JavaScript is disabled in your browser. Please enable JavaScript to view this website.
AB202585

Anti-NDUFB3 antibody [EPR15571]

Be the first to review this product! Submit a review

|

(2 Publications)

Rabbit Recombinant Monoclonal NDUFB3 antibody. Suitable for IP, WB, ICC/IF, Flow Cyt (Intra), IHC-P and reacts with Human, Mouse, Rat samples. Cited in 2 publications.

View Alternative Names

NADH dehydrogenase [ubiquinone] 1 beta subcomplex subunit 3, Complex I-B12, NADH-ubiquinone oxidoreductase B12 subunit, CI-B12, NDUFB3

11 Images
Immunocytochemistry/ Immunofluorescence - Anti-NDUFB3 antibody [EPR15571] (AB202585)
  • ICC/IF

Supplier Data

Immunocytochemistry/ Immunofluorescence - Anti-NDUFB3 antibody [EPR15571] (AB202585)

Immunofluorescent analysis of 100% Methanol-fixed 0.1% Triton X-100 permeabilized SH-SY5Y (Human neuroblastoma from bone marrow cells) cells labeling NDUFB3 with ab202585 at 1/300 dilution followed by Goat anti-rabbit IgG (Alexa Fluor® 488) (ab150077) secondary antibody at 1/500 dilution (green). Confocal image showing cytoplasmic staining on SH-SY5Y cell line. The nuclear counter stain is DAPI (blue). Tubulin is detected with ab7291 (anti-Tubulin mouse mAb) at 1/1000 dilution and ab150120 (AlexaFluor®594 Goat anti-Mouse secondary) at 1/500 dilution (red).

The negative controls are as follows :
-ve control 1 : ab202585 at 1/300 dilution followed by ab150120 (AlexaFluor®594 Goat anti-Mouse secondary) at 1/500 dilution.
-ve control 2 : ab7291 (anti-Tubulin mouse mAb) at 1/1000 dilution followed by ab150077 (Alexa Fluor®488 Goat Anti-Rabbit IgG H&L) at 1/500 dilution.

Flow Cytometry (Intracellular) - Anti-NDUFB3 antibody [EPR15571] (AB202585)
  • Flow Cyt (Intra)

Lab

Flow Cytometry (Intracellular) - Anti-NDUFB3 antibody [EPR15571] (AB202585)

Intracellular Flow Cytometry analysis of HepG2 cells labelling NDUFB3 (red) with purified ab202585 at dilution of 1/60. The secondary antibody used was Alexa Fluorr® 488 goat-anti-rabbit IgG (1/2000). Cells were fixed with 4% paraformaldehyde and permeabilised with 90% methanol. Isotype control antibody used was Rabbit monoclonal IgG (black). The blue line shows cells without incubation with primary antibody and secondary antibody.

Immunocytochemistry/ Immunofluorescence - Anti-NDUFB3 antibody [EPR15571] (AB202585)
  • ICC/IF

Supplier Data

Immunocytochemistry/ Immunofluorescence - Anti-NDUFB3 antibody [EPR15571] (AB202585)

Immunofluorescent analysis of 100% Methanol-fixed 0.1% Triton X-100 permeabilized HepG2 (Human liver hepatocellular carcinoma) cells labeling NDUFB3 with ab202585 at 1/300 dilution followed by Goat anti-rabbit IgG (Alexa Fluor® 488) (ab150077) secondary antibody at 1/500 dilution (green). Confocal image showing cytoplasmic staining on HepG2 cell line. The nuclear counter stain is DAPI (blue). Tubulin is detected with ab7291 (anti-Tubulin mouse mAb) at 1/1000 dilution and ab150120 (AlexaFluor®594 Goat anti-Mouse secondary) at 1/500 dilution (red).

The negative controls are as follows :
-ve control 1 : ab202585 at 1/300 dilution followed by ab150120 (AlexaFluor®594 Goat anti-Mouse secondary) at 1/500 dilution.
-ve control 2 : ab7291 (anti-Tubulin mouse mAb) at 1/1000 dilution followed by ab150077 (Alexa Fluor®488 Goat Anti-Rabbit IgG H&L) at 1/500 dilution.

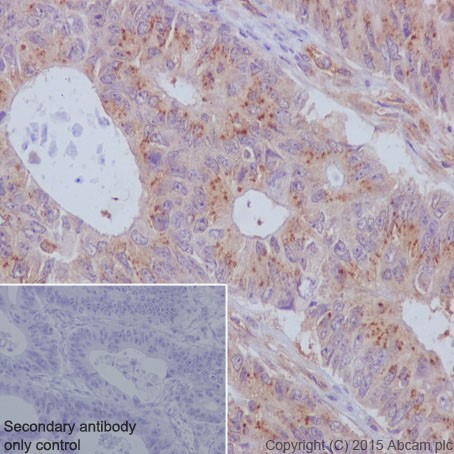
Immunohistochemistry (Formalin/PFA-fixed paraffin-embedded sections) - Anti-NDUFB3 antibody [EPR15571] (AB202585)
  • IHC-P

Supplier Data

Immunohistochemistry (Formalin/PFA-fixed paraffin-embedded sections) - Anti-NDUFB3 antibody [EPR15571] (AB202585)

Immunohistochemical analysis of paraffin-embedded Human hepatocellular carcinoma tissue labeling NDUFB3 with ab202585 at 1/50 dilution followed by Goat Anti-Rabbit IgG H&L (HRP) (ab97051) secondary antibody at 1/500 dilution. Cytoplasmic staining on Human hepatocellular carcinoma tissue is observed. Counter stained with Hematoxylin.

Secondary antibody only control : Used PBS instead of primary antibody secondary antibody is Goat Anti-Rabbit IgG H&L (HRP) (ab97051) at 1/500 dilution.

Perform heat mediated antigen retrieval with Tris/EDTA buffer pH 9.0 before commencing with IHC staining protocol.

Immunoprecipitation - Anti-NDUFB3 antibody [EPR15571] (AB202585)
  • IP

Supplier Data

Immunoprecipitation - Anti-NDUFB3 antibody [EPR15571] (AB202585)

NDUFB3 was immunoprecipitated from 1mg of HepG2 (Human liver hepatocellular carcinoma) whole cell lysate with ab202585 at 1/40 dilution. Western blot was performed from the immunoprecipitate using ab202585 at 1/1000 dilution. Anti-Rabbit IgG (HRP), specific to the non-reduced form of IgG, was used as secondary antibody at 1/1500 dilution.

Lane 1 : HepG2 whole cell lysate 10 μg (Input). Lane 2 : ab202585 IP in HepG2 whole cell lysate. Lane 3 : Rabbit monoclonal IgG (ab172730) instead of ab202585 in HepG2 whole cell lysate.

Blocking and dilution buffer and concentration : 5% NFDM/TBST.

Exposure time : 5 seconds.

All lanes:

Immunoprecipitation - Anti-NDUFB3 antibody [EPR15571] (ab202585)

Predicted band size: 11 kDa

false

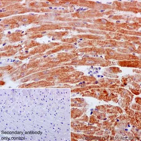
Immunohistochemistry (Formalin/PFA-fixed paraffin-embedded sections) - Anti-NDUFB3 antibody [EPR15571] (AB202585)
  • IHC-P

Supplier Data

Immunohistochemistry (Formalin/PFA-fixed paraffin-embedded sections) - Anti-NDUFB3 antibody [EPR15571] (AB202585)

Immunohistochemical analysis of paraffin-embedded Mouse cardiac muscle tissue labeling NDUFB3 with ab202585 at 1/50 dilution followed by Goat Anti-Rabbit IgG H&L (HRP) (ab97051) secondary antibody at 1/500 dilution. Cytoplasmic staining on mouse cardiac muscle tissue is observed. Counter stained with Hematoxylin.

Secondary antibody only control : Used PBS instead of primary antibody secondary antibody is Goat Anti-Rabbit IgG H&L (HRP) (ab97051) at 1/500 dilution.

Perform heat mediated antigen retrieval with Tris/EDTA buffer pH 9.0 before commencing with IHC staining protocol.

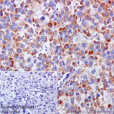
Immunohistochemistry (Formalin/PFA-fixed paraffin-embedded sections) - Anti-NDUFB3 antibody [EPR15571] (AB202585)
  • IHC-P

Supplier Data

Immunohistochemistry (Formalin/PFA-fixed paraffin-embedded sections) - Anti-NDUFB3 antibody [EPR15571] (AB202585)

Immunohistochemical analysis of paraffin-embedded rat kidney tissue labeling NDUFB3 with ab202585 at 1/50 dilution followed by Goat Anti-Rabbit IgG H&L (HRP) (ab97051) secondary antibody at 1/500 dilution. Cytoplasmic staining on rat kidney tissue is observed. Counter stained with Hematoxylin.

Secondary antibody only control : Used PBS instead of primary antibody secondary antibody is Goat Anti-Rabbit IgG H&L (HRP) (ab97051) at 1/500 dilution.

Perform heat mediated antigen retrieval with Tris/EDTA buffer pH 9.0 before commencing with IHC staining protocol.

Western blot - Anti-NDUFB3 antibody [EPR15571] (AB202585)
  • WB

Supplier Data

Western blot - Anti-NDUFB3 antibody [EPR15571] (AB202585)

Blocking/Dilution buffer : 5% NFDM/TBST.

All lanes:

Western blot - Anti-NDUFB3 antibody [EPR15571] (ab202585) at 1/1000 dilution

Lane 1:

Human fetal brain lysate at 10 µg

Lane 2:

Human fetal heart lysate at 10 µg

Lane 3:

Human fetal kidney lysate at 10 µg

Lane 4:

Human fetal spleen lysate at 10 µg

Secondary

All lanes:

Anti-Rabbit IgG (HRP), specific to the non-reduced form of IgG at 1/1000 dilution

Predicted band size: 11 kDa

Observed band size: 11 kDa

false

Exposure time: 30s

Western blot - Anti-NDUFB3 antibody [EPR15571] (AB202585)
  • WB

Unknown

Western blot - Anti-NDUFB3 antibody [EPR15571] (AB202585)

Blocking/Dilution buffer : 5% NFDM/TBST.

All lanes:

Western blot - Anti-NDUFB3 antibody [EPR15571] (ab202585) at 1/1000 dilution

All lanes:

HepG2 (Human liver hepatocellular carcinoma) whole cell lysate at 10 µg

Secondary

All lanes:

Western blot - Goat Anti-Rabbit IgG H&L (HRP) (<a href='/en-us/products/secondary-antibodies/goat-rabbit-igg-h-l-hrp-ab97051'>ab97051</a>) at 1/1000 dilution

Predicted band size: 11 kDa

false

Exposure time: 3min

Western blot - Anti-NDUFB3 antibody [EPR15571] (AB202585)
  • WB

Unknown

Western blot - Anti-NDUFB3 antibody [EPR15571] (AB202585)

Blocking/Dilution buffer : 5% NFDM/TBST.

All lanes:

Western blot - Anti-NDUFB3 antibody [EPR15571] (ab202585) at 1/1000 dilution

Lane 1:

Mouse brain tissue lysate at 10 µg

Lane 2:

Mouse heart tissue lysate at 10 µg

Lane 3:

Mouse kidney tissue lysate at 10 µg

Lane 4:

Rat brain tissue lysate at 10 µg

Lane 5:

Rat heart tissue lysate at 10 µg

Lane 6:

Rat kidney tissue lysate at 10 µg

Secondary

All lanes:

Western blot - Goat Anti-Rabbit IgG H&L (HRP) (<a href='/en-us/products/secondary-antibodies/goat-rabbit-igg-h-l-hrp-ab97051'>ab97051</a>) at 1/1000 dilution

Predicted band size: 11 kDa

Observed band size: 11 kDa

false

Exposure time: 10s

Western blot - Anti-NDUFB3 antibody [EPR15571] (AB202585)
  • WB

Supplier Data

Western blot - Anti-NDUFB3 antibody [EPR15571] (AB202585)

Blocking/Dilution buffer : 5% NFDM/TBST.

All lanes:

Western blot - Anti-NDUFB3 antibody [EPR15571] (ab202585) at 1/5000 dilution

All lanes:

PC-12 (Rat adrenal gland pheochromocytoma) whole cell lysate at 10 µg

Secondary

All lanes:

Western blot - Goat Anti-Rabbit IgG H&L (HRP) (<a href='/en-us/products/secondary-antibodies/goat-rabbit-igg-h-l-hrp-ab97051'>ab97051</a>) at 1/1000 dilution

Predicted band size: 11 kDa

Observed band size: 11 kDa

false

Exposure time: 3min

  • Carrier free

    Anti-NDUFB3 antibody [EPR15571] - BSA and Azide free

Key facts

Host species

Rabbit

Clonality

Monoclonal

Clone number

EPR15571

Isotype

IgG

Carrier free

No

Reacts with

Mouse, Rat, Human

Applications

WB, IHC-P, IP, Flow Cyt (Intra), ICC/IF

applications

Immunogen

The exact immunogen used to generate this antibody is proprietary information.

Reactivity data

{ "title": "Reactivity Data", "filters": { "stats": ["", "Species", "Dilution Info", "Notes"], "tabs": { "all-applications": {"fullname" : "All Applications", "shortname": "All Applications"}, "IP" : {"fullname" : "Immunoprecipitation", "shortname":"IP"}, "WB" : {"fullname" : "Western blot", "shortname":"WB"}, "ICCIF" : {"fullname" : "Immunocytochemistry/ Immunofluorescence", "shortname":"ICC/IF"}, "FlowCytIntra" : {"fullname" : "Flow Cytometry (Intracellular)", "shortname":"Flow Cyt (Intra)"}, "IHCP" : {"fullname" : "Immunohistochemistry (Formalin/PFA-fixed paraffin-embedded sections)", "shortname":"IHC-P"} }, "product-promise": { "all": "all", "testedAndGuaranteed": "tested", "guaranteed": "expected", "predicted": "predicted", "notRecommended": "not-recommended" } }, "values": { "Human": { "IP-species-checked": "testedAndGuaranteed", "IP-species-dilution-info": "1/40", "IP-species-notes": "<p></p>", "WB-species-checked": "testedAndGuaranteed", "WB-species-dilution-info": "1/1000", "WB-species-notes": "<p></p>", "ICCIF-species-checked": "testedAndGuaranteed", "ICCIF-species-dilution-info": "1/300", "ICCIF-species-notes": "<p></p>", "FlowCytIntra-species-checked": "testedAndGuaranteed", "FlowCytIntra-species-dilution-info": "1/60", "FlowCytIntra-species-notes": "<p></p>", "IHCP-species-checked": "testedAndGuaranteed", "IHCP-species-dilution-info": "1/50", "IHCP-species-notes": "<p></p>" }, "Mouse": { "IP-species-checked": "guaranteed", "IP-species-dilution-info": "", "IP-species-notes": "", "WB-species-checked": "testedAndGuaranteed", "WB-species-dilution-info": "1/1000", "WB-species-notes": "<p></p>", "ICCIF-species-checked": "guaranteed", "ICCIF-species-dilution-info": "", "ICCIF-species-notes": "", "FlowCytIntra-species-checked": "guaranteed", "FlowCytIntra-species-dilution-info": "", "FlowCytIntra-species-notes": "", "IHCP-species-checked": "testedAndGuaranteed", "IHCP-species-dilution-info": "1/50", "IHCP-species-notes": "<p></p>" }, "Rat": { "IP-species-checked": "guaranteed", "IP-species-dilution-info": "", "IP-species-notes": "", "WB-species-checked": "testedAndGuaranteed", "WB-species-dilution-info": "1/1000", "WB-species-notes": "<p></p>", "ICCIF-species-checked": "guaranteed", "ICCIF-species-dilution-info": "", "ICCIF-species-notes": "", "FlowCytIntra-species-checked": "guaranteed", "FlowCytIntra-species-dilution-info": "", "FlowCytIntra-species-notes": "", "IHCP-species-checked": "testedAndGuaranteed", "IHCP-species-dilution-info": "1/50", "IHCP-species-notes": "<p></p>" } } }

Product details

Patented technology
Our RabMAb® technology is a patented hybridoma-based technology for making rabbit monoclonal antibodies. For details on our patents, please refer to RabMAb® patents.

What are the advantages of a recombinant monoclonal antibody?
This product is a recombinant monoclonal antibody, which offers several advantages including:

  • - High batch-to-batch consistency and reproducibility
  • - Improved sensitivity and specificity
  • - Long-term security of supply
  • - Animal-free batch production

For more information, read more on recombinant antibodies.

Properties and storage information

Form
Liquid
Purification technique
Affinity purification Protein A
Storage buffer
pH: 7.2 - 7.4 Preservative: 0.01% Sodium azide Constituents: PBS, 40% Glycerol (glycerin, glycerine), 0.05% BSA
Shipped at conditions
Blue Ice
Appropriate short-term storage duration
1-2 weeks
Appropriate short-term storage conditions
+4°C
Appropriate long-term storage conditions
-20°C
Aliquoting information
Upon delivery aliquot
Storage information
Avoid freeze / thaw cycle

Supplementary information

This supplementary information is collated from multiple sources and compiled automatically.

The protein NDUFB3 also known as NADH:ubiquinone oxidoreductase subunit B3 plays a significant role in cellular respiration. It is a component of the mitochondrial complex I where it participates in the electron transport chain. NDUFB3 is a small protein with a molecular weight of approximately 12 kDa. It is expressed in various human tissues notably in high-energy-demanding organs such as the heart brain and skeletal muscles where mitochondria are abundant.
Biological function summary

NDUFB3 contributes to the transfer of electrons from NADH to ubiquinone an essential step in oxidative phosphorylation. This protein is part of the larger NADH dehydrogenase complex also called complex I which consists of 45 protein subunits. Complex I is the largest enzyme complex in the electron transport chain and serves a fundamental role in ATP production by establishing a proton gradient across the inner mitochondrial membrane.

Pathways

NDUFB3 significantly affects mitochondrial energy metabolism. It is an integral component of the electron transport chain. Through this it participates in pathways such as oxidative phosphorylation and cellular respiration. NDUFB3 associates with other proteins subunits of complex I such as NDUFS2 for electron transport which ultimately powers ATP synthesis by ATP synthase.

Disruptions in NDUFB3 function can contribute to mitochondrial diseases particularly those related to energy metabolism. Mutations in this protein have been linked to Leigh syndrome a severe neurological disorder. Moreover the dysfunction of complex I which includes NDUFB3 has connections to Parkinson's disease highlighting the importance of this protein in neurodegenerative conditions.

Product protocols

For this product, it's our understanding that no specific protocols are required. You can visit:

Target data

Accessory subunit of the mitochondrial membrane respiratory chain NADH dehydrogenase (Complex I), that is believed not to be involved in catalysis. Complex I functions in the transfer of electrons from NADH to the respiratory chain. The immediate electron acceptor for the enzyme is believed to be ubiquinone.
See full target information NDUFB3

Publications (2)

Recent publications for all applications. Explore the full list and refine your search

Cellular and molecular gastroenterology and hepatology 19:101420 PubMed39414025

2024

The Human Milk-derived Peptide Drives Rapid Regulation of Macrophage Inflammation Responses in the Neonatal Intestine.

Applications

Unspecified application

Species

Unspecified reactive species

Fuqiang Yuan,Xu Han,Masha Huang,Yinglin Su,Yiting Zhang,Mengyuan Hu,Xiang Yu,Weilai Jin,Yun Li,Le Zhang

Clinical proteomics 18:9 PubMed33618676

2021

Proteomic analysis of decidua in patients with recurrent pregnancy loss (RPL) reveals mitochondrial oxidative stress dysfunction.

Applications

Unspecified application

Species

Unspecified reactive species

Xiang-Jie Yin,Wei Hong,Fu-Ju Tian,Xiao-Cui Li
View all publications

Product promise

We are committed to supporting your work with high-quality reagents, and we're here for you every step of the way. In the unlikely event that one of our products does not perform as expected, you're protected by our Product Promise.
For full details, please see our Terms & Conditions

Please note: All products are 'FOR RESEARCH USE ONLY. NOT FOR USE IN DIAGNOSTIC OR THERAPEUTIC PROCEDURES'.

For licensing inquiries, please contact partnerships@abcam.com