JavaScript is disabled in your browser. Please enable JavaScript to view this website.
AB238490

Anti-NDUFB11 antibody

Be the first to review this product! Submit a review

|

(0 Publication)

Rabbit Polyclonal NDUFB11 antibody. Suitable for IHC-P, ICC/IF and reacts with Human samples. Immunogen corresponding to Recombinant Fragment Protein within Human NDUFB11 aa 1-100.

View Alternative Names

UNQ111/PRO1064, NDUFB11, Complex I-ESSS, NADH-ubiquinone oxidoreductase ESSS subunit, Neuronal protein 17.3, CI-ESSS, Np17.3, p17.3

2 Images
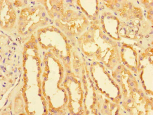
Immunohistochemistry (Formalin/PFA-fixed paraffin-embedded sections) - Anti-NDUFB11 antibody (AB238490)
  • IHC-P

Supplier Data

Immunohistochemistry (Formalin/PFA-fixed paraffin-embedded sections) - Anti-NDUFB11 antibody (AB238490)

Paraffin-embedded human kidney tissue stained for NDUFB11 using ab238490 at 1/100 dilution in immunohistochemical analysis.

Immunocytochemistry/ Immunofluorescence - Anti-NDUFB11 antibody (AB238490)
  • ICC/IF

Supplier Data

Immunocytochemistry/ Immunofluorescence - Anti-NDUFB11 antibody (AB238490)

HepG2 (Human liver hepatocellular carcinoma cell line) cells stained for NDUFB11 (green) using ab238490 at 1/100 dilution in ICC/IF. Secondary antibody is Alexa Fluor® 488-conjugated Goat Anti-Rabbit IgG (H+L).

Key facts

Host species

Rabbit

Clonality

Polyclonal

Isotype

IgG

Carrier free

No

Reacts with

Human

Applications

ICC/IF, IHC-P

applications

Immunogen

Recombinant Fragment Protein within Human NDUFB11 aa 1-100. The exact immunogen used to generate this antibody is proprietary information.

Q9NX14

Reactivity data

{ "title": "Reactivity Data", "filters": { "stats": ["", "Species", "Dilution Info", "Notes"], "tabs": { "all-applications": {"fullname" : "All Applications", "shortname": "All Applications"}, "IHCP" : {"fullname" : "Immunohistochemistry (Formalin/PFA-fixed paraffin-embedded sections)", "shortname":"IHC-P"}, "ICCIF" : {"fullname" : "Immunocytochemistry/ Immunofluorescence", "shortname":"ICC/IF"} }, "product-promise": { "all": "all", "testedAndGuaranteed": "tested", "guaranteed": "expected", "predicted": "predicted", "notRecommended": "not-recommended" } }, "values": { "Human": { "IHCP-species-checked": "testedAndGuaranteed", "IHCP-species-dilution-info": "1/20 - 1/200", "IHCP-species-notes": "<p></p>", "ICCIF-species-checked": "testedAndGuaranteed", "ICCIF-species-dilution-info": "1/50 - 1/200", "ICCIF-species-notes": "<p></p>" }, "Chimpanzee": { "IHCP-species-checked": "predicted", "IHCP-species-dilution-info": "", "IHCP-species-notes": "", "ICCIF-species-checked": "predicted", "ICCIF-species-dilution-info": "", "ICCIF-species-notes": "" }, "Gorilla": { "IHCP-species-checked": "predicted", "IHCP-species-dilution-info": "", "IHCP-species-notes": "", "ICCIF-species-checked": "predicted", "ICCIF-species-dilution-info": "", "ICCIF-species-notes": "" }, "Orangutan": { "IHCP-species-checked": "predicted", "IHCP-species-dilution-info": "", "IHCP-species-notes": "", "ICCIF-species-checked": "predicted", "ICCIF-species-dilution-info": "", "ICCIF-species-notes": "" } } }

Properties and storage information

Form
Liquid
Purification technique
Affinity purification Protein G
Purification notes
Purity >95%
Storage buffer
pH: 7.4 Preservative: 0.03% Proclin 300 Constituents: PBS, 50% Glycerol (glycerin, glycerine)
Shipped at conditions
Blue Ice
Appropriate short-term storage duration
1-2 weeks
Appropriate short-term storage conditions
+4°C
Appropriate long-term storage conditions
-20°C
Aliquoting information
Upon delivery aliquot
Storage information
Avoid freeze / thaw cycle

Supplementary information

This supplementary information is collated from multiple sources and compiled automatically.

NDUFB11 also known as NADH:ubiquinone oxidoreductase subunit B11 is a component of mitochondrial Complex I. It has a molecular weight of approximately 12 kDa. This protein contributes to the proper function of the electron transport chain. NDUFB11 is expressed mainly in tissues with high energy demands like the heart muscle and brain. It plays a role in facilitating electron transfer from NADH to ubiquinone which is a critical step in cellular respiration.
Biological function summary

NDUFB11 becomes part of the mitochondrial respiratory chain complex I an essential structure for ATP production through oxidative phosphorylation. This complex includes multiple subunits and is located on the inner mitochondrial membrane. NDUFB11 contributes to the assembly and stability of this complex ensuring efficient energy production within cells. Complex I dysfunction often impacts energy-dependent tissues leading to various metabolic challenges.

Pathways

NDUFB11 participates in the oxidative phosphorylation pathway vital for energy production in eukaryotic cells. It interacts with other important proteins of the electron transport chain like NDUFS1 and NDUFA13. These proteins collectively ensure the smooth transfer of electrons for ATP synthesis. Additionally NDUFB11 is involved in the mitochondrial electron transport which is essential for maintaining cellular metabolic processes.

NDUFB11 mutations link to mitochondrial diseases such as Leigh syndrome characterized by neurometabolic dysfunction. This protein's malfunction can also connect to complex I deficiency affecting cellular respiration and leading to various clinical symptoms including muscle weakness and neurological impairments. Mitochondrial diseases associated with NDUFB11 may also involve interactions with other mitochondrial subunits indicating an intricate relationship with overall mitochondrial health.

Product protocols

For this product, it's our understanding that no specific protocols are required. You can visit:

Target data

Accessory subunit of the mitochondrial membrane respiratory chain NADH dehydrogenase (Complex I), that is believed not to be involved in catalysis. Complex I functions in the transfer of electrons from NADH to the respiratory chain. The immediate electron acceptor for the enzyme is believed to be ubiquinone.
See full target information NDUFB11

Product promise

We are committed to supporting your work with high-quality reagents, and we're here for you every step of the way. In the unlikely event that one of our products does not perform as expected, you're protected by our Product Promise.
For full details, please see our Terms & Conditions

Please note: All products are 'FOR RESEARCH USE ONLY. NOT FOR USE IN DIAGNOSTIC OR THERAPEUTIC PROCEDURES'.

For licensing inquiries, please contact partnerships@abcam.com