JavaScript is disabled in your browser. Please enable JavaScript to view this website.
AB198196

Anti-NDUFA2 antibody

Be the first to review this product! Submit a review

|

(3 Publications)

Rabbit Polyclonal NDUFA2 antibody. Suitable for WB, IHC-P and reacts with Mouse, Human samples. Cited in 3 publications. Immunogen corresponding to Recombinant Full Length Protein corresponding to Human NDUFA2.

View Alternative Names

NADH dehydrogenase [ubiquinone] 1 alpha subcomplex subunit 2, Complex I-B8, NADH-ubiquinone oxidoreductase B8 subunit, CI-B8, NDUFA2

3 Images
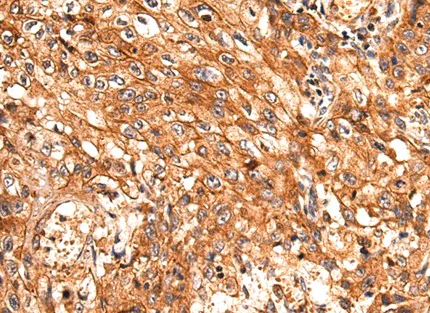
Immunohistochemistry (Formalin/PFA-fixed paraffin-embedded sections) - Anti-NDUFA2 antibody (AB198196)
  • IHC-P

Unknown

Immunohistochemistry (Formalin/PFA-fixed paraffin-embedded sections) - Anti-NDUFA2 antibody (AB198196)

Immunohischemical analysis of paraffin-embedded Human esophagus cancer tissue using ab198196 at dilution 1/60.

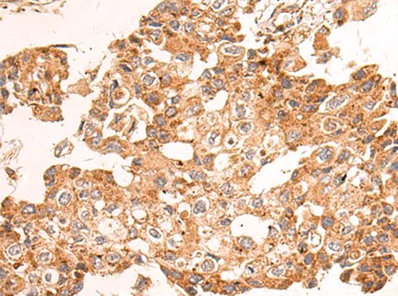
Western blot - Anti-NDUFA2 antibody (AB198196)
  • WB

Unknown

Western blot - Anti-NDUFA2 antibody (AB198196)

Immunohischemical analysis of paraffin-embedded Human breast cancer tissue using ab198196 at dilution 1/60.

All lanes:

Western blot - Anti-NDUFA2 antibody (ab198196)

Predicted band size: 11 kDa

false

Western blot - Anti-NDUFA2 antibody (AB198196)
  • WB

Unknown

Western blot - Anti-NDUFA2 antibody (AB198196)

Gel : 12%SDS-PAGE.

All lanes:

Western blot - Anti-NDUFA2 antibody (ab198196) at 1/400 dilution

All lanes:

Mouse heart tissue lysate at 40 µg

Secondary

All lanes:

Goat anti rabbit IgG at 1/5000 dilution

Predicted band size: 11 kDa

false

Exposure time: 2min

Key facts

Host species

Rabbit

Clonality

Polyclonal

Isotype

IgG

Carrier free

No

Reacts with

Mouse, Human

Applications

WB, IHC-P

applications

Immunogen

Recombinant Full Length Protein corresponding to Human NDUFA2.

O43678

Reactivity data

{ "title": "Reactivity Data", "filters": { "stats": ["", "Species", "Dilution Info", "Notes"], "tabs": { "all-applications": {"fullname" : "All Applications", "shortname": "All Applications"}, "WB" : {"fullname" : "Western blot", "shortname":"WB"}, "IHCP" : {"fullname" : "Immunohistochemistry (Formalin/PFA-fixed paraffin-embedded sections)", "shortname":"IHC-P"} }, "product-promise": { "all": "all", "testedAndGuaranteed": "tested", "guaranteed": "expected", "predicted": "predicted", "notRecommended": "not-recommended" } }, "values": { "Human": { "WB-species-checked": "testedAndGuaranteed", "WB-species-dilution-info": "1/200 - 1/1000", "WB-species-notes": "<p></p>", "IHCP-species-checked": "testedAndGuaranteed", "IHCP-species-dilution-info": "1/50 - 1/200", "IHCP-species-notes": "<p></p>" }, "Mouse": { "WB-species-checked": "testedAndGuaranteed", "WB-species-dilution-info": "1/200 - 1/1000", "WB-species-notes": "<p></p>", "IHCP-species-checked": "guaranteed", "IHCP-species-dilution-info": "", "IHCP-species-notes": "" }, "Cow": { "WB-species-checked": "predicted", "WB-species-dilution-info": "", "WB-species-notes": "", "IHCP-species-checked": "predicted", "IHCP-species-dilution-info": "", "IHCP-species-notes": "" }, "Cynomolgus monkey": { "WB-species-checked": "predicted", "WB-species-dilution-info": "", "WB-species-notes": "", "IHCP-species-checked": "predicted", "IHCP-species-dilution-info": "", "IHCP-species-notes": "" }, "Gorilla": { "WB-species-checked": "predicted", "WB-species-dilution-info": "", "WB-species-notes": "", "IHCP-species-checked": "predicted", "IHCP-species-dilution-info": "", "IHCP-species-notes": "" }, "Orangutan": { "WB-species-checked": "predicted", "WB-species-dilution-info": "", "WB-species-notes": "", "IHCP-species-checked": "predicted", "IHCP-species-dilution-info": "", "IHCP-species-notes": "" } } }

Product details

The encoded protein is a subunit of the hydrophobic protein fraction of the NADH:ubiquinone oxidoreductase (complex 1), the first enzyme complex in the electron transport chain located in the inner mitochondrial membrane, and may be involved in regulating complex I activity or its assembly via assistance in redox processes. Mutations in this gene are associated with Leigh syndrome, an early-onset progressive neurodegenerative disorder.

Properties and storage information

Form
Liquid
Purification technique
Affinity purification Immunogen
Storage buffer
pH: 7.4 Preservative: 0.05% Sodium azide Constituents: PBS, 50% Glycerol (glycerin, glycerine)
Shipped at conditions
Blue Ice
Appropriate short-term storage duration
1-2 weeks
Appropriate short-term storage conditions
+4°C
Appropriate long-term storage conditions
-20°C
Aliquoting information
Upon delivery aliquot
Storage information
Avoid freeze / thaw cycle

Supplementary information

This supplementary information is collated from multiple sources and compiled automatically.

The NDUFA2 protein also known as NADH:Ubiquinone Oxidoreductase Subunit A2 is a component of the mitochondrial respiratory chain complex I. It has a mass of approximately 10.3 kDa. NDUFA2 is expressed in various tissues with high energy demands especially in the heart brain and skeletal muscles. Functionally it participates in the initial phase of electron transport by transferring electrons from NADH to ubiquinone contributing to the proton gradient used in ATP synthesis.
Biological function summary

NDUFA2 is a component of the multi-subunit complex I of the mitochondrial electron transport chain. This complex plays a role in cellular respiration by facilitating the conversion of energy stored in nutrients into ATP. Within the structure of complex I NDUFA2 collaborates with other subunits to ensure efficient electron transfer processes. Although a smaller subunit its role in the proper assembly and maintenance of the complex is essential for sustaining cellular energy levels.

Pathways

The actions of NDUFA2 are critical in oxidative phosphorylation one of the main pathways for ATP production in eukaryotic cells. This energy production pathway is intertwined with cellular respiration where NDUFA2 is related to proteins such as ND1 and ND2. These proteins collectively engage in the transfer of electrons across the inner mitochondrial membrane driving the synthesis of ATP from ADP through chemiosmotic coupling.

Alterations in NDUFA2 have connections to mitochondrial encephalomyopathy and Leigh Syndrome. These conditions manifest due to dysfunctional energy metabolism caused by defects in NDUFA2 and other proteins like NDUFS1. Mutations in these proteins can lead to impaired oxidative phosphorylation resulting in energy deficiencies that contribute to the development of neurodegenerative and muscular impairments seen in these disorders.

Product protocols

For this product, it's our understanding that no specific protocols are required. You can visit:

Target data

Accessory subunit of the mitochondrial membrane respiratory chain NADH dehydrogenase (Complex I), that is believed not to be involved in catalysis. Complex I functions in the transfer of electrons from NADH to the respiratory chain. The immediate electron acceptor for the enzyme is believed to be ubiquinone.
See full target information NDUFA2

Publications (3)

Recent publications for all applications. Explore the full list and refine your search

Journal of molecular medicine (Berlin, Germany) 101:1397-1407 PubMed37707556

2023

Insufficient SIRT1 in macrophages promotes oxidative stress and inflammation during scarring.

Applications

Unspecified application

Species

Unspecified reactive species

Ting He,Xiaozhi Bai,Yan Li,Dongliang Zhang,Zhigang Xu,Xuekang Yang,Dahai Hu,Juntao Han

Frontiers in cell and developmental biology 9:771824 PubMed34926459

2021

Negatively Regulated by miR-29c-3p, MTFR1 Promotes the Progression and Glycolysis in Lung Adenocarcinoma the AMPK/mTOR Signalling Pathway.

Applications

Unspecified application

Species

Unspecified reactive species

Yongmeng Li,Yanfei Liu,Kai Jin,Rui Dong,Cun Gao,Libo Si,Zitong Feng,Huiying Zhang,Hui Tian

Translational oncology 14:101146 PubMed34118692

2021

High throughput proteomic and metabolic profiling identified target correction of metabolic abnormalities as a novel therapeutic approach in head and neck paraganglioma.

Applications

Unspecified application

Species

Unspecified reactive species

Zhigang Wang,Hongsai Chen,Lu Xue,Weiwei He,Wenying Shu,Hao Wu,Zhaoyan Wang
View all publications

Product promise

We are committed to supporting your work with high-quality reagents, and we're here for you every step of the way. In the unlikely event that one of our products does not perform as expected, you're protected by our Product Promise.
For full details, please see our Terms & Conditions

Please note: All products are 'FOR RESEARCH USE ONLY. NOT FOR USE IN DIAGNOSTIC OR THERAPEUTIC PROCEDURES'.

For licensing inquiries, please contact partnerships@abcam.com