JavaScript is disabled in your browser. Please enable JavaScript to view this website.
AB251216

Anti-NDUFB10 antibody [EPR16230-47] - BSA and Azide free

Be the first to review this product! Submit a review

|

(0 Publication)

Rabbit Recombinant Monoclonal NDUFB10 antibody. Carrier free. Suitable for ICC/IF, IP, WB, Flow Cyt (Intra), IHC-P and reacts with Human samples.

View Alternative Names

NADH dehydrogenase [ubiquinone] 1 beta subcomplex subunit 10, Complex I-PDSW, NADH-ubiquinone oxidoreductase PDSW subunit, CI-PDSW, NDUFB10

5 Images
Western blot - Anti-NDUFB10 antibody [EPR16230-47] - BSA and Azide free (AB251216)
  • WB

Supplier Data

Western blot - Anti-NDUFB10 antibody [EPR16230-47] - BSA and Azide free (AB251216)

This data was developed using ab196019, the same antibody clone in a different buffer formulation.

Blocking and dilution buffer : 5% NFDM/TBST.

All lanes:

Western blot - Anti-NDUFB10 antibody [EPR16230-47] (<a href='/en-us/products/primary-antibodies/ndufb10-antibody-epr16230-47-ab196019'>ab196019</a>) at 1/10000 dilution

Lane 1:

HeLa (Human epithelial cells from cervix adenocarcinoma) cell lysate at 20 µg

Lane 2:

HepG2 (Human liver hepatocellular carcinoma) cell lysate at 20 µg

Lane 3:

Jurkat (Human T cell leukemia cells from peripheral blood) cell lysate at 20 µg

Secondary

All lanes:

Goat Anti-Rabbit IgG, (H+L), Peroxidase conjugated at 1/1000 dilution

Predicted band size: 21 kDa

Observed band size: 21 kDa

false

Flow Cytometry (Intracellular) - Anti-NDUFB10 antibody [EPR16230-47] - BSA and Azide free (AB251216)
  • Flow Cyt (Intra)

Lab

Flow Cytometry (Intracellular) - Anti-NDUFB10 antibody [EPR16230-47] - BSA and Azide free (AB251216)

This data was developed using ab196019, the same antibody clone in a different buffer formulation.

Intracellular Flow Cytometry analysis of HeLa (human cervix adenocarcinoma) cells labelling NDUFB10 (red) with purified ab196019 at a dilution of 1/800. The secondary antibody used was Alexa Fluor® 488 goat-anti-rabbit IgG (1/2000). Cells were fixed with 4% paraformaldehyde and permeabilised with 90% methanol. Isotype control antibody was rabbit monoclonal IgG (black). The blue line shows cells without incubation with primary and secondary antibody.

Immunocytochemistry/ Immunofluorescence - Anti-NDUFB10 antibody [EPR16230-47] - BSA and Azide free (AB251216)
  • ICC/IF

Lab

Immunocytochemistry/ Immunofluorescence - Anti-NDUFB10 antibody [EPR16230-47] - BSA and Azide free (AB251216)

This data was developed using ab196019, the same antibody clone in a different buffer formulation.

Immunofluorescent analysis of 4% paraformaldehyde-fixed, 0.1% Triton X-100 permeabilized HeLa (Human epithelial cells from cervix adenocarcinoma) cells labeling NDUFB10 with ab196019 at 1/350 dilution, followed by Goat anti-rabbit IgG (Alexa Fluor® 488) (ab150077) secondary antibody at 1/500 dilution (green). Cytoplasm staining on HeLa cell line is observed. The nuclear counter stain is DAPI (blue).

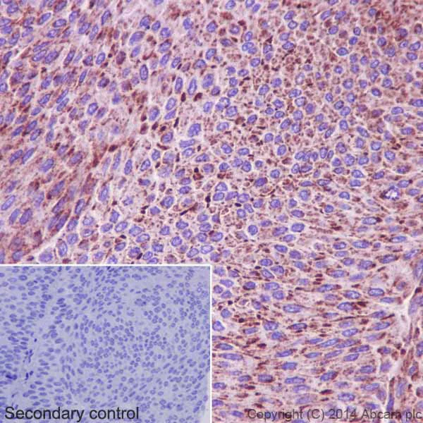
Immunohistochemistry (Formalin/PFA-fixed paraffin-embedded sections) - Anti-NDUFB10 antibody [EPR16230-47] - BSA and Azide free (AB251216)
  • IHC-P

Supplier Data

Immunohistochemistry (Formalin/PFA-fixed paraffin-embedded sections) - Anti-NDUFB10 antibody [EPR16230-47] - BSA and Azide free (AB251216)

This data was developed using ab196019, the same antibody clone in a different buffer formulation.

Immunohistochemical analysis of paraffin-embedded Human transitional cell carcinoma of bladder tissue labeling NDUFB10 with ab196019 at 1/500 dilution, followed by Goat Anti-Rabbit IgG H&L (HRP) (ab97051) secondary antibody at 1/500 dilution. Cytoplasm staining on Human transitional cell carcinoma of bladder tissue is observed. Counter stained with Hematoxylin.

Secondary control : Used PBS instead of primary antibody, secondary antibody is Goat Anti-Rabbit IgG H&L (HRP) (ab97051) at 1/500 dilution.

Perform heat mediated antigen retrieval with Tris/EDTA buffer pH 9.0 before commencing with IHC staining protocol.

Immunoprecipitation - Anti-NDUFB10 antibody [EPR16230-47] - BSA and Azide free (AB251216)
  • IP

Supplier Data

Immunoprecipitation - Anti-NDUFB10 antibody [EPR16230-47] - BSA and Azide free (AB251216)

This data was developed using ab196019, the same antibody clone in a different buffer formulation.

NDUFB10 was immunoprecipitated from HeLa (Human epithelial cells from cervix adenocarcinoma) whole cell extract with ab196019 at 1/50 dilution. Western blot was performed from the immunoprecipitate using ab196019 at 1/1000 dilution. Anti-Rabbit IgG (HRP), specific to the non-reduced form of IgG, was used as secondary antibody at 1/1500 dilution.

Lane 1 : HeLa whole cell extract 10 μg (Input). Lane 2 : ab196019 IP in HeLa whole cell extract. Lane 3 : Rabbit monoclonal IgG (ab172730) instead of ab196019 in HeLa whole cell extract.
Blocking and dilution buffer and concentration : 5% NFDM/TBST.

All lanes:

Immunoprecipitation - Anti-NDUFB10 antibody [EPR16230-47] (<a href='/en-us/products/primary-antibodies/ndufb10-antibody-epr16230-47-ab196019'>ab196019</a>)

Predicted band size: 21 kDa

false

Key facts

Host species

Rabbit

Clonality

Monoclonal

Clone number

EPR16230-47

Isotype

IgG

Carrier free

Yes

Reacts with

Human

Applications

IHC-P, ICC/IF, IP, WB, Flow Cyt (Intra)

applications

Immunogen

The exact immunogen used to generate this antibody is proprietary information.

Reactivity data

{ "title": "Reactivity Data", "filters": { "stats": ["", "Species", "Dilution Info", "Notes"], "tabs": { "all-applications": {"fullname" : "All Applications", "shortname": "All Applications"}, "ICCIF" : {"fullname" : "Immunocytochemistry/ Immunofluorescence", "shortname":"ICC/IF"}, "IP" : {"fullname" : "Immunoprecipitation", "shortname":"IP"}, "WB" : {"fullname" : "Western blot", "shortname":"WB"}, "FlowCytIntra" : {"fullname" : "Flow Cytometry (Intracellular)", "shortname":"Flow Cyt (Intra)"}, "IHCP" : {"fullname" : "Immunohistochemistry (Formalin/PFA-fixed paraffin-embedded sections)", "shortname":"IHC-P"} }, "product-promise": { "all": "all", "testedAndGuaranteed": "tested", "guaranteed": "expected", "predicted": "predicted", "notRecommended": "not-recommended" } }, "values": { "Human": { "ICCIF-species-checked": "testedAndGuaranteed", "ICCIF-species-dilution-info": "", "ICCIF-species-notes": "<p></p> Perform heat-mediated antigen retrieval with Tris/EDTA buffer pH 9.0 before commencing with IHC staining protocol.", "IP-species-checked": "testedAndGuaranteed", "IP-species-dilution-info": "", "IP-species-notes": "<p></p>", "WB-species-checked": "testedAndGuaranteed", "WB-species-dilution-info": "", "WB-species-notes": "<p></p>", "FlowCytIntra-species-checked": "testedAndGuaranteed", "FlowCytIntra-species-dilution-info": "", "FlowCytIntra-species-notes": "<p></p>", "IHCP-species-checked": "testedAndGuaranteed", "IHCP-species-dilution-info": "", "IHCP-species-notes": "<p></p> Perform heat-mediated antigen retrieval with Tris/EDTA buffer pH 9.0 before commencing with IHC staining protocol." }, "Mouse": { "ICCIF-species-checked": "predicted", "ICCIF-species-dilution-info": "", "ICCIF-species-notes": "", "IP-species-checked": "predicted", "IP-species-dilution-info": "", "IP-species-notes": "", "WB-species-checked": "predicted", "WB-species-dilution-info": "", "WB-species-notes": "", "FlowCytIntra-species-checked": "predicted", "FlowCytIntra-species-dilution-info": "", "FlowCytIntra-species-notes": "", "IHCP-species-checked": "predicted", "IHCP-species-dilution-info": "", "IHCP-species-notes": "" }, "Rat": { "ICCIF-species-checked": "predicted", "ICCIF-species-dilution-info": "", "ICCIF-species-notes": "", "IP-species-checked": "predicted", "IP-species-dilution-info": "", "IP-species-notes": "", "WB-species-checked": "predicted", "WB-species-dilution-info": "", "WB-species-notes": "", "FlowCytIntra-species-checked": "predicted", "FlowCytIntra-species-dilution-info": "", "FlowCytIntra-species-notes": "", "IHCP-species-checked": "predicted", "IHCP-species-dilution-info": "", "IHCP-species-notes": "" } } }

Product details

Properties and storage information

Form
Liquid
Storage buffer
pH: 7.2 - 7.4 Constituents: PBS
Shipped at conditions
Blue Ice
Appropriate short-term storage conditions
+4°C
Appropriate long-term storage conditions
+4°C
Storage information
Do Not Freeze

Supplementary information

This supplementary information is collated from multiple sources and compiled automatically.

The NDUFB10 protein also known as NADH dehydrogenase [ubiquinone] 1 beta subcomplex 10 is a component of the mitochondrial respiratory chain complex I. This protein has an approximate mass of 20 kDa. It is expressed mainly in the mitochondria of eukaryotic cells where it plays an important role in the process of oxidative phosphorylation. NDUFB10 is integral to the inner mitochondrial membrane where it acts as part of the machinery that facilitates electron transfer from NADH to ubiquinone.
Biological function summary

NDUFB10 plays a significant role in cellular energy production by being a subunit of complex I in the mitochondrial electron transport chain. As part of this large enzyme complex NDUFB10 contributes to the overall stability and function of complex I facilitating ATP production by driving the conversion of energy derived from nutrients into a usable form. Its presence in the mitochondrial inner membrane highlights its essential role in maintaining efficient energy metabolism and cellular respiration.

Pathways

The electron transport chain pathway incorporates NDUFB10 as a vital component. This pathway plays a major role in oxidative phosphorylation where NDUFB10 interacts closely with other mitochondrial proteins like NDUFS1 and NDUFA1 within complex I. Besides serving in ATP synthesis these interactions help in maintaining overall cellular bioenergetics and proper mitochondrial function demonstrating the integrated role NDUFB10 plays alongside other proteins in energy metabolism.

Malfunction or mutations in NDUFB10 have been linked to mitochondrial disorders including mitochondrial encephalomyopathy and Leber's hereditary optic neuropathy. These conditions often involve disrupted energy metabolism which is critical for tissues with high energy demands. Associated proteins like NDUFS2 and NDUFV1 which also contribute to the function of complex I can compound the severity of these disorders if mutated underlining the importance of NDUFB10 within the broader context of mitochondrial health and disease.

Product protocols

For this product, it's our understanding that no specific protocols are required. You can visit:

Target data

Accessory subunit that is involved in the functional assembly of the mitochondrial respiratory chain complex I. Complex I has an NADH dehydrogenase activity with ubiquinone as an immediate electron acceptor and mediates the transfer of electrons from NADH to the respiratory chain.
See full target information NADH dehydrogenase [ubiquinone] 1 beta subcomplex subunit 10

Product promise

We are committed to supporting your work with high-quality reagents, and we're here for you every step of the way. In the unlikely event that one of our products does not perform as expected, you're protected by our Product Promise.
For full details, please see our Terms & Conditions

Please note: All products are 'FOR RESEARCH USE ONLY. NOT FOR USE IN DIAGNOSTIC OR THERAPEUTIC PROCEDURES'.

For licensing inquiries, please contact partnerships@abcam.com