JavaScript is disabled in your browser. Please enable JavaScript to view this website.
AB183716

Anti-NDUFB11 antibody [EPR15252]

Be the first to review this product! Submit a review

|

(8 Publications)

Rabbit Recombinant Monoclonal NDUFB11 antibody. Suitable for IHC-P, WB, Flow Cyt (Intra) and reacts with Human samples. Cited in 8 publications.

View Alternative Names

UNQ111/PRO1064, NDUFB11, Complex I-ESSS, NADH-ubiquinone oxidoreductase ESSS subunit, Neuronal protein 17.3, CI-ESSS, Np17.3, p17.3

4 Images
Western blot - Anti-NDUFB11 antibody [EPR15252] (AB183716)
  • WB

Supplier Data

Western blot - Anti-NDUFB11 antibody [EPR15252] (AB183716)

All lanes:

Western blot - Anti-NDUFB11 antibody [EPR15252] (ab183716) at 1/10000 dilution

All lanes:

Human heart tissue lysate at 20 µg

Secondary

All lanes:

goat anti-rabbit IgG, (H+L), peroxidase conjugated at 1/1000 dilution

Predicted band size: 17 kDa

Observed band size: 17 kDa

true

Western blot - Anti-NDUFB11 antibody [EPR15252] (AB183716)
  • WB

Supplier Data

Western blot - Anti-NDUFB11 antibody [EPR15252] (AB183716)

Lanes 1 - 2:

Western blot - Anti-NDUFB11 antibody [EPR15252] (ab183716) at 1/50000 dilution

Lane 3:

Western blot - Anti-NDUFB11 antibody [EPR15252] (ab183716) at 1/10000 dilution

Lane 1:

HeLa cell lysate at 20 µg

Lane 2:

HepG2 cell lysate at 20 µg

Lane 3:

A431 cell lysate at 20 µg

Secondary

All lanes:

goat anti-rabbit IgG, (H+L), peroxidase conjugated at 1/1000 dilution

Predicted band size: 17 kDa

Observed band size: 17 kDa

true

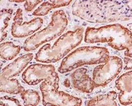
Immunohistochemistry (Formalin/PFA-fixed paraffin-embedded sections) - Anti-NDUFB11 antibody [EPR15252] (AB183716)
  • IHC-P

Supplier Data

Immunohistochemistry (Formalin/PFA-fixed paraffin-embedded sections) - Anti-NDUFB11 antibody [EPR15252] (AB183716)

Immunohistochemical analysis of paraffin-embedded Human kidney tissue labeling NDUFB11 with ab183716 at a 1/250 dilution. Counter stained with hematoxylin.

Perform heat mediated antigen retrieval with citrate buffer pH 6 before commencing with IHC staining protocol.

Flow Cytometry (Intracellular) - Anti-NDUFB11 antibody [EPR15252] (AB183716)
  • Flow Cyt (Intra)

Supplier Data

Flow Cytometry (Intracellular) - Anti-NDUFB11 antibody [EPR15252] (AB183716)

Intracellular Flow Cytometry analysis of paraformaldehyde-fixed HeLa cells labeling NDUFB11 with ab183716 at a 1/240 dilution and secondary antibody goat anti-rabbit IgG (FITC, red) at a 1/150 dilution, or negative control rabbit IgG (green).

  • Carrier free

    Anti-NDUFB11 antibody [EPR15252] - BSA and Azide free

Key facts

Host species

Rabbit

Clonality

Monoclonal

Clone number

EPR15252

Isotype

IgG

Carrier free

No

Reacts with

Human

Applications

WB, Flow Cyt (Intra), IHC-P

applications

Immunogen

The exact immunogen used to generate this antibody is proprietary information.

Reactivity data

{ "title": "Reactivity Data", "filters": { "stats": ["", "Species", "Dilution Info", "Notes"], "tabs": { "all-applications": {"fullname" : "All Applications", "shortname": "All Applications"}, "IHCP" : {"fullname" : "Immunohistochemistry (Formalin/PFA-fixed paraffin-embedded sections)", "shortname":"IHC-P"}, "WB" : {"fullname" : "Western blot", "shortname":"WB"}, "FlowCytIntra" : {"fullname" : "Flow Cytometry (Intracellular)", "shortname":"Flow Cyt (Intra)"} }, "product-promise": { "all": "all", "testedAndGuaranteed": "tested", "guaranteed": "expected", "predicted": "predicted", "notRecommended": "not-recommended" } }, "values": { "Human": { "IHCP-species-checked": "testedAndGuaranteed", "IHCP-species-dilution-info": "1/250", "IHCP-species-notes": "<p></p> Perform heat-mediated antigen retrieval with citrate buffer pH 6 before commencing with IHC staining protocol.", "WB-species-checked": "testedAndGuaranteed", "WB-species-dilution-info": "1/10000 - 1/50000", "WB-species-notes": "<p></p>", "FlowCytIntra-species-checked": "testedAndGuaranteed", "FlowCytIntra-species-dilution-info": "1/240", "FlowCytIntra-species-notes": "<p><a href='/en-us/products/primary-antibodies/rabbit-igg-monoclonal-epr25a-isotype-control-ab172730'>ab172730</a> - Rabbit monoclonal IgG, is suitable for use as an isotype control with this antibody.</p>" }, "Mouse": { "IHCP-species-checked": "predicted", "IHCP-species-dilution-info": "", "IHCP-species-notes": "", "WB-species-checked": "predicted", "WB-species-dilution-info": "", "WB-species-notes": "", "FlowCytIntra-species-checked": "predicted", "FlowCytIntra-species-dilution-info": "", "FlowCytIntra-species-notes": "" }, "Rat": { "IHCP-species-checked": "predicted", "IHCP-species-dilution-info": "", "IHCP-species-notes": "", "WB-species-checked": "predicted", "WB-species-dilution-info": "", "WB-species-notes": "", "FlowCytIntra-species-checked": "predicted", "FlowCytIntra-species-dilution-info": "", "FlowCytIntra-species-notes": "" } } }

Product details

Patented technology
Our RabMAb® technology is a patented hybridoma-based technology for making rabbit monoclonal antibodies. For details on our patents, please refer to RabMAb® patents.

What are the advantages of a recombinant monoclonal antibody?
This product is a recombinant monoclonal antibody, which offers several advantages including:

  • - High batch-to-batch consistency and reproducibility
  • - Improved sensitivity and specificity
  • - Long-term security of supply
  • - Animal-free batch production

For more information, read more on recombinant antibodies.

Properties and storage information

Form
Liquid
Purification technique
Affinity purification Protein A
Storage buffer
pH: 7.2 Preservative: 0.01% Sodium azide Constituents: 59% PBS, 40% Glycerol (glycerin, glycerine), 0.05% BSA
Shipped at conditions
Blue Ice
Appropriate short-term storage duration
1-2 weeks
Appropriate short-term storage conditions
+4°C
Appropriate long-term storage conditions
-20°C
Aliquoting information
Upon delivery aliquot
Storage information
Avoid freeze / thaw cycle

Supplementary information

This supplementary information is collated from multiple sources and compiled automatically.

NDUFB11 also known as NADH:ubiquinone oxidoreductase subunit B11 is a component of mitochondrial Complex I. It has a molecular weight of approximately 12 kDa. This protein contributes to the proper function of the electron transport chain. NDUFB11 is expressed mainly in tissues with high energy demands like the heart muscle and brain. It plays a role in facilitating electron transfer from NADH to ubiquinone which is a critical step in cellular respiration.
Biological function summary

NDUFB11 becomes part of the mitochondrial respiratory chain complex I an essential structure for ATP production through oxidative phosphorylation. This complex includes multiple subunits and is located on the inner mitochondrial membrane. NDUFB11 contributes to the assembly and stability of this complex ensuring efficient energy production within cells. Complex I dysfunction often impacts energy-dependent tissues leading to various metabolic challenges.

Pathways

NDUFB11 participates in the oxidative phosphorylation pathway vital for energy production in eukaryotic cells. It interacts with other important proteins of the electron transport chain like NDUFS1 and NDUFA13. These proteins collectively ensure the smooth transfer of electrons for ATP synthesis. Additionally NDUFB11 is involved in the mitochondrial electron transport which is essential for maintaining cellular metabolic processes.

NDUFB11 mutations link to mitochondrial diseases such as Leigh syndrome characterized by neurometabolic dysfunction. This protein's malfunction can also connect to complex I deficiency affecting cellular respiration and leading to various clinical symptoms including muscle weakness and neurological impairments. Mitochondrial diseases associated with NDUFB11 may also involve interactions with other mitochondrial subunits indicating an intricate relationship with overall mitochondrial health.

Product protocols

For this product, it's our understanding that no specific protocols are required. You can visit:

Target data

Accessory subunit of the mitochondrial membrane respiratory chain NADH dehydrogenase (Complex I), that is believed not to be involved in catalysis. Complex I functions in the transfer of electrons from NADH to the respiratory chain. The immediate electron acceptor for the enzyme is believed to be ubiquinone.
See full target information NDUFB11

Publications (8)

Recent publications for all applications. Explore the full list and refine your search

eLife 11: PubMed36255054

2022

Tissue-specific mitochondrial HIGD1C promotes oxygen sensitivity in carotid body chemoreceptors.

Applications

Unspecified application

Species

Unspecified reactive species

Alba Timón-Gómez,Alexandra L Scharr,Nicholas Y Wong,Erwin Ni,Arijit Roy,Min Liu,Julisia Chau,Jack L Lampert,Homza Hireed,Noah S Kim,Masood Jan,Alexander R Gupta,Ryan W Day,James M Gardner,Richard J A Wilson,Antoni Barrientos,Andy J Chang

Cell metabolism 33:531-546.e9 PubMed33545050

2021

C9orf72 regulates energy homeostasis by stabilizing mitochondrial complex I assembly.

Applications

Unspecified application

Species

Unspecified reactive species

Tao Wang,Honghe Liu,Kie Itoh,Sungtaek Oh,Liang Zhao,Daisuke Murata,Hiromi Sesaki,Thomas Hartung,Chan Hyun Na,Jiou Wang

Nature communications 11:5469 PubMed33122634

2020

Intellectual disability-associated factor Zbtb11 cooperates with NRF-2/GABP to control mitochondrial function.

Applications

Unspecified application

Species

Unspecified reactive species

Brooke C Wilson,Lena Boehme,Ambra Annibali,Alan Hodgkinson,Thomas S Carroll,Rebecca J Oakey,Vlad C Seitan

STAR protocols 1: PubMed32995753

2020

Protocol for the Analysis of Yeast and Human Mitochondrial Respiratory Chain Complexes and Supercomplexes by Blue Native Electrophoresis.

Applications

Unspecified application

Species

Unspecified reactive species

Alba Timón-Gómez,Rafael Pérez-Pérez,Eva Nyvltova,Cristina Ugalde,Flavia Fontanesi,Antoni Barrientos

Cell reports 31:107607 PubMed32375044

2020

Distinct Roles of Mitochondrial HIGD1A and HIGD2A in Respiratory Complex and Supercomplex Biogenesis.

Applications

Unspecified application

Species

Unspecified reactive species

Alba Timón-Gómez,Joshua Garlich,Rosemary A Stuart,Cristina Ugalde,Antoni Barrientos

European journal of medical genetics 62:103572 PubMed30423443

2018

Diverse phenotype in patients with complex I deficiency due to mutations in NDUFB11.

Applications

Unspecified application

Species

Unspecified reactive species

Karit Reinson,Reka Kovacs-Nagy,Eve Õiglane-Shlik,Sander Pajusalu,Margit Nõukas,Liesbeth T Wintjes,Frans C A van den Brandt,Maaike Brink,Till Acker,Uwe Ahting,Andreas Hahn,Anne Schänzer,Tobias B Haack,Richard J Rodenburg,Katrin Õunap

Clinical genetics 93:111-118 PubMed28671271

2017

NDUFA9 point mutations cause a variable mitochondrial complex I assembly defect.

Applications

WB

Species

Human

F Baertling,L Sánchez-Caballero,M A M van den Brand,C-W Fung,S H-S Chan,V C-N Wong,D M E Hellebrekers,I F M de Coo,J A M Smeitink,R J T Rodenburg,L G J Nijtmans

Nature 538:123-126 PubMed27626371

2016

Accessory subunits are integral for assembly and function of human mitochondrial complex I.

Applications

Unspecified application

Species

Unspecified reactive species

David A Stroud,Elliot E Surgenor,Luke E Formosa,Boris Reljic,Ann E Frazier,Marris G Dibley,Laura D Osellame,Tegan Stait,Traude H Beilharz,David R Thorburn,Agus Salim,Michael T Ryan
View all publications

Product promise

We are committed to supporting your work with high-quality reagents, and we're here for you every step of the way. In the unlikely event that one of our products does not perform as expected, you're protected by our Product Promise.
For full details, please see our Terms & Conditions

Associated Products

Select an associated product type
Alternative Product
Primary Antibodies

AB238490

Anti-NDUFB11 antibody

primary-antibodies

ndufb11-antibody-ab238490

0

(0 reviews)

Please note: All products are 'FOR RESEARCH USE ONLY. NOT FOR USE IN DIAGNOSTIC OR THERAPEUTIC PROCEDURES'.

For licensing inquiries, please contact partnerships@abcam.com