JavaScript is disabled in your browser. Please enable JavaScript to view this website.
AB249492

Anti-Ndufs1 antibody [EPR11521(B)] - BSA and Azide free

Be the first to review this product! Submit a review

|

(1 Publication)

Rabbit Recombinant Monoclonal Ndufs1 antibody. Carrier free. Suitable for IHC-P, ICC/IF, IP, WB, Flow Cyt (Intra) and reacts with Human samples. Cited in 1 publication.

View Alternative Names

Complex I-75kD, CI-75kD, NDUFS1

8 Images
Immunocytochemistry/ Immunofluorescence - Anti-Ndufs1 antibody [EPR11521(B)] - BSA and Azide free (AB249492)
  • ICC/IF

Supplier Data

Immunocytochemistry/ Immunofluorescence - Anti-Ndufs1 antibody [EPR11521(B)] - BSA and Azide free (AB249492)

This data was developed using ab169540, the same antibody clone in a different buffer formulation. Immunofluorescent analysis of 80% Methanol-fixed, 0.1% Triton X-100 permeabilized Raji (human Burkitt's lymphoma B lymphocyte) cells labelling Ndufs1 with ab169540 at 1/50 dilution (2.6 ug/ml), followed by ab150081 Goat Anti-Rabbit IgG H&L (Alexa Fluor® 488) preadsorbed antibody at 1/1000 dilution (2 ug/ml) (Green). Confocal image showing cytoplasmic staining in Raji cell line. Image was taken with a confocal microscope(Leica-Microsystems, TCS SP8). ab195889 Anti-alpha Tubulin mouse monoclonal antibody - Microtubule Marker (Alexa Fluor® 594) was used to counterstain tubulin at 1/200 dilution (2.5 ug/ml) (Red). The nuclear counterstain was DAPI (Blue). Secondary antibody only control : Secondary antibody is ab150081 Goat Anti-Rabbit IgG H&L (Alexa Fluor® 488) preadsorbed at 1/1000 dilution (2 ug/ml).

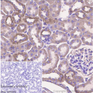
Immunohistochemistry (Formalin/PFA-fixed paraffin-embedded sections) - Anti-Ndufs1 antibody [EPR11521(B)] - BSA and Azide free (AB249492)
  • IHC-P

Supplier Data

Immunohistochemistry (Formalin/PFA-fixed paraffin-embedded sections) - Anti-Ndufs1 antibody [EPR11521(B)] - BSA and Azide free (AB249492)

This data was developed using ab169540, the same antibody clone in a different buffer formulation. Immunohistochemical analysis of paraffin-embedded human kidney tissue labelling Ndufs1 with ab169540 at 1/100 (1.29 ug/ml) followed by Rabbit specific IHC polymer detection kit HRP/DAB (ab209101). Positive staining on human kidney. The section was incubated with ab169540 for 30 mins at room temperature. The immunostaining was performed on a Leica Biosystems BOND® RX instrument. Counterstained with Hematoxylin. Secondary antibody only control : Secondary antibody is Rabbit specific IHC polymer detection kit HRP/DAB (ab209101) Heat mediated antigen retrieval with Citrate buffer (pH 6.0, epitope retrieval solution1) for 20 min.

Flow Cytometry (Intracellular) - Anti-Ndufs1 antibody [EPR11521(B)] - BSA and Azide free (AB249492)
  • Flow Cyt (Intra)

Supplier Data

Flow Cytometry (Intracellular) - Anti-Ndufs1 antibody [EPR11521(B)] - BSA and Azide free (AB249492)

This data was developed using ab169540, the same antibody clone in a different buffer formulation. Flow cytometric analysis of 4% paraformaldehyde fixed 90% methanol permeabilized Raji (human Burkitt's lymphoma B lymphocyte) cells labelling Ndufs1 with ab169540 at 1/20 dilution (1 ug) (Red) compared with a Rabbit monoclonal IgG (ab172730) (Black) isotype control and an unlabelled control (cells without incubation with primary antibody and secondary antibody) (Blue). A Goat Anti-Rabbit IgG (Alexa Fluor® 488, ab150081) at 1/2000 dilution was used as the secondary antibody.

Immunoprecipitation - Anti-Ndufs1 antibody [EPR11521(B)] - BSA and Azide free (AB249492)
  • IP

Supplier Data

Immunoprecipitation - Anti-Ndufs1 antibody [EPR11521(B)] - BSA and Azide free (AB249492)

This data was developed using ab169540, the same antibody clone in a different buffer formulation. Ndufs1 was immunoprecipitated from 0.35 mg Raji (human Burkitt's lymphoma B lymphocyte), whole cell lysate with ab169540 at 1/20 dilution (0.6ug in 0.35mg lysates). Western blot was performed on the immunoprecipitate using ab169540 at 1/1000 dilution. VeriBlot for IP secondary antibody (HRP) (ab131366) was used at 1/5000 dilution. Lane 1 : Raji (human Burkitt's lymphoma B lymphocyte), whole cell lysate Lane 2 : ab169540 IP in Raji (human Burkitt's lymphoma B lymphocyte), whole cell lysate Lane 3 : Rabbit monoclonal IgG (ab172730) instead of ab169540 in Raji whole cell lysate Blocking and dilution buffer and concentration : 5% NFDM/TBST. Exposure time : 7 seconds

All lanes:

Immunoprecipitation - Anti-Ndufs1 antibody [EPR11521(B)] (<a href='/en-us/products/primary-antibodies/ndufs1-antibody-epr11521b-ab169540'>ab169540</a>) at 1/30 dilution

All lanes:

Raji (human Burkitt's lymphoma B lymphocyte), whole cell lysate at 10 µg

Secondary

All lanes:

Immunoprecipitation - VeriBlot for IP Detection Reagent (HRP) (<a href='/en-us/products/reagents/veriblot-for-ip-detection-reagent-hrp-ab131366'>ab131366</a>) at 1/5000 dilution

Predicted band size: 79 kDa

Observed band size: 75 kDa

false

Immunohistochemistry (Formalin/PFA-fixed paraffin-embedded sections) - Anti-Ndufs1 antibody [EPR11521(B)] - BSA and Azide free (AB249492)
  • IHC-P

Supplier Data

Immunohistochemistry (Formalin/PFA-fixed paraffin-embedded sections) - Anti-Ndufs1 antibody [EPR11521(B)] - BSA and Azide free (AB249492)

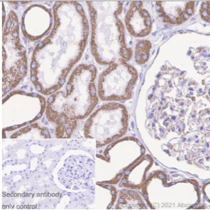
This data was developed using ab169540, the same antibody clone in a different buffer formulation. Immunohistochemical analysis of paraffin-embedded mouse kidney tissue labelling Ndufs1 with ab169540 at 1/100 (1.29 ug/ml) followed by Rabbit specific IHC polymer detection kit HRP/DAB (ab209101). Positive staining on mouse kidney. The section was incubated with ab169540 for 30 mins at room temperature. The immunostaining was performed on a Leica Biosystems BOND® RX instrument. Counterstained with Hematoxylin. Secondary antibody only control : Secondary antibody is Rabbit specific IHC polymer detection kit HRP/DAB (ab209101) Heat mediated antigen retrieval with Citrate buffer (pH 6.0, epitope retrieval solution1) for 20 min.

Immunohistochemistry (Formalin/PFA-fixed paraffin-embedded sections) - Anti-Ndufs1 antibody [EPR11521(B)] - BSA and Azide free (AB249492)
  • IHC-P

Supplier Data

Immunohistochemistry (Formalin/PFA-fixed paraffin-embedded sections) - Anti-Ndufs1 antibody [EPR11521(B)] - BSA and Azide free (AB249492)

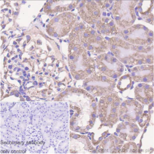
This data was developed using ab169540, the same antibody clone in a different buffer formulation. Immunohistochemical analysis of paraffin-embedded rat kidney tissue labelling Ndufs1 with ab169540 at 1/100 (1.29 ug/ml) followed by Rabbit specific IHC polymer detection kit HRP/DAB (ab209101). Positive staining on rat kidney. The section was incubated with ab169540 for 30 mins at room temperature. The immunostaining was performed on a Leica Biosystems BOND® RX instrument. Counterstained with Hematoxylin. Secondary antibody only control : Secondary antibody is Rabbit specific IHC polymer detection kit HRP/DAB (ab209101) Heat mediated antigen retrieval with Citrate buffer (pH 6.0, epitope retrieval solution1) for 20 min.

Western blot - Anti-Ndufs1 antibody [EPR11521(B)] - BSA and Azide free (AB249492)
  • WB

Supplier Data

Western blot - Anti-Ndufs1 antibody [EPR11521(B)] - BSA and Azide free (AB249492)

This data was developed using ab169540, the same antibody clone in a different buffer formulation.

All lanes:

Western blot - Anti-Ndufs1 antibody [EPR11521(B)] (<a href='/en-us/products/primary-antibodies/ndufs1-antibody-epr11521b-ab169540'>ab169540</a>) at 1/10000 dilution

Lane 1:

HeLa (Human cervix adenocarcinoma epithelial cell) whole cell lysate at 20 µg

Lane 2:

Jurkat (Human T cell leukemia T lymphocyte) whole cell lysat at 20 µg

Lane 3:

Mouse brain lysate at 20 µg

Lane 4:

Rat brain lysate at 20 µg

Secondary

All lanes:

Western blot - Goat Anti-Rabbit IgG H&L (HRP) (<a href='/en-us/products/secondary-antibodies/goat-rabbit-igg-h-l-hrp-ab97051'>ab97051</a>) at 1/20000 dilution

Predicted band size: 79 kDa

Observed band size: 75 kDa

false

Exposure time: 7s

Western blot - Anti-Ndufs1 antibody [EPR11521(B)] - BSA and Azide free (AB249492)
  • WB

Supplier Data

Western blot - Anti-Ndufs1 antibody [EPR11521(B)] - BSA and Azide free (AB249492)

This data was developed using ab169540, the same antibody clone in a different buffer formulation. Blocking and diluting buffer : 5% NFDM/TBST

All lanes:

Western blot - Anti-Ndufs1 antibody [EPR11521(B)] (<a href='/en-us/products/primary-antibodies/ndufs1-antibody-epr11521b-ab169540'>ab169540</a>) at 1/10000 dilution

Lane 1:

HepG2 (Human hepatocellular carcinoma epithelial cell) without mitochondria fraction cell lysate at 20 µg

Lane 2:

HepG2 mitochondria fraction cell lysate at 20 µg

Secondary

All lanes:

Western blot - Goat Anti-Rabbit IgG H&L (HRP) (<a href='/en-us/products/secondary-antibodies/goat-rabbit-igg-h-l-hrp-ab97051'>ab97051</a>) at 1/20000 dilution

Predicted band size: 79 kDa

Observed band size: 75 kDa

false

  • Unconjugated

    Anti-Ndufs1 antibody [EPR11521(B)]

  • 775 Alexa Fluor® 750

    Alexa Fluor® 750 Anti-Ndufs1 antibody [EPR11521(B)]

  • 519 Alexa Fluor® 488

    Alexa Fluor® 488 Anti-Ndufs1 antibody [EPR11521(B)]

  • 578 PE

    PE Anti-Ndufs1 antibody [EPR11521(B)]

  • HRP

    HRP Anti-Ndufs1 antibody [EPR11521(B)]

  • 617 Alexa Fluor® 594

    Alexa Fluor® 594 Anti-Ndufs1 antibody [EPR11521(B)]

  • 603 Alexa Fluor® 568

    Alexa Fluor® 568 Anti-Ndufs1 antibody [EPR11521(B)]

  • 565 Alexa Fluor® 555

    Alexa Fluor® 555 Anti-Ndufs1 antibody [EPR11521(B)]

  • 665 Alexa Fluor® 647

    Alexa Fluor® 647 Anti-Ndufs1 antibody [EPR11521(B)]

  • 660 APC

    APC Anti-Ndufs1 antibody [EPR11521(B)]

Key facts

Host species

Rabbit

Clonality

Monoclonal

Clone number

EPR11521(B)

Isotype

IgG

Carrier free

Yes

Reacts with

Human

Applications

IHC-P, Flow Cyt (Intra), IP, ICC/IF, WB

applications

Immunogen

The exact immunogen used to generate this antibody is proprietary information.

Reactivity data

{ "title": "Reactivity Data", "filters": { "stats": ["", "Species", "Dilution Info", "Notes"], "tabs": { "all-applications": {"fullname" : "All Applications", "shortname": "All Applications"}, "IHCP" : {"fullname" : "Immunohistochemistry (Formalin/PFA-fixed paraffin-embedded sections)", "shortname":"IHC-P"}, "ICCIF" : {"fullname" : "Immunocytochemistry/ Immunofluorescence", "shortname":"ICC/IF"}, "IP" : {"fullname" : "Immunoprecipitation", "shortname":"IP"}, "WB" : {"fullname" : "Western blot", "shortname":"WB"}, "FlowCytIntra" : {"fullname" : "Flow Cytometry (Intracellular)", "shortname":"Flow Cyt (Intra)"} }, "product-promise": { "all": "all", "testedAndGuaranteed": "tested", "guaranteed": "expected", "predicted": "predicted", "notRecommended": "not-recommended" } }, "values": { "Human": { "IHCP-species-checked": "testedAndGuaranteed", "IHCP-species-dilution-info": "", "IHCP-species-notes": "<p></p>", "ICCIF-species-checked": "testedAndGuaranteed", "ICCIF-species-dilution-info": "", "ICCIF-species-notes": "<p></p>", "IP-species-checked": "testedAndGuaranteed", "IP-species-dilution-info": "", "IP-species-notes": "<p></p>", "WB-species-checked": "testedAndGuaranteed", "WB-species-dilution-info": "", "WB-species-notes": "<p></p>", "FlowCytIntra-species-checked": "testedAndGuaranteed", "FlowCytIntra-species-dilution-info": "", "FlowCytIntra-species-notes": "<p></p>" }, "Mouse": { "IHCP-species-checked": "predicted", "IHCP-species-dilution-info": "", "IHCP-species-notes": "", "ICCIF-species-checked": "predicted", "ICCIF-species-dilution-info": "", "ICCIF-species-notes": "", "IP-species-checked": "predicted", "IP-species-dilution-info": "", "IP-species-notes": "", "WB-species-checked": "predicted", "WB-species-dilution-info": "", "WB-species-notes": "", "FlowCytIntra-species-checked": "predicted", "FlowCytIntra-species-dilution-info": "", "FlowCytIntra-species-notes": "" }, "Rat": { "IHCP-species-checked": "predicted", "IHCP-species-dilution-info": "", "IHCP-species-notes": "", "ICCIF-species-checked": "predicted", "ICCIF-species-dilution-info": "", "ICCIF-species-notes": "", "IP-species-checked": "predicted", "IP-species-dilution-info": "", "IP-species-notes": "", "WB-species-checked": "predicted", "WB-species-dilution-info": "", "WB-species-notes": "", "FlowCytIntra-species-checked": "predicted", "FlowCytIntra-species-dilution-info": "", "FlowCytIntra-species-notes": "" } } }

Product details

ab249492 is the carrier-free version of ab169540.

Patented technology
Our RabMAb® technology is a patented hybridoma-based technology for making rabbit monoclonal antibodies. For details on our patents, please refer to RabMAb® patents.

What are the advantages of a recombinant monoclonal antibody?
This product is a recombinant monoclonal antibody, which offers several advantages including:

  • - High batch-to-batch consistency and reproducibility
  • - Improved sensitivity and specificity
  • - Long-term security of supply
  • - Animal-free batch production

For more information, read more on recombinant antibodies.

Conjugation ready
Our carrier-free antibodies are typically supplied in a PBS-only formulation, purified and free of BSA, sodium azide and glycerol. This conjugation-ready format is designed for use with fluorochromes, metal isotopes, oligonucleotides, and enzymes, which makes them ideal for antibody labelling, functional and cell-based assays, flow-based assays (e.g. mass cytometry) and Multiplex Imaging applications.

Use our conjugation kits for antibody conjugates that are ready-to-use in as little as 20 minutes with 1 minute hands-on-time and 100% antibody recovery: available for fluorescent dyes, HRP, biotin and gold.

Compatibility
This product is compatible with the Maxpar® Antibody Labeling Kit from Fluidigm, without the need for antibody preparation. Maxpar® is a trademark of Fluidigm Canada Inc.

Properties and storage information

Form
Liquid
Purification technique
Affinity purification Protein A
Storage buffer
pH: 7.2 - 7.4 Constituents: PBS
Shipped at conditions
Blue Ice
Appropriate short-term storage conditions
+4°C
Appropriate long-term storage conditions
+4°C
Storage information
Do Not Freeze

Supplementary information

This supplementary information is collated from multiple sources and compiled automatically.

Ndufs1 known as NADH:ubiquinone oxidoreductase core subunit S1 or complex I 75 kDa subunit forms a significant part of the mitochondrial electron transport chain. This protein shows a mass of 75 kDa and is primarily found in mitochondria among various tissues. Ndufs1 plays an important role in transferring electrons from NADH to ubiquinone facilitating proton translocation across the inner mitochondrial membrane. With its function it contributes to the creation of a proton gradient essential for ATP synthesis.
Biological function summary

Ndufs1 facilitates the primary catalytic activity of the NADH dehydrogenase complex also found within the mitochondrial complex I. By being part of this large multi-subunit complex it helps in electron flow which essential for cellular respiration. Proper functioning of Ndufs1 becomes necessary for maintaining adequate energy production through ATP synthesis in cells impacting energy-dependent processes significantly.

Pathways

Ndufs1 acts mainly within the oxidative phosphorylation pathway. This pathway is indispensable for energy conversion in cells prominently featuring NADH dehydrogenase (ubiquinone). It relates closely with other critical proteins like Ndufa9 and Ndufb8 as these proteins also integrate into the mitochondrial complex I ensuring effective electron transport and energy yield in cells. The pathway links metabolic flux to energy production keeping cellular operations efficient.

Ndufs1 mutations correlate with mitochondrial diseases such as Leigh syndrome and mitochondrial complex I deficiency. These conditions often manifest neurological and muscular symptoms due to impaired mitochondrial function. Ndufs1 connections with proteins like Ndufv1 and additional complex I subunits emphasize its role in regular mitochondrial activity making its study relevant for understanding the pathological basis of these disorders. Researchers focus on Ndufs1 to unravel its impact on cellular metabolism and potential therapeutic targets.

Product protocols

For this product, it's our understanding that no specific protocols are required. You can visit:

Target data

Core subunit of the mitochondrial membrane respiratory chain NADH dehydrogenase (Complex I) which catalyzes electron transfer from NADH through the respiratory chain, using ubiquinone as an electron acceptor (PubMed : 30879903, PubMed : 31557978). Essential for catalysing the entry and efficient transfer of electrons within complex I (PubMed : 31557978). Plays a key role in the assembly and stability of complex I and participates in the association of complex I with ubiquinol-cytochrome reductase complex (Complex III) to form supercomplexes (PubMed : 30879903, PubMed : 31557978).
See full target information NDUFS1

Publications (1)

Recent publications for all applications. Explore the full list and refine your search

mBio 15:e0259523 PubMed38095418

2023

Susceptibility of to autophagy in human cells relies on multiple interacting parasite loci.

Applications

Unspecified application

Species

Unspecified reactive species

Nicholas Rinkenberger,Alex Rosenberg,Joshua B Radke,Jaya Bhushan,Tadakimi Tomita,Louis M Weiss,L David Sibley
View all publications

Product promise

We are committed to supporting your work with high-quality reagents, and we're here for you every step of the way. In the unlikely event that one of our products does not perform as expected, you're protected by our Product Promise.
For full details, please see our Terms & Conditions

Please note: All products are 'FOR RESEARCH USE ONLY. NOT FOR USE IN DIAGNOSTIC OR THERAPEUTIC PROCEDURES'.

For licensing inquiries, please contact partnerships@abcam.com