JavaScript is disabled in your browser. Please enable JavaScript to view this website.
AB247510

Anti-NDUFAF1 antibody [EPR2796] - BSA and Azide free

Be the first to review this product! Submit a review

|

(0 Publication)

Rabbit Recombinant Monoclonal NDUFAF1 antibody. Carrier free. Suitable for IHC-P, ICC/IF, WB, Flow Cyt (Intra) and reacts with Human samples.

View Alternative Names

CIA30, CGI-65, NDUFAF1, NADH dehydrogenase [ubiquinone] 1 alpha subcomplex assembly factor 1

5 Images
Western blot - Anti-NDUFAF1 antibody [EPR2796] - BSA and Azide free (AB247510)
  • WB

Unknown

Western blot - Anti-NDUFAF1 antibody [EPR2796] - BSA and Azide free (AB247510)

This data was developed using ab79826, the same antibody clone in a different buffer formulation.

All lanes:

Western blot - Anti-NDUFAF1 antibody [EPR2796] (<a href='/en-us/products/primary-antibodies/ndufaf1-antibody-epr2796-ab79826'>ab79826</a>) at 1/10000 dilution

Lane 1:

HeLa cell lysate at 10 µg

Lane 2:

Jurkat cell lysate at 10 µg

Lane 3:

Human heart tissue lysate at 10 µg

Secondary

All lanes:

Goat anti-rabbit HRP-conjugated at 1/2000 dilution

Predicted band size: 37 kDa

Observed band size: 33 kDa

false

Immunocytochemistry/ Immunofluorescence - Anti-NDUFAF1 antibody [EPR2796] - BSA and Azide free (AB247510)
  • ICC/IF

Unknown

Immunocytochemistry/ Immunofluorescence - Anti-NDUFAF1 antibody [EPR2796] - BSA and Azide free (AB247510)

This data was developed using ab79826, the same antibody clone in a different buffer formulation.

Immunocytochemistry/Immunofluorescence analysis of HeLa (human cervix adenocarcinoma) labelling NDUFAF1 with purified 79826 at 1/500. Cells were fixed with 100% methanol. An Alexa Fluor® 488-conjugated goat anti-rabbit IgG (1/1000) was used as the secondary antibody (ab150077). Nuclei counterstained with DAPI (blue).

Control : PBS only

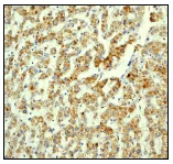
Immunohistochemistry (Formalin/PFA-fixed paraffin-embedded sections) - Anti-NDUFAF1 antibody [EPR2796] - BSA and Azide free (AB247510)
  • IHC-P

Unknown

Immunohistochemistry (Formalin/PFA-fixed paraffin-embedded sections) - Anti-NDUFAF1 antibody [EPR2796] - BSA and Azide free (AB247510)

This data was developed using ab79826, the same antibody clone in a different buffer formulation.

Immunohistochemistry analysis of formalin-fixed, paraffin-embedded Human liver tissue using 1/100 ab79826.

Perform heat mediated antigen retrieval before commencing with IHC staining protocol.

Immunocytochemistry/ Immunofluorescence - Anti-NDUFAF1 antibody [EPR2796] - BSA and Azide free (AB247510)
  • ICC/IF

Unknown

Immunocytochemistry/ Immunofluorescence - Anti-NDUFAF1 antibody [EPR2796] - BSA and Azide free (AB247510)

This data was developed using ab79826, the same antibody clone in a different buffer formulation.Immunofluorescence analysis of HeLa cells using 1/100 ab79826.

Flow Cytometry (Intracellular) - Anti-NDUFAF1 antibody [EPR2796] - BSA and Azide free (AB247510)
  • Flow Cyt (Intra)

Unknown

Flow Cytometry (Intracellular) - Anti-NDUFAF1 antibody [EPR2796] - BSA and Azide free (AB247510)

This data was developed using ab79826, the same antibody clone in a different buffer formulation.

Intracellular Flow Cytometry analysis of HeLa (human cervix adenocarcinoma) cells labeling NDUFAF1 (red) with ab79826 at a 1/250 dilution. Cells were fixed with 4% paraformaldehyde and permeabilized with 90% methanol. A goat anti-rabbit IgG (Alexa Fluor® 488) (ab150077) was used as the secondary antibody at a 1/2000 dilution. Black - Rabbit monoclonal IgG (ab172730). Blue (unlabeled control) - Cells without incubation with the primary and secondary antibodies.

Key facts

Host species

Rabbit

Clonality

Monoclonal

Clone number

EPR2796

Isotype

IgG

Carrier free

Yes

Reacts with

Human

Applications

ICC/IF, IHC-P, WB, Flow Cyt (Intra)

applications

Immunogen

The exact immunogen used to generate this antibody is proprietary information.

Reactivity data

{ "title": "Reactivity Data", "filters": { "stats": ["", "Species", "Dilution Info", "Notes"], "tabs": { "all-applications": {"fullname" : "All Applications", "shortname": "All Applications"}, "IHCP" : {"fullname" : "Immunohistochemistry (Formalin/PFA-fixed paraffin-embedded sections)", "shortname":"IHC-P"}, "ICCIF" : {"fullname" : "Immunocytochemistry/ Immunofluorescence", "shortname":"ICC/IF"}, "WB" : {"fullname" : "Western blot", "shortname":"WB"}, "FlowCytIntra" : {"fullname" : "Flow Cytometry (Intracellular)", "shortname":"Flow Cyt (Intra)"} }, "product-promise": { "all": "all", "testedAndGuaranteed": "tested", "guaranteed": "expected", "predicted": "predicted", "notRecommended": "not-recommended" } }, "values": { "Human": { "IHCP-species-checked": "testedAndGuaranteed", "IHCP-species-dilution-info": "", "IHCP-species-notes": "<p></p>", "ICCIF-species-checked": "testedAndGuaranteed", "ICCIF-species-dilution-info": "", "ICCIF-species-notes": "<p></p>", "WB-species-checked": "testedAndGuaranteed", "WB-species-dilution-info": "", "WB-species-notes": "<p></p>", "FlowCytIntra-species-checked": "testedAndGuaranteed", "FlowCytIntra-species-dilution-info": "", "FlowCytIntra-species-notes": "<p></p>" }, "Mouse": { "IHCP-species-checked": "predicted", "IHCP-species-dilution-info": "", "IHCP-species-notes": "", "ICCIF-species-checked": "predicted", "ICCIF-species-dilution-info": "", "ICCIF-species-notes": "", "WB-species-checked": "predicted", "WB-species-dilution-info": "", "WB-species-notes": "", "FlowCytIntra-species-checked": "predicted", "FlowCytIntra-species-dilution-info": "", "FlowCytIntra-species-notes": "" }, "Rat": { "IHCP-species-checked": "predicted", "IHCP-species-dilution-info": "", "IHCP-species-notes": "", "ICCIF-species-checked": "predicted", "ICCIF-species-dilution-info": "", "ICCIF-species-notes": "", "WB-species-checked": "predicted", "WB-species-dilution-info": "", "WB-species-notes": "", "FlowCytIntra-species-checked": "predicted", "FlowCytIntra-species-dilution-info": "", "FlowCytIntra-species-notes": "" } } }

You may be interested in:

AB109720

Complex I Enzyme Activity Dipstick Assay Kit

4

1 Reviews

View product

We recommend this product because it’s often used in the same experiment or related research.

We advise that you always check the datasheet to ensure it fits your experiments, or contact ourtechnical teamfor help.

Product details

ab247510 is the carrier-free version of ab79826.

Patented technology
Our RabMAb® technology is a patented hybridoma-based technology for making rabbit monoclonal antibodies. For details on our patents, please refer to RabMAb® patents.

What are the advantages of a recombinant monoclonal antibody?
This product is a recombinant monoclonal antibody, which offers several advantages including:

  • - High batch-to-batch consistency and reproducibility
  • - Improved sensitivity and specificity
  • - Long-term security of supply
  • - Animal-free batch production

For more information, read more on recombinant antibodies.

Conjugation ready
Our carrier-free antibodies are typically supplied in a PBS-only formulation, purified and free of BSA, sodium azide and glycerol. This conjugation-ready format is designed for use with fluorochromes, metal isotopes, oligonucleotides, and enzymes, which makes them ideal for antibody labelling, functional and cell-based assays, flow-based assays (e.g. mass cytometry) and Multiplex Imaging applications.

Use our conjugation kits for antibody conjugates that are ready-to-use in as little as 20 minutes with 1 minute hands-on-time and 100% antibody recovery: available for fluorescent dyes, HRP, biotin and gold.

Compatibility
This product is compatible with the Maxpar® Antibody Labeling Kit from Fluidigm, without the need for antibody preparation. Maxpar® is a trademark of Fluidigm Canada Inc.

Properties and storage information

Form
Liquid
Purification technique
Affinity purification Protein A
Storage buffer
pH: 7.2 - 7.4 Constituents: PBS
Shipped at conditions
Blue Ice
Appropriate short-term storage conditions
+4°C
Appropriate long-term storage conditions
+4°C
Storage information
Do Not Freeze

Supplementary information

This supplementary information is collated from multiple sources and compiled automatically.

NDUFAF1 also known as NADH dehydrogenase (ubiquinone) complex I assembly factor 1 plays an essential role in the mitochondrial respiratory chain by assisting the assembly of complex I. This protein has a mass of approximately 36 kDa. NDUFAF1 expression occurs mainly in tissues with high metabolic activity like the brain heart and skeletal muscle. It facilitates the proper formation and function of the complex I assembly allowing efficient electron transport essential for cellular respiration.
Biological function summary

NDUFAF1 is a critical assembly factor integral to forming the mitochondrial complex I also known as NADH:ubiquinone oxidoreductase. NDUFAF1 contributes to the stability and proper function of this multi-component enzyme system which is important in cellular energy production. As part of the complex it ensures efficient ATP generation through oxidative phosphorylation which is the primary source of energy in aerobic eukaryotic cells.

Pathways

NDUFAF1 functions predominantly in the oxidative phosphorylation pathway. This involvement connects NDUFAF1 to the fundamental molecular processes sustaining life. The protein plays a role alongside others like NDUFV1 and NDUFS1 in maintaining complex I activity. These relationships ensure the effective transfer of electrons from NADH to ubiquinone promoting efficient energy production throughout the cell.

NDUFAF1 mutations or dysfunction have been linked to mitochondrial disorders such as Leigh syndrome and complex I deficiency. These conditions are often characterized by a disruption in mitochondrial energy metabolism leading to severe neurological and muscular symptoms. Furthermore NDUFAF1 dysfunction can indirectly affect other proteins like NDUFS4 which is also involved in complex I assembly and function exacerbating the disease phenotypes. Mitochondrial diseases often arise from impaired pathways involving several network proteins highlighting the significance of proper NDUFAF1 function.

Product protocols

For this product, it's our understanding that no specific protocols are required. You can visit:

Target data

As part of the MCIA complex, involved in the assembly of the mitochondrial complex I.
See full target information NDUFAF1

Product promise

We are committed to supporting your work with high-quality reagents, and we're here for you every step of the way. In the unlikely event that one of our products does not perform as expected, you're protected by our Product Promise.
For full details, please see our Terms & Conditions

Please note: All products are 'FOR RESEARCH USE ONLY. NOT FOR USE IN DIAGNOSTIC OR THERAPEUTIC PROCEDURES'.

For licensing inquiries, please contact partnerships@abcam.com