JavaScript is disabled in your browser. Please enable JavaScript to view this website.
AB192022

Anti-NDUFS2 antibody [EPR16266]

Be the first to review this product! Submit a review

|

(10 Publications)

Rabbit Recombinant Monoclonal NDUFS2 antibody. Suitable for WB, IHC-P, IP, ICC/IF and reacts with Mouse, Human, Rat samples. Cited in 10 publications.

View Alternative Names

Complex I-49kD, NADH-ubiquinone oxidoreductase 49 kDa subunit, CI-49kD, NDUFS2

7 Images
Immunocytochemistry/ Immunofluorescence - Anti-NDUFS2 antibody [EPR16266] (AB192022)
  • ICC/IF

Lab

Immunocytochemistry/ Immunofluorescence - Anti-NDUFS2 antibody [EPR16266] (AB192022)

ab192022 staining NDUFS2 in wild-type Hap1 cells (top panel) and NDUFS2 knockout Hap1 cells (bottom panel). The cells were fixed with 100% methanol (5 min) then permeabilized with 0.1% Triton X-100 for 5 minutes and then blocked with 1% BSA/10% normal goat serum/0.3M glycine in 0.1% PBS-Tween for 1h. The cells were then incubated with ab192022 at 0.4μg/ml concentration and ab7291 (Mouse monoclonal to alpha Tubulin) at 1/1000 dilution overnight at 4°C followed by a further incubation at room temperature for 1h with a goat secondary antibody to rabbit IgG (Alexa Fluor® 488) (ab150081) at 2 μg/ml (shown in green) and a goat secondary antibody to mouse IgG (Alexa Fluor® 594) (ab150120) at 2 μg/ml (shown in red). Nuclear DNA was labelled in blue with DAPI.
Image was acquired with a high-content analyser (Operetta CLS, Perkin Elmer) and a maximum intensity projection of confocal sections is shown.

Western blot - Anti-NDUFS2 antibody [EPR16266] (AB192022)
  • WB

Supplier Data

Western blot - Anti-NDUFS2 antibody [EPR16266] (AB192022)

All lanes:

Western blot - Anti-NDUFS2 antibody [EPR16266] (ab192022) at 1/10000 dilution

Lane 1:

HeLa cell lysate at 20 µg

Lane 2:

Jurkat cell lysate at 20 µg

Lane 3:

293T (Human embryonic kidney epithelial cell) cell lysate at 20 µg

Secondary

All lanes:

Goat Anti-Rabbit IgG, (H+L), Peroxidase conjugated at 1/1000 dilution

Predicted band size: 53 kDa

false

Western blot - Anti-NDUFS2 antibody [EPR16266] (AB192022)
  • WB

Supplier Data

Western blot - Anti-NDUFS2 antibody [EPR16266] (AB192022)

All lanes:

Western blot - Anti-NDUFS2 antibody [EPR16266] (ab192022) at 1/1000 dilution

Lane 1:

Mouse brain lysate at 10 µg

Lane 2:

Mouse kidney lysate at 10 µg

Lane 3:

Mouse spleen lysate at 10 µg

Lane 4:

Rat brain lysate at 10 µg

Lane 5:

Rat kidney lysate at 10 µg

Lane 6:

C6 cell lysate at 10 µg

Lane 7:

RAW264.7 cell lysate at 10 µg

Lane 8:

PC-12 cell lysate at 10 µg

Lane 9:

NIH3T3 cell lysate at 10 µg

Secondary

All lanes:

Goat Anti-Rabbit IgG, (H+L), Peroxidase conjugated at 1/1000 dilution

Predicted band size: 53 kDa

Observed band size: 49 kDa

false

Immunohistochemistry (Formalin/PFA-fixed paraffin-embedded sections) - Anti-NDUFS2 antibody [EPR16266] (AB192022)
  • IHC-P

Supplier Data

Immunohistochemistry (Formalin/PFA-fixed paraffin-embedded sections) - Anti-NDUFS2 antibody [EPR16266] (AB192022)

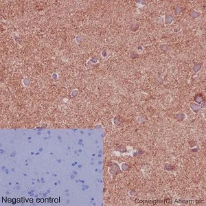
Immunohistochemical analysis of paraffin-embedded human brain tissue sections labeling NDUFS2 using ab192022 at a 1/500 dilution. A ready to use HRP Polymer for Rabbit IgG was used as the secondary. Hematoxylin counterstain. Negative control uses PBS instead of primary antibody.

Perform heat mediated antigen retrieval with Tris/EDTA buffer pH 9.0 before commencing with IHC staining protocol.

Immunohistochemistry (Formalin/PFA-fixed paraffin-embedded sections) - Anti-NDUFS2 antibody [EPR16266] (AB192022)
  • IHC-P

Supplier Data

Immunohistochemistry (Formalin/PFA-fixed paraffin-embedded sections) - Anti-NDUFS2 antibody [EPR16266] (AB192022)

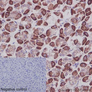
Immunohistochemical analysis of paraffin-embedded rat stomach tissue sections labeling NDUFS2 using ab192022 at a 1/500 dilution. A ready to use HRP Polymer for Rabbit IgG was used as the secondary. Hematoxylin counterstain. Negative control uses PBS instead of primary antibody.

Perform heat mediated antigen retrieval with Tris/EDTA buffer pH 9.0 before commencing with IHC staining protocol.

Immunoprecipitation - Anti-NDUFS2 antibody [EPR16266] (AB192022)
  • IP

Supplier Data

Immunoprecipitation - Anti-NDUFS2 antibody [EPR16266] (AB192022)

Lane 1 : 293T cell lysate was immunoprecipitated using ab192022 at a 1/40 dilution. Secondary used was anti-rabbit IgG (HRP), specific to the non-reduced form of IgG at a 1/1500 dilution.

Lane 2 : PBS instead of 293T lysates.

All lanes:

Immunoprecipitation - Anti-NDUFS2 antibody [EPR16266] (ab192022)

Predicted band size: 53 kDa

false

Western blot - Anti-NDUFS2 antibody [EPR16266] (AB192022)
  • WB

Lab

Western blot - Anti-NDUFS2 antibody [EPR16266] (AB192022)

Lane 1 : Wild-type HAP1 whole cell lysate (20 μg)
Lane 2 : NDUFS2 knockout HAP1 whole cell lysate (20 μg)
Lane 3 : HeLa whole cell lysate (20 μg)
Lane 4 : Jurkat whole cell lysate (20 μg)

Lanes 1 - 4 : Merged signal (red and green). Green - ab192022 observed at 48 kDa. Red - loading control, ab9484, observed at 37 kDa.

ab192022 was shown to specifically react with NDUFS2 in wild-type HAP1 cells whilst signal was lost in NDUFS2 knockout cells. Wild-type and NDUFS2 knockout samples were subjected to SDS-PAGE. ab192022 and ab9484 (Mouse anti-GAPDH loading control) were incubated overnight at 4°C at 1/1000 dilution and 1/20,000 dilution respectively. Blots were developed with Goat anti-Rabbit IgG H&L (IRDye® 800CW) preabsorbed (ab216773) and Goat anti-Mouse IgG H&L (IRDye® 680RD) preabsorbed (ab216776) secondary antibodies at 1/20,000 dilution for 1 hour at room temperature before imaging.

All lanes:

Western blot - Anti-NDUFS2 antibody [EPR16266] (ab192022)

Predicted band size: 53 kDa

false

  • Carrier free

    Anti-NDUFS2 antibody [EPR16266] - BSA and Azide free

Key facts

Host species

Rabbit

Clonality

Monoclonal

Clone number

EPR16266

Isotype

IgG

Carrier free

No

Reacts with

Mouse, Rat, Human

Applications

IP, ICC/IF, IHC-P, WB

applications

Immunogen

The exact immunogen used to generate this antibody is proprietary information.

Reactivity data

{ "title": "Reactivity Data", "filters": { "stats": ["", "Species", "Dilution Info", "Notes"], "tabs": { "all-applications": {"fullname" : "All Applications", "shortname": "All Applications"}, "WB" : {"fullname" : "Western blot", "shortname":"WB"}, "IHCP" : {"fullname" : "Immunohistochemistry (Formalin/PFA-fixed paraffin-embedded sections)", "shortname":"IHC-P"}, "IP" : {"fullname" : "Immunoprecipitation", "shortname":"IP"}, "ICCIF" : {"fullname" : "Immunocytochemistry/ Immunofluorescence", "shortname":"ICC/IF"} }, "product-promise": { "all": "all", "testedAndGuaranteed": "tested", "guaranteed": "expected", "predicted": "predicted", "notRecommended": "not-recommended" } }, "values": { "Human": { "WB-species-checked": "testedAndGuaranteed", "WB-species-dilution-info": "1/1000 - 1/10000", "WB-species-notes": "<p></p>", "IHCP-species-checked": "testedAndGuaranteed", "IHCP-species-dilution-info": "1/200 - 1/500", "IHCP-species-notes": "<p></p> Perform heat-mediated antigen retrieval with Tris/EDTA buffer pH 9.0 before commencing with IHC staining protocol.", "IP-species-checked": "testedAndGuaranteed", "IP-species-dilution-info": "1/40", "IP-species-notes": "<p></p>", "ICCIF-species-checked": "testedAndGuaranteed", "ICCIF-species-dilution-info": "0.4 µg/mL", "ICCIF-species-notes": "<p></p>" }, "Mouse": { "WB-species-checked": "testedAndGuaranteed", "WB-species-dilution-info": "1/1000 - 1/10000", "WB-species-notes": "<p></p> Perform heat-mediated antigen retrieval with Tris/EDTA buffer pH 9.0 before commencing with IHC staining protocol.", "IHCP-species-checked": "guaranteed", "IHCP-species-dilution-info": "", "IHCP-species-notes": "", "IP-species-checked": "guaranteed", "IP-species-dilution-info": "", "IP-species-notes": "", "ICCIF-species-checked": "guaranteed", "ICCIF-species-dilution-info": "", "ICCIF-species-notes": "" }, "Rat": { "WB-species-checked": "testedAndGuaranteed", "WB-species-dilution-info": "1/1000 - 1/10000", "WB-species-notes": "<p></p>", "IHCP-species-checked": "testedAndGuaranteed", "IHCP-species-dilution-info": "1/200 - 1/500", "IHCP-species-notes": "<p></p> Perform heat-mediated antigen retrieval with Tris/EDTA buffer pH 9.0 before commencing with IHC staining protocol.", "IP-species-checked": "guaranteed", "IP-species-dilution-info": "", "IP-species-notes": "", "ICCIF-species-checked": "guaranteed", "ICCIF-species-dilution-info": "", "ICCIF-species-notes": "" } } }

You may be interested in:

AB109721

Complex I Enzyme Activity Microplate Assay Kit (Colorimetric)

5

4 Reviews

View product

We recommend this product because it’s often used in the same experiment or related research.

We advise that you always check the datasheet to ensure it fits your experiments, or contact ourtechnical teamfor help.

Product details

Properties and storage information

Form
Liquid
Purification technique
Affinity purification Protein A
Storage buffer
pH: 7.2 - 7.4 Preservative: 0.01% Sodium azide Constituents: 59% PBS, 40% Glycerol (glycerin, glycerine), 0.05% BSA
Shipped at conditions
Blue Ice
Appropriate short-term storage duration
1-2 weeks
Appropriate short-term storage conditions
+4°C
Appropriate long-term storage conditions
-20°C
Aliquoting information
Upon delivery aliquot
Storage information
Avoid freeze / thaw cycle

Supplementary information

This supplementary information is collated from multiple sources and compiled automatically.

NDUFS2 also known as NADH dehydrogenase [ubiquinone] iron-sulfur protein 2 is a significant component of complex I in the mitochondrial respiratory chain. This protein has a mass of approximately 54 kDa and is primarily found in mitochondrial membranes of cells across various tissues. It plays an essential role in electron transfer working closely with other subunits to facilitate the conversion of NADH to NAD+ contributing to the process of oxidative phosphorylation.
Biological function summary

NDUFS2 serves an important role in energy production as part of the multi-subunit complex I which is also known as NADH:ubiquinone oxidoreductase. This complex catalyzes the first step in the mitochondrial electron transport chain transferring electrons from NADH to ubiquinone. Through this process NDUFS2 helps power ATP synthesis by contributing to the establishment of a proton gradient across the inner mitochondrial membrane which is fundamental to cellular energy metabolism.

Pathways

The function of NDUFS2 is integral to both the oxidative phosphorylation and citric acid cycle pathways. Within oxidative phosphorylation NDUFS2 associates closely with other complex I subunits such as NDUFS1 and NDUFV1. These associations allow it to effectively participate in the electron transport chain facilitating energy production. The citric acid cycle indirectly impacts NDUFS2's function by supplying NADH which is necessary for complex I activity and efficient energy conversion.

NDUFS2 mutations and dysfunctions relate to disorders such as Leigh syndrome and some mitochondrial myopathies. Leigh syndrome a severe neurological disorder often involves deficiencies in complex I where NDUFS2 plays a significant role. This protein also shows connections to other mitochondrial proteins like NDUFA12 and NDUFB6 which when also impaired can contribute to disease manifestations. The study and understanding of NDUFS2's role in these conditions are important for developing potential therapeutic strategies.

Product protocols

For this product, it's our understanding that no specific protocols are required. You can visit:

Target data

Core subunit of the mitochondrial membrane respiratory chain NADH dehydrogenase (Complex I) which catalyzes electron transfer from NADH through the respiratory chain, using ubiquinone as an electron acceptor (PubMed : 22036843, PubMed : 28031252, PubMed : 30922174). Essential for the catalytic activity of complex I (PubMed : 22036843, PubMed : 30922174). Essential for the assembly of complex I (By similarity). Redox-sensitive, critical component of the oxygen-sensing pathway in the pulmonary vasculature which plays a key role in acute pulmonary oxygen-sensing and hypoxic pulmonary vasoconstriction (PubMed : 30922174). Plays an important role in carotid body sensing of hypoxia (By similarity). Essential for glia-like neural stem and progenitor cell proliferation, differentiation and subsequent oligodendrocyte or neuronal maturation (By similarity).
See full target information NADH dehydrogenase [ubiquinone] iron-sulfur protein 2, mitochondrial

Publications (10)

Recent publications for all applications. Explore the full list and refine your search

Nature 620:890-897 PubMed37558881

2023

Mitochondrial integrated stress response controls lung epithelial cell fate.

Applications

Unspecified application

Species

Unspecified reactive species

SeungHye Han,Minho Lee,Youngjin Shin,Regina Giovanni,Ram P Chakrabarty,Mariana M Herrerias,Laura A Dada,Annette S Flozak,Paul A Reyfman,Basil Khuder,Colleen R Reczek,Lin Gao,José Lopéz-Barneo,Cara J Gottardi,G R Scott Budinger,Navdeep S Chandel

Nature communications 14:1172 PubMed36859533

2023

Transgenic NADH dehydrogenase restores oxygen regulation of breathing in mitochondrial complex I-deficient mice.

Applications

Unspecified application

Species

Unspecified reactive species

Blanca Jiménez-Gómez,Patricia Ortega-Sáenz,Lin Gao,Patricia González-Rodríguez,Paula García-Flores,Navdeep Chandel,José López-Barneo

Nature biotechnology 41:344-354 PubMed36302989

2022

Quantitative sequencing using BID-seq uncovers abundant pseudouridines in mammalian mRNA at base resolution.

Applications

Unspecified application

Species

Unspecified reactive species

Qing Dai,Li-Sheng Zhang,Hui-Lung Sun,Kinga Pajdzik,Lei Yang,Chang Ye,Cheng-Wei Ju,Shun Liu,Yuru Wang,Zhong Zheng,Linda Zhang,Bryan T Harada,Xiaoyang Dou,Iryna Irkliyenko,Xinran Feng,Wen Zhang,Tao Pan,Chuan He

Life sciences 308:120930 PubMed36075471

2022

SARS-CoV-2 infection and replication kinetics in different human cell types: The role of autophagy, cellular metabolism and ACE2 expression.

Applications

Unspecified application

Species

Unspecified reactive species

Cynthia Silva Bartolomeo,Robertha Mariana Rodrigues Lemes,Rafael Leite Morais,Gabriela Cruz Pereria,Tamires Alves Nunes,Angelica Jardim Costa,Rui Monteiro de Barros Maciel,Carla Torres Braconi,Juliana Terzi Maricato,Luiz Mario Ramos Janini,Liria Hiromi Okuda,Kil Sun Lee,Carla Máximo Prado,Rodrigo Portes Ureshino,Roberta Sessa Stilhano

International journal of biological sciences 18:2329-2344 PubMed35414767

2022

Claudin-10 overexpression suppresses human clear cell renal cell carcinoma growth and metastasis by regulating ATP5O and causing mitochondrial dysfunction.

Applications

Unspecified application

Species

Unspecified reactive species

Wuping Yang,Kenan Zhang,Zedan Zhang,Jingcheng Zhou,Lei Li,Yawei Xu,Jianhui Qiu,Lin Cai,Yanqing Gong,Kan Gong

Neural regeneration research 16:2438-2445 PubMed33907032

2021

Protein profiling identified mitochondrial dysfunction and synaptic abnormalities after dexamethasone intervention in rats with traumatic brain injury.

Applications

Unspecified application

Species

Unspecified reactive species

Fei Niu,Bin Zhang,Jie Feng,Xiang Mao,Xiao-Jian Xu,Jin-Qian Dong,Bai-Yun Liu

Nature chemical biology 17:703-710 PubMed33723432

2021

Peroxisomal-derived ether phospholipids link nucleotides to respirasome assembly.

Applications

Unspecified application

Species

Unspecified reactive species

Christopher F Bennett,Katherine E O'Malley,Elizabeth A Perry,Eduardo Balsa,Pedro Latorre-Muro,Christopher L Riley,Chi Luo,Mark Jedrychowski,Steven P Gygi,Pere Puigserver

The Journal of neuroscience : the official journal of the Society for Neuroscience 40:107-130 PubMed31704785

2019

A Mutation in That Decreases Methamphetamine-Induced Reinforcement, Reward, and Dopamine Release and Increases Synaptosomal hnRNP H and Mitochondrial Proteins.

Applications

Unspecified application

Species

Unspecified reactive species

Qiu T Ruan,Neema Yazdani,Benjamin C Blum,Jacob A Beierle,Weiwei Lin,Michal A Coelho,Elissa K Fultz,Aidan F Healy,John R Shahin,Amarpreet K Kandola,Kimberly P Luttik,Karen Zheng,Nathaniel J Smith,Justin Cheung,Farzad Mortazavi,Daniel J Apicco,Durairaj Ragu Varman,Sammanda Ramamoorthy,Peter E A Ash,Douglas L Rosene,Andrew Emili,Benjamin Wolozin,Karen K Szumlinski,Camron D Bryant

Cell death and differentiation 27:1660-1676 PubMed31685978

2019

Epigenetic regulation of the Warburg effect by H2B monoubiquitination.

Applications

Unspecified application

Species

Unspecified reactive species

Yuan-Ya Jing,Feng-Feng Cai,Lei Zhang,Jing Han,Lu Yang,Fan Tang,Ya-Bin Li,Jian-Feng Chang,Feng Sun,Xiao-Mei Yang,Fang-Lin Sun,Su Chen

The Journal of biological chemistry 294:4656-4666 PubMed30700550

2019

Obesity-dependent CDK1 signaling stimulates mitochondrial respiration at complex I in pancreatic β-cells.

Applications

Unspecified application

Species

Unspecified reactive species

Trillian Gregg,Sophia M Sdao,Rashpal S Dhillon,Jarred W Rensvold,Sophie L Lewandowski,David J Pagliarini,John M Denu,Matthew J Merrins
View all publications

Product promise

We are committed to supporting your work with high-quality reagents, and we're here for you every step of the way. In the unlikely event that one of our products does not perform as expected, you're protected by our Product Promise.
For full details, please see our Terms & Conditions

Associated Products

Select an associated product type
Alternative Product
Primary Antibodies

AB216510

Anti-NDUFS2 antibody

primary-antibodies

ndufs2-antibody-ab216510

0

(0 reviews)

Alternative Product
Primary Antibodies

AB192764

Anti-NDUFS2 antibody

primary-antibodies

ndufs2-antibody-ab192764

0

(0 reviews)

Alternative Product
Primary Antibodies

AB110249

Anti-NDUFS2 antibody [7A12BE5AD5]

primary-antibodies

ndufs2-antibody-7a12be5ad5-ab110249

5

(1 reviews)

Please note: All products are 'FOR RESEARCH USE ONLY. NOT FOR USE IN DIAGNOSTIC OR THERAPEUTIC PROCEDURES'.

For licensing inquiries, please contact partnerships@abcam.com