JavaScript is disabled in your browser. Please enable JavaScript to view this website.
AB251132

Anti-NDUFC2 antibody [EPR16499] - BSA and Azide free

Be the first to review this product! Submit a review

|

(1 Publication)

Rabbit Recombinant Monoclonal NDUFC2 antibody. Carrier free. Suitable for WB, Flow Cyt (Intra), IHC-P and reacts with Human samples. Cited in 1 publication.

View Alternative Names

HLC1, NDUFC2, NADH dehydrogenase [ubiquinone] 1 subunit C2, Complex I-B14.5b, Human lung cancer oncogene 1 protein, NADH-ubiquinone oxidoreductase subunit B14.5b, CI-B14.5b, HLC-1

3 Images
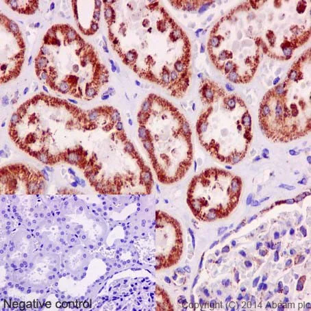
Immunohistochemistry (Formalin/PFA-fixed paraffin-embedded sections) - Anti-NDUFC2 antibody [EPR16499] - BSA and Azide free (AB251132)
  • IHC-P

Supplier Data

Immunohistochemistry (Formalin/PFA-fixed paraffin-embedded sections) - Anti-NDUFC2 antibody [EPR16499] - BSA and Azide free (AB251132)

This data was developed using ab192265, the same antibody clone in a different buffer formulation.

Immunohistochemical analysis of paraffin-embedded Human kidney tissue labeling NDUFC2 with ab192265 at 1/100 dilution, followed by prediluted HRP Polymer for Rabbit/Mouse IgG. Counter stained with Hematoxylin.

Perform heat mediated antigen retrieval with Tris/EDTA buffer pH 9.0 before commencing with IHC staining protocol.

Flow Cytometry (Intracellular) - Anti-NDUFC2 antibody [EPR16499] - BSA and Azide free (AB251132)
  • Flow Cyt (Intra)

Supplier Data

Flow Cytometry (Intracellular) - Anti-NDUFC2 antibody [EPR16499] - BSA and Azide free (AB251132)

This data was developed using ab192265, the same antibody clone in a different buffer formulation.

Intracellular flow cytometric analysis of 2% paraformaldehyde-fixed A549 cells labeling NDUFC2 with ab192265 at 1/30 dilution (pink) compared with a rabbit monoclonal IgG isotype control (green). Goat anti rabbit IgG (FITC) at 1/150 dilution was used as the secondary antibody.

Western blot - Anti-NDUFC2 antibody [EPR16499] - BSA and Azide free (AB251132)
  • WB

Supplier Data

Western blot - Anti-NDUFC2 antibody [EPR16499] - BSA and Azide free (AB251132)

This data was developed using ab192265, the same antibody clone in a different buffer formulation.

Blocking and dilution buffer : 5% NFDM/TBST.

All lanes:

Western blot - Anti-NDUFC2 antibody [EPR16499] (<a href='/en-us/products/primary-antibodies/ndufc2-antibody-epr16499-ab192265'>ab192265</a>) at 1/1000 dilution

Lane 1:

HeLa cell lysate at 20 µg

Lane 2:

HepG2 cell lysate at 20 µg

Lane 3:

A549 cell lysate at 20 µg

Secondary

All lanes:

Goat Anti-Rabbit IgG, (H+L), Peroxidase conjugated at 1/1000 dilution

Predicted band size: 14 kDa

Observed band size: 14 kDa

false

Key facts

Host species

Rabbit

Clonality

Monoclonal

Clone number

EPR16499

Isotype

IgG

Carrier free

Yes

Reacts with

Human

Applications

IHC-P, WB, Flow Cyt (Intra)

applications

Immunogen

The exact immunogen used to generate this antibody is proprietary information.

Reactivity data

{ "title": "Reactivity Data", "filters": { "stats": ["", "Species", "Dilution Info", "Notes"], "tabs": { "all-applications": {"fullname" : "All Applications", "shortname": "All Applications"}, "WB" : {"fullname" : "Western blot", "shortname":"WB"}, "FlowCytIntra" : {"fullname" : "Flow Cytometry (Intracellular)", "shortname":"Flow Cyt (Intra)"}, "IHCP" : {"fullname" : "Immunohistochemistry (Formalin/PFA-fixed paraffin-embedded sections)", "shortname":"IHC-P"} }, "product-promise": { "all": "all", "testedAndGuaranteed": "tested", "guaranteed": "expected", "predicted": "predicted", "notRecommended": "not-recommended" } }, "values": { "Human": { "WB-species-checked": "testedAndGuaranteed", "WB-species-dilution-info": "", "WB-species-notes": "<p></p>", "FlowCytIntra-species-checked": "testedAndGuaranteed", "FlowCytIntra-species-dilution-info": "", "FlowCytIntra-species-notes": "<p></p>", "IHCP-species-checked": "testedAndGuaranteed", "IHCP-species-dilution-info": "", "IHCP-species-notes": "<p></p>" } } }

Product details

ab251132 is the carrier-free version of ab192265.

Patented technology
Our RabMAb® technology is a patented hybridoma-based technology for making rabbit monoclonal antibodies. For details on our patents, please refer to RabMAb® patents.

What are the advantages of a recombinant monoclonal antibody?
This product is a recombinant monoclonal antibody, which offers several advantages including:

  • - High batch-to-batch consistency and reproducibility
  • - Improved sensitivity and specificity
  • - Long-term security of supply
  • - Animal-free batch production

For more information, read more on recombinant antibodies.

Conjugation ready
Our carrier-free antibodies are typically supplied in a PBS-only formulation, purified and free of BSA, sodium azide and glycerol. This conjugation-ready format is designed for use with fluorochromes, metal isotopes, oligonucleotides, and enzymes, which makes them ideal for antibody labelling, functional and cell-based assays, flow-based assays (e.g. mass cytometry) and Multiplex Imaging applications.

Use our conjugation kits for antibody conjugates that are ready-to-use in as little as 20 minutes with 1 minute hands-on-time and 100% antibody recovery: available for fluorescent dyes, HRP, biotin and gold.

Compatibility
This product is compatible with the Maxpar® Antibody Labeling Kit from Fluidigm, without the need for antibody preparation. Maxpar® is a trademark of Fluidigm Canada Inc.

Properties and storage information

Form
Liquid
Storage buffer
pH: 7.2 - 7.4 Constituents: PBS
Shipped at conditions
Blue Ice
Appropriate short-term storage conditions
+4°C
Appropriate long-term storage conditions
+4°C
Storage information
Do Not Freeze

Supplementary information

This supplementary information is collated from multiple sources and compiled automatically.

NDUFC2 also known as NADH:ubiquinone oxidoreductase subunit C2 is a protein component of the mitochondrial complex I. It has a molecular mass of approximately 14.4 kDa. This protein is expressed within the mitochondria of various tissues with significant expression observed in high energy-demanding tissues such as the brain heart and muscles. NDUFC2 does not have a catalytic role but contributes to the structural stability of complex I.
Biological function summary

NDUFC2 plays a role as part of the mitochondrial respiratory chain complex I also known as NADH:ubiquinone oxidoreductase. This complex catalyzes the initial step of electron transport helping transfer electrons from NADH to ubiquinone. By contributing to this process NDUFC2 supports ATP production through oxidative phosphorylation which is essential for cellular energy metabolism. Being part of such a complex structure NDUFC2 interacts closely with other subunits of complex I.

Pathways

NDUFC2 involves itself in the oxidative phosphorylation and the citric acid cycle. These pathways are vital for energy conversion and metabolic processes. Within oxidative phosphorylation NDUFC2 relates to proteins such as NDUFB10 and NDUFS1 which are additional components of complex I. This protein along with its complex counterparts ensures efficient electron transport and ATP synthesis.

NDUFC2 associates with mitochondrial disorders that stem from complex I deficiencies. Such diseases include Leigh syndrome a severe neurological disorder and mitochondrial encephalomyopathy. Interactions with other complex I proteins like NDUFS3 and NDUFV1 highlight the role of NDUFC2 in these conditions. Mutations or deficiencies in NDUFC2 can impact cellular energy metabolism contributing to the pathophysiology of these disorders.

Product protocols

For this product, it's our understanding that no specific protocols are required. You can visit:

Target data

Accessory subunit of the mitochondrial membrane respiratory chain NADH dehydrogenase (Complex I), that is believed not to be involved in catalysis but required for the complex assembly. Complex I functions in the transfer of electrons from NADH to the respiratory chain. The immediate electron acceptor for the enzyme is believed to be ubiquinone.
See full target information NDUFC2

Publications (1)

Recent publications for all applications. Explore the full list and refine your search

International journal of molecular sciences 22: PubMed34769092

2021

11,12 Epoxyeicosatrienoic Acid Rescues Deteriorated Wound Healing in Diabetes.

Applications

Unspecified application

Species

Unspecified reactive species

Katharina Sommer,Heike Jakob,Caroline Reiche,Dirk Henrich,Jasmina Sterz,Johannes Frank,Ingo Marzi,Anna Lena Sander
View all publications

Product promise

We are committed to supporting your work with high-quality reagents, and we're here for you every step of the way. In the unlikely event that one of our products does not perform as expected, you're protected by our Product Promise.
For full details, please see our Terms & Conditions

Please note: All products are 'FOR RESEARCH USE ONLY. NOT FOR USE IN DIAGNOSTIC OR THERAPEUTIC PROCEDURES'.

For licensing inquiries, please contact partnerships@abcam.com