JavaScript is disabled in your browser. Please enable JavaScript to view this website.
AB250112

Anti-NDUFS5 antibody [EPR12291] - BSA and Azide free

Be the first to review this product! Submit a review

|

(1 Publication)

Rabbit Recombinant Monoclonal NDUFS5 antibody. Carrier free. Suitable for IHC-P, WB and reacts with Human samples. Cited in 1 publication.

View Alternative Names

NADH dehydrogenase [ubiquinone] iron-sulfur protein 5, Complex I-15 kDa, NADH-ubiquinone oxidoreductase 15 kDa subunit, CI-15 kDa, NDUFS5

2 Images
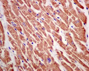
Immunohistochemistry (Formalin/PFA-fixed paraffin-embedded sections) - Anti-NDUFS5 antibody [EPR12291] - BSA and Azide free (AB250112)
  • IHC-P

Supplier Data

Immunohistochemistry (Formalin/PFA-fixed paraffin-embedded sections) - Anti-NDUFS5 antibody [EPR12291] - BSA and Azide free (AB250112)

This data was developed using ab179806, the same antibody clone in a different buffer formulation.

Immunohistochemical analysis of paraffin embedded Human heart tissue labeling NDUFS5 with ab179806 at 1/50.

Perform heat mediated antigen retrieval before commencing with IHC staining protocol.

Western blot - Anti-NDUFS5 antibody [EPR12291] - BSA and Azide free (AB250112)
  • WB

Supplier Data

Western blot - Anti-NDUFS5 antibody [EPR12291] - BSA and Azide free (AB250112)

This data was developed using ab179806, the same antibody clone in a different buffer formulation.

All lanes:

Western blot - Anti-NDUFS5 antibody [EPR12291] (<a href='/en-us/products/primary-antibodies/ndufs5-antibody-epr12291-ab179806'>ab179806</a>) at 1/1000 dilution

Lane 1:

Human fetal liver lysate at 10 µg

Lane 2:

Human fetal brain lysate at 10 µg

Lane 3:

HUVEC lysate at 10 µg

Lane 4:

K562 lysate at 10 µg

Lane 5:

HepG2 lysate at 10 µg

Secondary

All lanes:

HRP labelled goat anti-rabbit at 1/2000 dilution

Predicted band size: 13 kDa

false

Key facts

Host species

Rabbit

Clonality

Monoclonal

Clone number

EPR12291

Isotype

IgG

Carrier free

Yes

Reacts with

Human

Applications

WB, IHC-P

applications

Immunogen

The exact immunogen used to generate this antibody is proprietary information.

Reactivity data

{ "title": "Reactivity Data", "filters": { "stats": ["", "Species", "Dilution Info", "Notes"], "tabs": { "all-applications": {"fullname" : "All Applications", "shortname": "All Applications"}, "IHCP" : {"fullname" : "Immunohistochemistry (Formalin/PFA-fixed paraffin-embedded sections)", "shortname":"IHC-P"}, "IP" : {"fullname" : "Immunoprecipitation", "shortname":"IP"}, "FlowCyt" : {"fullname" : "Flow Cytometry", "shortname":"Flow Cyt"}, "WB" : {"fullname" : "Western blot", "shortname":"WB"}, "ICCIF" : {"fullname" : "Immunocytochemistry/ Immunofluorescence", "shortname":"ICC/IF"} }, "product-promise": { "all": "all", "testedAndGuaranteed": "tested", "guaranteed": "expected", "predicted": "predicted", "notRecommended": "not-recommended" } }, "values": { "Human": { "IHCP-species-checked": "testedAndGuaranteed", "IHCP-species-dilution-info": "", "IHCP-species-notes": "<p></p>", "IP-species-checked": "notRecommended", "IP-species-dilution-info": "", "IP-species-notes": "<p></p>", "FlowCyt-species-checked": "notRecommended", "FlowCyt-species-dilution-info": "", "FlowCyt-species-notes": "<p></p>", "WB-species-checked": "testedAndGuaranteed", "WB-species-dilution-info": "", "WB-species-notes": "<p></p>", "ICCIF-species-checked": "notRecommended", "ICCIF-species-dilution-info": "", "ICCIF-species-notes": "<p></p>" } } }

Product details

ab250112 is the carrier-free version of ab179806.

Species reactivity
Mouse, Rat: We have preliminary internal testing data to indicate this antibody may not react with these species.
Please contact us for more information.

Patented technology
Our RabMAb® technology is a patented hybridoma-based technology for making rabbit monoclonal antibodies. For details on our patents, please refer to RabMAb® patents.

What are the advantages of a recombinant monoclonal antibody?
This product is a recombinant monoclonal antibody, which offers several advantages including:

  • - High batch-to-batch consistency and reproducibility
  • - Improved sensitivity and specificity
  • - Long-term security of supply
  • - Animal-free batch production

For more information, read more on recombinant antibodies.

Conjugation ready
Our carrier-free antibodies are typically supplied in a PBS-only formulation, purified and free of BSA, sodium azide and glycerol. This conjugation-ready format is designed for use with fluorochromes, metal isotopes, oligonucleotides, and enzymes, which makes them ideal for antibody labelling, functional and cell-based assays, flow-based assays (e.g. mass cytometry) and Multiplex Imaging applications.

Use our conjugation kits for antibody conjugates that are ready-to-use in as little as 20 minutes with 1 minute hands-on-time and 100% antibody recovery: available for fluorescent dyes, HRP, biotin and gold.

Compatibility
This product is compatible with the Maxpar® Antibody Labeling Kit from Fluidigm, without the need for antibody preparation. Maxpar® is a trademark of Fluidigm Canada Inc.

Properties and storage information

Form
Liquid
Purification technique
Affinity purification Protein A
Storage buffer
pH: 7.2 - 7.4 Constituents: PBS
Shipped at conditions
Blue Ice
Appropriate short-term storage conditions
+4°C
Appropriate long-term storage conditions
+4°C
Storage information
Do Not Freeze

Supplementary information

This supplementary information is collated from multiple sources and compiled automatically.

NDUFS5 also known as NADH:Ubiquinone Oxidoreductase Subunit S5 forms a part of the mitochondrial complex I. This protein has a molecular mass of approximately 18 kDa. NDUFS5 is expressed in cells across various tissues including high levels in muscle tissues and neurons. The protein assists in the initial stages of the electron transport chain an essential process for cellular respiration and ATP production.
Biological function summary

NDUFS5 contributes to the electron transfer chain by participating in complex I. Complex I plays a central role in converting NADH to NAD+ facilitating the transport of electrons to ubiquinone. NDUFS5 is not a catalytic subunit but supports the overall structure and function of the complex working together with other subunits to maintain the electron flow essential for ATP synthesis.

Pathways

NDUFS5 actively participates in the oxidative phosphorylation pathway. This pathway drives the production of ATP the primary energy source for cells. NDUFS5 collaborates with other proteins like NDUFS2 and NDUFV1 in complex I of the electron transport chain. Additionally NDUFS5 contributes to pathways related to reactive oxygen species (ROS) production influencing cellular stress responses.

NDUFS5 is linked to mitochondrial dysfunctions including Leigh syndrome and mitochondrial encephalomyopathy. These conditions arise from defects in complex I in which NDUFS5 and proteins like MT-ND1 and NDUFS4 are involved. Such disruptions lead to impaired ATP production and increased oxidative stress affecting energy-intensive tissues like the brain and muscles.

Product protocols

For this product, it's our understanding that no specific protocols are required. You can visit:

Target data

Accessory subunit of the mitochondrial membrane respiratory chain NADH dehydrogenase (Complex I), that is believed not to be involved in catalysis. Complex I functions in the transfer of electrons from NADH to the respiratory chain. The immediate electron acceptor for the enzyme is believed to be ubiquinone.
See full target information NDUFS5

Publications (1)

Recent publications for all applications. Explore the full list and refine your search

Advanced science (Weinheim, Baden-Wurttemberg, Germany) 11:e2207435 PubMed38286681

2024

Defective Homologous Recombination Repair By Up-Regulating Lnc-HZ10/Ahr Loop in Human Trophoblast Cells Induced Miscarriage.

Applications

Unspecified application

Species

Unspecified reactive species

Weina Chen,Chenyang Mi,Ying Zhang,Yang Yang,Wenxin Huang,Zhongyan Xu,Jingsong Zhao,Rong Wang,Manli Wang,Shukun Wan,Xiaoqing Wang,Huidong Zhang
View all publications

Product promise

We are committed to supporting your work with high-quality reagents, and we're here for you every step of the way. In the unlikely event that one of our products does not perform as expected, you're protected by our Product Promise.
For full details, please see our Terms & Conditions

Please note: All products are 'FOR RESEARCH USE ONLY. NOT FOR USE IN DIAGNOSTIC OR THERAPEUTIC PROCEDURES'.

For licensing inquiries, please contact partnerships@abcam.com