JavaScript is disabled in your browser. Please enable JavaScript to view this website.
AB79826

Anti-NDUFAF1 antibody [EPR2796]

Be the first to review this product! Submit a review

|

(7 Publications)

Rabbit Recombinant Monoclonal NDUFAF1 antibody. Suitable for IHC-P, WB, ICC/IF, Flow Cyt (Intra) and reacts with Human samples. Cited in 7 publications.

View Alternative Names

CIA30, CGI-65, NDUFAF1, NADH dehydrogenase [ubiquinone] 1 alpha subcomplex assembly factor 1

5 Images
Immunocytochemistry/ Immunofluorescence - Anti-NDUFAF1 antibody [EPR2796] (AB79826)
  • ICC/IF

Unknown

Immunocytochemistry/ Immunofluorescence - Anti-NDUFAF1 antibody [EPR2796] (AB79826)

Immunocytochemistry/Immunofluorescence analysis of HeLa (human cervix adenocarcinoma) labelling NDUFAF1 with purified 79826 at 1/500. Cells were fixed with 100% methanol. An Alexa Fluor® 488-conjugated goat anti-rabbit IgG (1/1000) was used as the secondary antibody (ab150077). Nuclei counterstained with DAPI (blue).

Control : PBS only

Immunocytochemistry/ Immunofluorescence - Anti-NDUFAF1 antibody [EPR2796] (AB79826)
  • ICC/IF

Unknown

Immunocytochemistry/ Immunofluorescence - Anti-NDUFAF1 antibody [EPR2796] (AB79826)

Immunofluorescence analysis of HeLa cells using 1/100 ab79826.

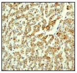
Immunohistochemistry (Formalin/PFA-fixed paraffin-embedded sections) - Anti-NDUFAF1 antibody [EPR2796] (AB79826)
  • IHC-P

Unknown

Immunohistochemistry (Formalin/PFA-fixed paraffin-embedded sections) - Anti-NDUFAF1 antibody [EPR2796] (AB79826)

Immunohistochemistry analysis of formalin-fixed paraffin-embedded Human liver tissue using 1/100 ab79826.

Perform heat mediated antigen retrieval before commencing with IHC staining protocol.

Flow Cytometry (Intracellular) - Anti-NDUFAF1 antibody [EPR2796] (AB79826)
  • Flow Cyt (Intra)

Unknown

Flow Cytometry (Intracellular) - Anti-NDUFAF1 antibody [EPR2796] (AB79826)

Intracellular Flow Cytometry analysis of HeLa (human cervix adenocarcinoma) cells labeling NDUFAF1 (red) with ab79826 at a 1/250 dilution. Cells were fixed with 4% paraformaldehyde and permeabilized with 90% methanol. A goat anti-rabbit IgG (Alexa Fluorr® 488) (ab150077) was used as the secondary antibody at a 1/2000 dilution. Black - Rabbit monoclonal IgG (ab172730). Blue (unlabeled control) - Cells without incubation with the primary and secondary antibodies.

Western blot - Anti-NDUFAF1 antibody [EPR2796] (AB79826)
  • WB

Unknown

Western blot - Anti-NDUFAF1 antibody [EPR2796] (AB79826)

All lanes:

Western blot - Anti-NDUFAF1 antibody [EPR2796] (ab79826) at 1/10000 dilution

Lane 1:

HeLa cell lysate at 10 µg

Lane 2:

Jurkat cell lysate at 10 µg

Lane 3:

Human heart tissue lysate at 10 µg

Secondary

All lanes:

Goat anti-rabbit HRP-conjugated at 1/2000 dilution

Predicted band size: 37 kDa

Observed band size: 33 kDa

false

  • Carrier free

    Anti-NDUFAF1 antibody [EPR2796] - BSA and Azide free

Key facts

Host species

Rabbit

Clonality

Monoclonal

Clone number

EPR2796

Isotype

IgG

Carrier free

No

Reacts with

Human

Applications

IHC-P, WB, Flow Cyt (Intra), ICC/IF

applications

Immunogen

The exact immunogen used to generate this antibody is proprietary information.

Reactivity data

{ "title": "Reactivity Data", "filters": { "stats": ["", "Species", "Dilution Info", "Notes"], "tabs": { "all-applications": {"fullname" : "All Applications", "shortname": "All Applications"}, "IHCP" : {"fullname" : "Immunohistochemistry (Formalin/PFA-fixed paraffin-embedded sections)", "shortname":"IHC-P"}, "WB" : {"fullname" : "Western blot", "shortname":"WB"}, "ICCIF" : {"fullname" : "Immunocytochemistry/ Immunofluorescence", "shortname":"ICC/IF"}, "FlowCytIntra" : {"fullname" : "Flow Cytometry (Intracellular)", "shortname":"Flow Cyt (Intra)"} }, "product-promise": { "all": "all", "testedAndGuaranteed": "tested", "guaranteed": "expected", "predicted": "predicted", "notRecommended": "not-recommended" } }, "values": { "Human": { "IHCP-species-checked": "testedAndGuaranteed", "IHCP-species-dilution-info": "1/100 - 1/250", "IHCP-species-notes": "<p></p>", "WB-species-checked": "testedAndGuaranteed", "WB-species-dilution-info": "1/10000 - 1/50000", "WB-species-notes": "<p></p>", "ICCIF-species-checked": "testedAndGuaranteed", "ICCIF-species-dilution-info": "1/100 - 1/500", "ICCIF-species-notes": "<p></p>", "FlowCytIntra-species-checked": "testedAndGuaranteed", "FlowCytIntra-species-dilution-info": "1/250", "FlowCytIntra-species-notes": "<p></p>" }, "Mouse": { "IHCP-species-checked": "predicted", "IHCP-species-dilution-info": "", "IHCP-species-notes": "", "WB-species-checked": "predicted", "WB-species-dilution-info": "", "WB-species-notes": "", "ICCIF-species-checked": "predicted", "ICCIF-species-dilution-info": "", "ICCIF-species-notes": "", "FlowCytIntra-species-checked": "predicted", "FlowCytIntra-species-dilution-info": "", "FlowCytIntra-species-notes": "" }, "Rat": { "IHCP-species-checked": "predicted", "IHCP-species-dilution-info": "", "IHCP-species-notes": "", "WB-species-checked": "predicted", "WB-species-dilution-info": "", "WB-species-notes": "", "ICCIF-species-checked": "predicted", "ICCIF-species-dilution-info": "", "ICCIF-species-notes": "", "FlowCytIntra-species-checked": "predicted", "FlowCytIntra-species-dilution-info": "", "FlowCytIntra-species-notes": "" } } }

Product details

Patented technology
Our RabMAb® technology is a patented hybridoma-based technology for making rabbit monoclonal antibodies. For details on our patents, please refer to RabMAb® patents.

What are the advantages of a recombinant monoclonal antibody?
This product is a recombinant monoclonal antibody, which offers several advantages including:

  • - High batch-to-batch consistency and reproducibility
  • - Improved sensitivity and specificity
  • - Long-term security of supply
  • - Animal-free batch production

For more information, read more on recombinant antibodies.

Properties and storage information

Form
Liquid
Purification technique
Affinity purification Protein A
Storage buffer
pH: 7.2 - 7.4 Preservative: 0.05% Sodium azide Constituents: 50% Tissue culture supernatant, 40% Glycerol (glycerin, glycerine), 9.85% Tris glycine, 0.1% BSA
Shipped at conditions
Blue Ice
Appropriate short-term storage conditions
+4°C
Appropriate long-term storage conditions
-20°C
Storage information
Stable for 12 months at -20°C

Supplementary information

This supplementary information is collated from multiple sources and compiled automatically.

NDUFAF1 also known as NADH dehydrogenase (ubiquinone) complex I assembly factor 1 plays an essential role in the mitochondrial respiratory chain by assisting the assembly of complex I. This protein has a mass of approximately 36 kDa. NDUFAF1 expression occurs mainly in tissues with high metabolic activity like the brain heart and skeletal muscle. It facilitates the proper formation and function of the complex I assembly allowing efficient electron transport essential for cellular respiration.
Biological function summary

NDUFAF1 is a critical assembly factor integral to forming the mitochondrial complex I also known as NADH:ubiquinone oxidoreductase. NDUFAF1 contributes to the stability and proper function of this multi-component enzyme system which is important in cellular energy production. As part of the complex it ensures efficient ATP generation through oxidative phosphorylation which is the primary source of energy in aerobic eukaryotic cells.

Pathways

NDUFAF1 functions predominantly in the oxidative phosphorylation pathway. This involvement connects NDUFAF1 to the fundamental molecular processes sustaining life. The protein plays a role alongside others like NDUFV1 and NDUFS1 in maintaining complex I activity. These relationships ensure the effective transfer of electrons from NADH to ubiquinone promoting efficient energy production throughout the cell.

NDUFAF1 mutations or dysfunction have been linked to mitochondrial disorders such as Leigh syndrome and complex I deficiency. These conditions are often characterized by a disruption in mitochondrial energy metabolism leading to severe neurological and muscular symptoms. Furthermore NDUFAF1 dysfunction can indirectly affect other proteins like NDUFS4 which is also involved in complex I assembly and function exacerbating the disease phenotypes. Mitochondrial diseases often arise from impaired pathways involving several network proteins highlighting the significance of proper NDUFAF1 function.

Product protocols

For this product, it's our understanding that no specific protocols are required. You can visit:

Target data

As part of the MCIA complex, involved in the assembly of the mitochondrial complex I.
See full target information NDUFAF1

Publications (7)

Recent publications for all applications. Explore the full list and refine your search

Advanced science (Weinheim, Baden-Wurttemberg, Germany) 12:e2414358 PubMed39746855

2025

ECSIT-X4 is Required for Preventing Pressure Overload-Induced Cardiac Hypertrophy via Regulating Mitochondrial STAT3.

Applications

Unspecified application

Species

Unspecified reactive species

Xia Lu,Tingting Tong,Haoliang Sun,Yi Chen,Yongfeng Shao,Pengxi Shi,Linli Que,Li Liu,Guoqing Zhu,Qi Chen,Chuanfu Li,Jiantao Li,Shuo Yang,Yuehua Li

Advanced science (Weinheim, Baden-Wurttemberg, Germany) 11:e2406026 PubMed39494721

2024

Aloe Emodin Alleviates Radiation-Induced Heart Disease via Blocking P4HB Lactylation and Mitigating Kynurenine Metabolic Disruption.

Applications

Unspecified application

Species

Unspecified reactive species

Fan Ouyang,Yaling Li,Haoming Wang,Xiangyang Liu,Xiaoli Tan,Genyuan Xie,Junfa Zeng,Gaofeng Zeng,Qiong Luo,Hong Zhou,Siming Chen,Kai Hou,Jinren Fang,Xia Zhang,Linlin Zhou,Yukun Li,Anbo Gao

The journal of physiological sciences : JPS 73:27 PubMed37940872

2023

Emerin deficiency does not exacerbate cardiomyopathy in a murine model of Emery-Dreifuss muscular dystrophy caused by an LMNA gene mutation.

Applications

Unspecified application

Species

Unspecified reactive species

Eiji Wada,Kohei Matsumoto,Nao Susumu,Megumi Kato,Yukiko K Hayashi

Cureus 14:e25088 PubMed35600069

2022

Gestational Intermittent Hypoxia Induces Mitochondrial Impairment in the Geniohyoid Muscle of Offspring Rats.

Applications

Unspecified application

Species

Unspecified reactive species

Wirongrong Wongkitikamjorn,Jun Hosomichi,Eiji Wada,Hideyuki Maeda,Sirichom Satrawaha,Haixin Hong,Yukiko K Hayashi,Ken-Ichi Yoshida,Takashi Ono

The Journal of biological chemistry 297:101005 PubMed34314685

2021

Diverse mitochondrial abnormalities in a new cellular model of TAFFAZZIN deficiency are remediated by cardiolipin-interacting small molecules.

Applications

Unspecified application

Species

Unspecified reactive species

Arianna F Anzmann,Olivia L Sniezek,Alexandra Pado,Veronica Busa,Frédéric M Vaz,Simion D Kreimer,Lauren R DeVine,Robert N Cole,Anne Le,Brian J Kirsch,Steven M Claypool,Hilary J Vernon

Nature communications 5:3837 PubMed24815183

2014

Low abundance of the matrix arm of complex I in mitochondria predicts longevity in mice.

Applications

WB

Species

Mouse

Satomi Miwa,Howsun Jow,Karen Baty,Amy Johnson,Rafal Czapiewski,Gabriele Saretzki,Achim Treumann,Thomas von Zglinicki

Laboratory investigation; a journal of technical m 94:557-68 PubMed24589856

2014

HIF-mediated metabolic switching in bladder outlet obstruction mitigates the relaxing effect of mitochondrial inhibition.

Applications

Unspecified application

Species

Unspecified reactive species

Mari Ekman,Bengt Uvelius,Sebastian Albinsson,Karl Swärd
View all publications

Product promise

We are committed to supporting your work with high-quality reagents, and we're here for you every step of the way. In the unlikely event that one of our products does not perform as expected, you're protected by our Product Promise.
For full details, please see our Terms & Conditions

Please note: All products are 'FOR RESEARCH USE ONLY. NOT FOR USE IN DIAGNOSTIC OR THERAPEUTIC PROCEDURES'.

For licensing inquiries, please contact partnerships@abcam.com