JavaScript is disabled in your browser. Please enable JavaScript to view this website.
AB177471

Anti-NDUFS3 antibody [EPR12782] - C-terminal

5

(2 Reviews)

|

(9 Publications)

Rabbit Recombinant Monoclonal NDUFS3 antibody. C-terminal. Suitable for IHC-P, IP, WB, ICC/IF, Flow Cyt (Intra) and reacts with Human samples. Cited in 9 publications.

View Alternative Names

Complex I-30kD, NADH-ubiquinone oxidoreductase 30 kDa subunit, CI-30kD, NDUFS3

9 Images
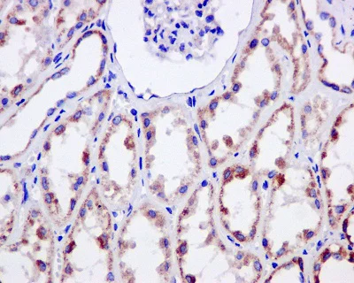
Immunohistochemistry (Formalin/PFA-fixed paraffin-embedded sections) - Anti-NDUFS3 antibody [EPR12782] - C-terminal (AB177471)
  • IHC-P

Supplier Data

Immunohistochemistry (Formalin/PFA-fixed paraffin-embedded sections) - Anti-NDUFS3 antibody [EPR12782] - C-terminal (AB177471)

Immunohistochemcal analysis of paraffin-embedded Human kidney tissue labeling NDUFS3 with ab177471 at 1/50 dilution.

Perform heat mediated antigen retrieval with citrate buffer pH 6 before commencing with IHC staining protocol.

Immunocytochemistry/ Immunofluorescence - Anti-NDUFS3 antibody [EPR12782] - C-terminal (AB177471)
  • ICC/IF

Supplier Data

Immunocytochemistry/ Immunofluorescence - Anti-NDUFS3 antibody [EPR12782] - C-terminal (AB177471)

Immunofluorescence analysis of 293 cells labeling NDUFS3 with ab177471 at 1/50 dilution (green). DAPI nuclear staining (blue).

Immunohistochemistry (Formalin/PFA-fixed paraffin-embedded sections) - Anti-NDUFS3 antibody [EPR12782] - C-terminal (AB177471)
  • IHC-P

Unknown

Immunohistochemistry (Formalin/PFA-fixed paraffin-embedded sections) - Anti-NDUFS3 antibody [EPR12782] - C-terminal (AB177471)

Immunohistochemcal analysis of paraffin-embedded Human heart tissue labeling NDUFS3 with ab177471 at 1/50 dilution.

Perform heat mediated antigen retrieval with citrate buffer pH 6 before commencing with IHC staining protocol.

Flow Cytometry (Intracellular) - Anti-NDUFS3 antibody [EPR12782] - C-terminal (AB177471)
  • Flow Cyt (Intra)

Supplier Data

Flow Cytometry (Intracellular) - Anti-NDUFS3 antibody [EPR12782] - C-terminal (AB177471)

Intracellular Flow Cytometry analysis of HEK293 (Human embryonic kidney epithelial cell) cells labeling NDUFS3 (red) with purified ab177471 at a 1/200 dilution (10ug/mL). Cells were fixed with 4% paraformaldehyde and permeabilized with 90% methanol. A goat anti rabbit IgG (Alexa Fluor®488) (ab150077) was used as the secondary antibody at a 1/2000 dilution. Black - Rabbit monoclonal IgG (Black) (ab172730). Blue (unlabeled control) - Cell without incubation with primary antibody and secondary antibody (Blue).

Western blot - Anti-NDUFS3 antibody [EPR12782] - C-terminal (AB177471)
  • WB

Lab

Western blot - Anti-NDUFS3 antibody [EPR12782] - C-terminal (AB177471)

Lanes 1- 4 : Merged signal (red and green). Green - ab177471 observed at 30 kDa. Red - Anti-alpha Tubulin antibody [DM1A] - Loading Control (ab7291) observed at 50 kDa.

ab177471 was shown to react with NDUFS3 in wild-type HEK-293T cells in western blot. Loss of signal was observed when knockout cell line ab266419 (knockout cell lysate ab257556) was used. Wild-type HEK-293T and NDUFS3 knockout HEK-293T cell lysates were subjected to SDS-PAGE. Membrane was blocked for 1 hour at room temperature in 0.1% TBST with 3% non-fat dried milk. ab177471 and Anti-alpha Tubulin antibody [DM1A] - Loading Control (ab7291) overnight at 4°C at a 1 in 1000 dilution and a 1 in 20000 dilution respectively. Blots were developed with Goat anti-Rabbit IgG H&L (IRDye®800CW) preadsorbed (ab216773) and Goat anti-Mouse IgG H&L (IRDye®680RD) preadsorbed (ab216776) secondary antibodies at 1 in 20000 dilution for 1 hour at room temperature before imaging.

All lanes:

Western blot - Anti-NDUFS3 antibody [EPR12782] - C-terminal (ab177471) at 1/1000 dilution

Lane 1:

Wild-type HEK-293T cell lysate at 20 µg

Lane 2:

NDUFS3 knockout HEK-293T cell lysate at 20 µg

Lane 2:

Western blot - Human NDUFS3 knockout HEK-293T cell line (<a href='/en-us/products/cell-lines/human-ndufs3-knockout-hek-293t-cell-line-ab266419'>ab266419</a>)

Lane 3:

HepG2 cell lysate at 20 µg

Lane 4:

HL60 cell lysate at 20 µg

Predicted band size: 30 kDa

Observed band size: 30 kDa

false

Western blot - Anti-NDUFS3 antibody [EPR12782] - C-terminal (AB177471)
  • WB

AbReview51458****

Western blot - Anti-NDUFS3 antibody [EPR12782] - C-terminal (AB177471)

All lanes:

Western blot - Anti-NDUFS3 antibody [EPR12782] - C-terminal (ab177471) at 1/1000 dilution

Lanes 1 - 2:

Whole cell lysates from NDUFS3 KO cells. at 50 µg

Lanes 3 - 4:

Whole cell lysates from NDUFS3 WT cells. at 50 µg

Lanes 5 - 6:

Isolated mitochondria from NDUFS3 KO Cells. at 50 µg

Lanes 7 - 8:

Isolated mitochondria from NDUFS3 WT Cells. at 50 µg

Secondary

All lanes:

Goat anti-Rabbit polyclonal HRP conjugate. at 1/5000 dilution

Predicted band size: 30 kDa

true

Exposure time: 1min

Image is courtesy of an anonymous Abreview.

Immunoprecipitation - Anti-NDUFS3 antibody [EPR12782] - C-terminal (AB177471)
  • IP

Supplier Data

Immunoprecipitation - Anti-NDUFS3 antibody [EPR12782] - C-terminal (AB177471)

Western blot analysis on immunoprecipitation pellet from (1) human fetal heart lysate or (2) 1XPBS (negative control) using ab177471at 1/10 dilution, and HRP-conjugated anti-rabbit IgG preferentially detecting the non-reduced form of rabbit IgG.

All lanes:

Immunoprecipitation - Anti-NDUFS3 antibody [EPR12782] - C-terminal (ab177471)

Predicted band size: 30 kDa

true

Western blot - Anti-NDUFS3 antibody [EPR12782] - C-terminal (AB177471)
  • WB

Lab

Western blot - Anti-NDUFS3 antibody [EPR12782] - C-terminal (AB177471)

Lanes 1 - 2 : Merged signal (red and green). Green - ab177471 observed at 27 kDa. Red - loading control ab7291 (Mouse anti-Alpha Tubulin [DM1A]) observed at 55kDa.

ab177471 was shown to react with NDUFS3 in HEK-293T wild-type cells in western blot with loss of signal observed in NDUFS3 knockout cell line ab266419 (NDUFS3 knockout cell lysate ab257556). Wild-type and NDUFS3 knockout HEK-293T cell lysates were subjected to SDS-PAGE. Membranes were blocked in 3% milk in TBS-T (0.1% Tween®) before incubation with ab177471 and ab7291 (Mouse anti-Alpha Tubulin [DM1A]) overnight at 4°C at a 1 in 1000 dilution and a 1 in 20000 dilution respectively. Blots were incubated with Goat anti-Rabbit IgG H&L (IRDye® 800CW) preabsorbed (ab216773) and Goat anti-Mouse IgG H&L (IRDye® 680RD) preabsorbed (ab216776) secondary antibodies at 1 in 20000 dilution for 1 hour at room temperature before imaging.

All lanes:

Western blot - Anti-NDUFS3 antibody [EPR12782] - C-terminal (ab177471) at 1/1000 dilution

Lane 1:

Wild-type HEK-293T cell lysate at 20 µg

Lane 2:

NDUFS3 knockout HEK-293T cell lysate at 20 µg

Lane 2:

Western blot - Human NDUFS3 knockout HEK-293T cell line (<a href='/en-us/products/cell-lines/human-ndufs3-knockout-hek-293t-cell-line-ab266419'>ab266419</a>)

Predicted band size: 30 kDa

Observed band size: 27 kDa

false

Western blot - Anti-NDUFS3 antibody [EPR12782] - C-terminal (AB177471)
  • WB

Supplier Data

Western blot - Anti-NDUFS3 antibody [EPR12782] - C-terminal (AB177471)

All lanes:

Western blot - Anti-NDUFS3 antibody [EPR12782] - C-terminal (ab177471) at 1/1000 dilution

Lane 1:

HepG2 lysate at 10 µg

Lane 2:

293T lysate at 10 µg

Lane 3:

HL60 lysate at 10 µg

Lane 4:

Fetal heart lysate at 10 µg

Secondary

All lanes:

Goat-anti-rabbit HRP at 1/2000 dilution

Predicted band size: 30 kDa

true

Key facts

Host species

Rabbit

Clonality

Monoclonal

Clone number

EPR12782

Isotype

IgG

Carrier free

No

Reacts with

Human

Applications

Flow Cyt (Intra), ICC/IF, IP, WB, IHC-P

applications

Immunogen

The exact immunogen used to generate this antibody is proprietary information.

Reactivity data

{ "title": "Reactivity Data", "filters": { "stats": ["", "Species", "Dilution Info", "Notes"], "tabs": { "all-applications": {"fullname" : "All Applications", "shortname": "All Applications"}, "IHCP" : {"fullname" : "Immunohistochemistry (Formalin/PFA-fixed paraffin-embedded sections)", "shortname":"IHC-P"}, "IP" : {"fullname" : "Immunoprecipitation", "shortname":"IP"}, "WB" : {"fullname" : "Western blot", "shortname":"WB"}, "ICCIF" : {"fullname" : "Immunocytochemistry/ Immunofluorescence", "shortname":"ICC/IF"}, "FlowCytIntra" : {"fullname" : "Flow Cytometry (Intracellular)", "shortname":"Flow Cyt (Intra)"} }, "product-promise": { "all": "all", "testedAndGuaranteed": "tested", "guaranteed": "expected", "predicted": "predicted", "notRecommended": "not-recommended" } }, "values": { "Human": { "IHCP-species-checked": "testedAndGuaranteed", "IHCP-species-dilution-info": "1/50 - 1/100", "IHCP-species-notes": "<p></p>", "IP-species-checked": "testedAndGuaranteed", "IP-species-dilution-info": "1/10 - 1/100", "IP-species-notes": "<p></p>", "WB-species-checked": "testedAndGuaranteed", "WB-species-dilution-info": "1/1000 - 1/10000", "WB-species-notes": "<p></p>", "ICCIF-species-checked": "testedAndGuaranteed", "ICCIF-species-dilution-info": "1/50 - 1/100", "ICCIF-species-notes": "<p></p>", "FlowCytIntra-species-checked": "testedAndGuaranteed", "FlowCytIntra-species-dilution-info": "1/200", "FlowCytIntra-species-notes": "<p></p>" }, "Mouse": { "IHCP-species-checked": "predicted", "IHCP-species-dilution-info": "", "IHCP-species-notes": "", "IP-species-checked": "predicted", "IP-species-dilution-info": "", "IP-species-notes": "", "WB-species-checked": "predicted", "WB-species-dilution-info": "", "WB-species-notes": "", "ICCIF-species-checked": "predicted", "ICCIF-species-dilution-info": "", "ICCIF-species-notes": "", "FlowCytIntra-species-checked": "predicted", "FlowCytIntra-species-dilution-info": "", "FlowCytIntra-species-notes": "" }, "Rat": { "IHCP-species-checked": "predicted", "IHCP-species-dilution-info": "", "IHCP-species-notes": "", "IP-species-checked": "predicted", "IP-species-dilution-info": "", "IP-species-notes": "", "WB-species-checked": "predicted", "WB-species-dilution-info": "", "WB-species-notes": "", "ICCIF-species-checked": "predicted", "ICCIF-species-dilution-info": "", "ICCIF-species-notes": "", "FlowCytIntra-species-checked": "predicted", "FlowCytIntra-species-dilution-info": "", "FlowCytIntra-species-notes": "" } } }

Product details

Patented technology
Our RabMAb® technology is a patented hybridoma-based technology for making rabbit monoclonal antibodies. For details on our patents, please refer to RabMAb® patents.

What are the advantages of a recombinant monoclonal antibody?
This product is a recombinant monoclonal antibody, which offers several advantages including:

  • - High batch-to-batch consistency and reproducibility
  • - Improved sensitivity and specificity
  • - Long-term security of supply
  • - Animal-free batch production

For more information, read more on recombinant antibodies.

Properties and storage information

Form
Liquid
Purity
Tissue culture supernatant
Storage buffer
pH: 7.2 - 7.4 Preservative: 0.01% Sodium azide Constituents: PBS, 50% Tissue culture supernatant, 40% Glycerol (glycerin, glycerine), 0.05% BSA
Shipped at conditions
Blue Ice
Appropriate short-term storage duration
1-2 weeks
Appropriate short-term storage conditions
+4°C
Appropriate long-term storage conditions
-20°C
Aliquoting information
Upon delivery aliquot
Storage information
Avoid freeze / thaw cycle

Supplementary information

This supplementary information is collated from multiple sources and compiled automatically.

NADH:ubiquinone oxidoreductase core subunit S3 (NDUFS3) is an important component of the mitochondrial respiratory chain complex I also known as NADH:ubiquinone oxidoreductase. With an approximate mass of 25 kDa NDUFS3 plays an integral role in the assembly and function of complex I. This protein is mostly expressed in the mitochondria across various tissues. It is better known as a core subunit important for the catalytic activity of complex I.
Biological function summary

NDUFS3 participates in cellular respiration by facilitating the electron transfer from NADH to ubiquinone. It is part of the complex I assembly that comprises 45 different subunits. This large assembly is the first enzyme of the mitochondrial electron transport chain and it ensures efficient energy production in the form of ATP. In its role NDUFS3 collaborates closely with other core subunits like NDUFS1 and NDUFS2 to maintain the proper function of cellular metabolism.

Pathways

NDUFS3 is essential in the oxidative phosphorylation pathway which plays an important part in ATP generation. By interacting with other complex I subunits NDUFS3 enables electron flow that drives ATP synthase activity. Additionally it is connected to the apoptosis pathway. Its dysfunction may result in disrupted energy metabolism which can trigger cell death. NDUFS3 also interacts with proteins like NDUFV1 and NDUFV2 highlighting its centrality in energy and signal transduction processes.

NDUFS3 links to mitochondrial disorders and neurodegenerative diseases such as Leigh syndrome. Mutations in NDUFS3 can impair mitochondrial function leading to reduced ATP production and accumulation of defective mitochondria. These alterations contribute to the progressive deterioration seen in these disorders. In the context of neurodegenerative diseases NDUFS3 dysfunction may associate with proteins like cytochrome c emphasizing its role in mitochondria-dependent apoptotic pathways and neuronal health.

Product protocols

For this product, it's our understanding that no specific protocols are required. You can visit:

Target data

Core subunit of the mitochondrial membrane respiratory chain NADH dehydrogenase (Complex I) which catalyzes electron transfer from NADH through the respiratory chain, using ubiquinone as an electron acceptor (PubMed : 14729820, PubMed : 30140060). Essential for the catalytic activity and assembly of complex I (PubMed : 14729820, PubMed : 24028823, PubMed : 30140060).
See full target information NDUFS3

Publications (9)

Recent publications for all applications. Explore the full list and refine your search

Nature communications 15:4195 PubMed38760351

2024

Ferritinophagy mediates adaptive resistance to EGFR tyrosine kinase inhibitors in non-small cell lung cancer.

Applications

Unspecified application

Species

Unspecified reactive species

Hui Wang,Qianfan Hu,Yuzhong Chen,Xing Huang,Yipeng Feng,Yuanjian Shi,Rutao Li,Xuewen Yin,Xuming Song,Yingkuan Liang,Te Zhang,Lin Xu,Gaochao Dong,Feng Jiang

Bioengineered 13:13089-13107 PubMed35615982

2022

CDC25C is a prognostic biomarker and correlated with mitochondrial homeostasis in pancreatic adenocarcinoma.

Applications

Unspecified application

Species

Unspecified reactive species

Chaoting Zhou,Luyang Wang,Wanye Hu,Lusheng Tang,Ping Zhang,Yan Gao,Jing Du,Yanchun Li,Ying Wang

Nature communications 13:2769 PubMed35589699

2022

Mitochondrial calcium uniporter stabilization preserves energetic homeostasis during Complex I impairment.

Applications

Unspecified application

Species

Unspecified reactive species

Enrique Balderas,David R Eberhardt,Sandra Lee,John M Pleinis,Salah Sommakia,Anthony M Balynas,Xue Yin,Mitchell C Parker,Colin T Maguire,Scott Cho,Marta W Szulik,Anna Bakhtina,Ryan D Bia,Marisa W Friederich,Timothy M Locke,Johan L K Van Hove,Stavros G Drakos,Yasemin Sancak,Martin Tristani-Firouzi,Sarah Franklin,Aylin R Rodan,Dipayan Chaudhuri

Oncology letters 21:124 PubMed33552245

2021

Inhibition of mitochondrial and cytosolic calpain attenuates atrophy in myotubes co-cultured with colon carcinoma cells.

Applications

Unspecified application

Species

Unspecified reactive species

Xianliang Zeng,Li Zhao,Sizeng Chen,Xiantao Li

Science advances 6: PubMed33087354

2020

MCART1/SLC25A51 is required for mitochondrial NAD transport.

Applications

Unspecified application

Species

Unspecified reactive species

Nora Kory,Jelmi Uit de Bos,Sanne van der Rijt,Nevena Jankovic,Miriam Güra,Nicholas Arp,Izabella A Pena,Gyan Prakash,Sze Ham Chan,Tenzin Kunchok,Caroline A Lewis,David M Sabatini

Molecular genetics and metabolism 131:98-106 PubMed33097395

2020

Biallelic variants in two complex I genes cause abnormal splicing defects in probands with mild Leigh syndrome.

Applications

Unspecified application

Species

Unspecified reactive species

Thomas Johnstone,Jennifer Wang,Daron Ross,Nicholas Balanda,Yan Huang,Rena Godfrey,Catherine Groden,Brandon R Barton,William Gahl,Camilo Toro,May Christine V Malicdan

Nature communications 10:903 PubMed30796225

2019

Inducing cancer indolence by targeting mitochondrial Complex I is potentiated by blocking macrophage-mediated adaptive responses.

Applications

Unspecified application

Species

Unspecified reactive species

Ivana Kurelac,Luisa Iommarini,Renaud Vatrinet,Laura Benedetta Amato,Monica De Luise,Giulia Leone,Giulia Girolimetti,Nikkitha Umesh Ganesh,Victoria Louise Bridgeman,Luigi Ombrato,Marta Columbaro,Moira Ragazzi,Lara Gibellini,Manuela Sollazzo,Rene Gunther Feichtinger,Silvia Vidali,Maurizio Baldassarre,Sarah Foriel,Michele Vidone,Andrea Cossarizza,Daniela Grifoni,Barbara Kofler,Ilaria Malanchi,Anna Maria Porcelli,Giuseppe Gasparre

Molecular genetics and metabolism 126:53-63 PubMed30473481

2018

Novel mutations in the mitochondrial complex I assembly gene NDUFAF5 reveal heterogeneous phenotypes.

Applications

Unspecified application

Species

Unspecified reactive species

Mariella T Simon,Shaya S Eftekharian,Alexander E Stover,Aaron F Osborne,Bruce H Braffman,Richard C Chang,Raymond Y Wang,Maija R Steenari,Sha Tang,Paul Wuh-Liang Hwu,Ryan J Taft,Paul J Benke,Jose E Abdenur

Nutrition & diabetes 8:1 PubMed29330446

2018

Effect of puerarin in promoting fatty acid oxidation by increasing mitochondrial oxidative capacity and biogenesis in skeletal muscle in diabetic rats.

Applications

Unspecified application

Species

Unspecified reactive species

Xiu-Fang Chen,Lei Wang,Yong-Zheng Wu,Shi-Yu Song,Hai-Yan Min,Yan Yang,Xuan He,Qiao Liang,Long Yi,Yong Wang,Qian Gao
View all publications

Product promise

We are committed to supporting your work with high-quality reagents, and we're here for you every step of the way. In the unlikely event that one of our products does not perform as expected, you're protected by our Product Promise.
For full details, please see our Terms & Conditions

Please note: All products are 'FOR RESEARCH USE ONLY. NOT FOR USE IN DIAGNOSTIC OR THERAPEUTIC PROCEDURES'.

For licensing inquiries, please contact partnerships@abcam.com