JavaScript is disabled in your browser. Please enable JavaScript to view this website.
AB200198

Anti-NDUFB9 antibody [EPR15955-78]

Be the first to review this product! Submit a review

|

(4 Publications)

Rabbit Recombinant Monoclonal NDUFB9 antibody. Suitable for IP, WB, ICC/IF, Flow Cyt (Intra), IHC-P and reacts with Human, Mouse, Rat samples. Cited in 4 publications.

View Alternative Names

LYRM3, UQOR22, NDUFB9, NADH dehydrogenase [ubiquinone] 1 beta subcomplex subunit 9, Complex I-B22, LYR motif-containing protein 3, NADH-ubiquinone oxidoreductase B22 subunit, CI-B22

9 Images
Immunocytochemistry/ Immunofluorescence - Anti-NDUFB9 antibody [EPR15955-78] (AB200198)
  • ICC/IF

Supplier Data

Immunocytochemistry/ Immunofluorescence - Anti-NDUFB9 antibody [EPR15955-78] (AB200198)

Immunofluorescent analysis of 4% paraformaldehyde-fixed, 0.1% Triton X-100 permeabilized Jurkat (Human T cell leukemia cells from peripheral blood) cells labeling NDUFB9 with ab200198 at 1/250 dilution, followed by Goat anti-rabbit IgG (Alexa Fluor® 488) (ab150077) secondary antibody at 1/500 dilution (green).

Cytoplasm staining on Jurkat cell line is observed.

The nuclear counter stain is DAPI (blue).

Tubulin is detected with ab7291 (anti-Tubulin mouse mAb) at 1/1000 dilution and ab150120 (AlexaFluor®594 Goat anti-Mouse secondary) at 1/500 dilution (red).
The negative controls are as follows :
-ve control 1 : ab200198 at 1/250 dilution followed by ab150120 (AlexaFluor®594 Goat anti-Mouse secondary) at 1/500 dilution.
-ve control 2 : ab7291 (anti-Tubulin mouse mAb) at 1/1000 dilution followed by ab150077 (Alexa Fluor®488 Goat Anti-Rabbit IgG H&L) at 1/500 dilution.

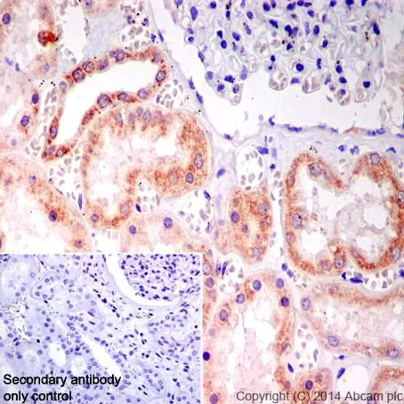
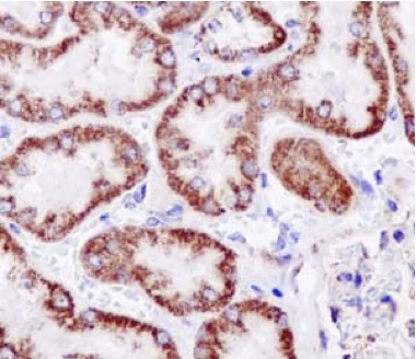
Immunohistochemistry (Formalin/PFA-fixed paraffin-embedded sections) - Anti-NDUFB9 antibody [EPR15955-78] (AB200198)
  • IHC-P

Supplier Data

Immunohistochemistry (Formalin/PFA-fixed paraffin-embedded sections) - Anti-NDUFB9 antibody [EPR15955-78] (AB200198)

Immunohistochemical analysis of paraffin-embedded Human kidney tissue labeling NDUFB9 with ab200198 at 1/250 dilution, followed by Goat Anti-Rabbit IgG H&L (HRP) (ab97051) secondary antibody at 1/500 dilution.

Cytoplasm staining on Human kidney tissue is observed.

Counter stained with Hematoxylin.

Secondary antibody only control : Used PBS instead of primary antibody, secondary antibody is Goat Anti-Rabbit IgG H&L (HRP) (ab97051) at 1/500 dilution.

Perform heat mediated antigen retrieval with Tris/EDTA buffer pH 9.0 before commencing with IHC staining protocol.

Flow Cytometry (Intracellular) - Anti-NDUFB9 antibody [EPR15955-78] (AB200198)
  • Flow Cyt (Intra)

Supplier Data

Flow Cytometry (Intracellular) - Anti-NDUFB9 antibody [EPR15955-78] (AB200198)

Intracellular flow cytometric analysis of 2% paraformaldehyde-fixed Jurkat (Human T cell leukemia cells from peripheral blood) cells labeling NDUFB9 with ab200198 at 1/400 dilution (red) compared with a rabbit monoclonal IgG isotype control (ab172730;black) and an unlabelled control (cells without incubation with primary antibody and secondary antibody; blue). Goat anti rabbit IgG (FITC) at 1/150 dilution was used as the secondary antibody.

Immunoprecipitation - Anti-NDUFB9 antibody [EPR15955-78] (AB200198)
  • IP

Supplier Data

Immunoprecipitation - Anti-NDUFB9 antibody [EPR15955-78] (AB200198)

NDUFB9 was immunoprecipitated from 1mg of Jurkat (Human T cell leukemia cells from peripheral blood) whole cell lysate with ab200198 at 1/150 dilution.

Western blot was performed from the immunoprecipitate using ab200198 at 1/1000 dilution.

Anti-Rabbit IgG (HRP), specific to the non-reduced form of IgG, was used as secondary antibody at 1/1500 dilution.

Lane 1 : Jurkat whole cell lysate 10 μg (Input).

Lane 2 : ab200198 IP in Jurkat whole cell elysate.

Lane 3 : Rabbit monoclonal IgG (ab172730) instead of ab200198 in Jurkat whole cell lysate.

Blocking and dilution buffer and concentration : 5% NFDM/TBST.

All lanes:

Immunoprecipitation - Anti-NDUFB9 antibody [EPR15955-78] (ab200198)

Predicted band size: 21 kDa

false

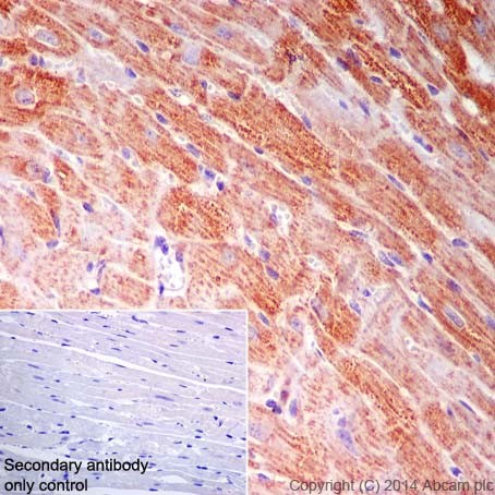
Immunohistochemistry (Formalin/PFA-fixed paraffin-embedded sections) - Anti-NDUFB9 antibody [EPR15955-78] (AB200198)
  • IHC-P

Supplier Data

Immunohistochemistry (Formalin/PFA-fixed paraffin-embedded sections) - Anti-NDUFB9 antibody [EPR15955-78] (AB200198)

Immunohistochemical analysis of paraffin-embedded Mouse cardiac muscle tissue labeling NDUFB9 with ab200198 at 1/250 dilution, followed by Goat Anti-Rabbit IgG H&L (HRP) (ab97051) secondary antibody at 1/500 dilution.

Cytoplasm staining on mouse cardiac muscle tissue is observed.

Counter stained with Hematoxylin.

Secondary antibody only control : Used PBS instead of primary antibody, secondary antibody is Goat Anti-Rabbit IgG H&L (HRP) (ab97051) at 1/500 dilution.

Perform heat mediated antigen retrieval with Tris/EDTA buffer pH 9.0 before commencing with IHC staining protocol.

Western blot - Anti-NDUFB9 antibody [EPR15955-78] (AB200198)
  • WB

Lab

Western blot - Anti-NDUFB9 antibody [EPR15955-78] (AB200198)

Lanes 1-3 : Merged signal (red and green). Green - ab200198 observed at 22 kDa. Red - loading control ab8245 observed at 36 kDa.

ab200198 Anti-NDUFB9 antibody [EPR15955-78] was shown to specifically react with NDUFB9 in wild-type HeLa cells. Loss of signal was observed when knockout cell line ab265946 (knockout cell lysate ab258065) was used. Wild-type and NDUFB9 knockout samples were subjected to SDS-PAGE. ab200198 and Anti-GAPDH antibody [6C5] - Loading Control (ab8245) were incubated overnight at 4°C at 1 in 1000 dilution and 1 in 20000 dilution respectively. Blots were developed with Goat anti-Rabbit IgG H&L (IRDye® 800CW) preadsorbed (ab216773) and Goat anti-Mouse IgG H&L (IRDye® 680RD) preadsorbed (ab216776) secondary antibodies at 1 in 20000 dilution for 1 hour at room temperature before imaging.

All lanes:

Western blot - Anti-NDUFB9 antibody [EPR15955-78] (ab200198) at 1/1000 dilution

Lane 1:

Wild-type HeLa cell lysate at 20 µg

Lane 2:

NDUFB9 knockout HeLa cell lysate at 20 µg

Lane 2:

Western blot - Human NDUFB9 knockout HeLa cell line (<a href='/en-us/products/cell-lines/human-ndufb9-knockout-hela-cell-line-ab265946'>ab265946</a>)

Lane 3:

Jurkat cell lysate at 20 µg

Secondary

All lanes:

Western blot - Goat anti-Rabbit IgG H&L (IRDye® 800CW) preadsorbed (<a href='/en-us/products/secondary-antibodies/goat-rabbit-igg-h-l-irdye-800cw-preadsorbed-ab216773'>ab216773</a>) at 1/10000 dilution

Predicted band size: 21 kDa

Observed band size: 22 kDa

false

Western blot - Anti-NDUFB9 antibody [EPR15955-78] (AB200198)
  • WB

Supplier Data

Western blot - Anti-NDUFB9 antibody [EPR15955-78] (AB200198)

Blocking/Dilution buffer : 5% NFDM/TBST.

All lanes:

Western blot - Anti-NDUFB9 antibody [EPR15955-78] (ab200198) at 1/5000 dilution

Lane 1:

Jurkat (Human T cell leukemia cells from peripheral blood) cell lysate at 10 µg

Lane 2:

HEK293 (Human embryonic kidney) cell lysate at 10 µg

Secondary

All lanes:

Goat Anti-Rabbit IgG, (H+L), Peroxidase conjugated at 1/1000 dilution

Predicted band size: 21 kDa

Observed band size: 22 kDa

false

Exposure time: 3min

Western blot - Anti-NDUFB9 antibody [EPR15955-78] (AB200198)
  • WB

Supplier Data

Western blot - Anti-NDUFB9 antibody [EPR15955-78] (AB200198)

Blocking/Dilution buffer : 5% NFDM/TBST.

All lanes:

Western blot - Anti-NDUFB9 antibody [EPR15955-78] (ab200198) at 1/5000 dilution

All lanes:

Human fetal liver lysate at 10 µg

Secondary

All lanes:

Anti-Rabbit IgG (HRP), specific to the non-reduced form of IgG at 1/1000 dilution

Predicted band size: 21 kDa

Observed band size: 22 kDa

false

Exposure time: 1min

Western blot - Anti-NDUFB9 antibody [EPR15955-78] (AB200198)
  • WB

Supplier Data

Western blot - Anti-NDUFB9 antibody [EPR15955-78] (AB200198)

Blocking/Dilution buffer : 5% NFDM/TBST.

All lanes:

Western blot - Anti-NDUFB9 antibody [EPR15955-78] (ab200198) at 1/1000 dilution

Lane 1:

Mouse kidney lysate at 10 µg

Lane 2:

Mouse spleen lysate at 10 µg

Lane 3:

Rat heart lysate at 10 µg

Lane 4:

Rat spleen lysate at 10 µg

Secondary

All lanes:

Anti-Rabbit IgG (HRP), specific to the non-reduced form of IgG at 1/1000 dilution

Predicted band size: 21 kDa

Observed band size: 22 kDa

false

Exposure time: 1min

  • Carrier free

    Anti-NDUFB9 antibody [EPR15955-78] - BSA and Azide free

Key facts

Host species

Rabbit

Clonality

Monoclonal

Clone number

EPR15955-78

Isotype

IgG

Carrier free

No

Reacts with

Mouse, Rat, Human

Applications

WB, IHC-P, ICC/IF, IP, Flow Cyt (Intra)

applications

Immunogen

The exact immunogen used to generate this antibody is proprietary information.

Reactivity data

{ "title": "Reactivity Data", "filters": { "stats": ["", "Species", "Dilution Info", "Notes"], "tabs": { "all-applications": {"fullname" : "All Applications", "shortname": "All Applications"}, "IP" : {"fullname" : "Immunoprecipitation", "shortname":"IP"}, "WB" : {"fullname" : "Western blot", "shortname":"WB"}, "ICCIF" : {"fullname" : "Immunocytochemistry/ Immunofluorescence", "shortname":"ICC/IF"}, "FlowCytIntra" : {"fullname" : "Flow Cytometry (Intracellular)", "shortname":"Flow Cyt (Intra)"}, "IHCP" : {"fullname" : "Immunohistochemistry (Formalin/PFA-fixed paraffin-embedded sections)", "shortname":"IHC-P"} }, "product-promise": { "all": "all", "testedAndGuaranteed": "tested", "guaranteed": "expected", "predicted": "predicted", "notRecommended": "not-recommended" } }, "values": { "Human": { "IP-species-checked": "testedAndGuaranteed", "IP-species-dilution-info": "1/150", "IP-species-notes": "<p></p>", "WB-species-checked": "testedAndGuaranteed", "WB-species-dilution-info": "1/1000", "WB-species-notes": "<p></p>", "ICCIF-species-checked": "testedAndGuaranteed", "ICCIF-species-dilution-info": "1/250", "ICCIF-species-notes": "<p></p>", "FlowCytIntra-species-checked": "testedAndGuaranteed", "FlowCytIntra-species-dilution-info": "1/400", "FlowCytIntra-species-notes": "<p><a href='/en-us/products/primary-antibodies/rabbit-igg-monoclonal-epr25a-isotype-control-ab172730'>ab172730</a> - Rabbit monoclonal IgG, is suitable for use as an isotype control with this antibody.</p>", "IHCP-species-checked": "testedAndGuaranteed", "IHCP-species-dilution-info": "1/250", "IHCP-species-notes": "<p></p> Perform heat-mediated antigen retrieval with Tris/EDTA buffer pH 9.0 before commencing with IHC staining protocol." }, "Mouse": { "IP-species-checked": "guaranteed", "IP-species-dilution-info": "", "IP-species-notes": "", "WB-species-checked": "testedAndGuaranteed", "WB-species-dilution-info": "1/1000", "WB-species-notes": "<p></p>", "ICCIF-species-checked": "guaranteed", "ICCIF-species-dilution-info": "", "ICCIF-species-notes": "", "FlowCytIntra-species-checked": "guaranteed", "FlowCytIntra-species-dilution-info": "", "FlowCytIntra-species-notes": "", "IHCP-species-checked": "testedAndGuaranteed", "IHCP-species-dilution-info": "1/250", "IHCP-species-notes": "<p></p> Perform heat-mediated antigen retrieval with Tris/EDTA buffer pH 9.0 before commencing with IHC staining protocol." }, "Rat": { "IP-species-checked": "guaranteed", "IP-species-dilution-info": "", "IP-species-notes": "", "WB-species-checked": "testedAndGuaranteed", "WB-species-dilution-info": "1/1000", "WB-species-notes": "<p></p>", "ICCIF-species-checked": "guaranteed", "ICCIF-species-dilution-info": "", "ICCIF-species-notes": "", "FlowCytIntra-species-checked": "guaranteed", "FlowCytIntra-species-dilution-info": "", "FlowCytIntra-species-notes": "", "IHCP-species-checked": "guaranteed", "IHCP-species-dilution-info": "", "IHCP-species-notes": "" } } }

Product details

Patented technology
Our RabMAb® technology is a patented hybridoma-based technology for making rabbit monoclonal antibodies. For details on our patents, please refer to RabMAb® patents.

What are the advantages of a recombinant monoclonal antibody?
This product is a recombinant monoclonal antibody, which offers several advantages including:

  • - High batch-to-batch consistency and reproducibility
  • - Improved sensitivity and specificity
  • - Long-term security of supply
  • - Animal-free batch production

For more information, read more on recombinant antibodies.

Properties and storage information

Form
Liquid
Purification technique
Affinity purification Protein A
Storage buffer
pH: 7.2 - 7.4 Preservative: 0.01% Sodium azide Constituents: PBS, 40% Glycerol (glycerin, glycerine), 0.05% BSA
Shipped at conditions
Blue Ice
Appropriate short-term storage duration
1-2 weeks
Appropriate short-term storage conditions
+4°C
Appropriate long-term storage conditions
-20°C
Aliquoting information
Upon delivery aliquot
Storage information
Avoid freeze / thaw cycle

Supplementary information

This supplementary information is collated from multiple sources and compiled automatically.

The protein NDUFB9 also known as NADH:ubiquinone oxidoreductase subunit B9 is a part of the mitochondrial respiratory chain. This protein has a molecular mass of approximately 22 kDa. NDUFB9 is expressed in the mitochondria of many tissues serving as an accessory subunit of complex I the first enzyme in the electron transport chain. It does not participate in catalysis but assists in maintaining the integrity and stability of the complex.
Biological function summary

NDUFB9 plays a role in mitochondrial energy production. As a component of complex I which is the largest of the five mitochondrial complexes NDUFB9 contributes to the process of oxidative phosphorylation. This complex transfers electrons from NADH to ubiquinone facilitating the pumping of protons across the inner mitochondrial membrane. This proton gradient drives ATP production vital for energy metabolism in cells.

Pathways

The function of NDUFB9 is critical in cellular respiration and energy production pathways. It is integral to the pathway of oxidative phosphorylation closely associated with aerobic energy metabolism. Through its role in complex I NDUFB9 interacts with other mitochondrial proteins such as NDUFA1 and NDUFS1 which are also part of the same complex and contribute to electron transport and energy conservation.

NDUFB9 mutations have been linked to mitochondrial disorders including Leigh syndrome a severe neurological disorder characterized by progressive loss of mental and movement abilities. NDUFB9 dysfunction can also contribute to Complex I deficiency which leads to a range of metabolic syndromes. This protein's interaction with other complex I proteins like NDUFS2 is important for maintaining proper mitochondrial function and disturbances can lead to broader mitochondrial pathologies.

Product protocols

For this product, it's our understanding that no specific protocols are required. You can visit:

Target data

Accessory subunit of the mitochondrial membrane respiratory chain NADH dehydrogenase (Complex I), that is believed to be not involved in catalysis. Complex I functions in the transfer of electrons from NADH to the respiratory chain. The immediate electron acceptor for the enzyme is believed to be ubiquinone.
See full target information NDUFB9

Publications (4)

Recent publications for all applications. Explore the full list and refine your search

Cell reports 43:114067 PubMed38583150

2024

Bacterial muropeptides promote OXPHOS and suppress mitochondrial stress in mammals.

Applications

Unspecified application

Species

Unspecified reactive species

Dong Tian,Mingxue Cui,Min Han

RNA (New York, N.Y.) 30:223-239 PubMed38164626

2024

LARP4 is an RNA-binding protein that binds nuclear-encoded mitochondrial mRNAs to promote mitochondrial function.

Applications

Unspecified application

Species

Unspecified reactive species

Benjamin M Lewis,Chae Yun Cho,Hsuan-Lin Her,Orel Mizrahi,Tony Hunter,Gene W Yeo

Cell metabolism 33:531-546.e9 PubMed33545050

2021

C9orf72 regulates energy homeostasis by stabilizing mitochondrial complex I assembly.

Applications

Unspecified application

Species

Unspecified reactive species

Tao Wang,Honghe Liu,Kie Itoh,Sungtaek Oh,Liang Zhao,Daisuke Murata,Hiromi Sesaki,Thomas Hartung,Chan Hyun Na,Jiou Wang

Molecular & cellular proteomics : MCP 17:1084-1096 PubMed29507050

2018

Proteomics of Conidia-containing Phagolysosomes Identifies Processes Governing Immune Evasion.

Applications

Unspecified application

Species

Unspecified reactive species

Hella Schmidt,Sebastian Vlaic,Thomas Krüger,Franziska Schmidt,Johannes Balkenhol,Thomas Dandekar,Reinhard Guthke,Olaf Kniemeyer,Thorsten Heinekamp,Axel A Brakhage
View all publications

Product promise

We are committed to supporting your work with high-quality reagents, and we're here for you every step of the way. In the unlikely event that one of our products does not perform as expected, you're protected by our Product Promise.
For full details, please see our Terms & Conditions

Please note: All products are 'FOR RESEARCH USE ONLY. NOT FOR USE IN DIAGNOSTIC OR THERAPEUTIC PROCEDURES'.

For licensing inquiries, please contact partnerships@abcam.com