JavaScript is disabled in your browser. Please enable JavaScript to view this website.
AB137064

Anti-Ndufs4 antibody [EP7832]

5

(14 Reviews)

|

(13 Publications)

Anti-Ndufs4 antibody [EP7832] (ab137064) is a rabbit monoclonal antibody detecting Ndufs4 in Western Blot, Flow Cytometry (Intra), Flow Cytometry, IP, IHC-P, ICC/IF. Suitable for Human, Mouse, Rat.

- KO validated for confirmed specificity
- Biophysical QC for unrivalled batch-batch consistency

View Alternative Names

Complex I-18 kDa, Complex I-AQDQ, NADH-ubiquinone oxidoreductase 18 kDa subunit, CI-18 kDa, CI-AQDQ, NDUFS4

13 Images
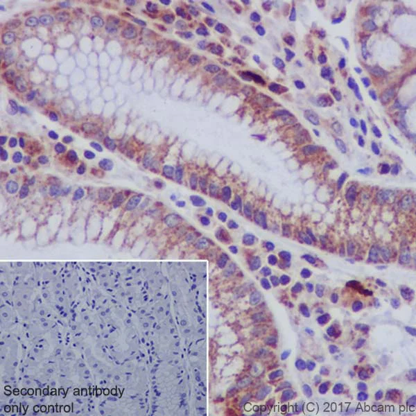
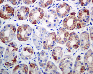
Immunohistochemistry (Formalin/PFA-fixed paraffin-embedded sections) - Anti-Ndufs4 antibody [EP7832] (AB137064)
  • IHC-P

Unknown

Immunohistochemistry (Formalin/PFA-fixed paraffin-embedded sections) - Anti-Ndufs4 antibody [EP7832] (AB137064)

Immunohistochemical analysis of paraffin-embedded Human stomach tissue labelling Ndufs4 with unpurified ab137064 at 1/50 dilution.

Perform heat mediated antigen retrieval with citrate buffer pH 6 before commencing with IHC staining protocol.

Immunocytochemistry/ Immunofluorescence - Anti-Ndufs4 antibody [EP7832] (AB137064)
  • ICC/IF

Supplier Data

Immunocytochemistry/ Immunofluorescence - Anti-Ndufs4 antibody [EP7832] (AB137064)

Immunocytochemistry/Immunofluorescence analysis of HeLa cells (human cervix adenocarcinoma epithelial cells) labeling Ndusf4 with purified ab137064 at a 1/500 dilution. Cells were fixed in 4% paraformaldehyde and permeabilized with 0.1% tritonX-100.

Cells were counterstained with ab7291 Anti-alpha Tubulin antibody [DM1A] - Loading Control followed by ab150120 Alexa Fluor® 594 Goat anti-Mouse secondary at a 1/1000 dilution (2 µg/ml). ab150077 Goat anti-rabbit IgG (Alexa Fluor® 488) was used as the secondary antibody at 1/1000 dilution. DAPI nuclear counterstain.

A secondary antibody-only control was performed by omitting the primary antibody and using PBS instead.

This data was developed using the same antibody clone in a different buffer formulation containing PBS, BSA, glycerol, and sodium azide (ab137064).

Immunohistochemistry (Formalin/PFA-fixed paraffin-embedded sections) - Anti-Ndufs4 antibody [EP7832] (AB137064)
  • IHC-P

Unknown

Immunohistochemistry (Formalin/PFA-fixed paraffin-embedded sections) - Anti-Ndufs4 antibody [EP7832] (AB137064)

Immunohistochemistry (Formalin/PFA-fixed paraffin-embedded sections) analysis of human stomach tissue sections labeling Ndufs4 with Purified ab137064 at 1 : 50 dilution. Heat mediated antigen retrieval was performed using Tris/EDTA buffer, pH 9.0. Tissue was counterstained with Hematoxylin. ImmunoHistoProbe one step HRP Polymer (ready to use) secondary antibody was used at 1 : 0 dilution. PBS instead of the primary antibody was used as the negative control.

Flow Cytometry (Intracellular) - Anti-Ndufs4 antibody [EP7832] (AB137064)
  • Flow Cyt (Intra)

Unknown

Flow Cytometry (Intracellular) - Anti-Ndufs4 antibody [EP7832] (AB137064)

Intracellular Flow Cytometry analysis of HeLa (Human cervix adenocarcinoma epithelial cell) cells labeling Ndufs4 with purified ab137064 at 1/60 dilution (red). Cells were fixed with 4% Paraformaldehyde. A Goat anti rabbit IgG (Alexa Fluor® 488) secondary antibody was used at 1/2000 dilution. Isotype control - Rabbit monoclonal IgG (Black). Unlabeled control - Cell without incubation with primary antibody and secondary antibody (Blue).

Flow Cytometry (Intracellular) - Anti-Ndufs4 antibody [EP7832] (AB137064)
  • Flow Cyt (Intra)

Unknown

Flow Cytometry (Intracellular) - Anti-Ndufs4 antibody [EP7832] (AB137064)

Overlay histogram showing HepG2 cells stained withunpurified ab137064 (red line). The cells were fixed with 80% methanol (5 min) and then permeabilized with 0.1% PBS-Tween for 20 min. The cells were then incubated in 1x PBS / 10% normal goat serum / 0.3M glycine to block non-specific protein-protein interactions followed by the antibody (ab137064, 1/1000 dilution) for 30 min at 22°C. The secondary antibody used was Alexa Fluor® 488 goat anti-rabbit IgG (H&L) (ab150077) at 1/2000 dilution for 30 min at 22°C. Isotype control antibody (black line) was rabbit IgG (monoclonal) (0.1μg/1x106 cells) used under the same conditions. Unlabelled sample (blue line) was also used as a control. Acquisition of >5,000 events were collected using a 20mW Argon ion laser (488nm) and 525/30 bandpass filter. This antibody gave a positive signal in HepG2 cells fixed with 4% paraformaldehyde (10 min)/permeabilized with 0.1% PBS-Tween for 20 min used under the same conditions.

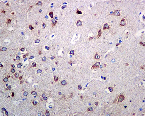
Immunohistochemistry (Formalin/PFA-fixed paraffin-embedded sections) - Anti-Ndufs4 antibody [EP7832] (AB137064)
  • IHC-P

Unknown

Immunohistochemistry (Formalin/PFA-fixed paraffin-embedded sections) - Anti-Ndufs4 antibody [EP7832] (AB137064)

Immunohistochemical analysis of paraffin-embedded Human brain tissue labelling Ndufs4 with unpurified ab137064 at 1/50 dilution.

Perform heat mediated antigen retrieval with citrate buffer pH 6 before commencing with IHC staining protocol.

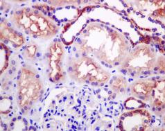
Immunohistochemistry (Formalin/PFA-fixed paraffin-embedded sections) - Anti-Ndufs4 antibody [EP7832] (AB137064)
  • IHC-P

Unknown

Immunohistochemistry (Formalin/PFA-fixed paraffin-embedded sections) - Anti-Ndufs4 antibody [EP7832] (AB137064)

Immunohistochemistry (Formalin/PFA-fixed paraffin-embedded sections) analysis of mouse kidney tissue sections labeling Ndufs4 with Purified ab137064 at 1 : 50 dilution. Heat mediated antigen retrieval was performed using Tris/EDTA buffer, pH 9.0. Tissue was counterstained with Hematoxylin. ImmunoHistoProbe one step HRP Polymer (ready to use) secondary antibody was used at 1 : 0 dilution. PBS instead of the primary antibody was used as the negative control.

Immunohistochemistry (Formalin/PFA-fixed paraffin-embedded sections) - Anti-Ndufs4 antibody [EP7832] (AB137064)
  • IHC-P

Unknown

Immunohistochemistry (Formalin/PFA-fixed paraffin-embedded sections) - Anti-Ndufs4 antibody [EP7832] (AB137064)

Immunohistochemistry (Formalin/PFA-fixed paraffin-embedded sections) analysis of rat cerebrum tissue sections labeling Ndufs4 with Purified ab137064 at 1 : 50 dilution. Heat mediated antigen retrieval was performed using Tris/EDTA buffer, pH 9.0. Tissue was counterstained with Hematoxylin. ImmunoHistoProbe one step HRP Polymer (ready to use) secondary antibody was used at 1 : 0 dilution. PBS instead of the primary antibody was used as the negative control.

Immunoprecipitation - Anti-Ndufs4 antibody [EP7832] (AB137064)
  • IP

Lab

Immunoprecipitation - Anti-Ndufs4 antibody [EP7832] (AB137064)

ab137064 (purified) at 1 : 30 dilution (2μg) immunoprecipitating Ndufs4 in Rat heart lysate.

Lane 1 (input) : Rat heart lysate, 10μg
Lane 2 (+) : ab137064 & Rat heart lysate
Lane 3 (-) : Rabbit monoclonal IgG (ab172730) instead of ab137064 in Rat heart lysate

For western blotting, VeriBlot for IP Detection Reagent (HRP) (ab131366) was used for detection at 1 : 1000 dilution.
Blocking and diluting buffer : 5% NFDM/TBST.

All lanes:

Immunoprecipitation - Anti-Ndufs4 antibody [EP7832] (ab137064)

Predicted band size: 20 kDa

false

Western blot - Anti-Ndufs4 antibody [EP7832] (AB137064)
  • WB

Lab

Western blot - Anti-Ndufs4 antibody [EP7832] (AB137064)

Blocking and diluting buffer : 5% NFDM/TBST.

All lanes:

Western blot - Anti-Ndufs4 antibody [EP7832] (ab137064) at 1/2000 dilution

Lane 1:

Human fetal brain lysates at 15 µg

Lane 2:

Mouse heart lysates at 15 µg

Secondary

All lanes:

Goat Anti-Rabbit IgG (HRP) with minimal cross-reactivity with human IgG at 1/2000 dilution

Predicted band size: 15 kDa,20 kDa,87 kDa,97 kDa

Observed band size: 18 kDa

false

Western blot - Anti-Ndufs4 antibody [EP7832] (AB137064)
  • WB

Lab

Western blot - Anti-Ndufs4 antibody [EP7832] (AB137064)

Lane 1 : Wild-type HAP1 cell lysate (20 μg)
Lane 2 : Ndufs4 knockout HAP1 cell lysate (20 μg)
Lane 3 : HEK293 cell lysate (20 μg)
Lane 4 : Human fetal heart tissue lysate (20 μg)
Lanes 1 - 4 : Merged signal (red and green). Green - ab137064 observed at 23 kDa. Red - loading control, ab8245, observed at 37 kDa.

Unpurified ab137064 was shown to recognize Ndufs4 when Ndufs4 knockout samples were used, along with additional cross-reactive bands. Wild-type and Ndufs4 knockout samples were subjected to SDS-PAGE. ab137064 and ab8245 (loading control to GAPDH) were diluted at 1/500 and 1/10 000 respectively and incubated overnight at 4°C. Blots were developed with Goat anti-Rabbit IgG H&L (IRDye® 800CW) preadsorbed (ab216773) and Goat anti-Mouse IgG H&L (IRDye® 680RD) preadsorbed (ab216776) secondary antibodies at 1/10000 dilution for 1 h at room temperature before imaging.

All lanes:

Western blot - Anti-Ndufs4 antibody [EP7832] (ab137064)

Predicted band size: 20 kDa

false

Western blot - Anti-Ndufs4 antibody [EP7832] (AB137064)
  • WB

Unknown

Western blot - Anti-Ndufs4 antibody [EP7832] (AB137064)

All lanes:

Western blot - Anti-Ndufs4 antibody [EP7832] (ab137064) at 1/1000 dilution

Lane 1:

293T cell lysate at 10 µg

Lane 2:

Fetal brain tissue lysate at 10 µg

Lane 3:

Fetal kidney tissue lysate at 10 µg

Predicted band size: 20 kDa

Observed band size: 18 kDa

false

Western blot - Anti-Ndufs4 antibody [EP7832] (AB137064)
  • WB

Lab

Western blot - Anti-Ndufs4 antibody [EP7832] (AB137064)

Blocking and diluting buffer : 5% NFDM/TBST

All lanes:

Western blot - Anti-Ndufs4 antibody [EP7832] (ab137064) at 1/50000 dilution

All lanes:

Rat heart lysates at 15 µg

Secondary

All lanes:

Western blot - Goat Anti-Rabbit IgG H&L (HRP) (<a href='/en-us/products/secondary-antibodies/goat-rabbit-igg-h-l-hrp-ab97051'>ab97051</a>) at 1/20000 dilution

Predicted band size: 20 kDa

false

  • Carrier free

    Anti-Ndufs4 antibody [EP7832] - BSA and Azide free

  • 578 PE

    PE Anti-Ndufs4 antibody [EP7832]

  • 660 APC

    APC Anti-Ndufs4 antibody [EP7832]

  • HRP

    HRP Anti-Ndufs4 antibody [EP7832]

  • 617 Alexa Fluor® 594

    Alexa Fluor® 594 Anti-Ndufs4 antibody [EP7832]

  • 519 Alexa Fluor® 488

    Alexa Fluor® 488 Anti-Ndufs4 antibody [EP7832]

  • 665 Alexa Fluor® 647

    Alexa Fluor® 647 Anti-Ndufs4 antibody [EP7832]

  • 565 Alexa Fluor® 555

    Alexa Fluor® 555 Anti-Ndufs4 antibody [EP7832]

  • 775 Alexa Fluor® 750

    Alexa Fluor® 750 Anti-Ndufs4 antibody [EP7832]

Key facts

Host species

Rabbit

Clonality

Monoclonal

Clone number

EP7832

Isotype

IgG

Carrier free

No

Reacts with

Mouse, Rat, Human

Applications

IHC-P, WB, ICC/IF, Flow Cyt (Intra), IP

applications

Immunogen

The exact immunogen used to generate this antibody is proprietary information.

Reactivity data

{ "title": "Reactivity Data", "filters": { "stats": ["", "Species", "Dilution Info", "Notes"], "tabs": { "all-applications": {"fullname" : "All Applications", "shortname": "All Applications"}, "IHCP" : {"fullname" : "Immunohistochemistry (Formalin/PFA-fixed paraffin-embedded sections)", "shortname":"IHC-P"}, "IP" : {"fullname" : "Immunoprecipitation", "shortname":"IP"}, "WB" : {"fullname" : "Western blot", "shortname":"WB"}, "ICCIF" : {"fullname" : "Immunocytochemistry/ Immunofluorescence", "shortname":"ICC/IF"}, "FlowCytIntra" : {"fullname" : "Flow Cytometry (Intracellular)", "shortname":"Flow Cyt (Intra)"} }, "product-promise": { "all": "all", "testedAndGuaranteed": "tested", "guaranteed": "expected", "predicted": "predicted", "notRecommended": "not-recommended" } }, "values": { "Human": { "IHCP-species-checked": "testedAndGuaranteed", "IHCP-species-dilution-info": "1/50 - 1/100", "IHCP-species-notes": "<p></p>", "IP-species-checked": "guaranteed", "IP-species-dilution-info": "", "IP-species-notes": "", "WB-species-checked": "testedAndGuaranteed", "WB-species-dilution-info": "1/500 - 1/10000", "WB-species-notes": "<p></p>", "ICCIF-species-checked": "testedAndGuaranteed", "ICCIF-species-dilution-info": "1/500", "ICCIF-species-notes": "<p><strong>For unpurified use at 1/50 - 1/100. </strong></p>", "FlowCytIntra-species-checked": "testedAndGuaranteed", "FlowCytIntra-species-dilution-info": "1/60", "FlowCytIntra-species-notes": "<p><a href='/en-us/products/primary-antibodies/rabbit-igg-monoclonal-epr25a-isotype-control-ab172730'>ab172730</a> - Rabbit monoclonal IgG, is suitable for use as an isotype control with this antibody. For unpurifed use at 1/100 - 1/1000 dilution.</p>" }, "Mouse": { "IHCP-species-checked": "testedAndGuaranteed", "IHCP-species-dilution-info": "1/50 - 1/100", "IHCP-species-notes": "<p></p>", "IP-species-checked": "guaranteed", "IP-species-dilution-info": "", "IP-species-notes": "", "WB-species-checked": "testedAndGuaranteed", "WB-species-dilution-info": "1/500 - 1/10000", "WB-species-notes": "<p></p>", "ICCIF-species-checked": "guaranteed", "ICCIF-species-dilution-info": "", "ICCIF-species-notes": "", "FlowCytIntra-species-checked": "guaranteed", "FlowCytIntra-species-dilution-info": "", "FlowCytIntra-species-notes": "" }, "Rat": { "IHCP-species-checked": "testedAndGuaranteed", "IHCP-species-dilution-info": "1/50 - 1/100", "IHCP-species-notes": "<p></p>", "IP-species-checked": "testedAndGuaranteed", "IP-species-dilution-info": "1/10 - 1/100", "IP-species-notes": "<p></p>", "WB-species-checked": "testedAndGuaranteed", "WB-species-dilution-info": "1/500 - 1/10000", "WB-species-notes": "<p></p>", "ICCIF-species-checked": "guaranteed", "ICCIF-species-dilution-info": "", "ICCIF-species-notes": "", "FlowCytIntra-species-checked": "guaranteed", "FlowCytIntra-species-dilution-info": "", "FlowCytIntra-species-notes": "" }, "Cat": { "IHCP-species-checked": "notRecommended", "IHCP-species-dilution-info": "", "IHCP-species-notes": "", "IP-species-checked": "notRecommended", "IP-species-dilution-info": "", "IP-species-notes": "", "WB-species-checked": "notRecommended", "WB-species-dilution-info": "", "WB-species-notes": "", "ICCIF-species-checked": "notRecommended", "ICCIF-species-dilution-info": "", "ICCIF-species-notes": "", "FlowCytIntra-species-checked": "notRecommended", "FlowCytIntra-species-dilution-info": "", "FlowCytIntra-species-notes": "" }, "Common marmoset": { "IHCP-species-checked": "notRecommended", "IHCP-species-dilution-info": "", "IHCP-species-notes": "", "IP-species-checked": "notRecommended", "IP-species-dilution-info": "", "IP-species-notes": "", "WB-species-checked": "notRecommended", "WB-species-dilution-info": "", "WB-species-notes": "", "ICCIF-species-checked": "notRecommended", "ICCIF-species-dilution-info": "", "ICCIF-species-notes": "", "FlowCytIntra-species-checked": "notRecommended", "FlowCytIntra-species-dilution-info": "", "FlowCytIntra-species-notes": "" }, "Dog": { "IHCP-species-checked": "notRecommended", "IHCP-species-dilution-info": "", "IHCP-species-notes": "", "IP-species-checked": "notRecommended", "IP-species-dilution-info": "", "IP-species-notes": "", "WB-species-checked": "notRecommended", "WB-species-dilution-info": "", "WB-species-notes": "", "ICCIF-species-checked": "notRecommended", "ICCIF-species-dilution-info": "", "ICCIF-species-notes": "", "FlowCytIntra-species-checked": "notRecommended", "FlowCytIntra-species-dilution-info": "", "FlowCytIntra-species-notes": "" }, "Eisenia fetida": { "IHCP-species-checked": "notRecommended", "IHCP-species-dilution-info": "1/50 - 1/100", "IHCP-species-notes": "<p></p>", "IP-species-checked": "notRecommended", "IP-species-dilution-info": "1/10 - 1/100", "IP-species-notes": "<p></p>", "WB-species-checked": "notRecommended", "WB-species-dilution-info": "1/500 - 1/10000", "WB-species-notes": "<p></p>", "ICCIF-species-checked": "notRecommended", "ICCIF-species-dilution-info": "1/500", "ICCIF-species-notes": "<p><strong>For unpurified use at 1/50 - 1/100. </strong></p>", "FlowCytIntra-species-checked": "notRecommended", "FlowCytIntra-species-dilution-info": "1/60", "FlowCytIntra-species-notes": "<p><a href='/en-us/products/primary-antibodies/rabbit-igg-monoclonal-epr25a-isotype-control-ab172730'>ab172730</a> - Rabbit monoclonal IgG, is suitable for use as an isotype control with this antibody. For unpurifed use at 1/100 - 1/1000 dilution.</p>" }, "Goat": { "IHCP-species-checked": "notRecommended", "IHCP-species-dilution-info": "", "IHCP-species-notes": "", "IP-species-checked": "notRecommended", "IP-species-dilution-info": "", "IP-species-notes": "", "WB-species-checked": "notRecommended", "WB-species-dilution-info": "", "WB-species-notes": "", "ICCIF-species-checked": "notRecommended", "ICCIF-species-dilution-info": "", "ICCIF-species-notes": "", "FlowCytIntra-species-checked": "notRecommended", "FlowCytIntra-species-dilution-info": "", "FlowCytIntra-species-notes": "" }, "Pig": { "IHCP-species-checked": "notRecommended", "IHCP-species-dilution-info": "", "IHCP-species-notes": "", "IP-species-checked": "notRecommended", "IP-species-dilution-info": "", "IP-species-notes": "", "WB-species-checked": "notRecommended", "WB-species-dilution-info": "", "WB-species-notes": "", "ICCIF-species-checked": "notRecommended", "ICCIF-species-dilution-info": "", "ICCIF-species-notes": "", "FlowCytIntra-species-checked": "notRecommended", "FlowCytIntra-species-dilution-info": "", "FlowCytIntra-species-notes": "" }, "Sheep": { "IHCP-species-checked": "notRecommended", "IHCP-species-dilution-info": "", "IHCP-species-notes": "", "IP-species-checked": "notRecommended", "IP-species-dilution-info": "", "IP-species-notes": "", "WB-species-checked": "notRecommended", "WB-species-dilution-info": "", "WB-species-notes": "", "ICCIF-species-checked": "notRecommended", "ICCIF-species-dilution-info": "", "ICCIF-species-notes": "", "FlowCytIntra-species-checked": "notRecommended", "FlowCytIntra-species-dilution-info": "", "FlowCytIntra-species-notes": "" } } }

Product details

What is this antibody validated in?
Anti-Ndufs4 antibody [EP7832] (ab137064) is a rabbit recombinant monoclonal antibody and is validated for use in Western Blot (WB), Flow Cytometry (Intra), Flow Cytometry (Flow Cyt), Immunoprecipitation (IP), Immunohistochemistry (IHC-P), Immunocytochemistry/immunofluorescence (ICC/IF) in Human, Mouse, Rat samples.

What is the molecular weight of Ndufs4?
Anti-Ndufs4 [EP7832] (ab137064) specifically detects a band for Ndufs4 (UniProt: O43181) at a molecular weight of 20kDa.

Reviewed by scientists
Anti-Ndufs4 [EP7832] (ab137064) has over 10 independent reviews from customers.

Trial sizes available!
Test your antibody or perform pre-screening before committing to a larger quantity. Sold in 10µl. Discover our selection of trial-size antibodies.

Specificity confirmed
The specificity of Anti-Ndufs4 antibody [EP7832] (ab137064) has been confirmed by Western blot testing in NDUFS4 Knockout HAP1 cells.

Other related products
We have a range of other formats of antibody clone [EP7832] also available for your convenience: ab137064, Carrier free - ab232337, PE - ab306039, APC - ab306040, HRP - ab306041, Alkaline Phosphatase - ab308749, Alexa Fluor® 488 - ab309701, Alexa Fluor® 647 - ab310068, Alexa Fluor® 594 - ab310464, Alexa Fluor® 555 - ab311994, Alexa Fluor® 750 - ab321107

Patented technology
Our RabMAb® technology is a patented hybridoma-based technology for making rabbit monoclonal antibodies. For details on our patents, please refer to RabMAb® patents.

What are the advantages of a recombinant monoclonal antibody?
This product is a recombinant monoclonal antibody, which offers several advantages including:

  • - High batch-to-batch consistency and reproducibility
  • - Improved sensitivity and specificity
  • - Long-term security of supply
  • - Animal-free batch production

For more information, read more on recombinant antibodies.

Properties and storage information

Form
Liquid
Purification technique
Affinity purification Protein A
Storage buffer
pH: 7.2 - 7.4 Preservative: 0.01% Sodium azide Constituents: PBS, 40% Glycerol (glycerin, glycerine), 0.05% BSA
Shipped at conditions
Blue Ice
Appropriate short-term storage duration
1-2 weeks
Appropriate short-term storage conditions
+4°C
Appropriate long-term storage conditions
-20°C
Aliquoting information
Upon delivery aliquot
Storage information
Avoid freeze / thaw cycle

Supplementary information

This supplementary information is collated from multiple sources and compiled automatically.

Ndufs4 also known as NADH:Ubiquinone Oxidoreductase Subunit S4 is an important component of mitochondrial complex I which is part of the electron transport chain. It has a molecular mass of approximately 18 kDa. The protein is mainly found in the inner mitochondrial membrane where it plays an essential role in cellular respiration by transferring electrons from NADH to ubiquinone. Ndufs4 is widely expressed in tissues with high energy demands such as the brain and heart.
Biological function summary

Ndufs4 functions as a part of mitochondrial complex I a large protein enzyme complex critical for oxidative phosphorylation. The complex comprises multiple subunits of which Ndufs4 is a small but essential part. By participating in electron transfer and proton pumping Ndufs4 supports ATP synthesis which is the main energy currency of the cell. Deficiency in Ndufs4 leads to dysfunctional energy production linked with metabolic disorders.

Pathways

The protein is an integral part of the respiratory chain pathway where it supports oxidative phosphorylation enabling effective ATP production. Within these pathways Ndufs4 interacts with other complex I subunits including Ndufs1 and Ndufa9 which stabilize electron transport. Disruptions in this chain can affect cellular energy metabolism and have downstream effects on various cellular processes.

Mutations in the Ndufs4 gene are associated with Leigh syndrome and mitochondrial complex I deficiency. Leigh syndrome is a severe neurological disorder characterized by progressive loss of mental and movement abilities. Ndufs4 mutations also lead to complex I deficiency causing diverse symptoms ranging from neurological impairments to muscle weakness. These disorders highlight the critical link between Ndufs4 and proper mitochondrial function. The protein's connection to other complex I subunits such as Ndufs1 emphasizes its importance in maintaining regular cellular functions and preventing mitochondrial diseases.

Product protocols

For this product, it's our understanding that no specific protocols are required. You can visit:

Target data

Accessory subunit of the mitochondrial membrane respiratory chain NADH dehydrogenase (Complex I), that is believed not to be involved in catalysis. Complex I functions in the transfer of electrons from NADH to the respiratory chain. The immediate electron acceptor for the enzyme is believed to be ubiquinone.
See full target information NDUFS4

Publications (13)

Recent publications for all applications. Explore the full list and refine your search

Science advances 11:eadq1575 PubMed40184463

2025

Atf3 controls transitioning in female mitochondrial cardiomyopathy as identified by spatial and single-cell transcriptomics.

Applications

Unspecified application

Species

Unspecified reactive species

Tasneem Qaqorh,Yusuke Takahashi,Kohei Sameshima,Kentaro Otani,Issei Yazawa,Yuya Nishida,Kohei Tonai,Yoshitaka Fujihara,Mizuki Honda,Shinya Oki,Yasuyuki Ohkawa,David R Thorburn,Ann E Frazier,Atsuhito Takeda,Yoshihiko Ikeda,Heima Sakaguchi,Takuya Watanabe,Norihide Fukushima,Yasumasa Tsukamoto,Naomasa Makita,Osamu Yamaguchi,Kei Murayama,Akira Ohtake,Yasushi Okazaki,Takanari Kimura,Hisakazu Kato,Hijiri Inoue,Ken Matsuoka,Seiji Takashima,Yasunori Shintani

Acta neuropathologica communications 13:63 PubMed40114250

2025

Chromogen-based double immunohistochemical detection of mitochondrial respiratory chain deficiencies in human brain tissue.

Applications

Unspecified application

Species

Unspecified reactive species

Tale L Bjerknes,Anna Rubiolo,Omnia Shadad,Ole-Bjørn Tysnes,Charalampos Tzoulis

International journal of molecular sciences 26: PubMed39941083

2025

Biotin Induces Inactive Chromosome X Reactivation and Corrects Physiopathological Alterations in Beta-Propeller-Protein-Associated Neurodegeneration.

Applications

Unspecified application

Species

Unspecified reactive species

Diana Reche-López,Ana Romero-González,Mónica Álvarez-Córdoba,Alejandra Suárez-Carrillo,Paula Cilleros-Holgado,Rocío Piñero-Pérez,David Gómez-Fernández,José Manuel Romero-Domínguez,Alejandra López-Cabrera,Susana González-Granero,José Manuel García-Verdugo,José A Sánchez-Alcázar

Nature 628:195-203 PubMed38480879

2024

Mitochondrial complex I activity in microglia sustains neuroinflammation.

Applications

Unspecified application

Species

Unspecified reactive species

L Peruzzotti-Jametti,C M Willis,G Krzak,R Hamel,L Pirvan,R-B Ionescu,J A Reisz,H A Prag,M E Garcia-Segura,V Wu,Y Xiang,B Barlas,A M Casey,A M R van den Bosch,A M Nicaise,L Roth,G R Bates,H Huang,P Prasad,A E Vincent,C Frezza,C Viscomi,G Balmus,Z Takats,J C Marioni,A D'Alessandro,M P Murphy,I Mohorianu,S Pluchino

Nature communications 15:1965 PubMed38438382

2024

NDUFS4 regulates cristae remodeling in diabetic kidney disease.

Applications

Unspecified application

Species

Unspecified reactive species

Koki Mise,Jianyin Long,Daniel L Galvan,Zengchun Ye,Guizhen Fan,Rajesh Sharma,Irina I Serysheva,Travis I Moore,Collene R Jeter,M Anna Zal,Motoo Araki,Jun Wada,Paul T Schumacker,Benny H Chang,Farhad R Danesh

Cancer & metabolism 10:12 PubMed35851093

2022

Ketogenic diets slow melanoma growth in vivo regardless of tumor genetics and metabolic plasticity.

Applications

Unspecified application

Species

Unspecified reactive species

Daniela D Weber,Sepideh Aminzadeh-Gohari,Maheshwor Thapa,Anna-Sophia Redtenbacher,Luca Catalano,Tânia Capelôa,Thibaut Vazeille,Michael Emberger,Thomas K Felder,René G Feichtinger,Peter Koelblinger,Guido Dallmann,Pierre Sonveaux,Roland Lang,Barbara Kofler

Oxidative medicine and cellular longevity 2022:7767431 PubMed39282151

2022

Quantitative Crotonylome Analysis Reveals the Mechanism of Shenkang Injection on Diabetic Nephropathy.

Applications

Unspecified application

Species

Unspecified reactive species

Min Wang,Bin Zhang,Chenyang Zhang,Xuelian Zhang,Shuang Tang,Guibo Sun,Xiaobo Sun

Acta neuropathologica communications 10:78 PubMed35606853

2022

Analysis of hemisphere-dependent effects of unilateral intrastriatal injection of α-synuclein pre-formed fibrils on mitochondrial protein levels, dynamics, and function.

Applications

Unspecified application

Species

Unspecified reactive species

Rose B Creed,Adeel A Memon,Sindhu P Komaragiri,Sandeep K Barodia,Matthew S Goldberg

Nature communications 13:2769 PubMed35589699

2022

Mitochondrial calcium uniporter stabilization preserves energetic homeostasis during Complex I impairment.

Applications

Unspecified application

Species

Unspecified reactive species

Enrique Balderas,David R Eberhardt,Sandra Lee,John M Pleinis,Salah Sommakia,Anthony M Balynas,Xue Yin,Mitchell C Parker,Colin T Maguire,Scott Cho,Marta W Szulik,Anna Bakhtina,Ryan D Bia,Marisa W Friederich,Timothy M Locke,Johan L K Van Hove,Stavros G Drakos,Yasemin Sancak,Martin Tristani-Firouzi,Sarah Franklin,Aylin R Rodan,Dipayan Chaudhuri

Frontiers in pharmacology 13:862085 PubMed35370630

2022

Pterostilbene in Combination With Mitochondrial Cofactors Improve Mitochondrial Function in Cellular Models of Mitochondrial Diseases.

Applications

Unspecified application

Species

Unspecified reactive species

Juan M Suárez-Rivero,Carmen J Pastor-Maldonado,Ana Romero-González,David Gómez-Fernandez,Suleva Povea-Cabello,Mónica Álvarez-Córdoba,Irene Villalón-García,Marta Talaverón-Rey,Alejandra Suárez-Carrillo,Manuel Munuera-Cabeza,José A Sánchez-Alcázar
View all publications

Product promise

We are committed to supporting your work with high-quality reagents, and we're here for you every step of the way. In the unlikely event that one of our products does not perform as expected, you're protected by our Product Promise.
For full details, please see our Terms & Conditions

Please note: All products are 'FOR RESEARCH USE ONLY. NOT FOR USE IN DIAGNOSTIC OR THERAPEUTIC PROCEDURES'.

For licensing inquiries, please contact partnerships@abcam.com