JavaScript is disabled in your browser. Please enable JavaScript to view this website.
AB192235

Anti-NDUFAF5 antibody [EPR15870] - C-terminal

Be the first to review this product! Submit a review

|

(3 Publications)

Rabbit Recombinant Monoclonal NDUFAF5 antibody. C-terminal. Suitable for IP, WB, ICC/IF, Flow Cyt (Intra), IHC-P and reacts with Human, Mouse samples. Cited in 3 publications.

View Alternative Names

C20orf7, NDUFAF5, NADH dehydrogenase [ubiquinone] 1 alpha subcomplex assembly factor 5, Putative methyltransferase NDUFAF5

8 Images
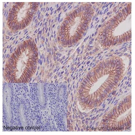
Immunohistochemistry (Formalin/PFA-fixed paraffin-embedded sections) - Anti-NDUFAF5 antibody [EPR15870] - C-terminal (AB192235)
  • IHC-P

Supplier Data

Immunohistochemistry (Formalin/PFA-fixed paraffin-embedded sections) - Anti-NDUFAF5 antibody [EPR15870] - C-terminal (AB192235)

Immunohistochemical analysis of paraffin-embedded Human endometrium tissue labeling NDUFAF5 with ab192235 at 1/1000 dilution, followed by pre-diluted HRP Polymer for Rabbit/Mouse IgG secondary antibody and counter-stained with Hematoxylin. (inset : negative control).

Perform heat mediated antigen retrieval with Tris/EDTA buffer pH 9.0 before commencing with IHC staining protocol.

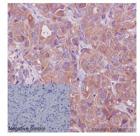
Immunohistochemistry (Formalin/PFA-fixed paraffin-embedded sections) - Anti-NDUFAF5 antibody [EPR15870] - C-terminal (AB192235)
  • IHC-P

Supplier Data

Immunohistochemistry (Formalin/PFA-fixed paraffin-embedded sections) - Anti-NDUFAF5 antibody [EPR15870] - C-terminal (AB192235)

Immunohistochemical analysis of paraffin-embedded Human breast carcinoma tissue labeling NDUFAF5 with ab192235 at 1/1000 dilution, followed by pre-diluted HRP Polymer for Rabbit/Mouse IgG secondary antibody and counter-stained with Hematoxylin. (inset : negative control).

Perform heat mediated antigen retrieval with Tris/EDTA buffer pH 9.0 before commencing with IHC staining protocol.

Immunoprecipitation - Anti-NDUFAF5 antibody [EPR15870] - C-terminal (AB192235)
  • IP

Supplier Data

Immunoprecipitation - Anti-NDUFAF5 antibody [EPR15870] - C-terminal (AB192235)

Western blot analysis of pellet from 293 cell lysate immunoprecipitated using ab192235 at 1/100 dilution (lane 1) or PBS control (lane 2).
Secondary antibody : Anti-Rabbit IgG (HRP), specific to the non-reduced form of IgG, at 1/1500 dilution.

All lanes:

Immunoprecipitation - Anti-NDUFAF5 antibody [EPR15870] - C-terminal (ab192235)

Predicted band size: 38 kDa

Observed band size: 38 kDa

false

Immunocytochemistry/ Immunofluorescence - Anti-NDUFAF5 antibody [EPR15870] - C-terminal (AB192235)
  • ICC/IF

Supplier Data

Immunocytochemistry/ Immunofluorescence - Anti-NDUFAF5 antibody [EPR15870] - C-terminal (AB192235)

Immunofluorescent analysis of NIH 3T3 cells (4% Paraformaldehyde-fixed, 0.1% tritonX-100 permeabilized) labeling NDUFAF5 with ab192235 at 1/400 dilution (5μg/mL) followed by Goat anti rabbit IgG (AlexaFluor® 488) (ab150077) secondary at 1/200 dilution and counter-stained with DAPI (blue).
Negative controls : anti-NDUFAF5 at 1/400 dilution, Secondary ab (Goat anti mouse IgG (Alexa Fluor®594)) at 1/400 dilution.

Flow Cytometry (Intracellular) - Anti-NDUFAF5 antibody [EPR15870] - C-terminal (AB192235)
  • Flow Cyt (Intra)

Lab

Flow Cytometry (Intracellular) - Anti-NDUFAF5 antibody [EPR15870] - C-terminal (AB192235)

Intracellular Flow Cytometry analysis of NIH/3T3 (mouse embryo) cells labelling NDUFAF5 (red) with purified ab192235 at dilution of 1/200. The secondary antibody used was Alexa Fluorr® 488 goat-anti-rabbit IgG (1/2000). Cells were fixed with 4% paraformaldehyde and permeabilised with 90% methanol. Isotype control antibody used was Rabbit Monoclonal IgG (black). The blue line shows cells without incubation with primary antibody and secondary antibody.

Western blot - Anti-NDUFAF5 antibody [EPR15870] - C-terminal (AB192235)
  • WB

Supplier Data

Western blot - Anti-NDUFAF5 antibody [EPR15870] - C-terminal (AB192235)

All lanes:

Western blot - Anti-NDUFAF5 antibody [EPR15870] - C-terminal (ab192235) at 1/1000 dilution

Lane 1:

Human skeletal muscle lysate at 10 µg

Lane 2:

Human fetal liver lysate at 10 µg

Secondary

All lanes:

Anti-Rabbit IgG (HRP), specific to the non-reduced form of IgG at 1/1000 dilution

Predicted band size: 38 kDa

Observed band size: 38 kDa

false

Western blot - Anti-NDUFAF5 antibody [EPR15870] - C-terminal (AB192235)
  • WB

Supplier Data

Western blot - Anti-NDUFAF5 antibody [EPR15870] - C-terminal (AB192235)

All lanes:

Western blot - Anti-NDUFAF5 antibody [EPR15870] - C-terminal (ab192235) at 1/1000 dilution

Lane 1:

Mouse brain lysate at 10 µg

Lane 2:

Mouse heart lysate at 10 µg

Lane 3:

Mouse kidney lysate at 10 µg

Lane 4:

Mouse spleen lysate at 10 µg

Lane 5:

RAW 264.7 lysate at 10 µg

Lane 6:

NIH 3T3 lysate at 10 µg

Secondary

All lanes:

Goat Anti-Rabbit IgG, (H+L), Peroxidase conjugate at 1/1000 dilution

Predicted band size: 38 kDa

Observed band size: 38 kDa

false

Western blot - Anti-NDUFAF5 antibody [EPR15870] - C-terminal (AB192235)
  • WB

Supplier Data

Western blot - Anti-NDUFAF5 antibody [EPR15870] - C-terminal (AB192235)

All lanes:

Western blot - Anti-NDUFAF5 antibody [EPR15870] - C-terminal (ab192235) at 1/5000 dilution

Lane 1:

HepG2 cell lysate at 10 µg

Lane 2:

293 cell lysate at 10 µg

Lane 3:

HeLa cell lysate at 10 µg

Lane 4:

Jurkat cell lysate at 10 µg

Secondary

All lanes:

Goat Anti-Rabbit IgG, (H+L), Peroxidase conjugate at 1/1000 dilution

Predicted band size: 38 kDa

Observed band size: 38 kDa

false

  • Carrier free

    Anti-NDUFAF5 antibody [EPR15870] - BSA and Azide free

Key facts

Host species

Rabbit

Clonality

Monoclonal

Clone number

EPR15870

Isotype

IgG

Carrier free

No

Reacts with

Mouse, Human

Applications

ICC/IF, WB, IHC-P, IP, Flow Cyt (Intra)

applications

Immunogen

The exact immunogen used to generate this antibody is proprietary information.

Reactivity data

{ "title": "Reactivity Data", "filters": { "stats": ["", "Species", "Dilution Info", "Notes"], "tabs": { "all-applications": {"fullname" : "All Applications", "shortname": "All Applications"}, "IP" : {"fullname" : "Immunoprecipitation", "shortname":"IP"}, "WB" : {"fullname" : "Western blot", "shortname":"WB"}, "ICCIF" : {"fullname" : "Immunocytochemistry/ Immunofluorescence", "shortname":"ICC/IF"}, "FlowCytIntra" : {"fullname" : "Flow Cytometry (Intracellular)", "shortname":"Flow Cyt (Intra)"}, "IHCP" : {"fullname" : "Immunohistochemistry (Formalin/PFA-fixed paraffin-embedded sections)", "shortname":"IHC-P"} }, "product-promise": { "all": "all", "testedAndGuaranteed": "tested", "guaranteed": "expected", "predicted": "predicted", "notRecommended": "not-recommended" } }, "values": { "Human": { "IP-species-checked": "testedAndGuaranteed", "IP-species-dilution-info": "1/100", "IP-species-notes": "<p></p>", "WB-species-checked": "testedAndGuaranteed", "WB-species-dilution-info": "1/1000 - 1/5000", "WB-species-notes": "<p></p>", "ICCIF-species-checked": "guaranteed", "ICCIF-species-dilution-info": "", "ICCIF-species-notes": "", "FlowCytIntra-species-checked": "guaranteed", "FlowCytIntra-species-dilution-info": "", "FlowCytIntra-species-notes": "", "IHCP-species-checked": "testedAndGuaranteed", "IHCP-species-dilution-info": "1/1000", "IHCP-species-notes": "<p></p> Perform heat-mediated antigen retrieval with Tris/EDTA buffer pH 9.0 before commencing with IHC staining protocol." }, "Mouse": { "IP-species-checked": "guaranteed", "IP-species-dilution-info": "", "IP-species-notes": "", "WB-species-checked": "testedAndGuaranteed", "WB-species-dilution-info": "1/1000 - 1/5000", "WB-species-notes": "<p></p>", "ICCIF-species-checked": "testedAndGuaranteed", "ICCIF-species-dilution-info": "1/400", "ICCIF-species-notes": "<p></p>", "FlowCytIntra-species-checked": "testedAndGuaranteed", "FlowCytIntra-species-dilution-info": "1/200", "FlowCytIntra-species-notes": "<p></p>", "IHCP-species-checked": "guaranteed", "IHCP-species-dilution-info": "", "IHCP-species-notes": "" }, "Rat": { "IP-species-checked": "predicted", "IP-species-dilution-info": "", "IP-species-notes": "", "WB-species-checked": "predicted", "WB-species-dilution-info": "", "WB-species-notes": "", "ICCIF-species-checked": "predicted", "ICCIF-species-dilution-info": "", "ICCIF-species-notes": "", "FlowCytIntra-species-checked": "predicted", "FlowCytIntra-species-dilution-info": "", "FlowCytIntra-species-notes": "", "IHCP-species-checked": "predicted", "IHCP-species-dilution-info": "", "IHCP-species-notes": "" } } }

Product details

Patented technology
Our RabMAb® technology is a patented hybridoma-based technology for making rabbit monoclonal antibodies. For details on our patents, please refer to RabMAb® patents.

What are the advantages of a recombinant monoclonal antibody?
This product is a recombinant monoclonal antibody, which offers several advantages including:

  • - High batch-to-batch consistency and reproducibility
  • - Improved sensitivity and specificity
  • - Long-term security of supply
  • - Animal-free batch production

For more information, read more on recombinant antibodies.

Properties and storage information

Form
Liquid
Purification technique
Affinity purification Protein A
Storage buffer
pH: 7.2 - 7.4 Preservative: 0.01% Sodium azide Constituents: PBS, 40% Glycerol (glycerin, glycerine), 0.05% BSA
Shipped at conditions
Blue Ice
Appropriate short-term storage duration
1-2 weeks
Appropriate short-term storage conditions
+4°C
Appropriate long-term storage conditions
-20°C
Aliquoting information
Upon delivery aliquot
Storage information
Avoid freeze / thaw cycle

Supplementary information

This supplementary information is collated from multiple sources and compiled automatically.

NDUFAF5 also known as NADH:ubiquinone oxidoreductase complex assembly factor 5 is a mitochondrial protein with a mass of approximately 34 kDa. The protein plays a mechanical role in the assembly of the mitochondrial complex I also termed NADH dehydrogenase. It's necessary for the assembly of this critical component of the electron transport chain which is fundamental for cellular energy production. NDUFAF5 is expressed in various tissues with significant expression in energy-demanding organs such as the heart and brain.
Biological function summary

NDUFAF5 participates in the assembly of complex I an essential part of mitochondrial oxidative phosphorylation. This complex is a multi-subunit structure where NDUFAF5 functions as an important assembly factor interacting with precursor subunits to help build the complex properly. It coordinates the junction of early-stage assembly intermediates working closely with assembly proteins like NDUFAF1 to ensure the formation and maintenance of efficient electron transport.

Pathways

NDUFAF5 is an important player in the mitochondrial oxidative phosphorylation pathway and the electron transport chain. These pathways are responsible for ATP production through the transfer of electrons from NADH to oxygen. NDUFAF5 ensures that complex I integrates correctly into the pathway assisting with proper electron and proton flow. Mitochondrial proteins such as NDUFS1 and CYCS interact closely with NDUFAF5 within these pathways contributing to normal cellular respiration and energy metabolism.

Dysfunctions in NDUFAF5 are linked with complex I deficiency and mitochondrial disorders such as Leigh syndrome. These conditions can result in severe energy production impairments leading to neurological symptoms and muscle weakness. Mutations in NDUFAF5 can alter interactions with assembly proteins such as NDUFAF1 affecting the stability and function of the entire complex I. Observing the involvement of NDUFAF5 could provide insights into the pathological mechanisms of mitochondrial-related diseases and aid in therapeutic development.

Product protocols

For this product, it's our understanding that no specific protocols are required. You can visit:

Target data

Arginine hydroxylase involved in the assembly of mitochondrial NADH : ubiquinone oxidoreductase complex (complex I, MT-ND1) at early stages (PubMed : 18940309, PubMed : 27226634). Acts by mediating hydroxylation of 'Arg-111' of NDUFS7 (PubMed : 27226634). May also have methyltransferase activity (Probable).
See full target information NDUFAF5

Publications (3)

Recent publications for all applications. Explore the full list and refine your search

Journal of Cancer 12:860-873 PubMed33403043

2021

Deltex3 inhibits Epithelial Mesenchymal Transition in Papillary Thyroid Carcinoma via promoting ubiquitination of XRCC5 to regulate the AKT signal pathway.

Applications

Unspecified application

Species

Unspecified reactive species

Lidong Wang,Yonglian Huang,Chenxi Liu,Mingyue Guo,Zhennan Ma,Jingni He,Ailian Wang,Xiaodan Sun,Zhen Liu

American journal of human genetics 106:92-101 PubMed31866046

2019

Pathogenic Bi-allelic Mutations in NDUFAF8 Cause Leigh Syndrome with an Isolated Complex I Deficiency.

Applications

Unspecified application

Species

Unspecified reactive species

Charlotte L Alston,Mike T Veling,Juliana Heidler,Lucie S Taylor,Joseph T Alaimo,Andrew Y Sung,Langping He,Sila Hopton,Alexander Broomfield,Julija Pavaine,Jullianne Diaz,Eyby Leon,Philipp Wolf,Robert McFarland,Holger Prokisch,Saskia B Wortmann,Penelope E Bonnen,Ilka Wittig,David J Pagliarini,Robert W Taylor

Molecular genetics and metabolism 126:53-63 PubMed30473481

2018

Novel mutations in the mitochondrial complex I assembly gene NDUFAF5 reveal heterogeneous phenotypes.

Applications

Unspecified application

Species

Unspecified reactive species

Mariella T Simon,Shaya S Eftekharian,Alexander E Stover,Aaron F Osborne,Bruce H Braffman,Richard C Chang,Raymond Y Wang,Maija R Steenari,Sha Tang,Paul Wuh-Liang Hwu,Ryan J Taft,Paul J Benke,Jose E Abdenur
View all publications

Product promise

We are committed to supporting your work with high-quality reagents, and we're here for you every step of the way. In the unlikely event that one of our products does not perform as expected, you're protected by our Product Promise.
For full details, please see our Terms & Conditions

Please note: All products are 'FOR RESEARCH USE ONLY. NOT FOR USE IN DIAGNOSTIC OR THERAPEUTIC PROCEDURES'.

For licensing inquiries, please contact partnerships@abcam.com