JavaScript is disabled in your browser. Please enable JavaScript to view this website.
AB181021

Anti-NDUFAB1 antibody [EPR6725]

Be the first to review this product! Submit a review

|

(7 Publications)

Rabbit Recombinant Monoclonal NDUFAB1 antibody. Suitable for IHC-P, IP, WB, Flow Cyt (Intra) and reacts with Human samples. Cited in 7 publications.

View Alternative Names

ACP, CI-SDAP, NADH-ubiquinone oxidoreductase 9.6 kDa subunit, NDUFAB1

5 Images
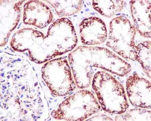
Immunohistochemistry (Formalin/PFA-fixed paraffin-embedded sections) - Anti-NDUFAB1 antibody [EPR6725] (AB181021)
  • IHC-P

Supplier Data

Immunohistochemistry (Formalin/PFA-fixed paraffin-embedded sections) - Anti-NDUFAB1 antibody [EPR6725] (AB181021)

Immunohistochemical analysis of paraffin embedded Human kidney tissue sections labeling NDUFAB1 using ab181021 at a 1/250 dilution. A ready to use HRP Polymer for Rabbit IgG was used as the secondary. Hematoxylin counterstain.

Perform heat mediated antigen retrieval with citrate buffer pH 6 before commencing with IHC staining protocol.

Flow Cytometry (Intracellular) - Anti-NDUFAB1 antibody [EPR6725] (AB181021)
  • Flow Cyt (Intra)

Supplier Data

Flow Cytometry (Intracellular) - Anti-NDUFAB1 antibody [EPR6725] (AB181021)

Intracellular Flow Cytometry analysis of HepG2 cells labeling NDUFAB1 using ab181021 at a 1/160 dilution (pink). Goat anti rabbit IgG (FITC) used as the secondary at a 1/150 dilution. Isotype control Rabbit monoclonal IgG (green). Cells were fixed in 2% paraformaldehyde.

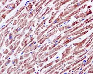
Immunohistochemistry (Formalin/PFA-fixed paraffin-embedded sections) - Anti-NDUFAB1 antibody [EPR6725] (AB181021)
  • IHC-P

Supplier Data

Immunohistochemistry (Formalin/PFA-fixed paraffin-embedded sections) - Anti-NDUFAB1 antibody [EPR6725] (AB181021)

Immunohistochemical analysis of paraffin embedded Human heart tissue sections labeling NDUFAB1 using ab181021 at a 1/250 dilution. A ready to use HRP Polymer for Rabbit IgG was used as the secondary. Hematoxylin counterstain.

Perform heat mediated antigen retrieval with citrate buffer pH 6 before commencing with IHC staining protocol.

Immunoprecipitation - Anti-NDUFAB1 antibody [EPR6725] (AB181021)
  • IP

Supplier Data

Immunoprecipitation - Anti-NDUFAB1 antibody [EPR6725] (AB181021)

Lysate from HepG2 cells was immunoprecipitated with ab181021 at a 1/60 dilution. A Goat Anti-Rabbit IgG, (H+L), Peroxidase conjugated at a 1/1000 dilution for the secondary. Blocking/ Dilution buffer : 5% NFDM/TBST.

All lanes:

Immunoprecipitation - Anti-NDUFAB1 antibody [EPR6725] (ab181021)

Predicted band size: 17 kDa

false

Western blot - Anti-NDUFAB1 antibody [EPR6725] (AB181021)
  • WB

Supplier Data

Western blot - Anti-NDUFAB1 antibody [EPR6725] (AB181021)

Blocking/ Dilution buffer : 5% NFDM /TBST.

All lanes:

Western blot - Anti-NDUFAB1 antibody [EPR6725] (ab181021) at 1/10000 dilution

Lane 1:

Molt-4 cell lysate at 20 µg

Lane 2:

A431 cell lysate at 20 µg

Lane 3:

HepG2 cell lysate at 20 µg

Secondary

All lanes:

Goat Anti-Rabbit IgG, (H+L), Peroxidase conjugated at 1/1000 dilution

Predicted band size: 17 kDa

false

  • 660 APC

    APC Anti-NDUFAB1 antibody [EPR6725]

  • HRP

    HRP Anti-NDUFAB1 antibody [EPR6725]

  • 519 Alexa Fluor® 488

    Alexa Fluor® 488 Anti-NDUFAB1 antibody [EPR6725]

  • 665 Alexa Fluor® 647

    Alexa Fluor® 647 Anti-NDUFAB1 antibody [EPR6725]

  • 617 Alexa Fluor® 594

    Alexa Fluor® 594 Anti-NDUFAB1 antibody [EPR6725]

  • 603 Alexa Fluor® 568

    Alexa Fluor® 568 Anti-NDUFAB1 antibody [EPR6725]

  • 565 Alexa Fluor® 555

    Alexa Fluor® 555 Anti-NDUFAB1 antibody [EPR6725]

  • Carrier free

    Anti-NDUFAB1 antibody [EPR6725] - BSA and Azide free

  • 578 PE

    PE Anti-NDUFAB1 antibody [EPR6725]

  • 775 Alexa Fluor® 750

    Alexa Fluor® 750 Anti-NDUFAB1 antibody [EPR6725]

Key facts

Host species

Rabbit

Clonality

Monoclonal

Clone number

EPR6725

Isotype

IgG

Carrier free

No

Reacts with

Human

Applications

WB, IP, Flow Cyt (Intra), IHC-P

applications

Immunogen

The exact immunogen used to generate this antibody is proprietary information.

Reactivity data

{ "title": "Reactivity Data", "filters": { "stats": ["", "Species", "Dilution Info", "Notes"], "tabs": { "all-applications": {"fullname" : "All Applications", "shortname": "All Applications"}, "IHCP" : {"fullname" : "Immunohistochemistry (Formalin/PFA-fixed paraffin-embedded sections)", "shortname":"IHC-P"}, "IP" : {"fullname" : "Immunoprecipitation", "shortname":"IP"}, "WB" : {"fullname" : "Western blot", "shortname":"WB"}, "FlowCytIntra" : {"fullname" : "Flow Cytometry (Intracellular)", "shortname":"Flow Cyt (Intra)"} }, "product-promise": { "all": "all", "testedAndGuaranteed": "tested", "guaranteed": "expected", "predicted": "predicted", "notRecommended": "not-recommended" } }, "values": { "Human": { "IHCP-species-checked": "testedAndGuaranteed", "IHCP-species-dilution-info": "1/100 - 1/250", "IHCP-species-notes": "<p></p>", "IP-species-checked": "testedAndGuaranteed", "IP-species-dilution-info": "1/60", "IP-species-notes": "<p></p>", "WB-species-checked": "testedAndGuaranteed", "WB-species-dilution-info": "1/10000 - 1/50000", "WB-species-notes": "<p></p>", "FlowCytIntra-species-checked": "testedAndGuaranteed", "FlowCytIntra-species-dilution-info": "1/160", "FlowCytIntra-species-notes": "<p><a href='/en-us/products/primary-antibodies/rabbit-igg-monoclonal-epr25a-isotype-control-ab172730'>ab172730</a> - Rabbit monoclonal IgG, is suitable for use as an isotype control with this antibody.</p>" }, "Mouse": { "IHCP-species-checked": "predicted", "IHCP-species-dilution-info": "", "IHCP-species-notes": "", "IP-species-checked": "predicted", "IP-species-dilution-info": "", "IP-species-notes": "", "WB-species-checked": "predicted", "WB-species-dilution-info": "", "WB-species-notes": "", "FlowCytIntra-species-checked": "predicted", "FlowCytIntra-species-dilution-info": "", "FlowCytIntra-species-notes": "" } } }

Product details

Patented technology
Our RabMAb® technology is a patented hybridoma-based technology for making rabbit monoclonal antibodies. For details on our patents, please refer to RabMAb® patents.

What are the advantages of a recombinant monoclonal antibody?
This product is a recombinant monoclonal antibody, which offers several advantages including:

  • - High batch-to-batch consistency and reproducibility
  • - Improved sensitivity and specificity
  • - Long-term security of supply
  • - Animal-free batch production

For more information, read more on recombinant antibodies.

Properties and storage information

Form
Liquid
Purification technique
Affinity purification Protein A
Storage buffer
Preservative: 0.01% Sodium azide Constituents: PBS, 40% Glycerol (glycerin, glycerine), 0.05% BSA
Shipped at conditions
Blue Ice
Appropriate short-term storage duration
1-2 weeks
Appropriate short-term storage conditions
+4°C
Appropriate long-term storage conditions
-20°C
Aliquoting information
Upon delivery aliquot
Storage information
Avoid freeze / thaw cycle

Supplementary information

This supplementary information is collated from multiple sources and compiled automatically.

NDUFAB1 also known as mitochondrial acyl-carrier protein is a small protein with a mass of approximately 16 kDa. It plays a role in the mitochondrial fatty acid synthesis pathway and the assembly of the electron transport chain complexes. It is ubiquitously expressed in various tissues indicating a significant role in cellular metabolism. The protein anchors to the matrix side of the inner mitochondrial membrane where it performs its mechanical functions.
Biological function summary

NDUFAB1 is a component of the mitochondrial respiratory chain specifically part of complex I also known as NADH:ubiquinone oxidoreductase. The protein binds to acyl groups and facilitates their transfer within mitochondrial processes. This function is important for the maintenance and regulation of energy production in cells. Its involvement in the synthesis of lipoic acid an essential cofactor for several mitochondrial enzyme complexes further highlights its biological significance.

Pathways

The complex I of which NDUFAB1 is a part participates in the oxidative phosphorylation pathway. This pathway is major in adenosine triphosphate (ATP) production which is critical for energy metabolism. NDUFAB1 closely interacts with NADH and other subunits within the complex to relay electrons through the mitochondrial membrane. This interaction is related to other proteins such as NDUFS6 and NDUFS7 contextualizing NDUFAB1 within a network integral for cellular respiration.

Research shows that mutations or dysregulation of NDUFAB1 can be associated with mitochondrial diseases such as Leigh syndrome a severe neurological disorder. The dysfunction of complex I in these diseases affects energy production which impacts high-energy demanding tissues. NDUFS1 is another protein within complex I that when mutated can also lead to similar disorders indicating that both proteins play roles in the development of mitochondrial dysfunctions.

Product protocols

For this product, it's our understanding that no specific protocols are required. You can visit:

Target data

Carrier of the growing fatty acid chain in fatty acid biosynthesis (By similarity) (PubMed : 27626371). Accessory and non-catalytic subunit of the mitochondrial membrane respiratory chain NADH dehydrogenase (Complex I), which functions in the transfer of electrons from NADH to the respiratory chain (PubMed : 27626371). Accessory protein, of the core iron-sulfur cluster (ISC) assembly complex, that regulates, in association with LYRM4, the stability and the cysteine desulfurase activity of NFS1 and participates in the [2Fe-2S] clusters assembly on the scaffolding protein ISCU (PubMed : 31664822). The core iron-sulfur cluster (ISC) assembly complex is involved in the de novo synthesis of a [2Fe-2S] cluster, the first step of the mitochondrial iron-sulfur protein biogenesis. This process is initiated by the cysteine desulfurase complex (NFS1 : LYRM4 : NDUFAB1) that produces persulfide which is delivered on the scaffold protein ISCU in a FXN-dependent manner. Then this complex is stabilized by FDX2 which provides reducing equivalents to accomplish the [2Fe-2S] cluster assembly. Finally, the [2Fe-2S] cluster is transferred from ISCU to chaperone proteins, including HSCB, HSPA9 and GLRX5 (By similarity).
See full target information NDUFAB1

Publications (7)

Recent publications for all applications. Explore the full list and refine your search

Stem cell research & therapy 16:519 PubMed41013775

2025

Specific induction of right ventricular-like cardiomyocytes from human pluripotent stem cells.

Applications

Unspecified application

Species

Unspecified reactive species

Yukihiro Saito,Kazufumi Nakamura,Yuki Katanosaka,Toshihiro Iida,Dai Kusumoto,Ryushi Sato,Riki Adachi,Satoshi Shimizu,Junko Kurokawa,Satoshi Akagi,Masashi Yoshida,Toru Miyoshi,Hiroshi Morita,Keiji Naruse,Mikako Nishida,Heiichiro Udono,Jianhua Zhang,Shinsuke Yuasa,Timothy J Kamp,Hiroshi Ito

Molecular medicine reports 31: PubMed40183404

2025

α‑ketoglutarate protects against septic cardiomyopathy by improving mitochondrial mitophagy and fission.

Applications

Unspecified application

Species

Unspecified reactive species

Wei Wu,Qiong Ma,Bo-Tao Li,Shuang Shi,Gong-Chang Guan,Jun-Kui Wang,Bao-Yao Xue,Zhong-Wei Liu

Discover oncology 15:631 PubMed39514138

2024

Construction of a novel mitochondrial oxidative stress-related genes prognostic system and molecular subtype characterization for breast cancer.

Applications

Unspecified application

Species

Unspecified reactive species

Ying Liu,Yang Li,Yanzheng Zhu,Min Wang,Zheyao Luan

iScience 26:107790 PubMed37731615

2023

Mitochondrial transplantation ameliorates doxorubicin-induced cardiac dysfunction via activating glutamine metabolism.

Applications

WB

Species

Human

Xiaolei Sun,Hang Chen,Rifeng Gao,Ya Huang,Yanan Qu,Heng Yang,Xiang Wei,Shiyu Hu,Jian Zhang,Peng Wang,Yunzeng Zou,Kai Hu,Junbo Ge,Aijun Sun

Proteomics 22:e2200081 PubMed36059095

2022

Proteomics reveals MRPL4 as a high-risk factor and a potential diagnostic biomarker for prostate cancer.

Applications

Unspecified application

Species

Unspecified reactive species

Qihuan Fu,Ruixia Hong,Hang Zhou,Ying Li,Xiu Liu,Jiaqi Gong,Xiaoyang Wang,Jiajia Chen,Haiying Ran,Liting Wang,Fang Li,Jiangbei Yuan

Cell death and differentiation 27:1660-1676 PubMed31685978

2019

Epigenetic regulation of the Warburg effect by H2B monoubiquitination.

Applications

Unspecified application

Species

Unspecified reactive species

Yuan-Ya Jing,Feng-Feng Cai,Lei Zhang,Jing Han,Lu Yang,Fan Tang,Ya-Bin Li,Jian-Feng Chang,Feng Sun,Xiao-Mei Yang,Fang-Lin Sun,Su Chen

MedChemComm 10:209-220 PubMed30881609

2019

4'-Phosphopantetheine and long acyl chain-dependent interactions are integral to human mitochondrial acyl carrier protein function.

Applications

Unspecified application

Species

Unspecified reactive species

Jaimeen D Majmudar,Xidong Feng,Nicholas G Fox,Joseph F Nabhan,Theresa Towle,Tiffany Ma,Renea Gooch,Christine Bulawa,Wyatt W Yue,Alain Martelli
View all publications

Product promise

We are committed to supporting your work with high-quality reagents, and we're here for you every step of the way. In the unlikely event that one of our products does not perform as expected, you're protected by our Product Promise.
For full details, please see our Terms & Conditions

Please note: All products are 'FOR RESEARCH USE ONLY. NOT FOR USE IN DIAGNOSTIC OR THERAPEUTIC PROCEDURES'.

For licensing inquiries, please contact partnerships@abcam.com