JavaScript is disabled in your browser. Please enable JavaScript to view this website.
AB237052

Anti-NDRG4 antibody

Be the first to review this product! Submit a review

|

(1 Publication)

Rabbit Polyclonal NDRG4 antibody. Suitable for WB, IHC-P, ICC/IF and reacts with Human samples. Cited in 1 publication. Immunogen corresponding to Recombinant Fragment Protein within Human NDRG4 aa 200-350.

View Alternative Names

BDM1, KIAA1180, NDRG4, Protein NDRG4, Brain development-related molecule 1, N-myc downstream-regulated gene 4 protein, Vascular smooth muscle cell-associated protein 8, SMAP-8

4 Images
Immunocytochemistry/ Immunofluorescence - Anti-NDRG4 antibody (AB237052)
  • ICC/IF

Supplier Data

Immunocytochemistry/ Immunofluorescence - Anti-NDRG4 antibody (AB237052)

HepG2 (Human liver hepatocellular carcinoma cell line) cells labeling NDRG4 using ab237052 at 1/100 dilution in ICC/IF, followed by an Alexa-Fluor®488-conjugated goat anti-rabbit IgG (H+L).

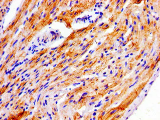
Immunohistochemistry (Formalin/PFA-fixed paraffin-embedded sections) - Anti-NDRG4 antibody (AB237052)
  • IHC-P

Supplier Data

Immunohistochemistry (Formalin/PFA-fixed paraffin-embedded sections) - Anti-NDRG4 antibody (AB237052)

Paraffin-embedded human heart tissue stained for NDRG4 using ab237052 at 1/100 dilution in immunohistochemical analysis.

Immunohistochemistry (Formalin/PFA-fixed paraffin-embedded sections) - Anti-NDRG4 antibody (AB237052)
  • IHC-P

Supplier Data

Immunohistochemistry (Formalin/PFA-fixed paraffin-embedded sections) - Anti-NDRG4 antibody (AB237052)

Paraffin-embedded human brain tissue stained for NDRG4 using ab237052 at 1/100 dilution in immunohistochemical analysis.

Western blot - Anti-NDRG4 antibody (AB237052)
  • WB

Supplier Data

Western blot - Anti-NDRG4 antibody (AB237052)

All lanes:

Western blot - Anti-NDRG4 antibody (ab237052) at 1/500 dilution

All lanes:

A549 (Human lung carcinoma cell line) cell lysate

Secondary

All lanes:

Goat polyclonal to rabbit IgG at 1/50000 dilution

Predicted band size: 38 kDa

false

Key facts

Host species

Rabbit

Clonality

Polyclonal

Isotype

IgG

Carrier free

No

Reacts with

Human

Applications

WB, ICC/IF, IHC-P

applications

Immunogen

Recombinant Fragment Protein within Human NDRG4 aa 200-350. The exact immunogen used to generate this antibody is proprietary information.

Q9ULP0

Reactivity data

{ "title": "Reactivity Data", "filters": { "stats": ["", "Species", "Dilution Info", "Notes"], "tabs": { "all-applications": {"fullname" : "All Applications", "shortname": "All Applications"}, "WB" : {"fullname" : "Western blot", "shortname":"WB"}, "IHCP" : {"fullname" : "Immunohistochemistry (Formalin/PFA-fixed paraffin-embedded sections)", "shortname":"IHC-P"}, "ICCIF" : {"fullname" : "Immunocytochemistry/ Immunofluorescence", "shortname":"ICC/IF"} }, "product-promise": { "all": "all", "testedAndGuaranteed": "tested", "guaranteed": "expected", "predicted": "predicted", "notRecommended": "not-recommended" } }, "values": { "Human": { "WB-species-checked": "testedAndGuaranteed", "WB-species-dilution-info": "1/500 - 1/5000", "WB-species-notes": "<p></p>", "IHCP-species-checked": "testedAndGuaranteed", "IHCP-species-dilution-info": "1/20 - 1/200", "IHCP-species-notes": "<p></p>", "ICCIF-species-checked": "testedAndGuaranteed", "ICCIF-species-dilution-info": "1/50 - 1/200", "ICCIF-species-notes": "<p></p>" } } }

Properties and storage information

Form
Liquid
Purification technique
Affinity purification Protein G
Purification notes
Purity >95%
Storage buffer
pH: 7.4 Preservative: 0.03% Proclin 300 Constituents: PBS, 50% Glycerol (glycerin, glycerine)
Shipped at conditions
Blue Ice
Appropriate short-term storage duration
1-2 weeks
Appropriate short-term storage conditions
+4°C
Appropriate long-term storage conditions
-20°C
Aliquoting information
Upon delivery aliquot
Storage information
Avoid freeze / thaw cycle

Supplementary information

This supplementary information is collated from multiple sources and compiled automatically.

NDRG4 also known as N-Myc downstream-regulated gene 4 is a protein that functions mechanically in cellular processes such as growth and differentiation. Its molecular mass is approximately 43 kDa. This protein is widely expressed in various tissues with notable expression in the heart brain and skeletal muscle. NDRG4 plays a role in cellular stress response and signal transduction by undergoing phosphorylation which aids in the modulation of its activity.
Biological function summary

NDRG4 participates in nervous system development and proper functioning. It is involved in axon growth and guidance important for neuron connectivity. While NDRG4 does not often form part of large protein complexes it interacts with other proteins to facilitate these processes. For instance it coordinates with signaling molecules to affect cytoskeletal dynamics and myelination contributing to neural maintenance.

Pathways

Scientists recognize NDRG4's involvement in signaling pathways like the MAPK pathway pivotal in transmitting extracellular signals to the nucleus to promote cell survival and differentiation. In this pathway NDRG4 interacts with proteins such as ERK1/2 highlighting its role in signal transduction. Another relevant pathway is the PI3K/Akt pathway where NDRG4 influences cell growth and metabolism through interactions with proteins like PI3K further emphasizing its significance in cellular health and function.

Prominently studied ones connected to NDRG4 include cancer and neurological disorders. In cancer alterations in NDRG4 expression can correlate with tumor growth potentially through its interaction with metastasis-related proteins such as NDRG1. Regarding neurological disorders alterations in NDRG4 expression or function have been linked to Alzheimer's disease connecting it with amyloid-beta peptide accumulation and tau protein pathology suggesting its involvement in neurodegeneration.

Product protocols

For this product, it's our understanding that no specific protocols are required. You can visit:

Target data

Contributes to the maintenance of intracerebral BDNF levels within the normal range, which is necessary for the preservation of spatial learning and the resistance to neuronal cell death caused by ischemic stress (By similarity). May enhance growth factor-induced ERK1 and ERK2 phosphorylation, including that induced by PDGF and FGF. May attenuate NGF-promoted ELK1 phosphorylation in a microtubule-dependent manner.
See full target information NDRG4

Publications (1)

Recent publications for all applications. Explore the full list and refine your search

Immunology 172:588-599 PubMed38634546

2024

Oligodeoxynucleotides containing CpG motifs (CpG-ODN) restores immune regulatory functions of airway macrophages of patients with asthma.

Applications

Unspecified application

Species

Unspecified reactive species

Huanping Zhang,Lihuan Wang,Aizhi Zhang,Xiangyu Wang,Yun Liao,Xiaoxue Chen,Xuejie Xu,Litao Yang,Yu Liu,Aifa Tang,Pingchang Yang
View all publications

Product promise

We are committed to supporting your work with high-quality reagents, and we're here for you every step of the way. In the unlikely event that one of our products does not perform as expected, you're protected by our Product Promise.
For full details, please see our Terms & Conditions

Please note: All products are 'FOR RESEARCH USE ONLY. NOT FOR USE IN DIAGNOSTIC OR THERAPEUTIC PROCEDURES'.

For licensing inquiries, please contact partnerships@abcam.com