JavaScript is disabled in your browser. Please enable JavaScript to view this website.
AB96428

Anti-Ndufs1 antibody

Be the first to review this product! Submit a review

|

(2 Publications)

Rabbit Polyclonal Ndufs1 antibody. Suitable for WB and reacts with Mouse, Rat, Human samples. Cited in 2 publications. Immunogen corresponding to Recombinant Fragment Protein within Human NDUFS1 aa 1-200.

View Alternative Names

Complex I-75kD, CI-75kD, NDUFS1

1 Images
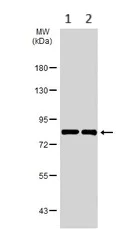
Western blot - Anti-Ndufs1 antibody (AB96428)
  • WB

Supplier Data

Western blot - Anti-Ndufs1 antibody (AB96428)

Samples were separated by 7.5% SDS-PAGE.

All lanes:

Western blot - Anti-Ndufs1 antibody (ab96428) at 1/1000 dilution

Lane 1:

Mouse brain tissue lysates at 50 µg

Lane 2:

Rat brain tissue lysates at 50 µg

Secondary

All lanes:

HRP-conjugated anti-rabbit IgG antibody

Predicted band size: 79 kDa

false

Key facts

Host species

Rabbit

Clonality

Polyclonal

Isotype

IgG

Carrier free

No

Reacts with

Mouse, Rat, Human

Applications

WB

applications

Immunogen

Recombinant Fragment Protein within Human NDUFS1 aa 1-200. The exact immunogen used to generate this antibody is proprietary information.

P28331

Reactivity data

{ "title": "Reactivity Data", "filters": { "stats": ["", "Species", "Dilution Info", "Notes"], "tabs": { "all-applications": {"fullname" : "All Applications", "shortname": "All Applications"}, "WB" : {"fullname" : "Western blot", "shortname":"WB"} }, "product-promise": { "all": "all", "testedAndGuaranteed": "tested", "guaranteed": "expected", "predicted": "predicted", "notRecommended": "not-recommended" } }, "values": { "Human": { "WB-species-checked": "guaranteed", "WB-species-dilution-info": "1/500 - 1/3000", "WB-species-notes": "<p></p>" }, "Mouse": { "WB-species-checked": "testedAndGuaranteed", "WB-species-dilution-info": "1/500 - 1/3000", "WB-species-notes": "<p></p>" }, "Rat": { "WB-species-checked": "testedAndGuaranteed", "WB-species-dilution-info": "1/500 - 1/3000", "WB-species-notes": "<p></p>" }, "Cow": { "WB-species-checked": "predicted", "WB-species-dilution-info": "", "WB-species-notes": "" } } }

Properties and storage information

Form
Liquid
Purification technique
Affinity purification Immunogen
Storage buffer
pH: 7 Preservative: 0.01% Thimerosal (merthiolate) Constituents: 20% Glycerol (glycerin, glycerine), 1.21% Tris, 0.75% Glycine
Shipped at conditions
Blue Ice
Appropriate short-term storage conditions
+4°C
Appropriate long-term storage conditions
-20°C
Aliquoting information
Upon delivery aliquot
Storage information
Avoid freeze / thaw cycle

Supplementary information

This supplementary information is collated from multiple sources and compiled automatically.

Ndufs1 known as NADH:ubiquinone oxidoreductase core subunit S1 or complex I 75 kDa subunit forms a significant part of the mitochondrial electron transport chain. This protein shows a mass of 75 kDa and is primarily found in mitochondria among various tissues. Ndufs1 plays an important role in transferring electrons from NADH to ubiquinone facilitating proton translocation across the inner mitochondrial membrane. With its function it contributes to the creation of a proton gradient essential for ATP synthesis.
Biological function summary

Ndufs1 facilitates the primary catalytic activity of the NADH dehydrogenase complex also found within the mitochondrial complex I. By being part of this large multi-subunit complex it helps in electron flow which essential for cellular respiration. Proper functioning of Ndufs1 becomes necessary for maintaining adequate energy production through ATP synthesis in cells impacting energy-dependent processes significantly.

Pathways

Ndufs1 acts mainly within the oxidative phosphorylation pathway. This pathway is indispensable for energy conversion in cells prominently featuring NADH dehydrogenase (ubiquinone). It relates closely with other critical proteins like Ndufa9 and Ndufb8 as these proteins also integrate into the mitochondrial complex I ensuring effective electron transport and energy yield in cells. The pathway links metabolic flux to energy production keeping cellular operations efficient.

Ndufs1 mutations correlate with mitochondrial diseases such as Leigh syndrome and mitochondrial complex I deficiency. These conditions often manifest neurological and muscular symptoms due to impaired mitochondrial function. Ndufs1 connections with proteins like Ndufv1 and additional complex I subunits emphasize its role in regular mitochondrial activity making its study relevant for understanding the pathological basis of these disorders. Researchers focus on Ndufs1 to unravel its impact on cellular metabolism and potential therapeutic targets.

Product protocols

For this product, it's our understanding that no specific protocols are required. You can visit:

Target data

Core subunit of the mitochondrial membrane respiratory chain NADH dehydrogenase (Complex I) which catalyzes electron transfer from NADH through the respiratory chain, using ubiquinone as an electron acceptor (PubMed : 30879903, PubMed : 31557978). Essential for catalysing the entry and efficient transfer of electrons within complex I (PubMed : 31557978). Plays a key role in the assembly and stability of complex I and participates in the association of complex I with ubiquinol-cytochrome reductase complex (Complex III) to form supercomplexes (PubMed : 30879903, PubMed : 31557978).
See full target information NDUFS1

Publications (2)

Recent publications for all applications. Explore the full list and refine your search

Cell death and differentiation 22:862-74 PubMed25361078

2014

Granzyme B-induced mitochondrial ROS are required for apoptosis.

Applications

Unspecified application

Species

Unspecified reactive species

G Jacquemin,D Margiotta,A Kasahara,E Y Bassoy,M Walch,J Thiery,J Lieberman,D Martinvalet

PloS one 9:e106779 PubMed25215595

2014

Profiling the mitochondrial proteome of Leber's Hereditary Optic Neuropathy (LHON) in Thailand: down-regulation of bioenergetics and mitochondrial protein quality control pathways in fibroblasts with the 11778G>A mutation.

Applications

WB

Species

Human

Aung Win Tun,Sakdithep Chaiyarit,Supannee Kaewsutthi,Wanphen Katanyoo,Wanicha Chuenkongkaew,Masayoshi Kuwano,Takeshi Tomonaga,Chayanon Peerapittayamongkol,Visith Thongboonkerd,Patcharee Lertrit
View all publications

Product promise

We are committed to supporting your work with high-quality reagents, and we're here for you every step of the way. In the unlikely event that one of our products does not perform as expected, you're protected by our Product Promise.
For full details, please see our Terms & Conditions

Please note: All products are 'FOR RESEARCH USE ONLY. NOT FOR USE IN DIAGNOSTIC OR THERAPEUTIC PROCEDURES'.

For licensing inquiries, please contact partnerships@abcam.com