JavaScript is disabled in your browser. Please enable JavaScript to view this website.
AB248861

Anti-Ndufs4 antibody [EPR7831] - BSA and Azide free

Be the first to review this product! Submit a review

|

(1 Publication)

Rabbit Recombinant Monoclonal Ndufs4 antibody. Carrier free. Suitable for IHC-P, WB and reacts with Human, Mouse, Rat samples. Cited in 1 publication.

View Alternative Names

Complex I-18 kDa, Complex I-AQDQ, NADH-ubiquinone oxidoreductase 18 kDa subunit, CI-18 kDa, CI-AQDQ, NDUFS4

5 Images
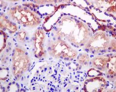
Immunohistochemistry (Formalin/PFA-fixed paraffin-embedded sections) - Anti-Ndufs4 antibody [EPR7831] - BSA and Azide free (AB248861)
  • IHC-P

Unknown

Immunohistochemistry (Formalin/PFA-fixed paraffin-embedded sections) - Anti-Ndufs4 antibody [EPR7831] - BSA and Azide free (AB248861)

This data was developed using ab139178, the same antibody clone in a different buffer formulation.

Immunohistochemical analysis of paraffin embedded Human kidney tissue labelling Ndufs4 with ab139178 at 1/50 dilution.

Perform heat mediated antigen retrieval with citrate buffer pH 6 before commencing with IHC staining protocol.

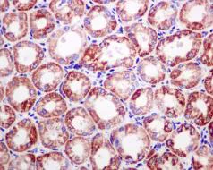
Immunohistochemistry (Formalin/PFA-fixed paraffin-embedded sections) - Anti-Ndufs4 antibody [EPR7831] - BSA and Azide free (AB248861)
  • IHC-P

Unknown

Immunohistochemistry (Formalin/PFA-fixed paraffin-embedded sections) - Anti-Ndufs4 antibody [EPR7831] - BSA and Azide free (AB248861)

This data was developed using ab139178, the same antibody clone in a different buffer formulation.

Immunohistochemical analysis of paraffin embedded Human stomach tissue labelling Ndufs4 with ab139178 at 1/50 dilution.

Perform heat mediated antigen retrieval with citrate buffer pH 6 before commencing with IHC staining protocol.

Western blot - Anti-Ndufs4 antibody [EPR7831] - BSA and Azide free (AB248861)
  • WB

Lab

Western blot - Anti-Ndufs4 antibody [EPR7831] - BSA and Azide free (AB248861)

This data was developed using ab139178, the same antibody clone in a different buffer formulation.

Lane 1 : Wild-type HAP1 cell lysate (20 μg)

Lane 2 : Ndufs4 knockout HAP1 cell lysate (20 μg)

Lane 3 : HEK293 cell lysate (20 μg)

Lane 4 : Human fetal heart tissue lysate (20 μg)

Lanes 1 - 4 : Merged signal (red and green). Green - ab139178 observed at 23 kDa. Red - loading control, ab8245, observed at 37 kDa.

ab139178 was shown to recognize Ndufs4 when Ndufs4 knockout samples were used, along with additional cross-reactive bands. Wild-type and Ndufs4 knockout samples were subjected to SDS-PAGE. ab139178 and ab8245 (loading control to GAPDH) were diluted to 1/1000 and 1/10000 respectively and incubated overnight at 4°C. Blots were developed with Goat anti-Rabbit IgG H&L (IRDye® 800CW) preadsorbed ab216773 and Goat anti-Mouse IgG H&L (IRDye® 680RD) preadsorbed ab216776 secondary antibodies at 1/10000 dilution for 1 hour at room temperature before imaging.

All lanes:

Western blot - Anti-Ndufs4 antibody [EPR7831] (<a href='/en-us/products/primary-antibodies/ndufs4-antibody-epr7831-ab139178'>ab139178</a>)

Predicted band size: 20 kDa

false

Western blot - Anti-Ndufs4 antibody [EPR7831] - BSA and Azide free (AB248861)
  • WB

Unknown

Western blot - Anti-Ndufs4 antibody [EPR7831] - BSA and Azide free (AB248861)

This data was developed using ab139178, the same antibody clone in a different buffer formulation.

All lanes:

Western blot - Anti-Ndufs4 antibody [EPR7831] (<a href='/en-us/products/primary-antibodies/ndufs4-antibody-epr7831-ab139178'>ab139178</a>) at 1/1000 dilution

Lane 1:

Human fetal heart tissue lysate at 10 µg

Lane 2:

Human fetal kidney tissue lysate at 10 µg

Lane 3:

Human fetal brain tissue lysate at 10 µg

Lane 4:

293T cell lysate at 10 µg

Secondary

All lanes:

HRP labelled goat anti-rabbit at 1/2000 dilution

Predicted band size: 20 kDa

false

Western blot - Anti-Ndufs4 antibody [EPR7831] - BSA and Azide free (AB248861)
  • WB

Unknown

Western blot - Anti-Ndufs4 antibody [EPR7831] - BSA and Azide free (AB248861)

This data was developed using ab139178, the same antibody clone in a different buffer formulation.

All lanes:

Western blot - Anti-Ndufs4 antibody [EPR7831] (<a href='/en-us/products/primary-antibodies/ndufs4-antibody-epr7831-ab139178'>ab139178</a>) at 1/1000 dilution

Lane 1:

Mouse heart tissue lysate at 10 µg

Lane 2:

Mouse kidney tissue lysate at 10 µg

Lane 3:

Rat kidney tissue lysate at 10 µg

Secondary

All lanes:

HRP labelled goat anti-rabbit at 1/2000 dilution

Predicted band size: 20 kDa

false

Key facts

Host species

Rabbit

Clonality

Monoclonal

Clone number

EPR7831

Isotype

IgG

Carrier free

Yes

Reacts with

Mouse, Rat, Human

Applications

WB, IHC-P

applications

Immunogen

The exact immunogen used to generate this antibody is proprietary information.

Reactivity data

{ "title": "Reactivity Data", "filters": { "stats": ["", "Species", "Dilution Info", "Notes"], "tabs": { "all-applications": {"fullname" : "All Applications", "shortname": "All Applications"}, "IHCP" : {"fullname" : "Immunohistochemistry (Formalin/PFA-fixed paraffin-embedded sections)", "shortname":"IHC-P"}, "ICCIF" : {"fullname" : "Immunocytochemistry/ Immunofluorescence", "shortname":"ICC/IF"}, "WB" : {"fullname" : "Western blot", "shortname":"WB"} }, "product-promise": { "all": "all", "testedAndGuaranteed": "tested", "guaranteed": "expected", "predicted": "predicted", "notRecommended": "not-recommended" } }, "values": { "Human": { "IHCP-species-checked": "testedAndGuaranteed", "IHCP-species-dilution-info": "", "IHCP-species-notes": "<p>Use of a HRP/AP polymerized secondary antibody is recommended.</p>", "ICCIF-species-checked": "notRecommended", "ICCIF-species-dilution-info": "", "ICCIF-species-notes": "<p></p>", "WB-species-checked": "testedAndGuaranteed", "WB-species-dilution-info": "", "WB-species-notes": "<p></p>" }, "Mouse": { "IHCP-species-checked": "guaranteed", "IHCP-species-dilution-info": "", "IHCP-species-notes": "<p>Use of a HRP/AP polymerized secondary antibody is recommended.</p>", "ICCIF-species-checked": "notRecommended", "ICCIF-species-dilution-info": "", "ICCIF-species-notes": "<p></p>", "WB-species-checked": "guaranteed", "WB-species-dilution-info": "", "WB-species-notes": "<p></p>" }, "Rat": { "IHCP-species-checked": "guaranteed", "IHCP-species-dilution-info": "", "IHCP-species-notes": "<p>Use of a HRP/AP polymerized secondary antibody is recommended.</p>", "ICCIF-species-checked": "notRecommended", "ICCIF-species-dilution-info": "", "ICCIF-species-notes": "<p></p>", "WB-species-checked": "guaranteed", "WB-species-dilution-info": "", "WB-species-notes": "<p></p>" } } }

Product details

ab248861 is the carrier-free version of ab139178.

Patented technology
Our RabMAb® technology is a patented hybridoma-based technology for making rabbit monoclonal antibodies. For details on our patents, please refer to RabMAb® patents.

What are the advantages of a recombinant monoclonal antibody?
This product is a recombinant monoclonal antibody, which offers several advantages including:

  • - High batch-to-batch consistency and reproducibility
  • - Improved sensitivity and specificity
  • - Long-term security of supply
  • - Animal-free batch production

For more information, read more on recombinant antibodies.

Conjugation ready
Our carrier-free antibodies are typically supplied in a PBS-only formulation, purified and free of BSA, sodium azide and glycerol. This conjugation-ready format is designed for use with fluorochromes, metal isotopes, oligonucleotides, and enzymes, which makes them ideal for antibody labelling, functional and cell-based assays, flow-based assays (e.g. mass cytometry) and Multiplex Imaging applications.

Use our conjugation kits for antibody conjugates that are ready-to-use in as little as 20 minutes with 1 minute hands-on-time and 100% antibody recovery: available for fluorescent dyes, HRP, biotin and gold.

Compatibility
This product is compatible with the Maxpar® Antibody Labeling Kit from Fluidigm, without the need for antibody preparation. Maxpar® is a trademark of Fluidigm Canada Inc.

Properties and storage information

Form
Liquid
Purification technique
Affinity purification Protein A
Storage buffer
pH: 7.2 - 7.4 Constituents: PBS
Shipped at conditions
Blue Ice
Appropriate short-term storage conditions
+4°C
Appropriate long-term storage conditions
+4°C
Storage information
Do Not Freeze

Supplementary information

This supplementary information is collated from multiple sources and compiled automatically.

Ndufs4 also known as NADH:Ubiquinone Oxidoreductase Subunit S4 is an important component of mitochondrial complex I which is part of the electron transport chain. It has a molecular mass of approximately 18 kDa. The protein is mainly found in the inner mitochondrial membrane where it plays an essential role in cellular respiration by transferring electrons from NADH to ubiquinone. Ndufs4 is widely expressed in tissues with high energy demands such as the brain and heart.
Biological function summary

Ndufs4 functions as a part of mitochondrial complex I a large protein enzyme complex critical for oxidative phosphorylation. The complex comprises multiple subunits of which Ndufs4 is a small but essential part. By participating in electron transfer and proton pumping Ndufs4 supports ATP synthesis which is the main energy currency of the cell. Deficiency in Ndufs4 leads to dysfunctional energy production linked with metabolic disorders.

Pathways

The protein is an integral part of the respiratory chain pathway where it supports oxidative phosphorylation enabling effective ATP production. Within these pathways Ndufs4 interacts with other complex I subunits including Ndufs1 and Ndufa9 which stabilize electron transport. Disruptions in this chain can affect cellular energy metabolism and have downstream effects on various cellular processes.

Mutations in the Ndufs4 gene are associated with Leigh syndrome and mitochondrial complex I deficiency. Leigh syndrome is a severe neurological disorder characterized by progressive loss of mental and movement abilities. Ndufs4 mutations also lead to complex I deficiency causing diverse symptoms ranging from neurological impairments to muscle weakness. These disorders highlight the critical link between Ndufs4 and proper mitochondrial function. The protein's connection to other complex I subunits such as Ndufs1 emphasizes its importance in maintaining regular cellular functions and preventing mitochondrial diseases.

Product protocols

For this product, it's our understanding that no specific protocols are required. You can visit:

Target data

Accessory subunit of the mitochondrial membrane respiratory chain NADH dehydrogenase (Complex I), that is believed not to be involved in catalysis. Complex I functions in the transfer of electrons from NADH to the respiratory chain. The immediate electron acceptor for the enzyme is believed to be ubiquinone.
See full target information NDUFS4

Publications (1)

Recent publications for all applications. Explore the full list and refine your search

Journal of personalized medicine 12: PubMed35207643

2022

Detyrosinated α-Tubulin, Vimentin and PD-L1 in Circulating Tumor Cells (CTCs) Isolated from Non-Small Cell Lung Cancer (NSCLC) Patients.

Applications

Unspecified application

Species

Unspecified reactive species

Spyridoula D Katsarou,Ippokratis Messaritakis,Anastasia Voumvouraki,Stavros Kakavogiannis,Athanasios Κotsakis,Saad Alkahtani,Christos Stournaras,Stuart S Martin,Vassilis Georgoulias,Galatea Kallergi
View all publications

Product promise

We are committed to supporting your work with high-quality reagents, and we're here for you every step of the way. In the unlikely event that one of our products does not perform as expected, you're protected by our Product Promise.
For full details, please see our Terms & Conditions

Please note: All products are 'FOR RESEARCH USE ONLY. NOT FOR USE IN DIAGNOSTIC OR THERAPEUTIC PROCEDURES'.

For licensing inquiries, please contact partnerships@abcam.com