JavaScript is disabled in your browser. Please enable JavaScript to view this website.
AB251160

Anti-NDUFB8 antibody [EPR15961] - BSA and Azide free

Be the first to review this product! Submit a review

|

(2 Publications)

Rabbit Recombinant Monoclonal NDUFB8 antibody. Carrier free. Suitable for ICC/IF, IP, WB, Flow Cyt (Intra), IHC-P and reacts with Human, Rat, Mouse samples. Cited in 2 publications.

View Alternative Names

Complex I-ASHI, NADH-ubiquinone oxidoreductase ASHI subunit, CI-ASHI, NDUFB8

10 Images
Flow Cytometry (Intracellular) - Anti-NDUFB8 antibody [EPR15961] - BSA and Azide free (AB251160)
  • Flow Cyt (Intra)

Lab

Flow Cytometry (Intracellular) - Anti-NDUFB8 antibody [EPR15961] - BSA and Azide free (AB251160)

This data was developed using ab192878, the same antibody clone in a different buffer formulation.

Intracellular Flow Cytometry analysis of HeLa (human cervix adenocarcinoma) cells labelling NDUFB8 antibody (red) with purified ab192878 at a dilution of 1/30. Goat anti rabbit IgG (Alexa Fluor® 488) was used as the secondary antibody at 1/2000. Cells were fixed with 4% paraformaldehyde and permeabilised with 90% methanol. Isotype control antibody was Rabbit monoclonal IgG (black). The blue line shows cells without incubation with primary antibody and secondary antibody.

Immunohistochemistry (Formalin/PFA-fixed paraffin-embedded sections) - Anti-NDUFB8 antibody [EPR15961] - BSA and Azide free (AB251160)
  • IHC-P

Supplier Data

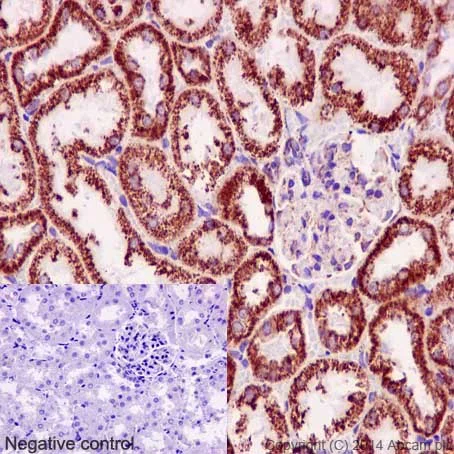
Immunohistochemistry (Formalin/PFA-fixed paraffin-embedded sections) - Anti-NDUFB8 antibody [EPR15961] - BSA and Azide free (AB251160)

This data was developed using ab192878, the same antibody clone in a different buffer formulation.

Immunohistochemical analysis of paraffin-embedded Human kidney tissue labeling NDUFB8 with ab192878 at 1/500 dilution followed by pre-diluted HRP Polymer for Rabbit/Mouse IgG. Counter stained with Hematoxylin.

Perform heat mediated antigen retrieval with Tris/EDTA buffer pH 9.0 before commencing with IHC staining protocol.

Immunocytochemistry/ Immunofluorescence - Anti-NDUFB8 antibody [EPR15961] - BSA and Azide free (AB251160)
  • ICC/IF

Supplier Data

Immunocytochemistry/ Immunofluorescence - Anti-NDUFB8 antibody [EPR15961] - BSA and Azide free (AB251160)

This data was developed using ab192878, the same antibody clone in a different buffer formulation.

Immunofluorescent analysis of 4% paraformaldehyde-fixed, 0.1% tritonX-100 permeabilized HeLa cells labeling NDUFB8 with ab192878 at 1/50 dilution followed by Goat anti rabbit IgG (AlexaFluor® 488) (ab150077) secondary antibody at 1/400 dilution. Nuclear counter stained is DAPI (blue).

Immunoprecipitation - Anti-NDUFB8 antibody [EPR15961] - BSA and Azide free (AB251160)
  • IP

Supplier Data

Immunoprecipitation - Anti-NDUFB8 antibody [EPR15961] - BSA and Azide free (AB251160)

This data was developed using ab192878, the same antibody clone in a different buffer formulation.

Western blot analysis of NDUFB8 immunoprecipitated from Human fetal heart lysate using ab192878 at 1/20 dilution. Lane 1 : Human fetal liver lysate. Lane 2 : PBS instead of Human fetal liver lysate.
Secondary : Anti-Rabbit IgG (HRP), specific to the non-reduced form of IgG at 1/1500 dilution.

Blocking/Dilution buffer : 5% NFDM/TBST.

All lanes:

Immunoprecipitation - Anti-NDUFB8 antibody [EPR15961] (<a href='/en-us/products/primary-antibodies/ndufb8-antibody-epr15961-ab192878'>ab192878</a>)

Predicted band size: 22 kDa

false

Immunohistochemistry (Formalin/PFA-fixed paraffin-embedded sections) - Anti-NDUFB8 antibody [EPR15961] - BSA and Azide free (AB251160)
  • IHC-P

Supplier Data

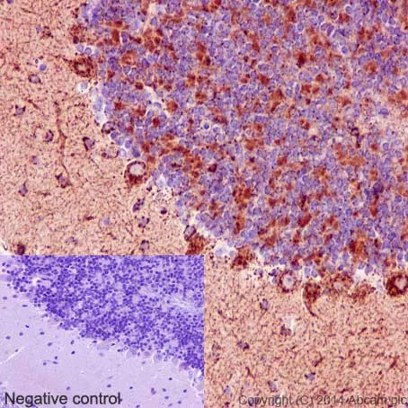
Immunohistochemistry (Formalin/PFA-fixed paraffin-embedded sections) - Anti-NDUFB8 antibody [EPR15961] - BSA and Azide free (AB251160)

This data was developed using ab192878, the same antibody clone in a different buffer formulation.

Immunohistochemical analysis of paraffin-embedded Mouse brain tissue labeling NDUFB8 with ab192878 at 1/500 dilution followed by pre-diluted HRP Polymer for Rabbit/Mouse IgG. Counter stained with Hematoxylin.

Perform heat mediated antigen retrieval with Tris/EDTA buffer pH 9.0 before commencing with IHC staining protocol.

Immunohistochemistry (Formalin/PFA-fixed paraffin-embedded sections) - Anti-NDUFB8 antibody [EPR15961] - BSA and Azide free (AB251160)
  • IHC-P

Supplier Data

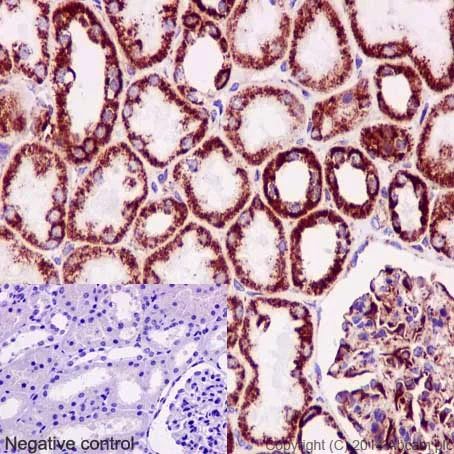
Immunohistochemistry (Formalin/PFA-fixed paraffin-embedded sections) - Anti-NDUFB8 antibody [EPR15961] - BSA and Azide free (AB251160)

This data was developed using ab192878, the same antibody clone in a different buffer formulation.

Immunohistochemical analysis of paraffin-embedded Rat kidney tissue labeling NDUFB8 with ab192878 at 1/500 dilution followed by pre-diluted HRP Polymer for Rabbit/Mouse IgG. Counter stained with Hematoxylin.

Perform heat mediated antigen retrieval with Tris/EDTA buffer pH 9.0 before commencing with IHC staining protocol.

Western blot - Anti-NDUFB8 antibody [EPR15961] - BSA and Azide free (AB251160)
  • WB

Supplier Data

Western blot - Anti-NDUFB8 antibody [EPR15961] - BSA and Azide free (AB251160)

This data was developed using ab192878, the same antibody clone in a different buffer formulation.

Blocking and dilution buffer : 5% NFDM/TBST.

All lanes:

Western blot - Anti-NDUFB8 antibody [EPR15961] (<a href='/en-us/products/primary-antibodies/ndufb8-antibody-epr15961-ab192878'>ab192878</a>) at 1/20000 dilution

All lanes:

Human fetal heart lysate at 20 µg

Secondary

All lanes:

Anti-Rabbit IgG (HRP), specific to the non-reduced form of IgG at 1/1000 dilution

Predicted band size: 22 kDa

Observed band size: 19 kDa

false

Western blot - Anti-NDUFB8 antibody [EPR15961] - BSA and Azide free (AB251160)
  • WB

Supplier Data

Western blot - Anti-NDUFB8 antibody [EPR15961] - BSA and Azide free (AB251160)

This data was developed using ab192878, the same antibody clone in a different buffer formulation.

Blocking and dilution buffer : 5% NFDM/TBST.

All lanes:

Western blot - Anti-NDUFB8 antibody [EPR15961] (<a href='/en-us/products/primary-antibodies/ndufb8-antibody-epr15961-ab192878'>ab192878</a>) at 1/5000 dilution

Lane 1:

Human fetal liver lysate at 20 µg

Lane 2:

Human tonsil lysate at 20 µg

Lane 3:

HeLa cell lysate at 20 µg

Secondary

All lanes:

Anti-Rabbit IgG (HRP), specific to the non-reduced form of IgG at 1/1000 dilution

Predicted band size: 22 kDa

Observed band size: 19 kDa

false

Western blot - Anti-NDUFB8 antibody [EPR15961] - BSA and Azide free (AB251160)
  • WB

Lab

Western blot - Anti-NDUFB8 antibody [EPR15961] - BSA and Azide free (AB251160)

This data was developed using ab192878, the same antibody clone in a different buffer formulation.

Lanes 1 - 2 Merged signal (red and green). Green - ab192878 observed at 19 kDa. Red - loading control, ab9484, observed at 37 kDa.

ab192878 was shown to specifically react with NDUFB8 in wild-type HAP1 cells as signal was lost in NDUFB8 knockout cells. Wild-type and NDUFB8 knockout samples were subjected to SDS-PAGE. ab192878 and ab9484 (Mouse anti-GAPDH loading control) were incubated overnight at 4°C at 1/1000 dilution and 1/20000 dilution respectively. Blots were developed with Goat anti-Rabbit IgG H&L (IRDye® 800CW) preabsorbed ab216773 and Goat anti-Mouse IgG H&L (IRDye® 680RD) preabsorbed ab216776 secondary antibodies at 1/20000 dilution for 1 hour at room temperature before imaging.

All lanes:

Western blot - Anti-NDUFB8 antibody [EPR15961] (<a href='/en-us/products/primary-antibodies/ndufb8-antibody-epr15961-ab192878'>ab192878</a>) at 1/1000 dilution

Lane 1:

Wild-type HAP1 whole cell lysate at 20 µg

Lane 2:

NDUFB8 knockout HAP1 whole cell lysate at 20 µg

Predicted band size: 22 kDa

Observed band size: 19 kDa

false

Western blot - Anti-NDUFB8 antibody [EPR15961] - BSA and Azide free (AB251160)
  • WB

Supplier Data

Western blot - Anti-NDUFB8 antibody [EPR15961] - BSA and Azide free (AB251160)

This data was developed using ab192878, the same antibody clone in a different buffer formulation.

Blocking and dilution buffer : 5% NFDM/TBST.

All lanes:

Western blot - Anti-NDUFB8 antibody [EPR15961] (<a href='/en-us/products/primary-antibodies/ndufb8-antibody-epr15961-ab192878'>ab192878</a>) at 1/5000 dilution

Lane 1:

C6 cell lysate at 10 µg

Lane 2:

RAW 264.7 cell lysate at 10 µg

Lane 3:

PC-12 cell lysate at 10 µg

Lane 4:

NIH/3T3 cell lysate at 10 µg

Secondary

All lanes:

Goat anti-rabbit IgG, (H+L), peroxidase conjugated at 1/1000 dilution

Predicted band size: 22 kDa

Observed band size: 19 kDa

false

Key facts

Host species

Rabbit

Clonality

Monoclonal

Clone number

EPR15961

Isotype

IgG

Carrier free

Yes

Reacts with

Mouse, Rat, Human

Applications

WB, Flow Cyt (Intra), IP, IHC-P, ICC/IF

applications

Immunogen

The exact immunogen used to generate this antibody is proprietary information.

Reactivity data

{ "title": "Reactivity Data", "filters": { "stats": ["", "Species", "Dilution Info", "Notes"], "tabs": { "all-applications": {"fullname" : "All Applications", "shortname": "All Applications"}, "ICCIF" : {"fullname" : "Immunocytochemistry/ Immunofluorescence", "shortname":"ICC/IF"}, "IP" : {"fullname" : "Immunoprecipitation", "shortname":"IP"}, "WB" : {"fullname" : "Western blot", "shortname":"WB"}, "FlowCytIntra" : {"fullname" : "Flow Cytometry (Intracellular)", "shortname":"Flow Cyt (Intra)"}, "IHCP" : {"fullname" : "Immunohistochemistry (Formalin/PFA-fixed paraffin-embedded sections)", "shortname":"IHC-P"} }, "product-promise": { "all": "all", "testedAndGuaranteed": "tested", "guaranteed": "expected", "predicted": "predicted", "notRecommended": "not-recommended" } }, "values": { "Human": { "ICCIF-species-checked": "testedAndGuaranteed", "ICCIF-species-dilution-info": "", "ICCIF-species-notes": "<p></p>", "IP-species-checked": "testedAndGuaranteed", "IP-species-dilution-info": "", "IP-species-notes": "<p></p>", "WB-species-checked": "testedAndGuaranteed", "WB-species-dilution-info": "", "WB-species-notes": "<p></p>", "FlowCytIntra-species-checked": "testedAndGuaranteed", "FlowCytIntra-species-dilution-info": "", "FlowCytIntra-species-notes": "<p></p>", "IHCP-species-checked": "testedAndGuaranteed", "IHCP-species-dilution-info": "", "IHCP-species-notes": "<p></p>" }, "Mouse": { "ICCIF-species-checked": "guaranteed", "ICCIF-species-dilution-info": "", "ICCIF-species-notes": "", "IP-species-checked": "guaranteed", "IP-species-dilution-info": "", "IP-species-notes": "", "WB-species-checked": "guaranteed", "WB-species-dilution-info": "", "WB-species-notes": "", "FlowCytIntra-species-checked": "guaranteed", "FlowCytIntra-species-dilution-info": "", "FlowCytIntra-species-notes": "", "IHCP-species-checked": "testedAndGuaranteed", "IHCP-species-dilution-info": "", "IHCP-species-notes": "<p></p>" }, "Rat": { "ICCIF-species-checked": "guaranteed", "ICCIF-species-dilution-info": "", "ICCIF-species-notes": "", "IP-species-checked": "guaranteed", "IP-species-dilution-info": "", "IP-species-notes": "", "WB-species-checked": "testedAndGuaranteed", "WB-species-dilution-info": "", "WB-species-notes": "<p></p>", "FlowCytIntra-species-checked": "guaranteed", "FlowCytIntra-species-dilution-info": "", "FlowCytIntra-species-notes": "", "IHCP-species-checked": "testedAndGuaranteed", "IHCP-species-dilution-info": "", "IHCP-species-notes": "<p></p>" } } }

Product details

ab251160 is the carrier-free version of ab192878.

Patented technology
Our RabMAb® technology is a patented hybridoma-based technology for making rabbit monoclonal antibodies. For details on our patents, please refer to RabMAb® patents.

What are the advantages of a recombinant monoclonal antibody?
This product is a recombinant monoclonal antibody, which offers several advantages including:

  • - High batch-to-batch consistency and reproducibility
  • - Improved sensitivity and specificity
  • - Long-term security of supply
  • - Animal-free batch production

For more information, read more on recombinant antibodies.

Conjugation ready
Our carrier-free antibodies are typically supplied in a PBS-only formulation, purified and free of BSA, sodium azide and glycerol. This conjugation-ready format is designed for use with fluorochromes, metal isotopes, oligonucleotides, and enzymes, which makes them ideal for antibody labelling, functional and cell-based assays, flow-based assays (e.g. mass cytometry) and Multiplex Imaging applications.

Use our conjugation kits for antibody conjugates that are ready-to-use in as little as 20 minutes with 1 minute hands-on-time and 100% antibody recovery: available for fluorescent dyes, HRP, biotin and gold.

Compatibility
This product is compatible with the Maxpar® Antibody Labeling Kit from Fluidigm, without the need for antibody preparation. Maxpar® is a trademark of Fluidigm Canada Inc.

Properties and storage information

Form
Liquid
Purification technique
Affinity purification Protein A
Storage buffer
pH: 7.2 - 7.4 Constituents: PBS
Shipped at conditions
Blue Ice
Appropriate short-term storage conditions
+4°C
Appropriate long-term storage conditions
+4°C
Storage information
Do Not Freeze

Supplementary information

This supplementary information is collated from multiple sources and compiled automatically.

The NDUFB8 protein also known as NADH dehydrogenase [ubiquinone] 1 beta subcomplex subunit 8 is an integral component of the mitochondrial inner membrane. It is a part of the electron transport chain and plays a role in mitochondrial oxidative phosphorylation. NDUFB8 has a molecular weight of approximately 19 kDa. It is broadly expressed in tissues with high-energy demands like the heart brain skeletal muscle and liver. This expression indicates its significant involvement in energy metabolism.
Biological function summary

NDUFB8 is an accessory subunit of the mitochondrial Complex I the largest enzyme of the respiratory chain. It assists in the transfer of electrons from NADH to ubiquinone a critical step in cellular respiration that contributes to ATP production. Though not directly involved in catalysis its presence is essential for the structural integrity and assembly of Complex I. By maintaining this complex's structure NDUFB8 helps ensure efficient energy production in cells.

Pathways

NDUFB8 participates in the oxidative phosphorylation pathway playing a significant role in the mitochondrial respiratory chain. It influences the production of ATP the primary energy carrier in cells. Its association with Complex I links it to other subunits and proteins like NDUFA9 and NDUFA1 in the same pathway. These connections emphasize NDUFB8's importance within the pathway and its contribution to cellular energy management.

Dysfunction in NDUFB8 is linked to mitochondrial disorders often resulting in neurological diseases or muscle weakness such as Leigh syndrome. Mutations affecting NDUFB8 or its associated proteins like NDUFA13 could disrupt the assembly or function of Complex I leading to impaired energy production. This connection highlights the role of NDUFB8 in maintaining cellular energy balance and its impact on health when malfunctioning.

Product protocols

For this product, it's our understanding that no specific protocols are required. You can visit:

Target data

Accessory subunit of the mitochondrial membrane respiratory chain NADH dehydrogenase (Complex I), that is believed not to be involved in catalysis. Complex I functions in the transfer of electrons from NADH to the respiratory chain. The immediate electron acceptor for the enzyme is believed to be ubiquinone.
See full target information NDUFB8

Publications (2)

Recent publications for all applications. Explore the full list and refine your search

International journal of biological sciences 21:4027-4050 PubMed40612676

2025

Exogenous SPD inhibits trastuzumab-mediated cardiomyocyte pyroptosis through SIRT3-regulated mitochondrial quality control.

Applications

Unspecified application

Species

Unspecified reactive species

Xue Yu,Yan Yang,Tianzuo Chen,Qianbing Wang,Zitong Wang,Xi Gao,Qianxue Wang,Jinxiang Guo,Yuqin Wang,Yajie Zhao,Shilin Wang,Wei Lu,Xing Luo,Tielei Gao,Jiayuan Kou,Hong Li,Liming Yang

International journal of molecular sciences 22: PubMed34769092

2021

11,12 Epoxyeicosatrienoic Acid Rescues Deteriorated Wound Healing in Diabetes.

Applications

Unspecified application

Species

Unspecified reactive species

Katharina Sommer,Heike Jakob,Caroline Reiche,Dirk Henrich,Jasmina Sterz,Johannes Frank,Ingo Marzi,Anna Lena Sander
View all publications

Product promise

We are committed to supporting your work with high-quality reagents, and we're here for you every step of the way. In the unlikely event that one of our products does not perform as expected, you're protected by our Product Promise.
For full details, please see our Terms & Conditions

Please note: All products are 'FOR RESEARCH USE ONLY. NOT FOR USE IN DIAGNOSTIC OR THERAPEUTIC PROCEDURES'.

For licensing inquiries, please contact partnerships@abcam.com