JavaScript is disabled in your browser. Please enable JavaScript to view this website.
AB251104

Anti-NDUFS2 antibody [EPR16266] - BSA and Azide free

Be the first to review this product! Submit a review

|

(1 Publication)

Rabbit Recombinant Monoclonal NDUFS2 antibody. Carrier free. Suitable for ICC/IF, IP, WB, IHC-P and reacts with Human, Mouse, Rat samples. Cited in 1 publication.

View Alternative Names

Complex I-49kD, NADH-ubiquinone oxidoreductase 49 kDa subunit, CI-49kD, NDUFS2

7 Images
Immunocytochemistry/ Immunofluorescence - Anti-NDUFS2 antibody [EPR16266] - BSA and Azide free (AB251104)
  • ICC/IF

Lab

Immunocytochemistry/ Immunofluorescence - Anti-NDUFS2 antibody [EPR16266] - BSA and Azide free (AB251104)

This data was developed using the same antibody clone in a different buffer formulation (ab192022). ab192022 staining NDUFS2 in wild-type Hap1 cells (top panel) and NDUFS2 knockout Hap1 cells (bottom panel). The cells were fixed with 100% methanol (5 min) then permeabilized with 0.1% Triton X-100 for 5 minutes and then blocked with 1% BSA/10% normal goat serum/0.3M glycine in 0.1% PBS-Tween for 1h. The cells were then incubated with ab192022 at 0.4μg/ml concentration and ab7291 (Mouse monoclonal to alpha Tubulin) at 1/1000 dilution overnight at 4°C followed by a further incubation at room temperature for 1h with a goat secondary antibody to rabbit IgG (Alexa Fluor® 488) (ab150081) at 2 μg/ml (shown in green) and a goat secondary antibody to mouse IgG (Alexa Fluor® 594) (ab150120) at 2 μg/ml (shown in red). Nuclear DNA was labelled in blue with DAPI.
Image was acquired with a high-content analyser (Operetta CLS, Perkin Elmer) and a maximum intensity projection of confocal sections is shown.

Immunohistochemistry (Formalin/PFA-fixed paraffin-embedded sections) - Anti-NDUFS2 antibody [EPR16266] - BSA and Azide free (AB251104)
  • IHC-P

Supplier Data

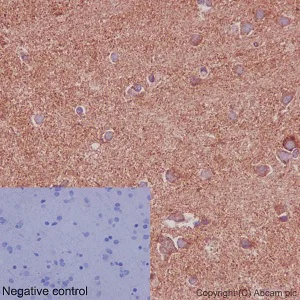
Immunohistochemistry (Formalin/PFA-fixed paraffin-embedded sections) - Anti-NDUFS2 antibody [EPR16266] - BSA and Azide free (AB251104)

This data was developed using ab192022, the same antibody clone in a different buffer formulation.

Immunohistochemical analysis of paraffin-embedded human brain tissue sections labeling NDUFS2 using ab192022 at a 1/500 dilution. A ready to use HRP Polymer for Rabbit IgG was used as the secondary. Hematoxylin counterstain. Negative control uses PBS instead of primary antibody.

Perform heat mediated antigen retrieval with Tris/EDTA buffer pH 9.0 before commencing with IHC staining protocol.

Immunoprecipitation - Anti-NDUFS2 antibody [EPR16266] - BSA and Azide free (AB251104)
  • IP

Supplier Data

Immunoprecipitation - Anti-NDUFS2 antibody [EPR16266] - BSA and Azide free (AB251104)

This data was developed using ab192022, the same antibody clone in a different buffer formulation.

Lane 1 : 293T cell lysate was immunoprecipitated using ab192022 at a 1/40 dilution. Secondary used was anti-rabbit IgG (HRP), specific to the non-reduced form of IgG at a 1/1500 dilution.

Lane 2 : PBS instead of 293T lysates.

All lanes:

Immunoprecipitation - Anti-NDUFS2 antibody [EPR16266] (<a href='/en-us/products/primary-antibodies/ndufs2-antibody-epr16266-ab192022'>ab192022</a>)

Predicted band size: 53 kDa

false

Immunohistochemistry (Formalin/PFA-fixed paraffin-embedded sections) - Anti-NDUFS2 antibody [EPR16266] - BSA and Azide free (AB251104)
  • IHC-P

Supplier Data

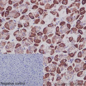
Immunohistochemistry (Formalin/PFA-fixed paraffin-embedded sections) - Anti-NDUFS2 antibody [EPR16266] - BSA and Azide free (AB251104)

This data was developed using ab192022, the same antibody clone in a different buffer formulation.

Immunohistochemical analysis of paraffin-embedded rat stomach tissue sections labeling NDUFS2 using ab192022 at a 1/500 dilution. A ready to use HRP Polymer for Rabbit IgG was used as the secondary. Hematoxylin counterstain. Negative control uses PBS instead of primary antibody.

Perform heat mediated antigen retrieval with Tris/EDTA buffer pH 9.0 before commencing with IHC staining protocol.

Western blot - Anti-NDUFS2 antibody [EPR16266] - BSA and Azide free (AB251104)
  • WB

Supplier Data

Western blot - Anti-NDUFS2 antibody [EPR16266] - BSA and Azide free (AB251104)

This data was developed using ab192022, the same antibody clone in a different buffer formulation.

All lanes:

Western blot - Anti-NDUFS2 antibody [EPR16266] (<a href='/en-us/products/primary-antibodies/ndufs2-antibody-epr16266-ab192022'>ab192022</a>) at 1/10000 dilution

Lane 1:

HeLa cell lysate at 20 µg

Lane 2:

Jurkat cell lysate at 20 µg

Lane 3:

293T (Human embryonic kidney epithelial cell) cell lysate at 20 µg

Secondary

All lanes:

Goat Anti-Rabbit IgG, (H+L), Peroxidase conjugated at 1/1000 dilution

Predicted band size: 53 kDa

false

Western blot - Anti-NDUFS2 antibody [EPR16266] - BSA and Azide free (AB251104)
  • WB

Lab

Western blot - Anti-NDUFS2 antibody [EPR16266] - BSA and Azide free (AB251104)

This data was developed using ab192022, the same antibody clone in a different buffer formulation.

Lane 1 : Wild-type HAP1 whole cell lysate (20 Âμg)

Lane 2 : NDUFS2 knockout HAP1 whole cell lysate (20 Âμg)

Lane 3 : HeLa whole cell lysate (20 Âμg)

Lane 4 : Jurkat whole cell lysate (20 Âμg)

Lanes 1 - 4 : Merged signal (red and green). Green - ab192022 observed at 48 kDa. Red - loading control, ab9484, observed at 37 kDa.

ab192022 was shown to specifically react with NDUFS2 in wild-type HAP1 cells whilst signal was lost in NDUFS2 knockout cells. Wild-type and NDUFS2 knockout samples were subjected to SDS-PAGE. ab192022 and ab9484 (Mouse anti-GAPDH loading control) were incubated overnight at 4°C at 1/1000 dilution and 1/20,000 dilution respectively. Blots were developed with Goat anti-Rabbit IgG H&L (IRDye® 800CW) preabsorbed (ab216773) and Goat anti-Mouse IgG H&L (IRDye® 680RD) preabsorbed (ab216776) secondary antibodies at 1/20,000 dilution for 1 hour at room temperature before imaging.

All lanes:

Western blot - Anti-NDUFS2 antibody [EPR16266] (<a href='/en-us/products/primary-antibodies/ndufs2-antibody-epr16266-ab192022'>ab192022</a>)

Predicted band size: 53 kDa

false

Western blot - Anti-NDUFS2 antibody [EPR16266] - BSA and Azide free (AB251104)
  • WB

Supplier Data

Western blot - Anti-NDUFS2 antibody [EPR16266] - BSA and Azide free (AB251104)

This data was developed using ab192022, the same antibody clone in a different buffer formulation.

All lanes:

Western blot - Anti-NDUFS2 antibody [EPR16266] (<a href='/en-us/products/primary-antibodies/ndufs2-antibody-epr16266-ab192022'>ab192022</a>) at 1/1000 dilution

Lane 1:

Mouse brain lysate at 10 µg

Lane 2:

Mouse kidney lysate at 10 µg

Lane 3:

Mouse spleen lysate at 10 µg

Lane 4:

Rat brain lysate at 10 µg

Lane 5:

Rat kidney lysate at 10 µg

Lane 6:

C6 cell lysate at 10 µg

Lane 7:

RAW264.7 cell lysate at 10 µg

Lane 8:

PC-12 cell lysate at 10 µg

Lane 9:

NIH3T3 cell lysate at 10 µg

Secondary

All lanes:

Goat Anti-Rabbit IgG, (H+L), Peroxidase conjugated at 1/1000 dilution

Predicted band size: 53 kDa

Observed band size: 49 kDa

false

Key facts

Host species

Rabbit

Clonality

Monoclonal

Clone number

EPR16266

Isotype

IgG

Carrier free

Yes

Reacts with

Mouse, Rat, Human

Applications

IP, ICC/IF, WB, IHC-P

applications

Immunogen

The exact immunogen used to generate this antibody is proprietary information.

Reactivity data

{ "title": "Reactivity Data", "filters": { "stats": ["", "Species", "Dilution Info", "Notes"], "tabs": { "all-applications": {"fullname" : "All Applications", "shortname": "All Applications"}, "ICCIF" : {"fullname" : "Immunocytochemistry/ Immunofluorescence", "shortname":"ICC/IF"}, "IP" : {"fullname" : "Immunoprecipitation", "shortname":"IP"}, "WB" : {"fullname" : "Western blot", "shortname":"WB"}, "IHCP" : {"fullname" : "Immunohistochemistry (Formalin/PFA-fixed paraffin-embedded sections)", "shortname":"IHC-P"} }, "product-promise": { "all": "all", "testedAndGuaranteed": "tested", "guaranteed": "expected", "predicted": "predicted", "notRecommended": "not-recommended" } }, "values": { "Human": { "ICCIF-species-checked": "testedAndGuaranteed", "ICCIF-species-dilution-info": "1/1000", "ICCIF-species-notes": "<p></p>", "IP-species-checked": "testedAndGuaranteed", "IP-species-dilution-info": "", "IP-species-notes": "<p></p>", "WB-species-checked": "testedAndGuaranteed", "WB-species-dilution-info": "", "WB-species-notes": "<p></p>", "IHCP-species-checked": "testedAndGuaranteed", "IHCP-species-dilution-info": "", "IHCP-species-notes": "<p></p>" }, "Mouse": { "ICCIF-species-checked": "guaranteed", "ICCIF-species-dilution-info": "", "ICCIF-species-notes": "", "IP-species-checked": "guaranteed", "IP-species-dilution-info": "", "IP-species-notes": "", "WB-species-checked": "testedAndGuaranteed", "WB-species-dilution-info": "", "WB-species-notes": "<p></p>", "IHCP-species-checked": "guaranteed", "IHCP-species-dilution-info": "", "IHCP-species-notes": "" }, "Rat": { "ICCIF-species-checked": "guaranteed", "ICCIF-species-dilution-info": "", "ICCIF-species-notes": "", "IP-species-checked": "guaranteed", "IP-species-dilution-info": "", "IP-species-notes": "", "WB-species-checked": "testedAndGuaranteed", "WB-species-dilution-info": "", "WB-species-notes": "<p></p>", "IHCP-species-checked": "testedAndGuaranteed", "IHCP-species-dilution-info": "", "IHCP-species-notes": "<p></p>" } } }

Product details

ab251104 is the carrier-free version of ab192022.

Patented technology
Our RabMAb® technology is a patented hybridoma-based technology for making rabbit monoclonal antibodies. For details on our patents, please refer to RabMAb® patents.

What are the advantages of a recombinant monoclonal antibody?
This product is a recombinant monoclonal antibody, which offers several advantages including:

  • - High batch-to-batch consistency and reproducibility
  • - Improved sensitivity and specificity
  • - Long-term security of supply
  • - Animal-free batch production

For more information, read more on recombinant antibodies.

Conjugation ready
Our carrier-free antibodies are typically supplied in a PBS-only formulation, purified and free of BSA, sodium azide and glycerol. This conjugation-ready format is designed for use with fluorochromes, metal isotopes, oligonucleotides, and enzymes, which makes them ideal for antibody labelling, functional and cell-based assays, flow-based assays (e.g. mass cytometry) and Multiplex Imaging applications.

Use our conjugation kits for antibody conjugates that are ready-to-use in as little as 20 minutes with 1 minute hands-on-time and 100% antibody recovery: available for fluorescent dyes, HRP, biotin and gold.

Compatibility
This product is compatible with the Maxpar® Antibody Labeling Kit from Fluidigm, without the need for antibody preparation. Maxpar® is a trademark of Fluidigm Canada Inc.

Properties and storage information

Form
Liquid
Purification technique
Affinity purification Protein A
Storage buffer
pH: 7.2 - 7.4 Constituents: PBS
Shipped at conditions
Blue Ice
Appropriate short-term storage conditions
+4°C
Appropriate long-term storage conditions
+4°C
Storage information
Do Not Freeze

Supplementary information

This supplementary information is collated from multiple sources and compiled automatically.

NDUFS2 also known as NADH dehydrogenase [ubiquinone] iron-sulfur protein 2 is a significant component of complex I in the mitochondrial respiratory chain. This protein has a mass of approximately 54 kDa and is primarily found in mitochondrial membranes of cells across various tissues. It plays an essential role in electron transfer working closely with other subunits to facilitate the conversion of NADH to NAD+ contributing to the process of oxidative phosphorylation.
Biological function summary

NDUFS2 serves an important role in energy production as part of the multi-subunit complex I which is also known as NADH:ubiquinone oxidoreductase. This complex catalyzes the first step in the mitochondrial electron transport chain transferring electrons from NADH to ubiquinone. Through this process NDUFS2 helps power ATP synthesis by contributing to the establishment of a proton gradient across the inner mitochondrial membrane which is fundamental to cellular energy metabolism.

Pathways

The function of NDUFS2 is integral to both the oxidative phosphorylation and citric acid cycle pathways. Within oxidative phosphorylation NDUFS2 associates closely with other complex I subunits such as NDUFS1 and NDUFV1. These associations allow it to effectively participate in the electron transport chain facilitating energy production. The citric acid cycle indirectly impacts NDUFS2's function by supplying NADH which is necessary for complex I activity and efficient energy conversion.

NDUFS2 mutations and dysfunctions relate to disorders such as Leigh syndrome and some mitochondrial myopathies. Leigh syndrome a severe neurological disorder often involves deficiencies in complex I where NDUFS2 plays a significant role. This protein also shows connections to other mitochondrial proteins like NDUFA12 and NDUFB6 which when also impaired can contribute to disease manifestations. The study and understanding of NDUFS2's role in these conditions are important for developing potential therapeutic strategies.

Product protocols

For this product, it's our understanding that no specific protocols are required. You can visit:

Target data

Core subunit of the mitochondrial membrane respiratory chain NADH dehydrogenase (Complex I) which catalyzes electron transfer from NADH through the respiratory chain, using ubiquinone as an electron acceptor (PubMed : 22036843, PubMed : 28031252, PubMed : 30922174). Essential for the catalytic activity of complex I (PubMed : 22036843, PubMed : 30922174). Essential for the assembly of complex I (By similarity). Redox-sensitive, critical component of the oxygen-sensing pathway in the pulmonary vasculature which plays a key role in acute pulmonary oxygen-sensing and hypoxic pulmonary vasoconstriction (PubMed : 30922174). Plays an important role in carotid body sensing of hypoxia (By similarity). Essential for glia-like neural stem and progenitor cell proliferation, differentiation and subsequent oligodendrocyte or neuronal maturation (By similarity).
See full target information NADH dehydrogenase [ubiquinone] iron-sulfur protein 2, mitochondrial

Publications (1)

Recent publications for all applications. Explore the full list and refine your search

Chinese medical journal 137:1105-1114 PubMed37640670

2023

Effects of COL1A1 and SYTL2 on inflammatory cell infiltration and poor extracellular matrix remodeling of the vascular wall in thoracic aortic aneurysm.

Applications

Unspecified application

Species

Unspecified reactive species

Xinsheng Xie,Ye Yuan,Yulong Huang,Xiang Hong,Shichai Hong,Gang Chen,Yihui Chen,Yue Lin,Weifeng Lu,Weiguo Fu,Lixin Wang
View all publications

Product promise

We are committed to supporting your work with high-quality reagents, and we're here for you every step of the way. In the unlikely event that one of our products does not perform as expected, you're protected by our Product Promise.
For full details, please see our Terms & Conditions

Please note: All products are 'FOR RESEARCH USE ONLY. NOT FOR USE IN DIAGNOSTIC OR THERAPEUTIC PROCEDURES'.

For licensing inquiries, please contact partnerships@abcam.com