.0). ImmunoHistoProbe one step HRP Polymer (ready to use)was used as the secondary antibody. Negative control : PBS instead of the primary antibody. Hematoxylin was used as a counterstain.

Immunohistochemistry (Formalin/PFA-fixed paraffin-embedded sections) - Anti-NDRG2 antibody [EPR11910] (AB174850)
  • IHC-P

Supplier Data

Immunohistochemistry (Formalin/PFA-fixed paraffin-embedded sections) - Anti-NDRG2 antibody [EPR11910] (AB174850)

Immunohistochemical analysis of paraffin-embedded Human skeletal muscle labeling NDRG2 using ab174850 at 1/50 dilution.

Heat mediated antigen retrieval was performed with citrate buffer pH 6 before commencing with IHC staining protocol.

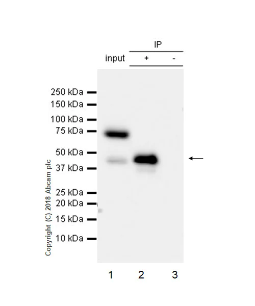
Immunoprecipitation - Anti-NDRG2 antibody [EPR11910] (AB174850)
  • IP

Unknown

Immunoprecipitation - Anti-NDRG2 antibody [EPR11910] (AB174850)

ab174850 (purified) at 1 : 20 dilution (2μg) immunoprecipitating NDRG2 in HepG2 whole cell lysate.
Lane 1 (input) : HepG2 (Human hepatocellular carcinoma epithelial cell) whole cell lysate 10μg
Lane 2 (+) : ab174850 & HepG2 whole cell lysate
Lane 3 (-) : Rabbit monoclonal IgG (ab172730) instead of ab174850 in HepG2 whole cell lysate
For western blotting, VeriBlot for IP Detection Reagent (HRP) (ab131366) was used for detection at 1 : 1000 dilution.
Blocking and diluting buffer : 5% NFDM/TBST.

All lanes:

Immunoprecipitation - Anti-NDRG2 antibody [EPR11910] (ab174850)

Predicted band size: 40 kDa

false

Immunoprecipitation - Anti-NDRG2 antibody [EPR11910] (AB174850)
  • IP

Supplier Data

Immunoprecipitation - Anti-NDRG2 antibody [EPR11910] (AB174850)

Western blot analysis on immunoprecipitation pellet from (1) HepG2 cells lysate or (2) 1XPBS (negative control) using ab174850, and HRP-conjugated anti-rabbit IgG preferentially detecting the non-reduced form of rabbit IgG.

All lanes:

Immunoprecipitation - Anti-NDRG2 antibody [EPR11910] (ab174850)

Predicted band size: 40 kDa

false

Western blot - Anti-NDRG2 antibody [EPR11910] (AB174850)
  • WB

Lab

Western blot - Anti-NDRG2 antibody [EPR11910] (AB174850)

All lanes:

Western blot - Anti-NDRG2 antibody [EPR11910] (ab174850) at 1/1000 dilution

All lanes:

HepG2 (Human hepatocellular carcinoma epithelial cell) whole cell lysate at 15 µg

Secondary

All lanes:

Western blot - Goat Anti-Rabbit IgG H&L (HRP) (<a href='/en-us/products/secondary-antibodies/goat-rabbit-igg-h-l-hrp-ab97051'>ab97051</a>) at 1/20000 dilution

Predicted band size: 40 kDa

Observed band size: 41 kDa

false

Western blot - Anti-NDRG2 antibody [EPR11910] (AB174850)
  • WB

Lab

Western blot - Anti-NDRG2 antibody [EPR11910] (AB174850)

SW480 and SW620 cells are NDRG2 negative cell lines reported by PMID 23900729

All lanes:

Western blot - Anti-NDRG2 antibody [EPR11910] (ab174850) at 1/1000 dilution

Lane 1:

Human brain lysates at 20 µg

Lane 2:

Mouse brain lysates at 20 µg

Lane 3:

Rat brain lysates at 20 µg

Lane 4:

SW480 (Human colorectal adenocarcinoma epithelial cell) whole cell lysates at 20 µg

Lane 5:

SW620 (Human colorectal adenocarcinoma epithelial cell) whole cell lysates at 20 µg

Secondary

All lanes:

Western blot - Goat Anti-Rabbit IgG H&L (HRP) (<a href='/en-us/products/secondary-antibodies/goat-rabbit-igg-h-l-hrp-ab97051'>ab97051</a>) at 1/20000 dilution

Predicted band size: 40 kDa

Observed band size: 41 kDa

false

Western blot - Anti-NDRG2 antibody [EPR11910] (AB174850)
  • WB

Supplier Data

Western blot - Anti-NDRG2 antibody [EPR11910] (AB174850)

All lanes:

Western blot - Anti-NDRG2 antibody [EPR11910] (ab174850) at 1/1000 dilution

Lane 1:

HepG2 cell lysate at 10 µg

Lane 2:

Human fetal kidney lysate at 10 µg

Lane 3:

Human fetal heart lysate at 10 µg

Lane 4:

Human fetal brain lysate at 10 µg

Predicted band size: 40 kDa

false

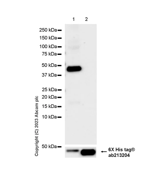
Western blot - Anti-NDRG2 antibody [EPR11910] (AB174850)
  • WB

Lab

Western blot - Anti-NDRG2 antibody [EPR11910] (AB174850)

Blocking and diluting buffer and concentration : 5% NFDM/TBST. ab213204 was used as total protein control at 1/5000 dilution. This antibody does not cross-react with human NDRG4.

All lanes:

Western blot - Anti-NDRG2 antibody [EPR11910] (ab174850) at 1/1000 dilution

Lane 1:

His-tagged human NDRG2 recombinant protein at 10 ng

Lane 2:

His-tagged human NDRG4 recombinant protein at 10 ng

Secondary

All lanes:

Western blot - Goat Anti-Rabbit IgG H&L (HRP) (<a href='/en-us/products/secondary-antibodies/goat-rabbit-igg-h-l-hrp-ab97051'>ab97051</a>) at 1/100000 dilution

Predicted band size: 40 kDa

Observed band size: 40 kDa

false

Exposure time: 1s

  • Carrier free

    Anti-NDRG2 antibody [EPR11910] - BSA and Azide free

  • 665 Alexa Fluor® 647

    Alexa Fluor® 647 Anti-NDRG2 antibody [EPR11910]

  • 578 PE

    PE Anti-NDRG2 antibody [EPR11910]

  • 660 APC

    APC Anti-NDRG2 antibody [EPR11910]

  • HRP

    HRP Anti-NDRG2 antibody [EPR11910]

  • 617 Alexa Fluor® 594

    Alexa Fluor® 594 Anti-NDRG2 antibody [EPR11910]

  • 565 Alexa Fluor® 555

    Alexa Fluor® 555 Anti-NDRG2 antibody [EPR11910]

  • 603 Alexa Fluor® 568

    Alexa Fluor® 568 Anti-NDRG2 antibody [EPR11910]

  • 775 Alexa Fluor® 750

    Alexa Fluor® 750 Anti-NDRG2 antibody [EPR11910]

Key facts

Host species

Rabbit

Clonality

Monoclonal

Clone number

EPR11910

Isotype

IgG

Carrier free

No

Reacts with

Mouse, Rat, Human

Applications

WB, IP, IHC-P

applications

Immunogen

The exact immunogen used to generate this antibody is proprietary information.

Specificity

The mouse and rat recommendation is based on the WB results. We do not guarantee IHC-P for mouse and rat.

This antibody does not cross-react with human NDRG4.

Reactivity data

{ "title": "Reactivity Data", "filters": { "stats": ["", "Species", "Dilution Info", "Notes"], "tabs": { "all-applications": {"fullname" : "All Applications", "shortname": "All Applications"}, "IHCP" : {"fullname" : "Immunohistochemistry (Formalin/PFA-fixed paraffin-embedded sections)", "shortname":"IHC-P"}, "IP" : {"fullname" : "Immunoprecipitation", "shortname":"IP"}, "WB" : {"fullname" : "Western blot", "shortname":"WB"}, "ICCIF" : {"fullname" : "Immunocytochemistry/ Immunofluorescence", "shortname":"ICC/IF"}, "FlowCytIntra" : {"fullname" : "Flow Cytometry (Intracellular)", "shortname":"Flow Cyt (Intra)"} }, "product-promise": { "all": "all", "testedAndGuaranteed": "tested", "guaranteed": "expected", "predicted": "predicted", "notRecommended": "not-recommended" } }, "values": { "Human": { "IHCP-species-checked": "testedAndGuaranteed", "IHCP-species-dilution-info": "1/50 - 1/100", "IHCP-species-notes": "<p>The mouse and rat recommendation is based on the WB results. We do not guarantee IHC-P for mouse and rat.</p> Perform heat-mediated antigen retrieval with citrate buffer pH 6 before commencing with IHC staining protocol.", "IP-species-checked": "testedAndGuaranteed", "IP-species-dilution-info": "1/10 - 1/100", "IP-species-notes": "<p></p>", "WB-species-checked": "testedAndGuaranteed", "WB-species-dilution-info": "1/1000 - 1/5000", "WB-species-notes": "<p></p>", "ICCIF-species-checked": "notRecommended", "ICCIF-species-dilution-info": "1/100 - 1/250", "ICCIF-species-notes": "<p></p>", "FlowCytIntra-species-checked": "notRecommended", "FlowCytIntra-species-dilution-info": "1/10 - 1/100", "FlowCytIntra-species-notes": "<p><a href='/en-us/products/primary-antibodies/rabbit-igg-monoclonal-epr25a-isotype-control-ab172730'>ab172730</a> - Rabbit monoclonal IgG, is suitable for use as an isotype control with this antibody.</p>" }, "Mouse": { "IHCP-species-checked": "notRecommended", "IHCP-species-dilution-info": "", "IHCP-species-notes": "<p></p>", "IP-species-checked": "guaranteed", "IP-species-dilution-info": "", "IP-species-notes": "", "WB-species-checked": "testedAndGuaranteed", "WB-species-dilution-info": "1/1000 - 1/5000", "WB-species-notes": "<p></p>", "ICCIF-species-checked": "notRecommended", "ICCIF-species-dilution-info": "", "ICCIF-species-notes": "", "FlowCytIntra-species-checked": "notRecommended", "FlowCytIntra-species-dilution-info": "", "FlowCytIntra-species-notes": "" }, "Rat": { "IHCP-species-checked": "notRecommended", "IHCP-species-dilution-info": "", "IHCP-species-notes": "<p></p>", "IP-species-checked": "guaranteed", "IP-species-dilution-info": "", "IP-species-notes": "", "WB-species-checked": "testedAndGuaranteed", "WB-species-dilution-info": "1/1000 - 1/5000", "WB-species-notes": "<p></p>", "ICCIF-species-checked": "notRecommended", "ICCIF-species-dilution-info": "", "ICCIF-species-notes": "", "FlowCytIntra-species-checked": "notRecommended", "FlowCytIntra-species-dilution-info": "", "FlowCytIntra-species-notes": "" }, "Recombinant full length protein - Human": { "IHCP-species-checked": "notRecommended", "IHCP-species-dilution-info": "", "IHCP-species-notes": "", "IP-species-checked": "notRecommended", "IP-species-dilution-info": "", "IP-species-notes": "", "WB-species-checked": "testedAndGuaranteed", "WB-species-dilution-info": "1/1000 - 1/5000", "WB-species-notes": "<p></p>", "ICCIF-species-checked": "notRecommended", "ICCIF-species-dilution-info": "", "ICCIF-species-notes": "", "FlowCytIntra-species-checked": "notRecommended", "FlowCytIntra-species-dilution-info": "", "FlowCytIntra-species-notes": "" } } }

Product details

Patented technology
Our RabMAb® technology is a patented hybridoma-based technology for making rabbit monoclonal antibodies. For details on our patents, please refer to RabMAb® patents.

What are the advantages of a recombinant monoclonal antibody?
This product is a recombinant monoclonal antibody, which offers several advantages including:

  • - High batch-to-batch consistency and reproducibility
  • - Improved sensitivity and specificity
  • - Long-term security of supply
  • - Animal-free batch production

For more information, read more on recombinant antibodies.

Properties and storage information

Form
Liquid
Purification technique
Affinity purification Protein A
Storage buffer
Preservative: 0.01% Sodium azide Constituents: PBS, 40% Glycerol (glycerin, glycerine), 0.05% BSA
Shipped at conditions
Blue Ice
Appropriate short-term storage duration
1-2 weeks
Appropriate short-term storage conditions
+4°C
Appropriate long-term storage conditions
-20°C
Aliquoting information
Upon delivery aliquot
Storage information
Avoid freeze / thaw cycle

Supplementary information

This supplementary information is collated from multiple sources and compiled automatically.

NDRG2 also known as N-myc downstream-regulated gene 2 is a protein with a molecular mass of approximately 41.5 kDa. It plays an important role in cellular stress responses and cell growth regulation. NDRG2 is typically expressed in various tissues especially in the liver heart and brain. Its expression suggests its involvement in diverse physiological processes which is supported by its presence across multiple cell types.
Biological function summary

NDRG2 influences cellular processes related to oxidative stress and differentiation. It is not known as part of a major protein complex but it interacts with other proteins to modulate cellular environments. NDRG2 acts as a tumor suppressor and can affect cell cycle regulation. It also plays roles in apoptosis and responses to DNA damage essential for maintaining cell health and function.

Pathways

NDRG2 engages in essential cellular processes. It is involved in the PI3K/Akt and MAPK pathways both of which regulate cell proliferation and survival. NDRG2 interacts with proteins such as PTEN and Akt where it can modulate their activities. Through this regulation it impacts cellular responses to growth factors and contributes to maintaining cellular homeostasis.

Altered NDRG2 expression links with cancer and neurodegenerative diseases. In cancer its tumor suppressor role involves interactions with proteins such as p53 impacting cell survival pathways. In neurodegenerative diseases changes in NDRG2 expression can affect neuronal cell health and may interact with proteins like tau influencing disease progression. Understanding NDRG2's function helps in exploring therapeutic targets for these conditions.

Product protocols

For this product, it's our understanding that no specific protocols are required. You can visit:

Target data

Contributes to the regulation of the Wnt signaling pathway. Down-regulates CTNNB1-mediated transcriptional activation of target genes, such as CCND1, and may thereby act as tumor suppressor. May be involved in dendritic cell and neuron differentiation.
See full target information NDRG2

Publications (16)

Recent publications for all applications. Explore the full list and refine your search

Scientific reports 15:10695 PubMed40155416

2025

Cyanidin-3-glucoside upregulated NDRG2 through the PI3K/AKT pathway to alleviate EMT and ECM in renal fibrosis.

Applications

Unspecified application

Species

Unspecified reactive species

Qianxue Lu,Jin Liu,Yufeng Xiong,Jun Jian,Jingsong Wang,Zhiyuan Chen,Shanshan Wan,Xiuheng Liu,Lei Wang

Nature communications 14:4729 PubMed37550295

2023

Cas9-mediated knockout of Ndrg2 enhances the regenerative potential of dendritic cells for wound healing.

Applications

Unspecified application

Species

Unspecified reactive species

Dominic Henn,Dehua Zhao,Dharshan Sivaraj,Artem Trotsyuk,Clark Andrew Bonham,Katharina S Fischer,Tim Kehl,Tobias Fehlmann,Autumn H Greco,Hudson C Kussie,Sylvia E Moortgat Illouz,Jagannath Padmanabhan,Janos A Barrera,Ulrich Kneser,Hans-Peter Lenhof,Michael Januszyk,Benjamin Levi,Andreas Keller,Michael T Longaker,Kellen Chen,Lei S Qi,Geoffrey C Gurtner

Science advances 8:eabq2423 PubMed36179025

2022

Astrocytic NDRG2-PPM1A interaction exacerbates blood-brain barrier disruption after subarachnoid hemorrhage.

Applications

Unspecified application

Species

Unspecified reactive species

Dayun Feng,Jinpeng Zhou,Haixiao Liu,Xun Wu,Fei Li,Junlong Zhao,Yu Zhang,Lei Wang,Min Chao,Qiang Wang,Huaizhou Qin,Shunnan Ge,Qiang Liu,Jian Zhang,Yan Qu

Journal of healthcare engineering 2022:4574027 PubMed35126924

2022

MiR-483 Promotes Colorectal Cancer Cell Biological Progression by Directly Targeting NDRG2 through Regulation of the PI3K/AKT Signaling Pathway and Epithelial-to-Mesenchymal Transition.

Applications

Unspecified application

Species

Unspecified reactive species

Xifeng Sun,Kun Li,Huiling Wang,Yifang Xia,Ping Meng,Xiaogang Leng

Journal of medical virology 94:2702-2713 PubMed34997970

2022

LncRNA LINC00924 upregulates NDRG2 to inhibit epithelial-mesenchymal transition via sponging miR-6755-5p in hepatitis B virus-related hepatocellular carcinoma.

Applications

Unspecified application

Species

Unspecified reactive species

Kai Yu,Yunhua Mei,Zhongyi Wang,Bo Liu,Ming Deng

Bioengineered 13:83-95 PubMed34951340

2021

MiR-181a-5p facilitates proliferation, invasion, and glycolysis of breast cancer through NDRG2-mediated activation of PTEN/AKT pathway.

Applications

Unspecified application

Species

Unspecified reactive species

Zhen Zhai,Tianlong Mu,Lina Zhao,Yiliang Li,Dongsheng Zhu,Yanshu Pan

Bioengineered 12:7020-7032 PubMed34551684

2021

Transcription factor Krüppel-like factor 5-regulated N-myc downstream-regulated gene 2 reduces IL-1β-induced chondrocyte inflammatory injury and extracellular matrix degradation.

Applications

Unspecified application

Species

Unspecified reactive species

Xiaoliang Mei,Hao Din,Jianning Zhao,Jian Tong,Wei Zhu

Cell biology international 45:1966-1975 PubMed34051015

2021

Upregulation of P53 promotes nucleus pulposus cell apoptosis in intervertebral disc degeneration through upregulating NDRG2.

Applications

Unspecified application

Species

Unspecified reactive species

Kejie Zhang,Yuanbin Zhang,Cong Zhang,Limin Zhu

Inflammation 43:2048-2060 PubMed32990844

2020

MiR-130a/Ndrg2 Axis Inhibits the Proliferation of Fibroblast-Like Synoviocytes in Rheumatoid Arthritis.

Applications

Unspecified application

Species

Unspecified reactive species

Xiaojun Su,Hongtao Zhang,Haidong Wang,Pengfei Sun

Neoplasma 67:1002-1011 PubMed32453597

2020

Hypoxia-responsive miR-346 promotes proliferation, migration, and invasion of renal cell carcinoma cells via targeting NDRG2.

Applications

Unspecified application

Species

Unspecified reactive species

Z H Su,H H Liao,K E Lu,Z Chi,Z Q Qiu,J M Jiang,Z Wu
View all publications

Product promise

We are committed to supporting your work with high-quality reagents, and we're here for you every step of the way. In the unlikely event that one of our products does not perform as expected, you're protected by our Product Promise.
For full details, please see our Terms & Conditions

Please note: All products are 'FOR RESEARCH USE ONLY. NOT FOR USE IN DIAGNOSTIC OR THERAPEUTIC PROCEDURES'.

For licensing inquiries, please contact partnerships@abcam.com