JavaScript is disabled in your browser. Please enable JavaScript to view this website.
AB131423

Anti-NDUFA1 antibody

Be the first to review this product! Submit a review

|

(3 Publications)

Rabbit Polyclonal NDUFA1 antibody. Suitable for IHC-P, WB and reacts with Rat, Human samples. Cited in 3 publications. Immunogen corresponding to Synthetic Peptide within Human NDUFA1.

View Alternative Names

NADH dehydrogenase [ubiquinone] 1 alpha subcomplex subunit 1, Complex I-MWFE, NADH-ubiquinone oxidoreductase MWFE subunit, CI-MWFE, NDUFA1

2 Images
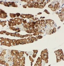
Immunohistochemistry (Formalin/PFA-fixed paraffin-embedded sections) - Anti-NDUFA1 antibody (AB131423)
  • IHC-P

Unknown

Immunohistochemistry (Formalin/PFA-fixed paraffin-embedded sections) - Anti-NDUFA1 antibody (AB131423)

Immunohistochemical analysis of paraffin-embedded Rat Cardiac Muscle Tissue labelling NDUFA1 with ab131423 at 1μg/ml.

Western blot - Anti-NDUFA1 antibody (AB131423)
  • WB

Unknown

Western blot - Anti-NDUFA1 antibody (AB131423)

All lanes:

Western blot - Anti-NDUFA1 antibody (ab131423) at 0.5 µg/mL

Lane 1:

Rat Heart tissue lysate

Lane 2:

Rat Brain tissue lysate

Lane 3:

Rat Liver tissue lysate

Lane 4:

Rat Kidney tissue lysate

Lane 5:

HT1080 Cell Lysate

Predicted band size: 8 kDa

false

Key facts

Host species

Rabbit

Clonality

Polyclonal

Isotype

IgG

Carrier free

No

Reacts with

Rat, Human

Applications

WB, IHC-P

applications

Immunogen

Synthetic Peptide within Human NDUFA1. The exact immunogen used to generate this antibody is proprietary information.

O15239

Reactivity data

{ "title": "Reactivity Data", "filters": { "stats": ["", "Species", "Dilution Info", "Notes"], "tabs": { "all-applications": {"fullname" : "All Applications", "shortname": "All Applications"}, "IHCP" : {"fullname" : "Immunohistochemistry (Formalin/PFA-fixed paraffin-embedded sections)", "shortname":"IHC-P"}, "WB" : {"fullname" : "Western blot", "shortname":"WB"} }, "product-promise": { "all": "all", "testedAndGuaranteed": "tested", "guaranteed": "expected", "predicted": "predicted", "notRecommended": "not-recommended" } }, "values": { "Human": { "IHCP-species-checked": "guaranteed", "IHCP-species-dilution-info": "", "IHCP-species-notes": "", "WB-species-checked": "testedAndGuaranteed", "WB-species-dilution-info": "0.1-0.5 µg/mL", "WB-species-notes": "<p></p>" }, "Rat": { "IHCP-species-checked": "testedAndGuaranteed", "IHCP-species-dilution-info": "0.5-1 µg/mL", "IHCP-species-notes": "<p></p> Perform heat-mediated antigen retrieval before commencing with IHC staining protocol.", "WB-species-checked": "testedAndGuaranteed", "WB-species-dilution-info": "0.1-0.5 µg/mL", "WB-species-notes": "<p></p>" } } }

Properties and storage information

Form
Liquid
Purification technique
Affinity purification Immunogen
Storage buffer
Preservative: 0.025% Sodium azide, 0.025% Thimerosal (merthiolate) Constituents: 2.5% BSA, 0.45% Sodium chloride, 0.1% Disodium hydrogenorthophosphate
Shipped at conditions
Blue Ice
Appropriate short-term storage duration
1-2 weeks
Appropriate short-term storage conditions
+4°C
Appropriate long-term storage conditions
-20°C
Aliquoting information
Upon delivery aliquot

Supplementary information

This supplementary information is collated from multiple sources and compiled automatically.

NDUFA1 also called NADH dehydrogenase [ubiquinone] 1 alpha subcomplex subunit 1 is a critical component of the mitochondrial respiratory chain. It has an approximate molecular mass of 5.5 kDa and resides within the inner mitochondrial membrane. This protein is part of the larger NADH:ubiquinone oxidoreductase also known as Complex I which is present across various tissues where energy production is essential. NDUFA1 aids the proper function of Complex I to facilitate electron transfer during cellular respiration.
Biological function summary

NDUFA1 plays an integral role in the electron transfer process by linking with other subunits to form the Complex I assembly. It is important for the initial step of the electron transport chain where it helps in transferring electrons from NADH to ubiquitin. This step is important as it contributes to the generation of a proton gradient across the mitochondrial membrane which is necessary for ATP synthesis. Part of the mitochondrial enzymatic pathway NDUFA1 works in concert with other enzyme complexes to maintain cellular energy balance.

Pathways

NDUFA1 engages primarily in the oxidative phosphorylation pathway which is pivotal for ATP production in cells. This pathway connects NDUFA1 with other complexes such as Complex II Complex III and Complex IV ensuring comprehensive electron flow and proton gradient creation. In addition NDUFA1 is involved in the mitochondrial electron transport chain linking with proteins such as cytochrome c for maintaining energy metabolism and cellular respiration.

Mutations or dysfunctions in NDUFA1 relate to mitochondrial disorders like Leigh syndrome which affect energy-dependent tissues such as the brain and muscles. Such mutations lead to impaired electron transfer therefore causing energy deficits. NDUFA1 mutations can also contribute to cardiac and neurological disorders due to disrupted ATP synthesis. Within these diseases NDUFA1 interacts with other defective proteins of the mitochondrial respiratory chain exacerbating metabolic irregularities and contributing to disease pathogenesis.

Product protocols

For this product, it's our understanding that no specific protocols are required. You can visit:

Target data

Accessory subunit of the mitochondrial membrane respiratory chain NADH dehydrogenase (Complex I), that is believed not to be involved in catalysis. Complex I functions in the transfer of electrons from NADH to the respiratory chain. The immediate electron acceptor for the enzyme is believed to be ubiquinone.
See full target information NDUFA1

Publications (3)

Recent publications for all applications. Explore the full list and refine your search

Cell cycle (Georgetown, Tex.) 19:3563-3580 PubMed33283616

2020

The circ_0004463/miR-380-3p/FOXO1 axis modulates mitochondrial respiration and bladder cancer cell apoptosis.

Applications

Unspecified application

Species

Unspecified reactive species

Shuiqing Wu,Huanghao Deng,Haiqing He,Ran Xu,Yinhuai Wang,Xuan Zhu,Jinhua Zhang,Qi Zeng,Xiaokun Zhao

Journal of proteome research 19:36-48 PubMed31657575

2019

Brain Region-Specific nAChR and Associated Protein Abundance Alterations Following Chronic Nicotine and/or Menthol Exposure.

Applications

Unspecified application

Species

Unspecified reactive species

Matthew J Mulcahy,Stephanie M Huard,Joao A Paulo,Jonathan H Wang,Sheri McKinney,Brandon J Henderson,Henry A Lester

International journal of molecular medicine 41:1958-1966 PubMed29328428

2018

Regulation of drug resistance and metastasis of gastric cancer cells via the microRNA647-ANK2 axis.

Applications

Unspecified application

Species

Unspecified reactive species

Wenlong Cao,Weiyuan Wei,Zexu Zhan,Dongyi Xie,Yubo Xie,Qiang Xiao
View all publications

Product promise

We are committed to supporting your work with high-quality reagents, and we're here for you every step of the way. In the unlikely event that one of our products does not perform as expected, you're protected by our Product Promise.
For full details, please see our Terms & Conditions

Please note: All products are 'FOR RESEARCH USE ONLY. NOT FOR USE IN DIAGNOSTIC OR THERAPEUTIC PROCEDURES'.

For licensing inquiries, please contact partnerships@abcam.com