JavaScript is disabled in your browser. Please enable JavaScript to view this website.
AB174829

Anti-NDUFA10 antibody [EPR12135]

Be the first to review this product! Submit a review

|

(4 Publications)

Rabbit Recombinant Monoclonal NDUFA10 antibody. Suitable for IHC-P, IP, WB, ICC/IF and reacts with Human samples. Cited in 4 publications.

View Alternative Names

Complex I-42kD, NADH-ubiquinone oxidoreductase 42 kDa subunit, CI-42kD, NDUFA10

5 Images
Immunocytochemistry/ Immunofluorescence - Anti-NDUFA10 antibody [EPR12135] (AB174829)
  • ICC/IF

Supplier Data

Immunocytochemistry/ Immunofluorescence - Anti-NDUFA10 antibody [EPR12135] (AB174829)

Immunofluorescent analysis of HeLa cells labeling NDUFA10 with ab174829 at 1/50 dilution (red). DAPI nuclear staining (blue).

Immunohistochemistry (Formalin/PFA-fixed paraffin-embedded sections) - Anti-NDUFA10 antibody [EPR12135] (AB174829)
  • IHC-P

Supplier Data

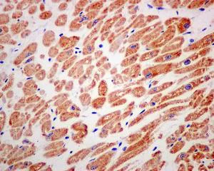
Immunohistochemistry (Formalin/PFA-fixed paraffin-embedded sections) - Anti-NDUFA10 antibody [EPR12135] (AB174829)

Immunohistochemical analysis of formalin-fixed paraffin-embedded Human heart tissue labeling NDUFA10 with ab174829 at 1/50 dilution.

Perform heat mediated antigen retrieval with citrate buffer pH 6 before commencing with IHC staining protocol.

Immunohistochemistry (Formalin/PFA-fixed paraffin-embedded sections) - Anti-NDUFA10 antibody [EPR12135] (AB174829)
  • IHC-P

Supplier Data

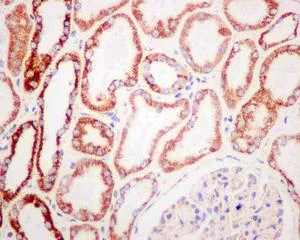
Immunohistochemistry (Formalin/PFA-fixed paraffin-embedded sections) - Anti-NDUFA10 antibody [EPR12135] (AB174829)

Immunohistochemical analysis of formalin-fixed paraffin-embedded Human kidney tissue labeling NDUFA10 with ab174829 at 1/50 dilution.

Perform heat mediated antigen retrieval with citrate buffer pH 6 before commencing with IHC staining protocol.

Immunoprecipitation - Anti-NDUFA10 antibody [EPR12135] (AB174829)
  • IP

Supplier Data

Immunoprecipitation - Anti-NDUFA10 antibody [EPR12135] (AB174829)

Western blot analysis on Immunoprecipitation pellet from either 1) Human fetal heart lysate, or 2) 1x PBS (negative control); labeling NDUFA10, immunoprecipitated using ab174829 at 1/10 dilution and HRP-conjugated anti-rabbit IgG preferentially detecting the non-reduced form of rabbit IgG.

All lanes:

Immunoprecipitation - Anti-NDUFA10 antibody [EPR12135] (ab174829)

Predicted band size: 41 kDa

true

Western blot - Anti-NDUFA10 antibody [EPR12135] (AB174829)
  • WB

Supplier Data

Western blot - Anti-NDUFA10 antibody [EPR12135] (AB174829)

All lanes:

Western blot - Anti-NDUFA10 antibody [EPR12135] (ab174829) at 1/1000 dilution

Lane 1:

HepG2 cell lysate at 10 µg

Lane 2:

HeLa cell lysate at 10 µg

Lane 3:

Jurkat cell lysate at 10 µg

Lane 4:

Raji cell lysate at 10 µg

Lane 5:

Human fetal heart tissue lysate at 10 µg

Secondary

All lanes:

Goat anti-rabbit HRP-conjugated at 1/2000 dilution

Predicted band size: 41 kDa

true

  • Carrier free

    Anti-NDUFA10 antibody [EPR12135] - BSA and Azide free

Key facts

Host species

Rabbit

Clonality

Monoclonal

Clone number

EPR12135

Isotype

IgG

Carrier free

No

Reacts with

Human

Applications

WB, IHC-P, ICC/IF, IP

applications

Immunogen

The exact immunogen used to generate this antibody is proprietary information.

Reactivity data

{ "title": "Reactivity Data", "filters": { "stats": ["", "Species", "Dilution Info", "Notes"], "tabs": { "all-applications": {"fullname" : "All Applications", "shortname": "All Applications"}, "IHCP" : {"fullname" : "Immunohistochemistry (Formalin/PFA-fixed paraffin-embedded sections)", "shortname":"IHC-P"}, "IP" : {"fullname" : "Immunoprecipitation", "shortname":"IP"}, "FlowCyt" : {"fullname" : "Flow Cytometry", "shortname":"Flow Cyt"}, "WB" : {"fullname" : "Western blot", "shortname":"WB"}, "ICCIF" : {"fullname" : "Immunocytochemistry/ Immunofluorescence", "shortname":"ICC/IF"} }, "product-promise": { "all": "all", "testedAndGuaranteed": "tested", "guaranteed": "expected", "predicted": "predicted", "notRecommended": "not-recommended" } }, "values": { "Human": { "IHCP-species-checked": "testedAndGuaranteed", "IHCP-species-dilution-info": "1/50 - 1/100", "IHCP-species-notes": "<p></p>", "IP-species-checked": "testedAndGuaranteed", "IP-species-dilution-info": "1/10 - 1/100", "IP-species-notes": "<p></p>", "FlowCyt-species-checked": "notRecommended", "FlowCyt-species-dilution-info": "", "FlowCyt-species-notes": "<p></p>", "WB-species-checked": "testedAndGuaranteed", "WB-species-dilution-info": "1/1000 - 1/5000", "WB-species-notes": "<p></p>", "ICCIF-species-checked": "testedAndGuaranteed", "ICCIF-species-dilution-info": "1/50 - 1/100", "ICCIF-species-notes": "<p></p>" } } }

Product details

Species reactivity
Mouse, Rat: We have preliminary internal testing data to indicate this antibody may not react with these species.
Please contact us for more information.

Patented technology
Our RabMAb® technology is a patented hybridoma-based technology for making rabbit monoclonal antibodies. For details on our patents, please refer to RabMAb® patents.

What are the advantages of a recombinant monoclonal antibody?
This product is a recombinant monoclonal antibody, which offers several advantages including:

  • - High batch-to-batch consistency and reproducibility
  • - Improved sensitivity and specificity
  • - Long-term security of supply
  • - Animal-free batch production

For more information, read more on recombinant antibodies.

Properties and storage information

Form
Liquid
Purity
Tissue culture supernatant
Storage buffer
pH: 7.2 - 7.4 Preservative: 0.01% Sodium azide Constituents: PBS, 50% Tissue culture supernatant, 40% Glycerol (glycerin, glycerine), 0.05% BSA
Shipped at conditions
Blue Ice
Appropriate short-term storage duration
1-2 weeks
Appropriate short-term storage conditions
+4°C
Appropriate long-term storage conditions
-20°C
Aliquoting information
Upon delivery aliquot
Storage information
Avoid freeze / thaw cycle

Supplementary information

This supplementary information is collated from multiple sources and compiled automatically.

NDUFA10 also known as NDUFA10 subunit of NADH:Ubiquinone Oxidoreductase is a component of the mitochondrial respiratory chain. It has a molecular mass of approximately 42 kDa. This protein is ubiquitously expressed throughout human tissues and it plays an important role in the electron transport chain as part of Complex I. NDUFA10 is important for the assembly and stability of Complex I influencing the proper functioning of the oxidative phosphorylation system.
Biological function summary

This protein aids in the enzymatic activity necessary for mitochondrial electron transfer. NDUFA10 serves as a subunit within Complex I of the mitochondrial membrane. Complex I acts as the first enzyme of the electron transport chain promoting the transfer of electrons from NADH to ubiquinone. This step is essential for energy production through ATP synthesis. As part of this complex it contributes to maintaining cellular respiration and energy homeostasis.

Pathways

Complex I plays an important role within the oxidative phosphorylation pathway and the tricarboxylic acid (TCA) cycle. These pathways are foundational for cellular metabolism and ATP production. NDUFA10 interacts with other Complex I subunits such as NDUFS1 and NDUFA5 ensuring efficient electron flow and energy conversion. Disruptions in this pathway could lead to alterations in energy metabolism impacting cellular function and health.

Research associates NDUFA10 with mitochondrial disorders and neurodegenerative diseases. Altered NDUFA10 function can impact Complex I activity leading to mitochondrial dysfunction. Such dysfunction often correlates with conditions like Leigh syndrome and Parkinson's disease. NDUFA10 interacts with other proteins involved in these disorders including those within the electron transport chain like NDUFB8 and NDUFS8 highlighting its involvement in maintaining mitochondrial health and energy balance.

Product protocols

For this product, it's our understanding that no specific protocols are required. You can visit:

Target data

Accessory subunit of the mitochondrial membrane respiratory chain NADH dehydrogenase (Complex I), that is believed not to be involved in catalysis. Complex I functions in the transfer of electrons from NADH to the respiratory chain. The immediate electron acceptor for the enzyme is believed to be ubiquinone.
See full target information NADH dehydrogenase [ubiquinone] 1 alpha subcomplex subunit 10, mitochondrial

Publications (4)

Recent publications for all applications. Explore the full list and refine your search

Developmental cell 57:260-276.e9 PubMed35077680

2022

Regulation of reverse electron transfer at mitochondrial complex I by unconventional Notch action in cancer stem cells.

Applications

Unspecified application

Species

Unspecified reactive species

Rani Ojha,Ishaq Tantray,Suman Rimal,Siddhartha Mitra,Sam Cheshier,Bingwei Lu

Translational oncology 14:101146 PubMed34118692

2021

High throughput proteomic and metabolic profiling identified target correction of metabolic abnormalities as a novel therapeutic approach in head and neck paraganglioma.

Applications

Unspecified application

Species

Unspecified reactive species

Zhigang Wang,Hongsai Chen,Lu Xue,Weiwei He,Wenying Shu,Hao Wu,Zhaoyan Wang

Frontiers in immunology 9:2489 PubMed30455688

2018

Human Dendritic Cell Subsets Undergo Distinct Metabolic Reprogramming for Immune Response.

Applications

Unspecified application

Species

Unspecified reactive species

Farhan Basit,Till Mathan,David Sancho,I Jolanda M de Vries

BMC research notes 10:547 PubMed29096719

2017

Subunit composition of respiratory chain complex 1 and its responses to oxygen in mitochondria from human donor livers.

Applications

Unspecified application

Species

Unspecified reactive species

S E Khorsandi,J W Taanman,N Heaton
View all publications

Product promise

We are committed to supporting your work with high-quality reagents, and we're here for you every step of the way. In the unlikely event that one of our products does not perform as expected, you're protected by our Product Promise.
For full details, please see our Terms & Conditions

Please note: All products are 'FOR RESEARCH USE ONLY. NOT FOR USE IN DIAGNOSTIC OR THERAPEUTIC PROCEDURES'.

For licensing inquiries, please contact partnerships@abcam.com